Chapter 6
Topical Diagnosis: The Optic Chiasm
JOEL S. GLASER
Main Menu   Table Of Contents

Search

CLINICAL MANIFESTATIONS
NEUROIMAGING PROCEDURES: GENERAL CONSIDERATIONS
CONGENITAL CHIASMAL DYSPLASIAS
NEOPLASMS AND RELATED CONDITIONS
DEMYELINATIVE DISEASE AND INFLAMMATIONS
MISCELLANEOUS CHIASMAL LESIONS
EMPTY SELLA SYNDROME
REFERENCES

  Clinical Manifestations
  Neuroimaging Procedures: General
  Considerations
  Congenital Chiasmal Dysplasias
  Neoplasms and Related Conditions
  Pituitary Tumors

  Adenomas
  Acromegaly
  Pituitary “Apoplexy”
  Imaging of Pituitary Tumors


  Meningiomas
  Craniopharyngiomas
  Optic and Hypothalamic Gliomas
  Dysgerminomas
  Suprasellar Aneurysms
  Demyelinative Disease and Inflammations
  Miscellaneous Chiasmal Lesions
  Arachnoidal and Epithelial Cysts
  Metastatic Diseases and Other Mass Lesions
  Sphenoidal Mucoceles
  Trauma
  Complications of Radiation Therapy
  Hydrocephalus
  Pregnancy
  Empty Sella Syndrome

The modern neurosurgeon has come to deal largely with lesions that mechanically affect the central apparatus of vision, while the ophthalmic surgeon limits his operative procedure to the intra-orbital portion of the apparatus. One in a sense is extracranial, the other an intracranial ophthalmic surgeon, neither of them venturing to trespass much beyond the narrows of the optic foramina.

Harvey Cushing (1930)

The optic chiasm is the crossroads of the visual sensory system, containing some 2.4 million afferent axons, and it is also the conjunction of at least 4 major medical disciplines: neurosurgery, neurology, endocrinology, and, of course ophthalmology. Many of the disease processes that involve the intracranial portions of the optic nerves likewise involve the chiasm. Because of the relationship of the nerves and chiasm with the basal structures of the anterior and middle cranial fossae (see Volume 2, Chapter 12, Figs. 20 and 21), pituitary adenomas, meningiomas, and aneurysms frequently encroach on the anterior visual pathways. Failure of early diagnosis in chiasmal disorders endangers the life of the patient and lessens the likelihood of reversal of visual and hormonal deficits.

The anatomy of the chiasm is addressed in some detail in Volume 2, Chapter 4, but the following points deserve emphasis in the context of topical diagnosis. The chiasm is situated in the suprasellar arachnoidal cistern and forms the floor of the anteroinferior midline recess of the third ventricle. The inferior aspect of the chiasm is usually 8 mm to 13 mm above the nasotuberculum line (i.e., the plane of the diaphragma sellae or clinoid processes). The intracranial portion of the optic nerves is inclined as much as 45° from the horizontal and measures 17 ± 2.5 mm in length (see Volume 2, Chapter 4, Fig. 6). The lateral aspects of the chiasm are embraced by the supraclinoid portions of the internal carotid arteries, and the anterior cerebral arteries pass over the dorsal surface of the optic nerves as they converge. The optic nerves are fixed at the intracranial exit from the optic canals, the dorsal aspect of which is formed by an unyielding falciform fold of dura.

From the preceding description of the position of the chiasm, it should be clear that basal mass lesions, even of moderate size, need not encroach on the chiasm. For example, pituitary adenomas must extend well above the confines of the sella turcica in order to contact the chiasm. The corollary is that, in the presence of chiasmal visual field defect, advanced suprasellar extension of an adenoma may be predicted. Small tumors are detected clinically only when signs of unilateral optic nerve compression evolve or endocrinologic symptoms prevail.

It is not clear whether field defects are due to direct compression of visual fibers or to interference with vasculature; the midline section of the chiasm may be most vulnerable because of watershed vasculature. At any rate, at craniotomy, major stretching, distortion, and thinning of the nerves and chiasm are commonly encountered, shedding little light on the mechanism of impairment of function or the nature of visual recovery.

Back to Top
CLINICAL MANIFESTATIONS
Most chiasmal syndromes are caused by extrinsic tumors, classically pituitary adenomas, suprasellar meningiomas, and craniopharyngiomas, or by carotid aneurysms. With few exceptions, these slow-growing tumors produce insidiously progressive visual deficits in the form of variations on a bitemporal theme (Fig. 1). Asymmetry of field loss is the rule, such that one eye may show advanced deficits, including reduced acuity, whereas only relative temporal field depression is found in the contralateral field. Until acuity is diminished in one or both eyes, patients' visual symptoms are vague, such as “trouble seeing to the side,” a history of fender-bending, or finding that, when passed by another automobile, the overtaking vehicle suddenly appears directly ahead. The first clue to the presence of a hemianopic defect may be revealed during monocular reading of acuity charts; with the right eye only the left letters are seen, and with the left eye only the right letters are seen (see Volume 2, Chapter 2, Fig. 2). That is, optotypes that fall into defective hemifields may be ignored or blurred. Although compression by mass lesions is typified by a pattern of relentless, slow depression of monocular or binocular function, pituitary adenomas, craniopharyngiomas, or aneurysms may provoke sudden worsening or fluctuations in vision that mimic optic neuritis, at times with confounding improvement during corticosteroid therapy.

Fig. 1. Chiasmal field defects. A. “Junctional scotoma” combines typical optic nerve defect in the left field (LE) with temporal hemianopia in the right (RE) (see also C). B. Classic bitemporal hemianopia. Riddoch's phenomenon (motion perception) is demonstrable in the shaded area of the left field. C. Asymmetric progression, with severe visual deficit in the right eye and early superior temporal depression on the left. D. Defect characteristic of posterior chiasmal notch lesion. Note the central hemianopic scotomas and inferior quadrant defects. E. Central hemianopic scotomas typical of posterior chiasmal interference. F. Temporal hemianopic arcuate scotomas. The patient sustained head trauma, with resultant field defects and diabetes insipidus.

Peculiar sensory phenomena are experienced by some patients with usually well-developed field defects, consisting of a nonparetic form of diplopia and clumsiness in visual tasks requiring depth perception (e.g., seating the tip of a screwdriver, threading a needle). Loss of portions of normally superimposed binocular field results in absence of corresponding points in visual space (or on the retinas) and subsequently in diminished fusional capacity. In essence, the patient is subjected to two “free-floating” nasal hemifields without interhemispheral linkage to keep them aligned. Vertical and horizontal slippage produces doubling of images, gaps in otherwise continuous visual panorama, and steps in horizontal lines.

Elkington1 noted that the preoperative symptoms in a series of 260 patients with pituitary adenoma included some degree of double vision in 98 patients, but a demonstrable ocular palsy was present in only 14. In addition, without temporal fields, objects beyond the point of binocular fixation fall on nonseeing nasal retina, so that a blind area exists, with extinction of objects beyond the fixation point. These bitemporal hemianopic sensory phenomena are discussed at length by Nachtigaller and Hoyt.2

The association of extraocular muscle palsies with chiasmal field defects implies involvement of the structures in the cavernous sinus, usually a sign of rapid expansion of a pituitary adenoma (see Volume 2, Chapter 12). Except in children, only rarely is tumor diagnosis delayed sufficiently for obstruction of the ventricular system to occur, with elevation of intracranial pressure and lateral rectus weakness.

Pallor of the optic discs, although an anticipated physical sign of chiasmal interference, is not a requisite in diagnosis. In a series of 156 cases of pituitary tumors, Chamlin and associates3 found optic atrophy in only 155 of 312 eyes (50%). Wilson and Falconer4 also found unequivocal disc pallor in only 28 of 50 patients; they pointed out that optic atrophy may not be present even when visual symptoms have lasted as long as 2 years. Even extensive field loss in chiasmal syndromes may be associated with normal or minimally pale discs. Therefore, it is unwise to rely on the presence of optic atrophy as an indication of chiasmal interference; disc pallor is corroborative evidence at best, greater weight being placed on carefully evaluated visual fields.

It is risky to predict on the basis of disc appearance the ultimate level of vision anticipated following chiasmal decompression. As a rule, the more atrophic the disc, and the greater the duration of visual symptoms, the less likely is the return of function in defective areas of field, but recuperation of vision to surprisingly good levels, in spite of relatively advanced disc pallor, does indeed occur.

Suprasellar tumors of presumed prenatal origin, such as optic gliomas or craniopharyngiomas, may be associated with congenitally dysplastic optic discs. These disc anomalies include variable hypoplasia, tilted or “irregularly oval” nerve heads,5 or enlarged discs.6

Techniques for the screening or elaboration of field defects are discussed in Volume 2, Chapter 2. The importance of establishing that the vertical meridian forms the central border of the temporal defect is paramount in distinguishing true chiasmal interference from temporal field depression that simulates temporal hemianopias. Those conditions that can mimic chiasmal field defects include the following (see Volume 2, Chapter 5, Part II):

  1. Tilted discs (inferior crescents, nasal fundus ectasia).
  2. Nasal sector retinitis pigmentosa.
  3. Bilateral cecocentral scotomas.
  4. Papilledema with greatly enlarged blind spots.
  5. Overhanging redundant upper lid tissue.
  6. Dominant optic atrophy.
  7. Ethambutol toxic optic neuropathy.

Trobe and colleagues7 have devised a visual field technique that selectively explores the vertical meridian as a “strategy” in screening for chiasmal defects, reducing testing time, and increasing efficiency. This system employs both kinetic and static suprathreshold stimuli on the Goldmann perimeter, emphasizing especially the 15° perifixational area. Using the Haag-Streit 940 ST automated perimeter with a screening strategy that charts two isopters at about 10° and 15° of nasal eccentricity, and determining subjective symmetry across the vertical meridian, Frisen8 found the earliest visual field defects in mid-chiasmal compression to be bitemporal depressions of central isopters, usually more pronounced superiorly and often lacking a clear vertical step. Apparently, for points of equal eccentricity in the central visual field, temporal thresholds are normally higher than nasal thresholds. Of great practical import are Frison's conclusions: screening can be limited to careful charting of one single kinetic isopter of small radius (e.g., 8° to 12°), complemented with rapid assessment of symmetry of subjective color saturation across the vertical meridian; if this critical central isopter plot is normal, no further diagnostic evidence accrues by determining additional peripheral isopters (see also Volume 2, Chapter 2).

Central and cecocentral scotomas are compelling evidence of intrinsic optic nerve disease (see Volume 2, Chapter 5, Part II). Rare cases are reported9 of “atypical” bilateral scotomas attributed to suprasellar mass lesions: intrinsic histiocytosis of the chiasm, a chiasmal glioma, and a cystic craniopharyngioma; thus, two lesions were indeed intrinsic. The anterior knee of Wilbrand, that is, a forward looping of decussating fibers 1 mm to 2 mm into the contralateral optic nerve, is probably an artifact10 and does not account for the pattern of central depression in one eye and contralateral superior temporal hemianopic depression (see Fig. 1A).

Well documented are examples of “posterior chiasmal angle” lesions that produce homonymous hemi-anopias with depression selectively of the inferior temporal field near fixation (see Fig. 1D); for example, two presumed dysgerminomas and a presumed craniopharyngioma caused these posterior chiasmal defects, at the junction with one optic tract.11 Such patients, unlike posterior pathway hemianopias, have visual acuity diminished in one or both eyes, and usually asymmetric optic atrophy is observed (see Volume 2, Chapter 7).

Back to Top
NEUROIMAGING PROCEDURES: GENERAL CONSIDERATIONS
Errors of omission, that is, failure to perform timely radiologic procedures, constitute a major shortcoming in the practice of ophthalmology. Of equal importance are errors of commission, whereby inappropriate, inadequate, or incomplete imaging studies are obtained; these errors are compounded when such investigations are interpreted as “normal,” providing a false sense of security and further delaying definitive diagnostic investigations. It is imperative that the physician on clinical grounds make an informed topical diagnosis and then ask two questions: (1) What studies are appropriate to visualize the appropriate anatomy? (2) Are the neuro-images (computed tomography [CT], magnetic resonance imaging [MRI], angiography, ultrasonography) obtained of sufficient quality to provide definitive information? Moreover, timely acquisition of well-performed neurodiagnostic studies is vital in ultimate outcome. For example, of 149 patients with pituitary adenomatreated at the National Hospital, London,12 nearly one-fourth had visual complaints for 2 to 10 years without definitive diagnosis, a finding that underscores the continuing failure of the medical community to assess cases of “unexplained” visual loss appropriately.

The details of neuroradiologic techniques and their interpretations are beyond the intent of this work, but certain specific concepts may be commented on here. More detailed clarifications are included under discussions of specific lesions, to follow. Plain views of the skull and optic canals must now be considered strictly preliminary studies in the investigation of the patient with nonocular visual loss. This is not to disparage the use of uncomplicated procedures, but only limited information is available from plain film studies, and subtle changes in the canals and bony structures of the sella are regularly overlooked and are, at any rate, better visualized by CT using “bone-window” settings. Measurements of the sella, whether linear or volumetric, are not in and of themselves important. In marginal cases, such measurements are unreliable; in obvious cases, they are superfluous, and in neither instance is the question of suprasellar extension resolved.

Whether plain film abnormalities are detected or not, especially in patients with chiasmal syndrome, more refined neuroimaging techniques, such as CT with iodinated contrast or gadolinium-enhanced MRI, and cerebral arteriography in selected cases, must be applied. Some generalizations may be enunciated here, with special reference to the optic chiasm and related structures.

As a rule, CT provides greater definition than MRI for bone destruction or erosion (e.g., craniopharyngioma, meningioma) and hyperostosis, (e.g., meningioma), as well as for vascular or tumoral calcifications (e.g., craniopharyngioma) or acute hemorrhages, but MRI more clearly demonstrates vascular encasement (e.g., meningioma), extent of involvement of structures adjacent to masses, invasion of cavernous sinus, presence of aneurysms, configuration of gliomas, degree of expansion into the suprasellar cistern, central nervous system (CNS) infarcts, and demyelinative lesions. Thin-section MRI is equal to, or better than, enhanced CT in depicting large pituitary adenomas, although CT may be more sensitive in detecting microadenomas that do not enlarge the sella. The intracanalicular portion of optic nerves is seen to best advantage with MRI, but bony changes are exquisitely delineated by CT “bone-window” settings. The use of gadolinium-enhanced MRI, with fat-suppression protocols, is especially appropriate for orbital studies, and cerebral arteriography must be included, especially when radiologic and, in some instances, surgical intervention is contemplated. MRI is relatively contraindicated in the presence of, for example, cerebral aneurysm clips, cardiac pacemaker, or ferro-magnetic foreign bodies. At this time, gas pneumoencephalography, radionuclide brain scan, and metrizamide cisternography must be considered obsolete.

High-resolution MRI (1.5 Tesla magnet strength, 3-mm thick sections) provides accurate coronal measurements of intracranial optic nerves (height, 3.5 ± 0.06 mm; width, 6.01 ± 0.1 mm),13 and chiasm (height, 2.69 ± 0.08 mm; width, 14.96 ± 0.33 mm; area, 43.7 ± 5.21 mm2).13,14 Both advanced age and optic atrophy diminish the height and width of the chiasm.13–15

Back to Top
CONGENITAL CHIASMAL DYSPLASIAS
The chiasm is infrequently the site of developmental anomalies that, at times, are related to malformations of other diencephalic midline structures, including the third ventricle. Embryonic dysgenesis results in abnormal growth of the primitive optic vesicles that produces unilateral or bilateral anophthalmos or useless micro-phthalmic cysts. Such gross ocular anomalies may occur in isolation or may be associated with a spectrum of neural defects, including major malformations that preclude survival.

Of greater clinical impact are the more subtle ocular dysplasias that accompany those anterior forebrain malformations that are compatible with long life. Specific congenital anomalies of the optic discs may indicate the presence of otherwise occult forebrain malformations. Optic disc hypoplasia and colobomatous dysplasias are therefore not simply fundus curiosities, but often they are ophthalmoscopic clues to associated brain and endocrine defects. These symptom complexes are discussed in Volume 2, Chapter 5, Part II, with congenital anomalies of the optic discs.

Back to Top
NEOPLASMS AND RELATED CONDITIONS
Most cases of chiasmal interference are due to mass lesions, either tumors or aneurysms. Although certain patterns of visual failure may suggest the location and type of lesion, such niceties often prove fallible in the face of neuroradiologic procedures or at craniotomy. At any rate, the diagnostic evaluation of all nontraumatic chiasmal syndromes is stereotyped: to rule in or out the presence of a potentially treatable mass lesion. Aneurysms are discussed briefly below, but in somewhat greater detail in Chapter 17, along with vascular tumors, and arteriovenous malformations that involve the chiasm.

PITUITARY TUMORS

Tumor of the pituitary gland is the single most common intracranial neoplasm that produces neuro-ophthalmologic symptomatology, and chiasmal interference is overwhelmingly the most frequent presentation. Pituitary adenomas constitute some 12% to 15% of clinically symptomatic intracranial tumors.

Adenomas

Kernohan and Sayre16 reported that asymptomatic adenomas occur in more than 20% of pituitary glands examined at autopsy, and some degree of adenomatous hyperplasia can be found in almost every pituitary gland. A post-mortem study17 composed of pituitary glands removed from 120 persons without clinical evidence of pituitary tumors revealed a 27% incidence of microadenomas, of which 41% stained for prolactin (PRL), without a gender difference. To generalize, more than 1 in 10 persons in the general population dies harboring a prolactinoma. Moreover, some 15% of microadenomas, that is, smaller than 10 mm in diameter and confined within the sella, and frequently uncovered as incidental findings, become significantly enlarged.18 The incessant parade of this clinical syndrome is therefore not surprising.

