
母子二人特殊的面部特征

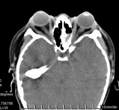
儿子的CT扫描
Crouzon综合征,有名颅面骨发育不全(Craniofacial dysostosis),1912年由法国医生Crouzon首次报道,是颅骨骨缝早闭所致。外国文献报道,患病率1/3000。 临床表现:突眼、眼眶浅、“鹦鹉鼻”、反咬颌、鼻咽狭窄、视神经孔窄、头颅畸形。可同时伴视神经萎缩、青光眼、白内障。 分子遗传学:成纤维细胞生长因子受体基因突变,常染色体显性遗传,可由新发突变导致。 我院眼科拟行分子遗传学研究(欢迎外院病人加入)。脑外、整形、口腔、眼科讨论手术方案。
欢迎联系。睢大夫Email:hrfsui@yahoo.com |