Symptomatic adenomas occur infrequently in persons younger than 20 years, but they are common from the fourth through the seventh decades. The classic histologic designation as chromophobic, eosinophilic, or basophilic on the basis of light microscopy is obsolete, and adenomas are now classified according to the hormones they secrete. A functional nomenclature based on immunocytologic and ultrastructural characteristics has evolved19:

  1. Adenomas with clinically manifest endocrine activity
    1. Somatotropes (growth hormone [GH]; acromegaly)
    2. Lactotropes (PRL; amenorrhea, galactorrhea; Forbes-Albright syndrome)
    3. Corticotropes (adrenocorticotropin [ACTH]; Cushing's or Nelson's syndromes)
    4. Thyrotropes (hyperthyroidism or hypothyroidism)
    5. Gonadotropes (follicle-stimulating hormone, luteinizing hormone)
    6. Multiple hormones (GR, PRL, ACTH)

  2. Adenomas without clinically manifest endocrine activity
    1. Inactive oncocytoma
    2. Null cell
    3. PRL without galactorrhea
    4. Low amounts of normal hormones (GH, PRL)

Endocrine-inactive tumors fail to produce clinical manifestations of any secretory product when a normal hormone is produced in amounts too small to be detected, when an abnormal hormone is produced but not recognized by biologic receptor sites or detected by radioimmunoassay, or when formerly endocrine-active cells have lost the ability to produce hormone as a result of degeneration. Of 1000 pituitary tumors surgically treated by Wilson,20 226 were endocrine-inactive, and 774 were secretory, as follows: PRL, 410; GH, 195; ACTH, 167; thyroid-stimulating hormone, 2. Nonsecretory adenomas, which consist mostly of null-cell adenomas, tend to be larger at presentation than do secretory tumors, with a median age of 57 years, and male predominance.21

Nonocular symptoms, as previously discussed, include chronic headaches (severe or mild) in more than two-thirds of patients,1 fatigue, impotence or amenorrhea, sexual hair change, or other signs of gonadal, thyroidal, or adrenal insufficiency. The typical sequence of hormonal deficiencies associated with large adenomas is early loss of GH and gonadotropin, later loss of thyrotropin and corticotropin. With the increasing application of neuroimaging and sensitive assays for abnormal hormones, the incidence of ophthalmologic presentation is decreasing, whereas the incidence of neuro-endocrine findings is increasing. Signs and symptoms, visual or otherwise, nonetheless may exist for months to years before so much as a visual field or plain skull film is obtained.4

Visual failure with pituitary tumors assumes a limited number of field patterns. As suprasellar extension evolves, a single optic nerve may be compromised, with resultant progressive monocular visual loss in the form of a central scotoma. More frequently, as the tumor splays apart the anterior chiasmal notch, superotemporal peripheral hemianopic defects occur. However, this well-touted superior bitemporal hemianopia is almost always accompanied by minor or major hemianopic scotomas approaching the fixational area along the vertical meridian (see Fig. 1). Asymmetry of field defects is the rule, the eye with the greater deficit likely showing diminished visual acuity. Marked asymmetry is not uncommon, such that one eye may be nearly blind while the other shows a temporal hemianopic defect (see Fig. 1C); this combination is as exquisitely localizing to the chiasm as is classic bitemporal hemianopia. Adenomas extending posteriorly produce incongruous hemianopias (see Fig. 5) by optic tract involvement; central vision is usually diminished, at least in the ipsilateral eye, and optic atrophy evolves.

Fig. 5. Age distribution of craniopharyngioma. (Data from Svolos D: Craniopharyngiomas: a study based on 108 verified cases. Acta Chir Scand Suppl 403:1, 1969; Matson DD, Crigler JF: Management of craniopharyngioma in childhood. J Neurosurg 30:377, 1969; and Bartlett JR: Craniopharyngiomas: an analysis of some aspects of symptomatology, radiology and histology. Brain 94:725, 1971. The Matson series was limited to children younger than 16 years.)

On extremely rare occasions, arcuate Bjerrum's scotomas extend from the blind spot into the nasal field22 or terminate at the vertical meridian.23 Such defects are usually monocular and are difficult to distinguish from glaucoma by perimetry alone. With progression, especially if the temporal field of the other eye becomes involved, a more typical field pattern evolves. In late stages of visual loss, the only suggestion of the chiasmal character of field defects may be minimal preservation of the nasal field of one eye (see Fig. 1C). The importance of serial examinations is obvious, but, when doubt exists, neuroimaging is mandatory.

The absence of field defects, for example, in patients undergoing evaluation for amenorrhea, galactorrhea, or sellar enlargement incidentally discovered, does not imply the absence of an adenoma. Obviously, patients with microadenomas, that is, confined within the sella, do not have field defects. From a study24 of 50 cases of pituitary adenomas with chiasmal syndrome, it was concluded that visual disturbance occurs when the chiasm is displaced approximately 10 mm upward (see also Volume 2, Chapter 4, Fig. 6). The modern management of pituitary adenomas should involve several disciplines: current neuroradiologic studies detect microadenomas and provide precise delineation of gross morphology and status of neighboring structures, and mixed MRI signals suggest new or old hemorrhage, cysts, and so forth (Fig. 2); radioimmunoassay techniques assay PRL and other endocrine levels; oral neuropharmacologic agents, such as bromergocryptine, provide a “medical adenomectomy” for hyperprolactinemia and acromegaly; transsphenoidal surgery, including high-illumination microscopical procedures, televised radiofluoroscopic monitoring, and infection control, has all but replaced transcranial approaches; immunohistochemistry techniques have replaced the anachronistic tinctorial designations (e.g., chromophobe, basophilic) with a functional classification.

Fig. 2. Large prolactinoma. Original vision in the right eye (RE) was 8/200, left eye (LE) 1/200, with serum prolactin of 26,000 ng/ml and galactorrhea. Four months of bromocriptine reduced prolactin to 661 ng/ml, vision improved to RE 20/40, LE 20/50. At 3 years, vision was as follows: RE 20/30, LE 20/20; prolactin was 25.9 ng/ml. Enhanced magnetic resonance imaging. Sagittal (A) and coronal (C) images at diagnosis. Sagittal (B) and coronal (D) images at 2-year follow-up, showing dramatic shrinkage of the mass.

PRL-secreting adenomas are the single most common type of pituitary tumor and occur more frequently in women than in men.20 Most of these tumors are microadenomas, although tumors confined to the sella are relatively rare in men. In women, amenorrhea and galactorrhea are the symptoms that provoke investigation, whereas in men, symptoms include loss of libido, impotence, gynecomastia, galactorrhea, and hypopituitarism.25

These various clinical manifestations occur with or without visual loss, depending on the volume of the adenoma; that is, the degree of suprasellar extension and compression of the chiasm. As a rule, true prolactinomas are associated with serum PRL levels higher than 150 to 200 ng/ml, and they usually range from 700 to 7000 ng/ml; the larger the tumor, the greater the serum PRL and, therefore, radiologically large adenomas with PRL levels lower than 200 ng/ml are probably nonsecreting and are not likely to respond to medical therapy (see below).

Hyperprolactinemia up to 100 ng/ml may be due to simple physiologic causes, including stress, sexual intercourse, nipple stimulation, and exercise, or it may be secondary to pharmacologic agents such as phenothiazines, tricyclic antidepressants, calcium channel blockers, and cimetidine.25 However, other lesions in and around the pituitary gland and hypothalamus that compromise the pituitary stalk may present as “pseudoprolactinomas.” Immunohistochemical studies performed on 97 tissue specimens in patients operated on for presumed prolactinomas at the Mayo Clinic in Rochester, Minnesota26 revealed 65% to be microadenomas, but null-cell tumors accounted for 4 of 5 pseudoprolactinomas; these tended to be large at diagnosis, but with minor PRL elevation. Suprasellar cystic lesions can also cause hyperprolactinemia with field defects,27 as can carotid suprasellar aneurysms.28 Unlike true prolactinomas, non-PRL-secreting suprasellar tumors, with secondary hyperprolactinemia due to pituitary stalk compression, do not show a correlation between size and PRL level.29

With the advent of the ergot-derived dopamine agonist bromocriptine, there is a pharmacologic alternative (or adjunct) to surgery for prolactinomas. Bromocriptine (2-bromo-alpha-ergocryptine) is representative of a class of ergot derivatives that, since the early 1970s, have been known to inhibit pituitary gonadotropic function, reduce PRL secretion, and diminish the size of pituitary tumors (see Fig. 2). Such ergot derivatives are structurally related to dopamine, a PRL-inhibitory factor elaborated by hypothalamic dopaminergic neurons. It is likely that bromocriptine acts in two ways: dopamine turnover in tubero-infundibular neurons is depressed, thereby increasing hypothalamic dopamine; dopamine receptors of the pituitary are inhibited, reducing both spontaneous PRL secretion and the release of PRL provoked by thyrotropin-releasing hormone. At any rate, bromocriptine decreases PRL production and secretion, with resultant reduction in lactotrope size and subsequent diminution of tumor volume, often rapidly, within 1 to 2 hours of initiation of treatment.25

Spark and associates,30 among others, reported the efficacy of bromocriptine in reducing tumor size; it was demonstrated that bromocriptine lowered PRL, reduced GH in acromegaly, and reversed visual field defects. However, patients with extrasellar extension or with high PRL levels did less well. The great weight of evidence now clearly shows that most microadenomas (intrasellar) are demonstrably reduced in size,31 in about 3 months at an average dose of 5 mg per day, but cystic necrosis may develop, and adenomas may increase in volume if bromocriptine is discontinued.

The tumor-reducing effect of bromocriptine on prolactinomas has been tested on 5 types of large, extrasellar pituitary tumors.32 Twenty patients were treated prospectively for up to 4.5 years with bromocriptine 30 mg or 60 mg per day (2 patients received 15 mg and 160 mg, respectively), and the effect on the size of the pituitary tumors was quantitated by planimetry of CT scans before and during treatment. The immediate success rate was 16 of 20 tumors, and 11 nonsecreting tumors were reduced by a median of 32%, with an immediate success rate of 9 of 11. Nine secreting tumors (4 that secreted PRL; 3, GH; 1, ACTH; and 1, thyroid-stimulating hormone) were reduced by a median of 51%. The reduction in tumor size was significantly associated with pretreatment volume, but not with the hormonal serum concentrations or with previous radiation treatment. Moreover, bromocriptine treatment did not cause any pituitary insufficiency other than the desired suppression of PRL.

The clinical course of 10 patients with macroprolactinomas at the Wills Eye Hospital in Philadelphia was carefully documented33 after treatment with bromocriptine in daily doses ranging from 7.5 to 30 mg. Nine patients enjoyed improvement in acuity and fields quite rapidly, often within a few days, including the following: hand movements to 20/20 within 1 month, counting fingers to 20/20 or 20/30 within 7 to 12 days, and dramatic recovery of field defects. There was also a demonstrable decrease in tumor size by CT criteria, and lowering of serum PRL. Four patients subsequently required transsphenoidal decompression, for conditions including failure of visual improvement, cerebrospinal fluid (CSF) rhinorrhea, and medication intolerance. The authors cautioned that the long-term effects of bromocriptine therapy are not known, and prompt tumor regrowth is to be anticipated when the drug is discontinued. It was recommended that patients who are to undergo surgical decompression should be treated preoperatively to decrease tumor size and “to facilitate surgical removal,” and that residual tumor with elevated PRL should be treated with bromocriptine. A similar patient34 with a large pituitary tumor, hyperprolactinemia, bitemporal fields defects, and invasion of one cavernous sinus (involving the fifth and sixth cranial nerves) was treated with bromocriptine 7.5 mg per day,35 with marked reduction in the tumor size and resolution of field defects and cranial nerve dysfunction over a 6-month period, at which point the sella appeared empty.

Other dopamine agonists are available or under investigation, including long-acting bromocriptine (Parlodel), cabergoline, and CV-205-502; some prolactinomas resistant to standard dopamine agonists may respond to more potent agents such as cabergoline.35 Ophthalmic results in patients with macroprolactinomas treated with dopamine agonists show generally good results, with few instances of pituitary necrosis.25,36 Indeed, it may be that these newer pharmaceuticals should be the treatment of choice in patients with large pituitary tumors with extrasellar extensions.

These unquestionable successes notwithstanding, there remain unanswered questions concerning dopamine agonist therapy: Is long-term medical therapy preferable to simple transsphenoidal surgery? Can such patients ever be weaned from medical therapy? What about the ultimate outcome of tumors not characterized by PRL secretion? Should large, asymmetric (invasive?) adenomas be pretreated to make surgical removal easier? Based on an extensive experience, Wilson20 recommended microsurgical transsphenoidal removal of macroprolactinomas, with presurgical bromocriptine treatment of tumors larger than 2 cm. The details of neurosurgical procedures are beyond the scope of this present work, but Wilson's review and other sources37 should be consulted. Varying within the spectrum of surgical experiences, complications of transsphenoidal procedures include anterior pituitary insufficiency (about 20%), diabetes insipidus (about 18%), CSF rhinorrhea (about 4%), and, rarely, loss of vision or diplopia.38 Infrequent untoward results include hydrocephalus secondary to subarachnoid blood, cerebral ischemia related to vasospasm, meningitis with or without CSF leak, and death associated with intraoperative or postoperative hemorrhage.20,38

Radiation therapy is currently used as an integral part of postoperative treatment in patients with incompletely resected nonfunctional adenomas. External-beam conventional protocols delivering median total dosage of 45 Gy are considered highly effective in preventing recurrence of hormonally inactive tumors, but they may compound relative hypopituitarism.39 Young patients with total tumor removal, or without MRI evidence of recurrence, may be safely observed with radiation therapy held in reserve. The role of stereotactic radiosurgery (single-fraction high-dosage) of pituitary adenomas is not yet clear, preliminary results notwithstanding.40

Following uncomplicated surgical decompression, visual acuity and fields may return with dramatic speed or improve weekly. Such restoration is dependent on duration of visual morbidity and, to some extent, the degree of pallor of the optic discs. Preoperatively, if careful ophthalmoscopy reveals attrition of the retinal nerve fiber layer, corresponding field defects are permanent. For the most part, what vision returns does so by 3 to 4 months, if not sooner, but many months may pass before maximum recovery is attained. Not all surgical procedures are successful, and visual function may worsen, especially after frontal craniotomy for large adenomas with massive suprasellar extension. Visual deterioration at or immediately following surgery is related to intrasellar hematoma formation, edema of tumor remnants, or direct surgical manipulation of optic nerves or chiasm and adjacent vasculature. Arterial injuries, for example, 21 instances in more than 1800 cases, produce intraoperative hemorrhage, delayed epistaxis, carotid arterial occlusion, and pseudoaneurysm.41 Postoperative packing of the sella with muscle or subcutaneous fat may compress the optic nerves and chiasm, for which reason MRI is warranted when vision is worsened or does not recover quickly within a few days.42

After surgical, medical, or radiation therapy, the visual fields should be assessed as soon as possible to determine baseline function. In uncomplicated cases, monthly intervals during the first 3 months should suffice, then at 6 months, and subsequently yearly follow-up are usually adequate. Recurrence of visual failure may be caused by regrowth of tumor, arachnoidal adhesions associated with a progressive “empty sella syndrome” (see below), or delayed radionecrosis (see below). Tumor recurrence is by far the most common mechanism of visual deterioration, but field examination alone may not make this distinction. With prolactinomas, serum PRL levels may be monitored, and, indeed, prolactinomas have a higher recurrence rate than nonsecreting tumors.43

Although it is not known for certain which factors influence risk of recurrence, certainly the original size of the tumor does, as well as PRL activity. In one series,44 the rate of recurrence in 56 patients with large adenomas, all but 1 having received postoperative irradiation, was 20% (11/56), occurring between 6 months and 6 years. Again, it was not clear that original tumor size was related to more aggressive growth or high recurrence rate, but no histologic differences were found between tumors that were large and relapsing and those that were smaller and did not recur. In another series45 of 100 nonfunctioning pituitary tumors, of which 82% were null-cell adenomas, symptomatic recurrence developed in 6 patients, and 10 demonstrated radiographic recurrence during 48 to 100 months (mean, 73.4 months) of observation after transsphenoidal surgery; the effect of radiation therapy was moot.

The follow-up of treated adenomas has been problematic, from the standpoint of detecting recurrence. As adenomas must be large initially to cause visual defects, so must recurrences be substantial before defects again evolve. Although progressive visual failure may be the incontestable impetus for re-operation or irradiation, consecutive perimetry may not be counted on to reveal “early” tumor recurrence. An anatomic assessment, as provided by CT scanning or MRI with coronal views, provides the most sensitive technique for monitoring tumor regrowth. In addition, measurement of serum PRL levels in the immediate postoperative period and at regular intervals is a rational way to determine recurrence of prolactinomas.

Pituitary adenomas may act more aggressively on occasion, invading the laterally adjacent cavernous sinuses and producing acute or chronic cranial nerve palsies (see Volume 2, Chapter 12). Potential markers for aggressive biologic behavior include p53, MIB-1, PCNA, RB, and H-ras; a high MIB-1 antibody index indicates active proliferation, as does positive p53.46 Indeed, prolactinomas may metastasize. A case of “sinusoidal adenoma” invading the skull base, pterygoid, and orbit of a 12-year-old boy was reported47; the cytologic picture suggested “a higher degree of malignancy than usual,” but it did not appear to be an undifferentiated carcinoma. Another rare instance of an invasive pituitary adenoma was described also in a 12-year-old boy who presented with severe headache, vomiting, rapid loss of monocular acuity, and sixth nerve palsy48; histologically, there was absence of cellular pleomorphism or of mitosis despite the invasive course. Histologic criteria apparently are not sufficient to indicate invasive tendencies, and local extension is not evidence of malignancy. Seeding of the subarachnoid space and spread outside the cranium are extremely rare complications that indicate biologic malignancy.

Malignant lesions of the pituitary may be initially mistaken for simple adenomas, including sellar plasmacytoma, lung, and breast metastases49; atypical features suggesting malignancy include rapidly progressive visual loss, ocular motor palsies, and facial numbness (see also below, Metastatic Diseases and Other Mass Lesions). In addition, benign and rare vascular malformations of the sella fossa are reported.50

ACROMEGALY

Other adenomas secrete ACTH or thyroid-stimulating hormone or are “mixed” (most commonly PRL- and GH-secreting), but they are principally of endocrinologic interest and relate to neuro-ophthalmology only when extrasellar extension produces field defects. However, acromegaly requires further elaboration.

Acromegaly is the clinical condition associated with excess GH either from autonomous pituitary adenoma secretion or from hypothalamic production of GH-releasing factor with subsequent GH hypersecretion. Many GH-secreting tumors contain a mutant form of the chain of GS protein in the somatotrope. This represents a relatively rare endocrinopathy, although in Wilson's surgical series20 of 1000 transssphenoidal procedures, there were 195 cases of GH-secreting adenomas, and 228 cases of acromegaly were found among 1000 adenomas seen at the Mayo Clinic from 1935 to 1972.51 Clinical features include bone and soft tissue enlargement, especially of hands, feet, and face, visceromegaly, arthritis and carpal tunnel syndrome, hypertension, diabetes, hyperhidrosis, weakness, arthralgias, tooth malocclusion, headaches, impotence, menstrual irregularities, and abnormal glucose tolerance test results. Adenomas associated with acromegaly seem not to expand beyond the sella with the regularity typical of prolactinomas or nonsecretory tumors. This phenomenon may be attributable to earlier detection as a consequence of prominent clinical manifestations. Nonetheless, 144 of 228 patients with acromegaly in the Mayo Clinic series51 had visual field defects, a finding that may reflect delay in diagnosis in a series commenced 6 decades ago.

The use of octreotide and other long-acting analogs of somatostatin are indicated as follows: for the treatment of patients with active disease when surgery or radiation therapy has failed or is contraindicated; while awaiting the clinical effects of radiation therapy; as primary treatment in the elderly and medically incapacitated.52 Long-term octreotide therapy reduces serum levels of GH and insulin-like growth factor-1, and it reduces tumor size.53 Ablation of GH-adenomas is also achieved with various forms of radiation therapy, but more or less immediate remission is best accomplished by transsphenoidal resection.

PITUITARY “APOPLEXY”

Pituitary “apoplexy” refers to an acute change in volume of a pituitary adenoma as a result of spontaneous hemorrhage, edematous swelling, or necrosis. Postpartum infarction or hemorrhage in nontumorous glands does occur, as firmly established in the obstetric literature as “Sheehan's syndrome,”54 but chiasmal compression is a rare event. Even in clinically silent cases, adenoma necrosis with cystic liquefaction and evidence of previous bleeding is encountered commonly enough and may be identified by radiologic criteria (see below). Gross or microscopic hemorrhagic necrosis is apparently independent of endocrine activity or neoplastic pattern. In a review55 of 320 verified adenomas, with a high incidence in giant or recurrent large adenomas (41%), evidence of hemorrhage was found in 58 cases (18%). Mean age was 50 years, and clinical courses included the following: acute apoplexy, 7 cases; subacute apoplexy, 11 cases; recent silent hemorrhages, 13 cases; old silent hemorrhage, 27 cases. That is, in 58 cases of hemorrhage in adenomas, 40 were symptomatically silent. From a series56 of 453 operated adenomas, 45 (10%) demonstrated hemorrhage, but only 13 of these patients had acute symptoms of pituitary apoplexy; the authors correlated hemorrhage with marked suprasellar extension. Wilson20 concluded that most massive pituitary tumors are prolactinomas, and there is “evidence of necrosis in most prolactinomas”; spontaneous necrosis or hemorrhage is related to indolent tumor growth; that is, tumor cell population expands or contracts at a rate determined by the balance of cell production and cell death.

Hemorrhage into adenomas is documented following head trauma,57 after cardiopulmonary bypass,58 and subsequent to tests of pituitary function using thyroid-releasing hormone, gonadotropin-releasing hormone, and insulin.59 Additionally, uncomplicated pregnancy, bleeding disorders, radiation therapy, adrenalectomy, and physical exertion are all reported predisposing factors in pituitary “apoplexy.”60 Indeed, pituitary hemorrhage may occur in adolescence,61 principally in prolactinomas.

Clinical signs and symptoms include the following: acute onset of severe headache, often sickening frontal or retro-bulbar cephalgia, or other less disabling change in headache pattern; acute or rapidly progressing unilateral or bilateral (usually asymmetric) ophthalmoplegia due to rapid expansion into cavernous sinuses (see also Volume 2, Chapter 12); epistaxis or CSF rhinorrhea when the mass ruptures or erodes into the sphenoid sinus; complications of blood or necrosis debris in the CSF, with “pseudomeningitis”; rapid neurologic deterioration and obtundation, although patients need not be stuporous; and, greater or lesser degrees of hypopituitarism.62,63 Selective expansion laterally into the cavernous sinus may produce ophthalmoplegia without visual loss; selective expansion superiorly may produce visual loss without ophthalmoplegia. Almost without exception, enlargement of the sella is found even on plain skull film views; both CT and MRI detect fresh hemorrhage (Fig. 3), but MRI may fail to demonstrate acute hemorrhage unless specific sequences are employed (hemorrhage may be isointense on T1-weighted images and hypointense on T2-weighted images; in the subacute phase, extracellular methemoglobin should appear bright on both T1 and T2 sequences). Corticosteroid replacement and other supportive measures may be critical, and, in most instances, decompression through the sphenoid sinus is advisable, sooner rather than later. Bromocriptine has been suggested as a temporizing measure when signs and symptoms are modest and not progressing,64 and there are advocates65 for conservative management consisting of intravenous dexamethasone, so long as visual deficits are minimal or rapidly improve; otherwise decompressive surgery is required. Given the regularity with which pituitary apoplexy is often a delayed diagnosis, being confused with ruptured aneurysm or meningitis, for example, and that transsphenoidal surgery is a relatively simple undertaking, further procrastination in decompression of the compromised visual pathways is to be avoided.

Fig. 3. Neuroimaging of pituitary adenomas. A. Axial computed tomography (CT) section shows a round tumor mass filling the suprasellar cistern; ring enhancement (arrows) indicates subcapsular hemorrhage. B. Contrast-enhanced coronal CT section through a large invasive adenoma. Note encasement of the carotid artery (arrows) and the position of the middle cerebral artery above (arrowheads). C. Axial CT section shows lateral expansion into the cavernous sinuses (white arrows) and a necrotic cyst (black arrow). D. Subfrontal superior extent of the mass. Note the middle cerebral arteries. E. Magnetic resonance imaging of a large lobulated prolactinoma, with suprasellar extension. Note the distortion of the third ventricle (open arrows) and extension toward the temporal lobe (long arrow); the tumor has not involved the sphenoidal sinus (s). F. Chiasm (arrowheads) is draped on the superior surface of the tumor (TR, 550 milliseconds; TE, 26 milliseconds). G. Sagittal section shows suprasellar growth with the chiasm above (arrowheads); the sella (arrows) and sphenoidal sinus (s) are normal (TR, 850 milliseconds; TE, 26 milliseconds). H. Hyperintense signal (TR, 2000 milliseconds; TE, 60 milliseconds) indicates the partial cystic character. Sagittal (I) and axial (J) sections with head tilt to the right, in case of a large cystic adenoma with an interface level between newer blood (white arrow) and older blood (black arrow) (TR, 800 milliseconds; TE, 30 milliseconds). K. Signal difference is intensified (TR, 2100 milliseconds; TE, 80 milliseconds). L. Hemorrhage (bright signal, arrow) in a pituitary adenoma with headache and bitemporal field depressions. M. Without interventions, 2-month follow-up showed spontaneous involution, with normal pituitary gland (arrow), stalk, and chiasm.

Imaging of Pituitary Tumors

In addition to the radiologic implications mentioned previously, specific points should be emphasized. Contrast-enhanced CT and, especially, MRI have replaced all previous radiologic techniques in the detection and anatomic assessment of sellar and juxtasellar lesions. MRI has also the inherent advantage of using no radiation, nor does it require iodinated contrast injections. Although thin-section contrasted CT does indeed disclose most lesions, bone changes, and recent hemorrhage, MRI is superior in delineating distortions of optic nerves and chiasm, in displaying arteries, and in revealing fat, hemorrhage, or cyst (see Figs. 3E through M). Indeed, in a prospective study of normal volunteers, gadolinium-enhanced MRI disclosed pituitary adenomas (3 mm to 6 mm in diameter, i.e., microadenomas) in 10% of adults aged 18 to 60 years.66 T2-weighted fast spin-echo MRIs are currently the most precise sequence for demonstrating the optic nerves and chiasm, even when these structures are severely distorted by suprasellar tumor extension.67

The question of invasion or displacement of the cavernous sinus has been studied by MRI technique,68 with the following conclusions: the normal cavernous sinuses are usually symmetric but vary in size; the lateral dural margins are easily recognized as linear, discrete, low-intensity structures; the medial dural margin (pituitary capsule) is rarely discernible; sensitivity of predicting cavernous sinus invasion is only 55%; no features permit certain distinction between invasive and noninvasive adenomas, because the medial wall of the cavernous sinus is not reliably identified; the most specific sign of invasion is carotid artery encasement. Normal pituitary glands extend laterally into the cavernous sinus in 29% of microanatomic dissection specimens.69

A study70 of the CT appearance of pituitary masses after transsphenoidal surgery showed that the superior limits do not return to normal immediately despite complete tumor removal, but only gradually regress in 3 to 4 months. This phenomenon is variably due to blood clot in the sella, to muscle or fat used as packing material, and to adhesions between the diaphragma sellae or tumor and brain tissue above. Therefore, neuroimaging in the immediate postoperative period may be misleading, and baseline radiologic evaluation may be delayed for 3 to 4 months, unless otherwise indicated.

MENINGIOMAS

Posterior perioptic foraminal, medial sphenoid ridge, and tuberculum sellae meningiomas produce prechiasmal (optic nerve) or chiasmal compression, as do olfactory groove and planum masses that extend posteriorly. Visual deficits usually take the form of slowly progressive monocular loss of vision, and, when both fields are involved, there is a distinct tendency toward marked assymetry, frequently with extensive visual deficit on one side before the contralateral field becomes involved. Slow growth across the tuberculum eventuates in contralateral optic nerve or chiasmal interference. There is a distinct predilection for meningiomas to occur in middle-aged women, and enlargement during pregnancy, as well as possible association with breast cancer, supports evidence for the role of estrogen and progesterone receptors.71

Although nonspecific headaches are a common feature of suprasellar meningiomas, most patients present with monosymptomatic failure of vision and are thus likely to present initially to the ophthalmologist. Although relentless deterioration of vision is the rule, fluctuations over weeks or months may mimic optic neuritis.72 Slavin73 documented an exceptional case of acute, bilateral central scotomas developing over 2 weeks, in the presence of a gigantic meningioma that extended into the ethmoid sinuses and under the frontal lobes. In a series of suprasellar meningiomas,74 the time interval from the onset of unilateral visual loss to subjective bilateral defects, was 1 to 8 years; simultaneous bilateral onset was not documented. Although periocular pain made worse by eye movement is typical of inflammatory optic neuritis, Ehlers and Malmros75 reported this symptom with suprasellar meningiomas.

Asymmetric optic disc pallor is a relatively “late sign,” normal discs being fully compatible with visual loss over many months. The much-touted Foster Kennedy syndrome, that is, optic atrophy with contralateral papilledema due to large subfrontal meningiomas, remains a distinct rarity.75 Anosmia, also classically considered an important finding with olfactory meningiomas, is much overrated and is difficult to assess. Delayed diagnosis of large tumors results in frontal lobe compression and edema causing mental changes or hydrocephalus due to obstruction of the ventricular system.

In previous decades, chiasmal interference with optic atrophy, but “normal” plain skull films, was referred to as “Cushing's syndrome of the chiasm,” caused by meningiomas, aneurysms, or other noncalcified suprasellar lesions. The modern neuroimaging techniques of enhanced CT, “bone-window” protocols, and gadolinium-contrasted MRI are now exceedingly sensitive in disclosing meningiomas or other parachiasmal masses (Fig. 4). At present, contrast-enhanced CT or MRI precisely demonstrate extra-axial tumor configuration; CT is superior in disclosing calcification or bone changes, but it is inferior for assessing suprasellar or intrasellar extension, postsurgical changes, and vascular displacement or encasement.76 Whether MRI or even MR angiography obviates standard selective arteriography, especially when surgical intervention is contemplated, is moot.

Fig. 4. Magnetic resonance imaging of a suprasellar meningioma (TR, 600 milliseconds; TE, 20 milliseconds). A. Coronal section of a large meningioma (large arrows), isodense to brain. B. Sagittal section. Note the normal sella and pituitary gland (p). Sagittal (C) and coronal (D) sections of a planum meningioma, extending into the sella. Note the upward deflection of the chiasm (arrow in C) and extension to the cavernous sinus (arrows in D).

In a large surgical series,77 257 patients underwent 338 craniotomies for meningiomas at diverse intracranial locations. Of these, there were 35 sphenoid wing, 20 olfactory groove, 12 tuberculum sellae, and 2 orbito-cranial meningiomas; that is, about 27% of tumors were of potential neuro-ophthalmologic interest. For the entire series, average observed survival was 9 years, and recurrence rate was 22% overall. At the Massachusetts General Hospital in Boston,78 of 225 patients operated on for meningioma, parasellar tumors constituted 12%; only half of these were considered grossly “completely excised,” but with a 5-year probability of recurrence or progression of 19%. No radiation therapy was applied in this series.

Rosenberg and Miller79 analyzed the visual results in 16 patients following modern microsurgical removal of meningiomas involving the intracranial optic nerves or chiasm. Median age at diagnosis was 56.5 years, and median duration of visual symptoms was 19.5 months. Visual acuity improved in 12 of 32 eyes, worsened in 8 (3 optic nerves were transected; 5 eyes showed an average drop of 2.6 lines in acuity), and 10 eyes retained normal function. Visual outcome appeared to be related most closely to duration of symptoms.

The response of meningiomas to irradiation has not been clearly established. In general, growth and regrowth rates are extremely slow, compounding the problem of assessing the question of radiotherapeutic efficacy. In a series of 12 incompletely resected meningiomas (8 sphenoidal, 2 petrosal, 1 each orbital and parasagittal), patients were subjected to 4800 to 6080 cGy (median dose, 5490 cGy) in 6 weeks80; median postradiation follow-up was 54.5 months (range, 20 to 120 months), and 9 patients were said to remain free of clinical or radiologic signs of tumor progression. Recurrent lesions were discovered at 4, 6, and 9 years, and the authors concluded that postoperative radiation therapy is indicated for incompletely excised meningiomas. Carella and colleagues81 reviewed the experience with 68 patients, 49 women and 19 men, divided into 3 groups: (A) 43 patients who had surgery (42 with known residual tumor) followed by irradiation; (B) 14 patients who had radiation for recurrence, of whom 11 underwent subtotal resection before radiation therapy; (C) 11 patients who had radiation as primary treatment. In Group A, 41 of 43 patients were alive, most doing well neurologically after 1 to 10 years; in Group B, 5 were dead of meningioma (all within 3 years), and 7 patients were considered “stable”; in Group C, all were alive at 3 to 6 years, 9 with neurologic improvement, and 4 with CT evidence of tumor shrinkage with central necrosis.

Conventional fractionated radiation therapy continues to provide mixed results,82,83 and stereotactic radiation therapy with single-fraction dosage has enthusiastic advocates, but relatively short-term follow-up data.84 Undoubtedly, external-beam radiation therapy has a role as an effective adjunctive treatment in the control of meningioma recurrence, but the possibility of collateral damage, including radionecrosis (see below) of vital neural structures, must be considered.

With reference specifically to results of radiation therapy of meningiomas involving the anterior visual pathway, Kupersmith and coworkers85 analyzed 4 patients treated by irradiation alone and 16 treated in combination with tumor excision. Improvement in visual function occurred in 13 patients, 2 showed temporary improvement, and 5 maintained stable function for up to 9.5 years; follow-up CT did not disclose reduction in tumor size. The study by Kennerdell and associates,86 dealing primarily with optic nerve sheath meningiomas, inferred a distinct salutary effect of irradiation alone or as a supplement to partial microsurgical resection.

The management of menigiomas involving the intracranial optic nerves and chiasm may be summarized as follows: surgery remains the principal initial endeavor, in some instances with efforts intended only at judicious gross “debulking”; postoperative radiation therapy at least appears to increase the recurrence-free interval in cases of incompletely resected tumors; radiation therapy alone (dosage range, 5000 to 5500 cGy) is an acceptable alternative in patients considered poor surgical risks, especially where tumor has encased major arteries or invaded the skull base or when neuroimaging demonstrates surgically inaccessable optic nerves or chiasm. Complications arise when adhesions of tumor to portions of nerves or chiasm, or to vessels, are agressively manipulated in attempts at “complete removal.”

Progesterone receptor sites are expressed in 81% of women and 40% of men with meningiomas,71,84 with 96% of benign and 40% of malignant meningiomas containing progesterone receptor-positive nuclei, but without correlation between progesterone receptor index and age or histologic subtype.71 Moreover, the efficacy of antiprogesterone agents such as mifepristone has proved disappointing.87 At present, immunotherapy in the form of interferon-alpha is under investigation.88 Treatment options, or the absence thereof, must be considered in light of the glacial growth rate of most meningiomas. For example, Olivero and colleagues89 found that 78% of 60 asymptomatic meningiomas followed for over 2.5 years demonstrated no growth, and the remaining 22% showed a mean growth rate of only 0.24 cm in maximum diameter per year. Therefore, judicious observation may prove the best option, especially in the elderly or in patients with considerable risk for surgical intervention.

Recurrence or regrowth of tumor is best monitored by contrast-enhanced CT and gadolinium-enhanced MRI. After initial postoperative baseline visual field plotting, consecutive perimetry discloses visual failure only as a relatively late sign of tumor enlargement.

Perioptic meningioma of the intraorbital portion of the optic nerve is considered in Volume 2, Chapter 5, Part II.

CRANIOPHARYNGIOMAS

Craniopharyngiomas are tumors that arise from vestigial epidermoid remnants of Rathke's pouch, scattered as cell rests in the infundibulo-hypophyseal region. These tumors are usually admixtures of solid cellular components and variable-sized cysts containing oily composites of degenerated blood and desquamated epithelium or necrotic tissue (and blood) with cholesterol crystals. Dystrophic calcification of this debris is detectable with plain films and CT imaging and is an important radiologic sign estimated to be seen in more than 80% of childhood craniopharyngiomas. These tumors are congenital (dysontogenic) and, in rare instances, may present in the neonate. There is a more or less bimodal age incidence, peaking in the first 2 decades and again in the years 50 to 70 (Fig. 5). These predominantly suprasellar tumors account for 2% to 4% of all intracranial tumors regardless of age group, but the incidence is 8% to 13% in children. Of all suprasellar masses, craniopharyngiomas comprise 54% in children, and 20% in adults, and show two clinicopathologic and pathogenetic separate types: adamantinous (predominantly cystic, in childhood) and squamous-papillary (predominantly solid, adulthood).90

Presentation in childhood is commonly related to hydrocephalus and endocrinopathies, consisting of variable degrees of hypopituitarism with or without diabetes insipidus; obesity and somnolence also attest to hypothalamic disturbance. Gonadotropic hormone deficit results in retarded or absent sexual development, and precocious puberty is rare. In children, progressive visual loss goes unnoticed until a level of severe bilateral impairment is reached, or unless headache, vomiting, and behavioral changes occur. Increased intracranial pressure produces papilledema in about 65%, and optic atrophy is observed in roughly 60%.91

In adults, visual deterioration is the universal symptom that demands investigation, although occult endocrine dysfunction may be uncovered; hypopituitarism, diabetes insipidus, amenorrhea, and galactorrhea inconstantly eventuate. Visual field defects are frequently asymmetric bitemporal hemianopias or a homonymous pattern with reduced acuity (Fig. 6) when the optic tract is compressed.92

Fig. 6. Chiasmal-optic tract (posterior “junctional”) field defect in an elderly woman with craniopharyngioma elevating the floor of the third ventricle and compressing the right optic tract. Note inferior incongruous hemianopia combined with diminished central acuity. LE, left eye; RE, right eye.

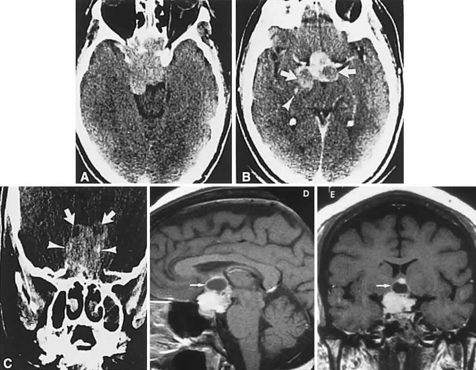
CT scanning retains special relevance to craniopharyngioma diagnosis, currently superior to MRI in detection of calcification and cyst formation (Fig. 7A to C); however, the extent of involvement of adjacent structures, that is, the optic chiasm, third ventricle, and intracavernous carotid artery, is more clearly delineated by MRI (Fig. 7D and E).93 Craniopharyngioma fluid collections are found to be uniformly bright on T2-weighted sequences, but on T1-weighted images, the signal intensity may range from hypointense to hyperintense, reflecting the heterogeneous contents of cysts. Because calcification and cyst formation are hallmarks of craniopharyngiomas, CT is more specific than MRI. At times, intrinsic infiltration of tumor may thicken the chiasm and contiguous optic nerve, a radiologic configuration that mimics glioma.94 Likewise, glioma may be simulated when the optic canal is invaded and enlarged, but accompanying bony erosion of the sella weighs heavily toward craniopharyngioma.

Fig. 7. Computed tomography scan of a large, multicystic craniopharyngioma. A. Axial section through the sella shows destruction of the bony skull base. Axial (B) and coronal (C) sections show cysts (white arrows) and calcification (arrowheads). Contrast-enhanced magnetic resonance imaging of the craniopharyngioma. Sagittal (D) and coronal (E) sections with gadolinium show solid and cystic (arrows) portions.

More than half a century ago, Harvey Cushing declared that craniopharyngiomas “offer one of the most baffling of surgical problems,” and were “disheartening from an operative standpoint.”95 Fortunately, in the modern era, the surgical microscope, steroid replacement, radiation therapy, and valve-regulated shunts have all proved valuable adjuncts to the operative management of these masses. Since the time of Matson, a major neurosurgical school of thought was preoccupied with “complete” removal of craniopharyngiomas in preference to subtotal extirpation. Although primary total removal is no doubt ideal, this is actually only rarely accomplished. The question of “matsonian total removal” was addressed in the 1975 follow-up by Katz,96 who analyzed the results of surgical management in 51 of Matson's patients operated upon between 1950 to 1968; there was a 25% operative mortality, a 71% 11-year mortality, and 76% of those cases examined by autopsy had residual tumor at the time of death.

A less ambitious approach consists of cyst aspiration, intracapsular dissection, cyst drainage via subcutaneous reservoir, and radiation therapy. In a series of 43 children at the Columbia-Presbyterian Medical Center in New York from 1952 to 1977,97 10-year actuarial survival rates were 52% for subtotal resection alone and 87% for subtotal plus radiation (mean, 5000 cGy). Tumors had recurred by 10 years in half of 14 children in whom removal was thought to be total, in more than 90% of those whose tumors were subtotally removed, and in less than 25% of those at risk after subtotal resection and irradiation. Recurrences were usually evident within 2 years, but more delayed after “total” resections. From a later series of 37 children cared for at Children's Hospital, Boston, from 1972 to 1981,98 it was concluded that radiation therapy was equally, if not more, effective than attempted excision in controlling subsequent tumor growth. It is inferred that conservative surgery combined with irradiation (mean dose, 5464 cGy) offers less risk for psychosocial impairment than does tumor excision, although the delayed effects of radiation to the juvenile brain must be taken into account (see the discussion of therapy for optic glioma, below).

Craniopharyngiomas that arise low on the hypophyseal stalk are subdiaphragmatic and may be approached via the transsphenoidal route99; cystic recurrences may also be managed by transsphenoidal drainage, although surgical cure is unlikely. Interestingly enough, the first craniopharyngioma operated on successfully was reported in 1910, by Halstead, via the transsphenoidal approach.100

Regardless of surgical approach or use of radiation therapy, endocrine replacement is anticipated in all cases, often for life.

OPTIC AND HYPOTHALAMIC GLIOMAS

As noted in Volume 2, Chapter 5, Part I, astrocytic tumors of the anterior visual pathways present as two unrelated pathologic entities: the relatively benign and stable piloid glioma of childhood and the rare malignant glioblastoma of adulthood. Clinically and histologically, these two neoplasms have little in common, and the assumption that the malignant form stems from the indolent childhood glioma is untenable. The major clinical characteristics of these astrocytomas are contrasted in Table 1.

 

TABLE 1. Primary Gliomas of Nerve and Chiasm


 ChildhoodAdulthood
Age at onset of symptoms4–8 yrMiddle age
PresentationVisual defects, proptosisRapid, severe unilateral visual loss (mimics neuritis)
CourseRelatively stable, nonprogressiveRapid bilateral visual deterioration; other intracranial signs
PrognosisCompatible with long lifeDeath within months to 2 yr
NeurofibromatosisRelated in large percentage of casesNo relationship
Histology (glioblastoma); may metastasizeNoninvasive, pilocytic astrocytomaInvasive, malignant astrocytoma

 

Childhood gliomas are clinically and pathologically controversial lesions, questions arising regarding natural course, growth potential, and efficacy of therapy. In 1922, Verhoeff remarked that, because most optic gliomas become manifest in early childhood, it is highly suggestive that these tumors “are really congenital in origin and due to some more or less localized abnormality in the embryonic development of the neuroglia of the nerve.” Furthermore, Verhoeff believed that a glioma “does not increase in size by invading or destroying … but does so by causing pre-existing neuroglia in the vicinity of the growth to proliferate.” Therefore, taking into account their occurrence in infancy and childhood, their indolent natural course, limited growth characteristics, histopathologic composition, and association with neurofibromatosis (see Volume 2, Chapter 5, Part II, and below), it is not unreasonable to make a case that optic gliomas are hereditary congenital hamartomas.

Alvord and Lofton,101 in a literature review, uncovered 623 cases of optic gliomas with sufficient information to permit actuarial (life-table) analysis of prognosis as influenced by patients' age, tumor site, treatment, presence of concomitant neurofibromatosis, or extension into the hypothalamus or ventricle. The development of mathematical models led to the conclusion that these tumors, generally regarded histologically as low-grade astrocytomas, actually have a wide but continuous range of growth rates. Some grow rapidly enough to be explained by simple exponential doubling at a constant rate, but most behave as though their growth decelerates. This phenomenon makes comparisons of various groups of patients difficult, but no support was found for the classic hypothesis (see above) that some of these tumors may be hamartomas.

The association of von Recklinghausen's neurofibromatosis (NF), a form of congenital multiple hamartomatosis, and optic glioma is well known. The frequency of this association cannot be established with accuracy, but it is more common than generally recognized. The review by Hoyt and Baghdassarian102 included 36 cases of anterior optic gliomas, of which 21 occurred with NF; in 1 family, 2 siblings had optic gliomas, and in a second family, gliomas occurred in a mother and child. In a large series103 of 121 children younger than 18 years with NF (evaluated between 1953 and 1984), 17 (14%) had brain tumors, of which 9 were optic gliomas. Using MRI in 217 patients with NF aged 4 weeks to 69 years, tumors of the anterior visual pathways were uncovered in 15%, the mean age of patients with chiasmal tumors being about 15 years less than with optic nerve lesions only.104 Other similar studies105 of patients with NF using brain MRI showed an appreciable incidence of optic gliomas.

In the child with diminished vision, with or without proptosis, the stigmata of NF should be searched for, including café-au-lait spots, axillary freckling, iris fibromas, and peripheral nerve tumors. Family history should be carefully detailed with regard to skin manifestations, scoliosis, brain tumors, and seizures.

With regard to the indolent glioma of childhood, clinical presentation is predicated on location and extent of mass. Strictly intraorbital gliomas (see Volume 2, Chapter 5, Part II) present as insidious proptosis of variable degree, and although vision is usually diminished, remarkably good visual function is not uncommon. Orbital gliomas may be contiguous with astrocytic proliferation that extends posteriorly into the optic canal, the intracranial optic nerve, and the chiasm itself, that is, in the configuration of an “opto-chiasmatic” glioma. Anterior visual pathway gliomas may also be part of a more extensive mass that involves the hypothalamus, that is, an “opto-hypothalamic” glioma, with or without a congenital or juvenile diencephalic syndrome. Posterior continuation involves optic tracts and hemispheres.

Miller and associates106 classified chiasmal gliomas into anterior and posterior, suggesting that the latter, with involvement of the hypothalamus or optic tracts, manifest a more aggressive course and show a variable response to radiation therapy; in this series of 29 patients with pathologically documented chiasmal glioma, 9 tumors were anterior and 20 were posterior. The American Cancer Society proposed a system107 for clinical staging of optic pathway gliomas, according to standard oncologic terminology and based on visual function and anatomic location, as follows: T1, one optic nerve, intraorbital or intracranial; T2, both optic nerves; T3, optic chiasm; T4, hypothalamus or thalamus. The system for visual staging is simplistic and seems less useful.

Russell's diencephalic syndrome of early childhood hypothalamic glioma consists of the following: emaciation despite adequate nutritional intake, which develops after a period of normal growth; hyperactivity and euphoria; skin pallor (without anemia); hypotension; and hypoglycemia. Other notable signs include nystagmus, variable optic atrophy, sexual precocity, and laughing seizures. Layden and Edwards108 pointed out that, in 21 of 39 patients in whom eye movements were reported, pendular or rotary nystagmus occurred. Although spasmus nutans (disconjugate nystagmus, head titubation, and torticollis; see below and also Volume 2, Chapter 13) has been associated with chiasmal gliomas, in a review109 of 67 consecutive children with this diagnosis who underwent 29 imaging studies, none had evidence of a mass lesion, and the authors questioned the need for neuro-imaging, at least on initial evaluation.

Most cases of diencephalic syndrome are due to low-grade astrocytomas of the hypothalamus or adjacent chiasm, and almost all patients present when they are less than 2 years old. From Indiana University,110 12 cases of opticochiasmatic glioma with diencephalic syndrome were recorded, all with “failure to thrive,” but with normal linear growth, and none with NF. Clinical evidence of bilateral optic nerve involvement was seen in 10 of these 12 patients, but at operation it was not possible to determine an initial site of origin. Ten children received radiation therapy with subsequent weight gain, deposition of subcutaneous fat, and normal development. Modern neuroimaging techniques may obviate craniotomy for biopsy,111 and dissemination in the cerebral hemisphere and to the spine has been reported.112 Radiation therapy is widely supported.

The question of precocious sexual development with hypothalamic gliomas bears comment. True precocious puberty occurs as a result of the premature release of luteinizing hormone-releasing hormone from the hypothalamus, which, in turn, stimulates the secretion of the pituitary gonadotropins that stimulate the gonadal sex steroids. The differential diagnosis of true precocious puberty includes cerebral and idiopathic categories, a distinction that cannot be made endocrinologically because of similarities in pituitary gonadotropin and sex steroid levels, but it may be facilitated by neuroimaging. Of 90 children (73 girls and 17 boys) with true precocious puberty who underwent high-resolution CT scanning,113 34 cerebral abnormalities were demonstrated in 32 children, 16 boys and 16 girls. These lesions included 17 hypothalamic hamartomas (defined as ectopic gray matter), 1 hypothalamic astrocytoma, 4 chiasmal gliomas and 2 other chiasm lesions, 8 ventricular abnormalities (2 associated with optic gliomas, and 1 each hypothalamic astrocytoma and hamartoma), 1 arachnoid cyst, and 1 teratoma. MRI of central precocious puberty in 50 consecutive patients114 disclosed several abnormalities of the hypothalamic-pituitary axis, including glioma and ganglioglioma, anomalous distortions of the third ventricle and hypothalamus, and small tuber cinereum masses. Habiby and colleagues115 found precocious puberty in 40% of children with NF-1 and optic chiasm gliomas.

Chiasmal gliomas are more common than the isolated orbital type, and they present to the ophthalmologist as unilateral or bilateral visual loss, strabismus, “amblyopia,” optic atrophy or disc hypoplasia, or nystagmus. Indeed, the nystagmus may mimic spasmus nutans complete with head nodding, or it may show a gross bilateral mixed horizontal-rotary pattern, especially when vision is severely defective. In a multicenter, retrospective report116 of 10 infants in whom acquired nystagmus was the initial sign of chiasmal or parachiasmal glioma, 9 children presented before the age of 10 months. The nystagmus, primarily described as pendular and asymmetric, was difficult to differentiate from spasmus nutans. On average, the intracranial glioma was not recognized for 8.6 months after the onset of nystagmus, and in 5 diagnosed as “spasmus nutans,” the mean delay in tumor diagnosis was 14.5 months. Three associated clinical findings were present or developed in these patients that distinguish this entity from spasmus nutans: optic atrophy in all 10 patients, poor feeding due to diencephalic syndrome in 5 of 10, and increased intracranial pressure with hydrocephalus in 3 of 10. In addition, I have examined 2 infants blind from glioma who showed a see-saw nystagmus with intermittent bursts of rapid saccadic movements reminiscent of opsoclonus.

Children with extensive basal tumors frequently develop hydrocephalus or signs and symptoms of increased intracranial pressure. Hypothalamic signs include precocious puberty (see above), obesity, dwarfism, hypersomnolence, and diabetes insipidus. As a rule, the nonvisual complications of large optic gliomas arise in infancy and early childhood, and onset of ventricular obstruction or of hypothalamic involvement is uncommon much beyond the age of 5 years.

Visual fields defects with chiasmatic gliomas have been analyzed,117 without finding a consistent relationship between the pattern of deficit and the location, size, or extent of tumor; in 12 of 20 patients, the putative bitemporal pattern of chiasmal interference was absent. Central scotomas or measurable depression of the central field, including reduced acuity, occurred in 70% of eyes; therefore, the absence of bitemporal hemianopia or one of its variants cannot be interpreted as a sign that glioma does not involve the chiasm. This same report stressed the indolent nature of these tumors and the monotonously stable clinical course of chiasmatic gliomas.

The radiologic investigation of potential chiasmal lesions in childhood is sophisticated to the extent that “biopsy by neuroimaging” may obviate surgical exploration and actual tissue diagnosis. Biopsy may actually increase visual defects.117 Radiologic changes typical of optic glioma include smoothly enlarged optic canal, J- or omega-shaped remodeling of the sella due to erosion or dysplasia of the chiasmatic sulcus of the tuberculum, and suprasellar mass with elevation and flattening of the floor of the third ventricle. With some reservations, CT characteristics are nearly diagnostic,118 including the following three configurations: (1) tubular thickening of the optic nerve and chiasm; (2) suprasellar tumor with contiguous optic nerve expansion; and (3) suprasellar tumor with optic tract spread (Fig. 8). The diagnosis of globular or otherwise irregularly configured gliomas, without optic nerve or tract involvement, cannot be made on the basis of CT criteria alone. Contrast enhancement is typical. Findings in seven children119 included spread along optic tracts and, in five instances, involvement of lateral geniculate bodies and adjacent radiations. In fact, this propensity to track along posterior visual pathways implies the diagnosis of glioma. MRI is superior to CT in demonstrating posterior extent of optic pathway gliomas and additionally detects focal areas of hyperintensity in basal ganglia, internal capsule, cerebellum, and white matter that are not detected by CT.120,121

Fig. 8. Magnetic resonance imaging of a childhood optochiasmatic glioma. A. Sagittal section shows a ballooned optic nerve (curved arrow) and a thickened chiasm (X). B. Coronal section reveals a glioma in the chiasm (X), optic tracts (arrows), and walls of the third ventricle. C. T2-weighted axial image (TR, 200 milliseconds; TE 60 milliseconds) with postbiopsy edema (open arrows) and a glioma in the chiasm (X) with posterior extension to both optic tracts (white arrows). Coronal (D) and sagittal (E) views of a glioma of the chiasm (arrows).

The management of chiasmal gliomas is problematic and is often confounded by the absence or presence of neurofibromatosis, the quality of neuroimages, the variability of outcome data for morbidity and mortality, and reports reflecting enthusiastic advocacy for surgery or radiation therapy. Surgical resection of chiasmal gliomas seldom improves vision or prolongs life, and, indeed, exploration and biopsy may worsen visual and general morbidity, including inducing diabetes insipidus and other hypothalamic dysfunction. An occasional intraneural cyst presents the opportunity for decompressive incision,122 and exophytic growth is rare.123 In infants with NF-1, a glioma may rarely develop when previous early neuroimaging disclosed normal visual pathway structures,124 and spontaneous involution regression is exceptional but, indeed, documented.125,126 Nonetheless, it seems reasonable that exploration should be undertaken when doubt persists even after modern neuroimaging and thorough assessment of associated signs and symptoms, including search for stigmata of neurofibromatosis, and lumbar puncture to assess for inflammatory cells and angiotensin-converting enzyme levels. Sarcoidosis may present with chiasmal enlargement that mimics glioma (see below). Surgical CSF shunting procedures are of obvious value when hydrocephalus exists.

That chiasmal gliomas tend to behave as relatively benign pilocytic astrocytomas with limited growth potential is a recurring thesis in large, carefully scrutinized series of cases, with appropriate follow-up intervals, exceptions to this rule notwithstanding. For example, the fate of patients with chiasmal gliomas in the original 1969 study from the University of California, was re-examined. Imes and Hoyt127 documented the outcome of 28 patients with chiasmal gliomas, with a median follow-up of 20 years. Sixteen patients died (57%), but only 5 of causes directly related to the chiasmal mass, and 4 of these died before 1969, within 3 years of initial diagnosis; that is, the risk of death was greatest in the early period. Nine of 16 deaths occurred in patients with NF, 2 of chiasmal glioma, 7 with other malignant brain tumors or sarcomatous degeneration of peripheral tumors, but without any higher mortality rate among patients with NF. The “quality of life” of survivors was considered good, with no patient showing further decrease in visual function since the 1969 assessment. The authors concluded that the level of visual impairment present at initial diagnosis does not change appreciably thereafter, and this long-term study still affords no conclusive answers regarding the efficacy of radiation therapy.

Other series suggest more aggressive behavior of chiasmal gliomas, in adults as well as in children (see the discussion of optic glioma in Volume 2, Chapter 5, Part II). Therefore, there is no consensus regarding “the most appropriate management” of childhood visual gliomas, and the role of interventional radiation therapy remains peculiarly imprecise and uncertain, with ardent advocates for and against it. Data of each report must be cautiously scrutinized, especially when vision is said to benefit generally. The location and extent of tumor, age of patient, and length of follow-up are all critical parameters in assessing treated versus untreated cases. Indeed, some instances of visual improvement and documented tumor shrinkage do occur following irradiation,118,128–131 a finding implying that local radiation therapy results in at least transient stabilization in some patients. Visual improvement or stabilization is indeed achieved, but a high incidence of endocrine abnormalities is reported, especially GH deficiencies, as well as neuropsychiatric decline. Danoff and colleagues132 reported mental retardation in 4 cases, and endocrine dysfunction in 3 cases of 18 irradiated children, and Packer and associates,133 in a review of a 20-year experience at the Children's Hospital of Philadelphia, also confirmed moderate to severe intellectual compromise. The question of radiation therapy is further confounded by the risks of delayed complications that take the form of progressive dystrophic calcifying microangiopathy and demyelinization in adjacent and distant brain sites,134 as well as large-vessel occlusions with catastrophic infarction reported in children with gliomas receiving irradiation within standard dosage range.135 Considering the usually early age at presentation of optic gliomas, and the propensity for delayed complications, radiation therapy should not be commenced in a reflex manner.

Given these problems of irradiating immature brains, young children with newly discovered, progressive low-grade gliomas may be considered candidates for combined carboplatin and vincristine chemotherapy.136 In addition, etoposide (VP-16) is currently under investigation.137 It is suggested that chemotherapy has few deleterious effects and represents a useful alternative to irradiation, especially in young children. It may be emphasized that, even with the possibility of eventual tumor growth, delay in instituting radiation may lessen the adverse effects on the more matured brain.

A reasonable and rational strategy for optic chiasm gliomas must take into account the patient's age at onset of symptoms, the level of visual function, the presence of complicating hypothalamic features, ventricular obstruction, neuroradiologic baseline staging, and regular reassessment of the various parameters of progression. Surgical exploration is required for tissue diagnosis only when doubt remains after adequate neuroimaging or when hydrocephalus is present. Radiation therapy should be commenced with caution at as advanced an age as possible, and in fractional doses of less than 200 cGy. As noted, further information is forthcoming with regard to chemotherapy as a valuable alternative.

Primary malignant gliomas (glioblastomas) of the visual pathways are rare tumors of adulthood, not to be confused with the relatively frequent low-grade astrocytomas of childhood, as discussed above (see Table 1). However, a rare case was reported in childhood138 following radiation for a cerebellar medulloblastoma, and another presenting as pseudotumor cerebri in the extraordinary case of a 16-year-old girl with minimal papilledema and slight thalamic enlargement on MRI.139 Hoyt and colleagues140 reviewed the subject and recorded 5 cases. They synthesized a syndrome of malignant optic glioma of adulthood composed of the following: usually involving middle-aged (majority, forties to fifties, range, 22 to 59 years) men (10 of 15 cases); beginning with signs and symptoms that mimic optic neuritis (rapid monocular loss of vision, retro-orbital pain, disc edema, and transient improvement with steroid therapy); progressing within 5 to 6 weeks to total blindness (may pass through chiasmal syndrome with contralateral hemianopia, then bilateral blindness); and terminating fatally within several months (3 months to 2 years). In a literature review,141 only 30 cases had been identified since 1900, ranging in age from 22 to 79 years (mean, age 52 years), without association with neurofibromatosis. Progressive enlargement of the optic nerves and chiasm complex is documented by MRI,142 with the tumor predominantly centered in the optic chiasm or tract, but with infiltration of surrounding structures. Thus, this syndrome represents the occurrence of a common brain tumor (glioblastoma) in an uncommon location. Albers and associates143 have suggested that combined irradiation therapy and chemotherapy offer some temporary relief.

DYSGERMINOMAS

Primary suprasellar dysgerminomas (atypical teratoma, “ectopic pinealoma”) are rare causes of chiasmal interference, but they constitute a more or less distinguishable clinical syndrome. Such tumors likely arise from cell rests in the anterior portion of the floor of the third ventricle, or they originate in the neurohypophysis; these germ cell tumors (germinoma, embryonal carcinoma, choriocarcinoma, yolk sac tumor, and mixed tumors) seem not directly related to the pineal itself, although some histologically resemble atypical pineal teratomas. Usually lacking characteristics of developed pineal parenchyma, these neoplasms may be indistinguishable from testicular seminomas, and portions of three germinal layers may be observed.

In a series of 153 patients with histologically verified lesions,144 78% were male, with a mean age of 16 years (range, 2 to 45 years); 78% of patients were between 6 and 24 years of age; 51% of tumors were located in the pineal region, 30% in the neurohypophysis, and the remainder in basal ganglia, cerebellopontine angle, lateral ventricle, or multiple sites. Patients with pineal masses present with symptoms and signs of aqueductal obstruction and intracranial hypertension, including vertical gaze palsies (Parinaud's syndrome) and papilledema; neurohypophyseal lesions present with diabetes insipidus and visual loss, with variable growth retardation and amenorrhea. Serum titers of human chorionic gonadotropin and alpha-fetoprotein may be elevated. Partial resection, radiation therapy, and chemotherapy result in variable survival rates.144

Camins and Mount145 reviewed 58 cases and also suggested the presence of a classic triad consisting of visual field loss, at times not necessarily of a clearly chiasmatic pattern (due to intrinsic infiltration of the anterior visual pathways), diabetes insipidus, and mixed hypopituitarism; in this series, symptoms commenced at the end of the first decade or during the second decade, with growth retardation; there was an equal male-female incidence. Again, definitive diagnosis and therapy depend on confirmatory biopsy, although the clinical situation at times suggests the diagnosis (Fig. 9). Neuroimaging may appear similar to chiasmatic glioma.146

Fig. 9. Field defects with suprasellar dysgerminoma. Note inferior bitemporal depressions and diminished vision on the left; deficits are characteristic of posterior chiasmal interference (see Fig. 1, D). LE, left eye; RE, right eye.

Radiation therapy (4000 to 6000 cGy) offers excellent long-term palliation, if not cure. Because subarachnoid seeding of the neuraxis is a distinct possibility, more extensive radiation may be indicated, and long-range endocrine replacement is critical.

SUPRASELLAR ANEURYSMS

Aneurysms of the paraclinoidal and supraclinoidal segments of the internal carotid artery are relatively frequent causes of progressive visual loss, usually producing markedly asymmetric field defects and occurring most commonly in middle-aged women. Aneurysms and other vascular lesions that involve the chiasm are discussed in detail in Volume 2, Chapter 17.

Back to Top
DEMYELINATIVE DISEASE AND INFLAMMATIONS
Disseminated sclerosis is considered an uncommon cause of the chiasmal syndrome. Although visual field defects vary considerably, most patterns in multiple sclerosis (MS) imply that the prechiasmal portion of the optic nerves harbor the majority of lesions, but microscopic survey of the visual pathways indicates that the distribution of plaques assumes a less predictable pattern. Lumsden147 described pronounced demyelination or axonal degeneration within the optic chiasms of 36 consecutive necropsied patients with MS; loss of neural tissue was at times so severe as to render the optic nerves “thinner than usual,” even on macroscopic examination.

It is a paradox that so few clinical reports have described chiasmal visual field defects in patients with MS, despite the compelling neuropathologic evidence of the high incidence of demyelination at that site. In 1925, Traquair published “Acute Retrobulbar Neuritis Affecting the Optic Chiasm and Tract,”148 in which the visual fields of four patients were recorded; two cases were clearly of a bitemporal pattern (one case appears to be a monocular cecocentral scotoma, and the other shows a homonymous hemianopia), and all were ascribed to MS. Indeed, Traquair believed that chiasmal neuritis would be more frequently found with more exhaustive field analysis.

Spector and colleagues149 reported 6 cases of chiasmal neuritis in MS, all women between 20 and 40 years of age; field defects were commonly of a “junctional” pattern, with reduction of acuity in one or both eyes. Of 12 eyes, 9 ultimately attained excellent vision, with an apparently salutary effect of systemic corticosteroids. Abnormal pneumoencephalograms were seen in 2 patients; 1 of these underwent exploratory craniotomy with visualization of a swollen chiasm and right nerve. From the Optic Neuritis Treatment Trial (see Volume 2, Chapter 5, Part II), field defects of chiasmal origin were also documented. According to Lindenberg and associates,150 swelling of the optic nerves and chiasm due to lymphocytic infiltration and astrocytic proliferation may mimic optic glioma. MRI is, of course, most useful in detecting white matter lesions, including the anterior visual pathways (Fig. 10).

Fig. 10. Magnetic resonance imaging (TR, 2000 milliseconds; TE, 80 milliseconds) in multiple sclerosis. Coronal (A), axial (B), and parasagittal (C) sections show white matter demyelinative lesions of the chiasm (open arrows) and optic radiations (B, large arrows). D. Lesion in the occipital cortex (large arrows).

The place of neuromyelitis optica (Devic's syndrome) in the spectrum of demyelinative syndromes included under the rubric of “multiple sclerosis” is unclear, but neither clinical nor pathologic features seem to isolate “Devic's syndrome” adequately. Usually acute in onset, there is a propensity for occurrence in children and young adults, with severe bilateral visual loss (chiasmal neuritis ?) accompanied by paraplegia due to transverse myelitis usually at a high cervical level. In the case of a 61-year-old woman without evidence of collagen or giant cell arteritis, bilateral visual loss was followed by slowly progressive paraplegia151; postmortem examination disclosed numerous areas of severe demyelination with foci of cystic degeneration extending through several cervical cord segments, with thickening and hyalinization of blood vessels and accumulation of perivascular lymphocytes; the optic chiasm and tracts were demyelinated, and small vessels showed hyalinization, but there were no other demyelinative lesions elsewhere in the hemispheres, brain stem, or cerebellum.

Other cases of chiasmal optic neuritis, other than MS, are infrequently documented.152 Purvin and coworkers153 have reported chiasmal neuritis as a complication of Epstein-Barr virus infection, without polyradiculopathy. Ethchlorvynol (Placidyl) has been incriminated as a toxic cause of “chiasmal optic neuritis,”154 and field defects with ethambutol may suggest a bitemporal pattern (see Volume 2, Chapter 5, Part II).

The question of opticochiasmatic arachnoiditis is controversial and confusing. Most cases seem complicated by previous trauma, meningitis, encephalitis, hemorrhage, arachnoidal cysts, and even familial optic neuropathies (Leber's type ?). This diagnostic consideration is always tentative, resting on exclusion of other definable mechanisms of visual loss and often requiring craniotomy for verification. Infrequent instances in which other contributing factors are excluded seem genuine. Cant and Harrison155 reported a valid case of progressive visual deterioration associated with growth failure; “the arachnoid of the optic cistern was found to be very much thickened and the brain closely adherent to the left optic nerve.” Surgical lysis of adhesions resulted in rapidly improved vision. Oliver and coworkers156 documented two cases of pathologically verified chiasmal arachnoiditis associated with vascular disease in the form of polyarteritis and meningovascular syphilis. Iraci and colleagues157 documented a case of cystic, adhesive fibrous arachnoidal thickening with lymphocyte and plasma cell infiltration of no known cause. Suffice to add, this vague diagnostic category is shrinking as a result of advances in neuroimaging and spinal fluid analyses.

Infectious meningitis may produce visual loss by chiasmal arachnoidal inflammation. In 13 cases of purulent meningitis (including infections with Diplococcus pneumoniae, Staphylococcus, and Pseudomonas aeruginosa), 3 cases of cryptococcal meningitis, and 2 of tuberculous meningitis examined by autopsy at Kobe University, Japan,158 histopathologic changes included the following: polymorphonuclear and lymphocyte infiltration along perivascular spaces in the periphery of optic nerves and chiasm, pial abscesses, and necrosis (and granulomas in cryptococcal cases); perivascular infiltration, endarteritis, necrotizing angiitis, and thrombus formation. Therefore, pathologic processes may be classified as inflammatory and vascular, both of which contribute to demyelinization and axonal degeneration. In this series, no clinical data were included. A 10-year-old girl is reported, with painful visual loss associated with an enlarged right optic nerve and chiasm, and a positive Lyme immunofluorescent immunoglobulin G titer of 1:512.159

With a special propensity to involve the hypothalamus and pituitary region, sarcoidosis infiltrates the chiasm with some regularity and is one of the chief non-neoplastic causes of chiasmal visual loss (Fig. 11). Decker and associates160 reported a case of severe progressive visual loss over only a 2-week interval and CT evidence of an intrasellar and suprasellar granuloma; vision improved after transsphenoidal resection. Tang and colleagues161 recorded four patients with sarcoidosis and characteristic chiasmal defects, including profound visual loss in one eye with temporal defects in the contralateral field; in two patients, no discrete mass was visible by neuroimaging, or at craniotomy in one, implying diffuse infiltration. Sarcoidosis of the CNS need not show systemic manifestations. CNS sarcoidosis, including of the visual pathways, is usually treated with corticosteroids, or alternatively with azathioprine, cyclosporine, cyclophosphamide, chlorambucil, methotrexate, and even radiation therapy in refractory cases.162,163

Fig. 11. Sarcoidosis of the optic nerves and chiasm. Bilateral insidious visual loss in a 39-year-old woman. Magnetic resonance imaging sequences (TR, 600 milliseconds; TE, 20 milliseconds). A. Coronal section shows bilateral enlargement of prechiasmal optic nerves (arrows). B. Enlarged chiasm (arrrows) in coronal section. C. Axial section. D. Midorbit section shows enlarged left optic nerve (arrow). (Courtesy of Dr. James Rush)

Tuberculosis causing meningitis, basal arachnoiditis, and opto-chiasmatic neuritis is a rare event in developed countries, but it may be a complication associated with acquired immunodeficiency syndrome. It is elsewhere most common in infants in whom other tuberculous foci may be identified in the lungs, peritoneum, abdominal viscera, and lymph nodes, although the miliary form is the most frequent origin of meningeal infection.164 Leptomeningitis and chiasmal arachnoiditis cause visual loss and optic atrophy, with general concentric contraction of the field being typical, and hydocephalus a common associated condition. Microsurgical lysis of adhesions in the chiasmatic cistern is considered essential, with good return of vision, and antituberculous treatment is indispensable.

A form of paraneoplastic autoimmune demyelination with acute necrotizing myelopathy of the chiasm was described,165 associated with papillary carcinoma of the thyroid. Immunoglobulin G, myelin basic protein, and activated helper T cells were increased in the CSF.

Back to Top
MISCELLANEOUS CHIASMAL LESIONS

ARACHNOIDAL AND EPITHELIAL CYSTS

Arachnoidal cysts are typically serous cavities lined by neuroepithelium, but they may be of diverse origin, including trauma and inflammation. Many are asymptomatic, occupying silent compartments such as anterior to the temporal lobes (see Volume 2, Chapter 5, Fig. 18), or they cause variable symptoms by mass effects on adjacent brain structures. Some suprasellar cysts apparently arise as congenital anomalies in the floor of the third ventricle. In children, developmental sellar cysts, a form of primary empty sella (see below), may be associated with GH or other pituitary deficiencies including precocious or delayed puberty.166 Intrasellar cysts are apparently common findings in anatomic studies, McGrath167 giving the figure of 33% in 83 necropsy specimens. Other cysts arise in the sella itself and are variably termed cysts of Rathke's pouch, epithelial cysts, and colloid cysts, depending on diverse anatomic disposition and histologic characteristics. These cysts extend into the chiasmatic cistern, variably producing visual and endocrinologic dysfunction. In the “empty sella syndrome” (see below) such intrasellar cysts communicate with the subarachnoid space.

Benes and colleagues168 provided an excellent review of arachnoidal cysts and their neuro-ophthalmologic implications. These investigators noted that 70% of such cysts occur in the basal portions of the cranial vault, including temporal fossa (29%), posterior fossa (21%), and parasellar region (18%). Adult patients chiefly complain of headaches (50%), blurred vision (40%), and seizures (40%); some 15% of adults, and children older than 5 years, complain of diplopia.

Rathke's cleft cysts originate in vestigial epithelial remnants of primitive stomodial ectoderm, which normally forms the anterior and intermediate lobes, and pars tuberalis of the pituitary gland. Cysts of the residual stomodial lumen (Rathke's cleft) are found in as much as 22% of autopsies and are discovered in increasing number with the advent of CT and MRI neuroimaging.169 These cysts cause headache, amenorrhea, hypopituitarism, diabetes insipidus, and galactorrhea. They commonly present with chiasmal syndrome visual loss, requiring surgical decompression, but radiation therapy is not necessary.170 MRI is characterized by low signal intensity on T1-weighted images and high intensity on T2-weighted images. By radiologic criteria alone, distinction from craniopharyngioma may prove problematic. MRI usually shows arachnoidal cysts to be characterized by a signal that is identical to CSF on all sequences (Fig. 12), but a hyperintense signal on T1 is seen when protein content is greater than in CSF.

Fig. 12. Suprasellar cyst presenting with chronic visual loss. Magnetic resonance imaging (MRI) shows that the signal is isointense to cerebrospinal fluid. Top. Left, sagittal section demonstrates elevation of the optic chiasm and posterior deformation of the midbrain. Right, axial computed tomography displays leftward displacement of the pituitary stalk (arrow). Bottom. MRI shows lateral compression of the stalk (arrow).

Baskin and Wilson171 reported the results of transsphenoidal treatment of 38 non-neoplastic cysts within the pituitary fossa, excluding craniopharyngiomas and cystic adenomas. Headaches, menstrual irregularities, galactorrhea, and hyperprolactinemia were common clinical manifestations. Indications for transsphenoidal exploration include relief of chiasmal compression, interference with pituitary gland or stalk, and exclusion of other sellar neoplasms.

METASTATIC DISEASES AND OTHER MASS LESIONS

Awash in the basal cisterns, the optic nerves and chiasm are occasional targets for invasion by metastatic cells that have gained the subarachnoid space or have gained access via a rich network of arteries. Leptomeningeal metastases may herald diffuse meningeal carcinomatosis; the picture of rapid unilateral or bilateral visual loss mimicking retro-bulbar optic neuritis, that is, usually without optic disc swelling, and beyond the usual age range, should bring this mechanism to mind. Breast and lung represent the most common primary sites. Appen and colleagues172 documented pathologic changes that include plaque-like infiltration of the subarachnoid space of the optic nerves by tumor cells, with minimal alteration of myelin and normal axons. Other reports173 showed the following: infiltrative tumor cells with degeneration and necrosis of axons and myelin; secondary inflammation, with vasculitis and endothelial proliferation; tumor cells within vessels; petechial bleeding; and occlusion of subarachnoid vessels. These findings suggest hematogenous spread or secondary dissemination through CSF.

In the patient without known malignancy, confirmation of “malignant meningitis” is difficult. A course of rapidly sequential multiple cranial nerve palsies is highly suggestive (see Volume 2, Chapter 12). Small meningeal deposits tend to elude radiologic detection, but contrasted CT or gadolinium-enhanced MRI can show abnormal enhancements in or adjacent to involved meninges. Multiple cytologic examinations of CSF by millipore filter technique are advisable (see also Volume 2, Chapter 5).

Malignant lymphoma may infiltrate the leptomeninges, septal tissue, and perivascular spaces of the optic nerves and chiasm, causing segmental demyelination.174 Other lymphoproliferative disorders such as chronic lymphocytic leukemia also rarely involve the chiasm,175 as does histiocytosis,176 which may mimic chiasmal glioma (Fig. 13). These processes are perplexing challenges unless the primary disorder is already declared.

Fig. 13. Histiocytosis of the chiasm and hypothalamus presenting as polydipsia, polyuria, hypersomnolence, and visual loss. Laboratory data were consistent with panhypopituitarism. Biopsy of the left frontal mass showed Langerhan-type histiocytosis. Contrast-enhanced magnetic resonance imaging shows a massively enlarged chiasm. (Job OM, Sehatz NJ, Glaser JS: Visual loss with Langerhans cell histiocytosis: multifocal central nervous system involvement. J Neuroophthalmol 19:49, 1999)

Pituitary metastases are uncommon manifestations of systemic cancer and may be difficult to distinguish from simple adenoma. In order to ascertain the incidence of pituitary tumors in patients with cancer, and to characterize the clinical presentations of metastases to the pituitary gland, the experience at Memorial Sloan-Kettering Cancer Center in New York during 1976 to 1979 has been reviewed177; additionally, the pituitary glands from 500 consecutive autopsies of cancer patients were examined. Only 4 patients had symptomatic tumors; 2 of 3 examined histologically were adenomas, and 1 was a metastasis. Radiologic evaluation, including polytomography and CT, did not reliably distinguish metastases from adenoma, but the clinical syndromes were distinctive, with diabetes insipidus in the metastatic case. A review of the published literature of 28 symptomatic pituitary metastases revealed an incidence of diabetes insipidus of 82%, but visual loss in only 11%, because just one-fourth of affected glands are enlarged. In the autopsy series, metastases were found in 3.6% and adenomas in 1.8% of studied specimens.

Thus, the clinical manifestations of pituitary adenoma and metastasis differ, diabetes insipidus being the striking distinguishing finding in metastatic disease, whereas anterior pituitary deficiency is rare, there being a predilection for seeding of the posterior lobe of the pituitary. As a rule, pituitary metastasis occurs in patients with widely metastatic disease. It is suggested that pituitary metastases be treated with focal radiation therapy and corticosteroids even when visual loss evolves.

As noted, malignant glioblastoma multiforme may rarely enlarge the chiasm in adults, as established by MRI,178 which tends to demonstrate absence of optic nerve abnormality in the canals or orbits but invasion of contiguous brain structures. Other lesions that rarely involve the chiasm include gangliogliomas,179 hemangiopericytoma,180 hemangioblastoma,181 and metastatic medulloblastoma.182

SPHENOIDAL MUCOCELES

Mucocele of the posterior ethmoid and sphenoid paranasal sinus complex is characterized by chronic headache and dysfunction of one or more of the cranial nerves that pass through the orbital apex. Visual loss and field defects indicating involvement of one or both optic nerves have been adequately described, but reviews of the literature suggest that involvement of the optic chiasm is rare. Two patients with spheno-ethmoidal mucoceles are reported,183 who developed field defects consistent with chiasmal interference; in one instance, sudden bilateral visual loss mimicked pituitary apoplexy, whereas the other patient experienced slowly progressive, bilateral central field defects.

The radiologic findings with sphenoidal mucocele include expansion of the sphenoid sinus (Fig. 14), elevation of the tuberculum sellae and chiasmatic sulcus, obliteration of optic canals and superior orbital fissure, and lateral displacement of medial orbital walls.184 When the sella is expanded, an intrasellar and suprasellar mass may mimic an adenoma.185 Otolaryngologic or neurosurgical endonasal decompression is the treatment of choice, and some return of vision is anticipated unless optic atrophy is advanced (see also Volume 2, Chapter 5, Part II).

Fig. 14. Sphenoidal pyomucocele with visual loss. A and B. Computed tomography sections through the skull base show an expanded sphenoethmoidal sinus complex (arrows) and bone destruction.

TRAUMA

Visual loss following closed-head trauma is usually attributable to contusion or laceration of the optic nerves, which occurs acutely at the time of impact. Traumatic chiasmal syndromes are considerably less frequent, approximately 100 cases having been reported.186 For example, of 24 patients who sustained blunt head injuries that resulted in insults to the visual system, 5 involved the optic chiasm, solely or in combination with optic nerve lesions, but only 1 case was complicated by diabetes insipidus.187 Savino and colleagues188 recorded 11 patients with traumatic chiasmal injuries in which visual field defects varied from complete monocular blindness with contralateral temporal hemianopia to subtle bitemporal arcuate scotomas (see Fig. 1F). The degree of visual deficit was not necessarily related to the severity of the craniocerebral trauma. Transient diabetes insipidus was present in 7 of 11 patients, but, unlike the field defects, this complication improved. Other accompanying findings variably include anosmia, cranial nerve defects (III, IV, VI, V, VII, VIII), CSF rhinorrhea and otorrhea, panhypopituitarism, carotid-cavernous fistula, carotid pseudoaneurysm, and meningitis. CT may disclose sagittal midline fractures of the clivus and sella turcica, suggesting a midline separation of the skull.185

The precise mechanism of chiasmal trauma is problematic, with few cases meeting the essential criteria of post-traumatic visual evaluation, and subsequent surgical exploration or autopsy examination. Sagittal tearing of the chiasm associated with sphenoidal fracture, post-traumatic thrombosis of carotid artery branches that supply the chiasm, and contusion hemorrhage and necrosis are alternative, relevant theories (Fig. 15). In 52 cases of lethal craniocerebral trauma,189 36 instances of pituitary hemorrhages and 10 instances of primary and secondary chiasmal lesions were found, consisting of bleeding and necrosis of the central chiasmal bar. Crompton190 found hypothalamic ischemic lesions and hemorrhages in 45 of 106 persons who died after head trauma and attributed these pathologic changes to shearing of small perforating vessels. Similar lesions may cause the usually transient diabetes insipidus.

Fig. 15. Chiasmal trauma in closed-head injury in a 40-year-old motorcyclist with blindness and diabetes insipidus. Magnetic resonance images (TR, 1000 milliseconds; TE, 30 milliseconds). A. Coronal section shows a midsagittal tear and downward displacement of chiasm (small arrows). B. More posterior section shows an apparent rupture of the floor of the third ventricle (arrow).

Instances are reported191 of traumatic avulsion of a globe and nerve, with transection at the anterior chiasm associated with contralateral temporal hemianopia. Endoscopic surgical procedures in the sphenoid sinus may also damage the chiasm.192

COMPLICATIONS OF RADIATION THERAPY

Late cerebral radionecrosis is a relatively rare complication of radiation therapy. A precise estimate of incidence is difficult to ascertain, given the problem of differentiating tumor recurrence and postoperative scarring from radionecrosis. Therapeutic radiation is used for pituitary adenomas, parasellar and clinoidal meningiomas, suprasellar tumors, and especially malignancies of the paranasal sinuses. The cumulative data of Warman and Glaser,193 relating time interval from completion of radiation therapy, to visual loss from radionecrosis, suggest that the 8- to 13-month period encompasses two-thirds of all cases, contrary to previous figures suggesting a peak incidence at 1 to 1.5 years194 (see also below and Fig. 16).

Fig. 16. Radionecrosis of the optic nerves and chiasm. Histogram displays latency (months) from the time of radiation therapy to the onset of visual loss. (From ref. 207)

There seems to be no correlation between patient age and interval to onset of visual symptoms. Radionecrosis of the anterior visual pathways usually manifests as a rapidly progressive loss of vision in one eye, the second eye following shortly thereafter in the majority of cases. A rapidly relentless progression to profound visual loss evolves, frequently to total blindness. Initial visual field deficits are typically central scotoma or nerve fiber bundle defects,193 with or without arcuate scotomas. Alternatively, a chiasmal or optic tract pattern may evolve.195

As noted, chiasmal radionecrosis especially may follow radiation therapy to pituitary tumors.193,196,197 Autopsy in two such cases196 revealed perioptic meningeal thickening with patchy demyelination of nerves and chiasm, slight axis cylinder damage, hyaline thickening and perivascular inflammatory cell infiltration of small vessels in the hypothalamus, and necrosis of frontal lobes; necrosis and inflammation of portions of the sphenoid bone with endarteritis of intraosseous vessels. The newer techniques of focal stereotactic (“gamma-knife”) radiosurgery are also reported198 to produce radiation-induced optic neuropathy within 7 to 30 months (Fig. 17).

Fig. 17. Delayed cerebral radionecrosis. The patient was a 44-year-old woman with chronic left visual loss to 20/70 who underwent stereotactic radiosurgery (single-session gamma). At 12 months, she suddenly lost all vision in both eyes. Enhanced magnetic resonance imaging: Left (coronal) and right (axial) sections show a hyperintense signal from the optic chiasm, tracts, and pituitary stalk (arrows). Asterisk, paraclinoid mengioma.

The optic discs initially appear normal, unless there was pre-existing atrophy due to the primary tumor process, but disc edema is occasionally observed. Eventually, marked pallor is evident within 2 months of initial visual loss. This clinical constellation, which occurs within a few months to several years, is highly evocative of radionecrosis, but adequate visualization of the optic nerves and chiasm by gadolinium-enhanced MRI is required to rule out recurrence or extension of the primary tumor. MRI shows often marked enlargement of the nerves and chiasm, and hyperintense signal on contrast-enhanced T1-weighted sequences.199,200 It is imperative that MRIs include thin-section axial and coronal views along the length of the orbital optic nerve segments, preferably with fat-suppression protocols, and precise visualization of the chiasm.

Hufnagel and associates201 have recorded the extraordinary occurrence of a malignant glioma of the chiasm 8 years after resection of a recurrent prolactinoma followed with supplemental radiation therapy (5500 cGy). Radiation-induced tumors or other second malignancies are extremely rare, with long latency periods.194

Aristizabal and coworkers202 concluded that, not only do total dosages in excess of 5000 cGy increase morbidity, but also that complications occur even with daily fractions in the range of 200 to 220 cGy per treatment, owing to individual variation in radiation tolerance. Analysis of radiation-induced optic neuropathy after megavoltage external-beam irradiation,203 involving 215 optic nerves in 131 patients with extracranial head and neck tumors, revealed the following: anterior ischemic neuropathy developed in 5 nerves (mean and median times of 32 and 30 months; range, 2 to 4 years); retro-bulbar optic neuropathy in 12 nerves (mean and median times of 47 and 28 months; range, 1 to 14 years); no injuries in 106 nerves that received a total dose of less than 59 Gy; the 15-year actuarial risk of optic neuropathy after doses more than or equal to 60 Gy was 11% when treatment fraction was less than 1.9 Gy, compared with 47% with fraction sizes greater than or equal to 1.9 Gy. Data suggest increasing risk with increasing age, but the role of hormonal secretions, such as PRL, in influencing risk of radiation-induced visual damage is unknown. Patients concomitantly using chemotherapeutic agents, including lomustine (CCNU), when subjected to even low-dose whole-brain irradiation are at risk.204

The management of radionecrosis remains empirical; there are no prospective studies comparing different treatment modalities, nor have specific therapeutic guidelines been established. The mechanism of delayed radionecrosis is primarily active vasculitis, as noted above, with secondary ischemic anoxia leading to axonal necrosis. Fibrinoid necrosis of vessel walls, with endothelial proliferation and lumen obliteration, leads to thrombotic occlusion. Based on such pathophysiologic observations, in theory anticoagulation is a reasonable approach to minimize the damage once radionecrosis is triggered. Early anticoagulation has been proposed as an effective treatment for cerebral and spinal cord radionecrosis,205 but with no compelling evidence of efficacy for lesions in the visual pathways. In tissues damaged by radiation, wound healing has been accelerated when subjected to hyperbaric oxygen, and this therapy is under evaluation for radiation retinopathy and radiation optic neuropathy. Borruat et al206 reported reversal of visual loss with hyperbaric oxygen in a single patient. Subsequently, Borruat et al207 thoroughly reviewed the world literature on 115 cases, analyzing the efficacy of various therapies compared against the natural course of radiation optic neuropathy: irradiated lesions comprised pituitary adenomas (54%), paranasal sinus tumors (13%), craniopharyngioma (7%), sellar metastases (7%), meningiomas (6%), and miscellaneous conditions; latency period ranged from 1 to 144 months, with a median delay of 13 months following cessation of radiation therapy (see Fig. 16); visual loss was bilateral in 74% of patients. In patients treated with hyperbaric oxygen, 2 had significant recovery of visual function, vision in 1 patient remained unchanged, and 1 continued to show visual deterioration. However, among 120 similar cases, no spontaneous improvement in vision was documented, nor was there recovery with any other form of therapy, including corticosteroids or anticoagulants. These data suggest that hyperbaric oxygen at a minimum pressure of 2.4 atmospheres of 100% oxygen, over 30 sessions, may be effective in reversing or stabilizing visual loss due to delayed radionecrosis, especially when commenced within a few short days of visual decline. The endocrinologic and neuropsychiatric risks of delayed effects of radiation therapy are included above, in the discussion of optic gliomas.

HYDROCEPHALUS

With internal hydrocephalus, distention of the third ventricle is said to result in chiasmal stretching, and, thus, bitemporal field defects can constitute a “false localizing sign.” The carefully detailed case description of Sinclair and Dott,208 and the observations of Hughes,209 leave little doubt that such a mechanism exists, albeit rarely (Fig. 18). Corbett210 also documented this exceptional situation. The basic field defect pattern may be complicated by progressive optic atrophy or compression of the nerves and chiasm against the unyielding bony sellar structures or arterial circle. Unilateral amaurosis has been reported in a child with decompensated hydrocephalus, presumably because of compression of one optic nerve against the internal carotid artery.211 Increased intracranial pressure need not otherwise be symptomatic, nor is extreme elevation necessary for the production of field defects. Depending on the degree of atrophy, vision may recover subsequent to relief of hydrocephalus.

Fig. 18. Effect of internal hydrocephalus. A. Coronal section of the brain and basal structures from a patient with a cerebellar tumor and optic atrophy. The third ventricle (3) is dilated, the chiasm (X) is stretched, and the sella with the pituitary (P) is compressed. B. Visual fields of a 17-year-old girl with postmeningitic hydrocephalus. At surgery, the ballooned third ventricle was seen to stretch the chiasm; ventriculostomy through the anterior wall of the third ventricle relieved hydrocephalus with improvement in field defects. (From ref. 208)

PREGNANCY

Visual disturbances in the form of field defects during pregnancy require comment. Although the pituitary gland does undergo a small degree of enlargement during pregnancy, principally because of hypertrophy and hyperplasia of PRL cells, it must be recalled that the chiasm generally lies a full centimeter above the level of the diaphragma sellae. Therefore, in the absence of a pre-existing adenoma, no visual change may causally be related to pregnancy alone. Pregnant women with pituitary microadenomas are not at risk for chiasmal compression, although those with macroadenomas greater than 1.1 cm may develop field loss.212 Suprasellar meningiomas may be sensitive to levels of estrogen and progesterone and may undergo a growth spurt, especially during the second half of pregnancy.213 In general, however, one may conclude that intracranial neoplasms do not appear to present more often during pregnancy.

A disorder as common as optic neuritis eventually occurs during pregnancy, but a direct relationship remains tenuous. Likewise, there is no convincing evidence for a syndrome of “lactation optic neuritis.” If such occurs, a pre-existing mass or MS must be suspected. Demyelinative disease is not regularly adversely influenced during pregnancy, but signs and symptoms may be exacerbated by labor and delivery. Indeed, most studies report a decrease in disease activity during gestation and an increase in relapses during the postpartum period, likely reflecting a relative immunosuppressive state during gestation.214

Lymphocytic adenohypophysitis is a distinct disease process characterized by diffuse lymphocytic infiltration of the pituitary gland, predominantly affecting women, presenting during late pregnancy or in the first postpartum year. The association with Hashimoto's thyroiditis and the variable presence of antipituitary antibodies strongly suggest an autoimmune-mediated disorder.215 The size of the inflamed pituitary is variable, as are endocrine deficiencies, defects in corticotroph and thyrotroph being most frequent, with PRL elevation in about 40%, but posterior lobe function being relatively spared. Weight loss, weakness, and anemia are common, and chiasmal compression may evolve. Response to steroid therapy is not consistent, but spontaneous resolution and, at times, involution occur, suggesting a possible mechanism of some instances of empty sella syndrome.

Distinction must be made between spuriously contracted fields or vague temporal depressions of a functional nature and true temporal hemianopic defects. Pregnancy and the postpartum interval are times of physiologic and psychologic stress; the possibility of nonorganic visual complaints, or corneal and fundus alterations, should be kept in mind. “The Pregnant Woman's Eye,” by Sunness,216 is a useful review.

Back to Top
EMPTY SELLA SYNDROME
Extension of the subarachnoid space into the sella turcica through a deficient sellar diaphragm may manifest as an incidental radiographic finding, consisting of a normal-sized or slightly enlarged bony sella, not empty but filled with CSF; a flattened residual pituitary gland may remain. Kaufman217 defines the empty sella as nontumorous remodeling that results from a combination of incomplete diaphragma sellae and CSF. Bergland et al218 reaffirmed previous observations that diaphragmal openings are indeed common; they found defects greater than 5 mm in diameter in 39% of 225 normal autopsy specimens. Bergland's material also revealed that an empty sella need not be enlarged, and normal volume is fairly common. Primary empty sella occurs spontaneously and may be associated with pseudotumor cerebri, arachnoidal cyst, lymphocytic hypophysitis, or possibly infarction of the diaphragma and pituitary gland. Sellar cysts in childhood (see above) are likely developmental and associated with hypothalamic-pituitary disorders.188 Reversible empty sella, that is, reappearance of the pituitary gland, has been suggested as an indicator of successful therapy for idiopathic intracranial hypertension.219 Secondary empty sella follows pituitary surgery or radiation therapy (Fig. 19).

Fig. 19. “Empty sella.” Summary of potential factors. (After Obrador S: The empty sella and some related syndromes. Neurosurgery 36:162, 1972)

The clinical and radiographic characteristics of primary empty sella were thoroughly reviewed by Neelon and associates,220 the following features being notable: obese women predominate (27 women, 4 men), ranging in age from 27 to 72 years, with a mean age of 49 years; headache is a common symptom; in the Duke University study there was no instance of visual impairment due to chiasmal interference; an enlarged sella was found serendipitously on plain skull films obtained for evaluation of headaches, syncope, or other symptoms; pseudotumor cerebri was present in 4 women; 20 patients had normal pituitary function, and 8 demonstrated endocrine disturbances that included panhypopituitarism, or GH, gonadotropin, and thyrotropin deficiency.

Hyperprolactinemia may occur in patients with intrasellar cisternal herniation without evidence of pituitary tumor, but the elevation of serum PRL is usually moderate. For example, in a study221 of 47 patients with empty sella, hyperprolactinemia was found in 6, with a range of 39 to 123 ng/L. Of course, adequate neuroimaging with enhanced CT or MRI (Fig. 20) will resolve the question of empty sella vs. mass lesion. Children are rarely included in this diagnostic category, but they are reported222 with primary empty sella and associated congenital anomalies, including delayed puberty, anosmia, diabetes insipidus, delayed growth, and optic atrophy.223

Fig. 20. Neuroimaging of empty sella. A. Computed tomography scan of a 46-year-old woman with a vague headache complex. Coronal section shows a dark empty sella (arrows) with a preserved midline hypophyseal stalk and flattened remnant of the pituitary gland (curved arrow). B. T1-weighted magnetic resonance imaging (MRI) shows the flattened pituitary (curved arrow), the midline stalk (small white arrows), and the chiasm above (large white arrow). C. MRI (TR, 800 milliseconds; TE, 26 milliseconds); sagittal section shows a large, remodeled sella (white arrows) with moderate prolapse of the optic nerves and chiasm (black arrows). D. Coronal section through the sella; solid arrow on remaining dural wall, open arrow on distorted pituitary stalk, with the chiasm above (small curved arrow).

In a series of 19 patients with primary empty sella at the University of Michigan,224 the following features were noteworthy: all were women; 12 patients complained initially of headache; in 7 patients, visual disturbances were prominent subjective symptoms (blurred vision, diplopia, micropsia); 3 had bilateral papilledema and were believed to have pseudotumor cerebri; and 2 patients demonstrated minimal relative hemianopias without obvious cause. Although it is speculated that the high female preponderance noted in all series implies a mechanism related to physiologic hypertrophy and subsequent involution of the pituitary gland during pregnancy, there was no significant relationship between the number of pregnancies and sellar volume in the Duke University series.

In the secondary form of empty sella that occurs following pituitary surgery or irradiation, adhesions may form between tumor “capsule” (or sellar diaphragm) and the optic nerves and chiasm. Retraction of these adhesions may draw the visual system downward into the empty sella, with resulting visual defects.225,226 Packing the sellar cavity prophylactically to elevate the diaphragma has been proposed,224 or “chiasmapexy” when chiasmal herniation is observed at surgical re-exploration.227

Back to Top
REFERENCES

1. Elkington SG: Pituitary adenoma: preoperative symptomatology in a series of 260 patients. Br J Ophthalmol 52:322, 1968

2. Nachtigaller H, Hoyt WF: Storungen des Scheindruckes bei bitemporaler Hemianopsie und Verschiebung der Sehachsen. Klin Monatsbl Augenheilkd 156:821, 1970

3. Chamlin M, Davidoff LM, Feiring EH: Ophthalmologic changes produced by pituitary tumors. Am J Ophthalmol 40:353, 1955

4. Wilson P, Falconer MA: Patterns of visual failure with pituitary tumours: clinical and radiological correlations. Br J Ophthalmol 52:94, 1968

5. Taylor D: Congenital tumours of the anterior visual system with dysplasia of the optic discs. Br J Ophthalmol 66:455, 1982

6. Grimson BS, Perry DD: Enlargement of the optic disc in childhood optic nerve tumors. Am J Ophthalmol 97:627, 1993

7. Trobe JD, Acosta PC, Krischer JP: A screening method for chiasmal visual field defects. Arch Ophthalmol 99:264, 1981

8. Frisen L: The earliest visual field defects in midchiasmal compression. Doc Ophthalmol 42:14, 1985

9. Gutman I, Behrens M, Odel J: Bilateral central and centrocaecal scotomata due to mass lesions. Br J Ophthalmol 68:336, 1984

10. Horton JC: Wilbrand's knee of the primate optic chiasm is an artefact of monocular enucleation. Trans Am Ophthalmol Soc 95:579, 1997

11. Suckling RD: Visual fields in posterior chiasmal angle lesions. Trans Ophthalmol Soc N Z 36:23, 1984

12. Symon L, Jakubowski J: Transcranial management of pituitary tumours with suprasellar extension. J Neurol Neurosurg Psychiatry 42:123, 1979

13. Parravano JG, Toledo A, Kucharczyk W: Dimensions of the optic nerves, chiasm, and tracts: MR quantitative comparison between patients with optic atrophy and normals. J Comput Assist Tomogr 17:688, 1993

14. Wagner AL, Murtagh FR, Hazlett KS et al: Measurement of the normal optic chiasm on coronal images. AJNR Am J Neuroradiol 18:723, 1997

15. Iwata F, Patronas NJ, Caruso RC et al: Association of visual field, cup-disc ratio, and magnetic resonance imaging of optic chiasm. Arch Ophthalmol 115:729, 1997

16. Kernohan JW, Sayre GP: Tumors of the pituitary gland and infundibulum. In Atlas of Tumor Pathology, series 1, fascicle 36. Washington, DC, Armed Forces Institute of Pathology, 1956

17. Burrow GN, Wortzman G, Rewcastle NB et al: Microadenomas of the pituitary and abnormal sellar tomograms in an unelected autopsy service. N Engl J Med 304:156, 1981

18. Donovan LE, Corenblum B: The natural history of the pituitary incidentaloma. Arch Intern Med 155:181, 1995

19. Thapar K, Kovacs K, Horvath E: Morphology of the pituitary in health and disease. In Becker KL, Bilezikian JP, Bremner WJ et al (eds): Principles and Practice of Endocrinology and Metabolism, p 103. Philadelphia, JB Lippincott, 1995

20. Wilson CB: A decade of pituitary microsurgery: the Herbert Olivecrona lecture. J Neurosurg 61:814, 1984

21. Ebersold MJ, Quast LM, Laws ER et al: Long-term results in transsphenoidal removal of nonfunctioning pituitary adenomas. J Neurosurg 64:713, 1986

22. Kearns TP, Rucker CW: Arcuate defects in the visual fields due to chromophobe adenoma of the pituitary gland. Am J Ophthalmol 45:505, 1958

23. Trobe JD: Chromophobe adenoma presenting with a hemianopic temporal arcuate scotoma. Am J Ophthalmol 77: 388, 1974

24. Ikeda H, Yoshimoto T: Visual disturbances in patients with pituitary adenoma. Acta Neurol Scand 92:157, 1995

25. Katznelson L, Klibanski: Prolactin and its disorders. In Becker KL, Bilezikian JP, Bremner WJ et al (eds): Principles and Practice of Endocrinology and Metabolism, p 140. Philadelphia, JB Lippincott, 1995

26. Randall RV, Laws ER, Abboud CF et al: Transsphenoidal microsurgical treatment of prolactin-producing pituitary adenomas: results in 100 patients. Mayo Clin Proc 58: 108, 1983

27. Woodruff WW, Heinz ER, Djang WT et al: Hyperprolactenemia: an unusual manifestation of suprasellar cystic lesions. AJNR Am J Neuroradiol 8:113, 1987

28. Kahn SR, Leblanc R, Sadikot AF et al: Marked hyperprolactinemia caused by carotid aneurysm. Can J Neurol Sci 24:64, 1997

29. Kruse A, Astrup J, Gyldensted C et al: Hyperprolactinemia in patients with pituitary adenomas: the pituitary stalk compression syndrome. Br J Neurosurg 9:453, 1995

30. Spark RF, Baker R, Bienfang DC, Bergland R: Bromocriptine reduces pituitary tumor size and hypersecretion. JAMA 247: 311, 1982

31. Bonneville JF, Poulignot D, Catin F et al: Computed tomographic demonstration of the effects of bromocriptine on pituitary microadenoma size. Radiology 143:451, 1982

32. Wollesen F, Anderson T, Karle A: Size reduction of extrasellar pituitary tumors during bromocriptine treatment: quantitation of effect on different types of tumors. Ann Intern Med 96:281, 1982

33. Moster ML, Savino PJ, Schatz NJ et al: Visual function in prolactinoma patients treated with bromocriptine. Ophthalmology 92:1332, 1985

34. King LW, Molitch ME, Gittinger JW et al: Cavernous sinus syndrome due to prolactinoma: resolution with bromocriptine. Surg Neurol 19:280, 1083

35. Colao A: Prolactinomas resistant to standard dopamine agonists respond to chronic cabergoline treatment. J Clin Endocrinol Metab 82:876, 1997

36. Grochowski M, Khalfallah Y, Vighetto A et al: Ophthalmic results in patients with macroprolactinomas treated with a new prolactin inhibitor CV 205–502. Br J Ophthalmol 77:785, 1993

37. Saito K, Kuwayama A, Yamamoto N et al: The transsphenoidal removal of nonfunctioning pituitary adenomas with suprasellar extensions: the open sella method and intentionally staged operation. Neurosurgery 36:668, 1995

38. Ciric I, Ragin A, Baumgartner C et al: Complications of transsphenoidal surgery: results of a national survey, review of the literature, and personal experience. Neurosurgery 40:225, 1997

39. Tsang RW, Brierly JD, Panzarella T et al: Radiation therapy for pituitary adenoma: treatment outcome and prognostic factors. Int J Radiat Oncol Biol Phys 30:557, 1994

40. Seo Y, Fukuoka S, Takanashi M et al: Gamma knife surgery for Cushing's disease. Surg Neurol 43:170, 1995

41. Raymond J, Hardy J, Czepko R et al: Arterial injuries in transspenoidal surgery for pituitary adenoma: the role of angiography and endovascular treatment. AJNR Am J Neuroradiol 18:655, 1997

42. Slavin ML, Lam BL, Decker RE et al: Chiasmal compression from fat packing after transsphenoidal resection of intrasellar tumor in two patients. Am J Ophthalmol 115: 368, 1993

43. Baskin DS: Neurosurgical management of pituitary-hypothalamic neoplasms. In Becker KL, Bilezikian JP, Bremner WJ et al (eds): Principles and Practice of Endocrinology and Metabolism, p 238. Philadelphia, JB Lippincott, 1995

44. Valtonen S, Salmi J: Operative management of chromophobe pituitary tumour recurrences. Acta Neurochir (Wien) 62:233, 1982

45. Ebersold MJ, Quast LM, Laws ER et al: Long-term results in transsphenoidal removal of nonfunctioning pituitary adenomas. J Neurosurg 64:713, 1986

46. Thapar K: Proliferative activity and invasiveness among pituitary adenomas and carcinomas: an analysis using the MIB-1 antibody. Neurosurgery 38:99, 1996

47. Sammartino A, Bonavolonta G, Pettinato G, Loffredo A: Exophthalmos caused by an invasive pituitary adenoma in a child. Ophthalmologica 179:83, 1979

48. De Divitiis E, De Chiara A, Benvenuti D et al: Adenome invasif hypophysaire chez un enfant. Neurochirurgie 26: 405, 1980

49. Juneau P, Schoene WC, Black P: Malignant tumors in the pituitary gland. Arch Neurol 49:555, 1992

50. Gould TJ, Johnson LN, Colapinto EV et al: Intrasellar vascular malformation mimicking a pituitary macroadenoma. J Neuroophthalmol 16:199, 1996

51. Hollenhorst RW, Younge BR: Ocular manifestations produced by adenomas of the pituitary gland: analysis of 1,000 cases. In Kohler PO, Ross GT (eds): Diagnosis and Treatment of Pituitary Tumors, p 53. New York, Elsevier, 1973

52. Merimee TJ, Grant MB: Growth hormone and its disorders. In Becker KL, Bilezikian JP, Bremner WJ et al (eds): Principles and Practice of Endocrinology and Metabolism, p 129. Philadelphia, JB Lippincott, 1995

53. Lundin P, Engstom E, Karlsson FA et al: Long-term octrotide therapy in growth hormone secreting pituitary adenomas: evaluation with serial MR. AJNR Am J Neuroradiol 18:765, 1997

54. Rolih CA, Ober P: Pituitary apoplexy. Endocrinol Metab Clin North Am 22:291, 1993

55. Symon L, Mohanty S: Haemorrhage in pituitary tumours. Acta Neurochir (Wien) 65:41, 1982

56. Fraioli B, Esposito V, Palma L et al: Hemorrhagic pituitary adenomas: clinicopathological features and surgical treatment. Neurosurgery 27:741, 1990

57. Holness RO, Ogundino FA, Langille RA: Pituitary apoplexy following closed head trauma. J Neurosurg 59:677, 1983

58. Savage EB, Gugino L, Starr PA et al: Pituitary apoplexy following cardiopulmonary bypass: considerations for a staged cardiac and neurosurgical procedure. Eur J Cardiothorac Surg 8:333, 1994

59. Masago A, Ueda Y, Kanai H et al: Pituitary apoplexy after pituitary function test: a report of two cases and review of the literature. Surg Neurol 43:158, 1995

60. Reid RL, Quigley ME, Yen SSC: Pituitary apoplexy: a review Arch Neurol 42:712, 1985

61. Poussaint TY, Barnes PD, Anthony DC et al: Hemorrhagic pituitary adenomas in adolescence. AJNR Am J Neuroradiol 17: 1907, 1996

62. McFadzean RM, Doyle D, Rampling R et al: Pituitary apoplexy and its effect on vision. Neurosurgery 29:669, 1991

63. Bonicki W, Kasperlik-Zaluska A, Koszewski W et al: Pituitary apoplexy: endocrine, surgical and oncological emergency. Incidence, clinical course and treatment with reference to 799 cases of pituitary adenomas. Acta Neurochir (Wien) 120:118, 1993

64. Brisman MH, Katz G, Post KD: Symptoms of pituitary apoplexy rapidly reversed with bromocriptine: case report. J Neurosurg 85:1153, 1996

65. Maccagnan P, Macedo CL, Kayath MJ et al: Conservative management of pituitary apoplexy: a prospective study. J Clin Endocrinol Metab 80:2190, 1995

66. Hall WA, Luciano MG, Doppman JL et al: Pituitary magnetic resonance imaging in normal human volunteers: occult adenomas in the general population. Ann Intern Med 120:817, 1994

67. Wolansky LJ, Rao SB, Schulder M et al: Extrasellar extension of pituitary lesions: comparison of T2 weighted fast spin echo MRI with T1 weighted sequences. Int J Neuroradiol 2:147, 1996

68. Scotti G, Yu CY, Dillon WP et al: MR imaging of cavernous sinus involvement by pituitary adenomas. AJNR Am J Neuroradiol 9:657, 1988

69. Destrieux C, Kakou MK, Velut S et al: Microanatomy of the hypophyseal fossa boundaries. Neurosurgery 88:743, 1998

70. Teng MMH, Huang CI, Chang T: The pituitary mass after transsphenoidal hypophysectomy. AJNR Am J Neuroradiol 9:23, 1988

71. Hsu DW, Efird JT, Hedley-White ET: Progesterone and estrogen receptors in meningiomas: prognostic considerations. J Neurosurg 86:113, 1997

72. Rucker CW, Kearns TP: Mistaken diagnosis in some cases of meningioma. Am J Ophthalmol 51:15, 1961

73. Slavin ML: Acute, severe, symmetric visual loss with cecocentral scotomas due to olfactory groove meningioma. J Clin Neuroophthalmol 6:224, 1986

74. Gregorius FK, Hepler RS, Stern WE: Loss and recovery of vision with suprasellar meningiomas. J Neurosurg 42:69, 1975

75. Ehlers N, Malmros R: The suprasellar meningioma: a review of the literature and presentation of a series of 31 cases. Acta Ophthalmol Suppl 121:1, 1973

76. Yeakley JW, Kulkarni MV, McArdle CB et al: High-resolution MR imaging of juxtasellar meningiomas with CT and angiographic correlation. AJNR Am J Neuroradiol 9:279, 1988

77. Chan RC, Thompson GB: Morbidity, mortality and quality of life following surgery for intracranial meningiomas: a retrospective study in 257 cases. J Neurosurg 60:52, 1984

78. Mirimanoff RO, Dosoretz DE, Linggood RM et al: Analysis of recurrence and progression following neurosurgical resection. J Neurosurg 62:18, 1985

79. Rosenberg LF, Miller NR: Visual results after microsurgical removal of meningiomas involving the anterior visual system. Arch Ophthalmol 102:1019, 1984

80. Petty AM, Kun LE, Meyer GA: Radiation therapy for incompletely resected meningiomas. J Neurosurg 62:502, 1985

81. Carella RJ, Ransohoff J, Newall J: Role of radiation therapy in the management of meningioma. Neurosurgery 10:332, 1982

82. Maire JP, Caudry M, Guerin J et al: Fractionated radiation therapy in the treatment of intracranial meningiomas: local control, functional efficacy, and tolerance in 91 patients. Int J Radiat Oncol Biol Phys 33:315, 1995

83. Haie-Meder C, Brunel P, Cioloca C et al: Role of radiotherapy in the treatment of meningioma. Bull Cancer Radiother 82:35, 1995

84. Black PM: Hormones, radiosurgery and virtual reality: new aspects of meningioma management. Can J Neurol Sci 24:302, 1997

85. Kupersmith MJ, Warren FA, Newall J et al: Irradiation of meningiomas of the intracranial anterior visual pathway. Ann Neurol 21:131, 1987

86. Kennerdell JS, Maroon JC, Malton M et al: The management of optic nerve sheath meningiomas. Am J Ophthalmol 106:450, 1988

87. Grunberg SM, Weiss MH, Spitz IM et al: Treatment of unresectable meningiomas with the antiprogesterone agent mifepristone. J Neurosurg 74:861, 1991

88. Kyritsis AP: Chemotherapy for meningiomas. J Neurooncol 29: 269, 1996

89. Olivero WC, Lister R, Elwood PW: The natural history and growth rate of asymptomatic meningiomas: a review of 60 patients. J Neurosurg 83:222, 1995

90. Burger PC, Scheithauer BW, Vogel FS: Surgical Pathology of the Nervous System and its Coverings, 3rd ed, p 536. New York, Churchill Livingstone, 1991

91. McLone DG, Raimondi AJ, Naidich TP: Craniopharyngiomas. Childs Brain 9:188, 1982

92. Savino PJ, Paris M, Schatz NJ et al: Optic tract syndrome: a review of 21 patients. Arch Ophthalmol 96:656, 1978

93. Eldevik OP, Blaivas M, Gabrielson TO et al: Craniopharyngioma: radiologic and histologic findings and recurrence. AJNR Am J Neuroradiol 17:1427, 1996

94. Brodsky MC, Hoyt WF, Barnwell SL et al: Intrachiasmatic craniopharyngioma: a rare cause of chiasmal thickening. Case report. J Neurosurg 68:300, 1988

95. Cushing HW: Papers Relating to the Pituitary Body, Hypothalamus, and Parasympathetic Nervous System. Springfield, IL, Charles C Thomas, 1932

96. Katz E: Late results of radical excision of craniopharyngioma in children. Neurosurgery 42:86, 1975

97. Carmel PW, Antunes JL, Chang CH: Craniopharyngiomas in children. Neurosurgery 11:382, 1982

98. Fischer EG, Welsh K, Belli JA et al: Treatment of craniopharyngioma in children 1972-1981. J Neurosurg 62:496, 1985

99. Laws ER: Transsphenoidal microsurgery in the management of craniopharyngioma. J Neurosurg 52:661, 1980

100. Halstead AE: The operative treatment of tumors of the hypophysis. Surg Gynecol Obstet 10:494, 1910

101. Alvord EC Jr, Lofton S: Gliomas of the optic nerve or chiasm: outcome by patient's age, tumor site, and treatment. J Neurosurg 68:85, 1988

102. Hoyt WF, Baghdassarian SA: Optic glioma of childhood: natural history and rationale for conservative management. Br J Ophthalmol 53:793, 1969

103. Blatt J, Jaffe R, Deutsch M et al: Neurofibromatosis and childhood tumors. Cancer 57:1225, 1986

104. Lewis RA, Gerson LP, Axelson KA et al: Von Recklinghausen neurofibromatosis. II. Incidence of optic gliomata. Ophthalmology 91:929, 1984

105. Bognanno JR, Edwards MK, Lee TA et al: Cranial MR imaging in neurofibromatosis. AJNR Am J Neuroradiol 9:461, 1988

106. Miller NR, Iliff WJ, Green WR: Evaluation and management of gliomas of the anterior visual pathways. Brain 97:743, 1974

107. McCullough DC, Epstein F: Optic pathway tumors: a review with proposals for clinical staging. Cancer 56:1789, 1985

108. Layden WE, Edwards WC: Ocular manifestations of the dien-cephalic syndrome. Am J Ophthalmol 73:78, 1972

109. Arnoldi KA, Tychsen L: Prevalence of intracranial lesions in children originally diagnosed with disconjugate nystagmus (spasmus nutans). J Pediatr Ophthalmol Stabismus 32:296, 1995

110. DeSousa AC, Kalsbeck JE, Mealey J, Fitzgerald J: Diencephalic syndrome and its relation to optico-chiasmatic glioma: review of twelve cases. Neurosurgery 4:207, 1979

111. Poussaint TY, Barnes PD, Nichols K et al: Diencephalic syndrome: clinical features and imaging findings. AJNR Am J Neuroradiol 18:1499, 1997

112. Perlongo G, Carollo C, Salviati L et al: Diencephalic syndrome and disseminated juvenile pilocytic astrocytomas of the hypothalamic-optic chiasm region. Cancer 80:142, 1997

113. Rieth KG, Comite F, Dwyer AJ et al: CT of cerebral abnormali-ties in precocious puberty. AJR Am J Roentgenol 148:1231, 1987

114. Bronen RA, Fulbright RK, Reynders CS et al: Magnetic resonance imaging of central precocious puberty: the importance of hypothalamic abnormalities. Int J Neuroradiol 1:145, 1995

115. Habiby R, Silverman B, Listernick R et al: Precocious puberty in children with neurofibromatosis type 1. J Pediatr 126:364, 1995

116. Lavery MA, O'Neill JF, Chu FC et al: Acquired nystagmus in early childhood: a presenting sign of intracranial tumor. Ophthalmology 91:425, 1984

117. Glaser JS, Hoyt WF, Corbett J: Visual morbidity with chiasmal glioma: long-term studies of visual fields in untreated and irradiated cases. Arch Ophthalmol 85:3, 1971

118. Fletcher WA, Imes RK, Hoyt WF: Chiasmal gliomas: appearance and long-term changes demonstrated by computerized tomography. J Neurosurg 65:154, 1986

119. Lourie GL, Osborne DR, Kirks DR: Involvement of posterior visual pathways by optic nerve gliomas. Pediatr Radiol 16:271, 1986

120. Patronas NJ, Dwyer AJ, Papathanasiou M et al: Contributions of magnetic resonance imaging in the evaluation of optic gliomas. Surg Neurol 28:367, 1987

121. Menor F, Marti-Bonmati L: CT detection of basal ganglion lesions in neurofibromatosis type 1: correlation with MRI. Neuro-radiology 34:305, 1992

122. Albright AL, Sclabassi RJ: Use of the Cavitron ultrasonic aspirator (CUSA) and visual evoked potentials for chiasmal gliomas of children. J Neurosurg 63:138, 1985

123. Coppeto JR, Monteiro ML, Uphoff DF: Exophytic suprasellar gliomas: a rare cause of chiasmatic compression. Case report. Arch Ophthalmol 105:28, 1987

124. Massry GG, Morgan CF, Chung SM: Evidence of optic pathway gliomas after previously negative neuroimaging. Ophthalmology 104:930, 1997

125. Parazzini C, Triulzl F, Bianchini E et al: Spontaneous involution of optic pathway lesions in neurofibromatosis type 1: serial contrast MR evaluation. AJNR Am J Neuroradiol 16:1711, 1995

126. Leisti EL, Pyhtinen J, Poyhonen M: Spontaneous decrease of a pilocytic astrocytoma in neurofibromatosis type 1. AJNR Am J Neuroradiol 17:1691, 1996

127. Imes RK, Hoyt WF: Childhood chiasmal gliomas: update on the fate of patients in the 1969 San Francisco study. Br J Ophthalmol 70:179, 1986

128. Pierce SM, Barnes PD, Loeffler JS et al: Definitive radiation therapy in the management of symptomatic patients with optic glioma: survival and long-term effects. Cancer 65: 45, 1990

129. Kovalic JJ, Grigsby PW, Shepard MJ et al: Radiation therapy for gliomas of the optic nerve and chiasm. Int J Radiat Oncol Biol Phys 18:927, 1990

130. Tao ML, Barnes PD, Billet AL et al: Childhood optic chiasm gliomas: radiographic response following radiotherapy and long-term clinical outcome. Int J Radiat Oncol Biol Phys 39:579, 1997

131. Erkal HS, Serin M, Cakmak A: Management of optic pathway and chiasmatic-hypothalmic gliomas in children with radiation therapy. Radiother Oncol 45:11, 1997

132. Danoff BF, Cowchock FS, Marquette C et al: Assessment of the long-term effects of primary radiation therapy for brain tumors in children. Cancer 49:1580, 1982

133. Packer RJ, Savino PJ, Bilaniuk LT et al: Chiasmatic gliomas of childhood: a reappraisal of the natural history and effectiveness of cranial irradiation. Childs Brain 10:393, 1983

134. Davis PC, Hoffman JC, Pearl GS et al: CT evaluation of effects of cranial radiation therapy in children. AJNR Am J Neuroradiol 7:639, 1986

135. Beyer RA, Paden P, Sobel DF et al: Moyamoya pattern of vascular occlusion after radiotherapy for gliomas of the optic chiasm. Neurology 36:1173, 1986

136. Packer RJ, Ater J, Allen J et al: Carboplatin and vincristine chemotherapy for children with newly diagnosed progressive low-grade gliomas. J Neurosurg 86:747, 1997

137. Chamberlain MC: Recurrent chiasmatic-hypothalamic glioma treated with oral etoposide. Arch Neurol 52:509, 1995

138. Safneck JR, Napier LB, Halliday WC: Malignant astrocytoma of the optic nerve in a child. Can J Neurol Sci 19:498, 1992

139. Aroichane M, Miller NR, Eggenberger ER: Glioblastoma multiforme masquerading as pseudotumor cerebri: case report. J Clin Neuroophthalmol 13:105, 1993

140. Hoyt WF, Meshel LG, Lessell S et al: Malignant optic glioma of adulthood. Brain 96:121, 1973

141. Taphoorn MJB, de Vries-Knoppert WAEJ, Ponssen H et al: Malignant optic glioma in adults. J Neurosurg 70:277, 1989

142. Millar WS, Tartaglino LM, Sergott RC et al: MR of malignant optic glioma of adulthood. AJNR Am J Neuroradiol 16:1673, 1995

143. Albers GW, Hoyt WF, Forno LS et al: Treatment response in malignant optic glioma of adulthood. Neurology 38: 1071, 1988

144. Matsutani M, Sano K, Takakura K et al: Primary intracranial germ cell tumors: a clinical analysis of 153 histologically verified cases. J Neurosurg 86:446, 1997

145. Camins MB, Mount LA: Primary suprasellar atypical teratoma. Brain 97:447, 1974

146. Wilson JT, Wald SL, Aitken PA et al: Primary diffuse chiasmatic germinomas: differentiation from optic chiasm gliomas. Pediatr Neurosurg 23:1, 1995

147. Lumsden CE: The neuropathology of multiple sclerosis. In Vinken PJ, Bruyn GW (eds): Handbook of Neurology, Vol 9, p 217. Amsterdam, North Holland, 1970

148. Traquair HM: Acute retrobulbar neuritis affecting the optic chiasm and tract. Br J Ophthalmol 9:433, 1925

149. Spector RH, Glaser JS, Schatz NJ: Demyelinative chiasmal lesions. Arch Neurol 37:757, 1980

150. Lindenberg R, Walsh FB, Sacks JG: Neuropathology of Vision: An atlas, p 250. Philadelphia, Lea & Febiger, 1973

151. Lefkowitz D, Angelo JN: Neuromyelitis optica with unusual vascular changes. Arch Neurol 41:1103, 1984

152. Waespe W, Haenny P: Bitemporal hemianopia due to chiasmal optic neuritis. Neuroophthalmology 7:69, 1987

153. Purvin V, Herr GJ, De Myer W: Chiasmal neuritis as a complication of Epstein-Barr virus infection. Arch Neurol 45:458, 1988

154. Reynolds WD, Smith JL, McCrary JA: Chiasmal optic neuritis. J Clin Neuroophthalmol 2:93, 1982

155. Cant JS, Harrison MT: Chiasmatic arachnoiditis with growth failure. Am J Ophthalmol 65:432, 1968

156. Oliver M, Beller AJ, Behar A: Chiasmal arachnoiditis as a manifestation of generalized arachnoiditis in systemic vascular disease: clinico-pathological report of 2 cases. Br J Ophthalmol 52:227, 1968

157. Iraci G, Giordano R, Gerosa M et al: Cystic suprasellar and retrosellar arachnoiditis. Ann Ophthalmol 8:1175, 1979

158. Takahashi T, Isayama Y: Chiasmal meningitis. Neuroophthalmology 1:19, 1980

159. Scott IU, Silva-Lepe A, Siatkowski RM: Chiasmal optic neuritis in Lyme disease. Am J Ophthalmol 123:136, 1997

160. Decker RE, Mardayat M, Marc J et al: Neurosarcoidosis with computerized tomographic visualization and transsphenoidal excision of a supra- and intrasellar granuloma. J Neurosurg 50: 814, 1979

161. Tang RA, Grotta JC, Lee KF et al: Chiasmal syndrome in sarcoidosis. Arch Ophthalmol 101:1069, 1983

162. Agbogu BN, Stern BJ, Sewell C et al: Therapeutic considerations in patients with refractory neurosarcoidosis. Arch Neurol 52: 875, 1995

163. Stelzer KJ, Thomas CR, Berger MS et al: Radiation therapy for sarcoid of the thalamus/posterior third ventricle: case report. Neurosurgery 36:1188, 1995

164. Navarro IM, Peralta VR, Leon JM et al: Tuberculous optochiasmatic arachnoiditis. Neurosurgery 9:654, 1981

165. Kuroda Y, Miyahara M, Sakemi T et al: Autopsy report of acute necrotizing opticomyelopathy associated with thyroid cancer. J Neurol Sci 120:29, 1993

166. Zucchini S, Ambrosetto P, Carla G et al: Primary empty sella: differences and similarities between children and adults. Acta Paediatr 84:1382, 1995

167. McGrath P: Cysts of sellar and pharyngeal hypophyses. Pathology 3:123, 1971

168. Benes SL, Kansu T, Savino PJ et al: Ocular manifestations of arachnoid cysts. In Glaser JS (ed): Neuro-Ophthalmology: Symposium of the University of Miami, Vol 10, p 107. St. Louis, CV Mosby, 1980

169. Sumida M, Uozumi T, Mukada K et al: Rathke cleft cysts: correlation of enhanced MR and surgical findings. AJNR Am J Neuroradiol 15:525, 1994

170. Rao GP, Blyth CPJ, Jeffreys RV: Ophthalmic manifestations of Rathke's cleft cysts. Am J Ophthalmol 119:99, 1995

171. Baskin DS, Wilson CB: Transsphenoidal treatment of non-neoplastic intrasellar cysts: a report of 38 cases. J Neurosurg 60:8, 1984

172. Appen RE, deVenecia G, Selliken JM, Giles LT: Meningeal carcinomatosis with blindness. Am J Ophthalmol 86:661, 1978

173. Takahashi T, Murase T, Isayama Y: Clinicopathological findings in the chiasmal region with reference to carcinomatous optic neuropathy cases. In Shimizu K, Oosterhuis JA (eds): Ophthalmology, Vol 2, p 1124. Amsterdam, Excerpta Medica, 1979

174. Takahashi T, Yoshimasa I: Pathological findings in the chiasmal region with reference to malignant lymphoma. Folia Ophthalmol Jpn 31:1118, 1980

175. Howard RS, Duncombe AS, Owens C et al: Compression of the optic chiasm due to a lymphoreticular malignancy. Postgrad Med J 63:1091, 1987

176. Tabarin A, Corcuff JB, Dautheribes M et al: Histiocytosis X of the hypothalamus. J Endocrinol Invest 14:139, 1991

177. Max MB, Deck F, Rottenberg DA: Pituitary metastases: incidence in cancer patients and clinical differentiation from pituitary adenoma. Neurology 31:998, 1981

178. Woiciechowsky C, Vogel S, Meyer R et al: Magnetic resonance imaging of a glioblastoma of the optic chiasm: case report. J Neurosurg 83:923, 1995

179. Liu GT, Galetta SL, Rorke LB et al: Gangliogliomas involving the optic chiasm. Neurology 46:1669, 1996

180. Morrison DA, Bibby K: Sellar and suprasellar hemangiopericytoma mimicking pituitary adenoma. Arch Ophthalmol 115: 1201, 1997

181. Balcer LJ, Galetta SL, Curtis M: von Hippel-Lindau disease manifesting as a chiasmal syndrome. Surv Ophthalmol 39: 302, 1995

182. Teixeira F, Penagos P, Lozano D et al: Medulloblastoma pre-senting as blindness of rapid evolution: a case report. J Clin Neuroophthalmol 11:250, 1991

183. Goodwin JA, Glaser JS: Chiasmal syndrome in sphenoid sinus mucocele. Ann Neurol 4:440, 1978

184. Valvassori GE, Putterman AM: Ophthalmologic and roentgenographic findings in sphenoidal mucoceles. Trans Am Acad Ophthalmol Otolaryngol 77:703, 1973

185. Abla AA, Maroon JC, Wilberger JE et al: Intrasellar mucocele simulating pituitary adenoma: case report. Neurosurgery 18: 197, 1986

186. Heinz GW, Nunery WR, Grossman CB: Traumatic chiasmal syndrome associated with midline basilar skull fractures. Am J Ophthalmol 117:90, 1994

187. Elisevich KV, Ford RM, Anderson DP et al: Visual abnormalities with multiple trauma. Surg Neurol 22:565, 1984

188. Savino PJ, Glaser JS, Schatz NJ: Traumatic chiasmal syndrome. Neurology 30:963, 1980

189. Ess T, Weiler G: Histomorphologische Befunde and Chiasma opticum bei Schadel-Hirntrauma. Z Rechtsmed 82:257, 1979

190. Crompton MR: Hypothalamic lesions following closed head injury. Brain 94:165, 1971

191. Arkin MS, Rubin AD, Bilyk JR et al: Anterior chiasmal optic nerve avulsion. AJNR Am J Neuroradiol 17:1777, 1996

192. Hayman A, Carter K, Schiffman JS et al: A sellar misadventure: imaging considerations. Surv Ophthalmol 41:252, 1996

193. Warman R, Glaser JS: Radionecrosis of optico-hypothalamic glioma. Neuroophthalmology 9:219, 1989

194. Kline LB, Kim JV, Ceballos R: Radiation optic neuropathy. Ophthalmology 92:1118, 1985

195. Ebner R, Slamovits TL, Friedland S et al: Visual loss following treatment of sphenoid sinus carcinoma. Surv Ophthalmol 40: 62, 1995

196. Atkinson AB, Allen IV, Gordon DS et al: Progressive visual failure in acromegaly following external pituitary irradiation. Clin Endocrinol 10:469, 1979

197. Hammer HM: Optic chiasmal radionecrosis. Trans Ophthalmol Soc UK 103:208, 1983

198. Girkin CA, Comey CH, Lunsford LD et al: Radiation optic neuropathy after stereotactic radiosurgery. Ophthalmology 104: 1634, 1997

199. Zimmerman CF, Schatz NJ, Glaser JS: Magnetic resonance imaging of radiation optic neuropathy. Am J Ophthalmol 110: 389, 1990

200. Hudgins PA, Newman NJ, Dillong WP et al: Radiation-induced optic neuropathy: characteristics on gadolinium-enhanced MR. AJNR Am J Neuroradiol 13:235, 1992

201. Hufnagel TJ, Kim JH, Lesser R et al: Malignant glioma of the optic chiasm eight years after radiotherapy for prolactinoma. Arch Ophthalmol 106:1701, 1988

202. Aristizabal S, Caldwell WL, Avila J: The relationship of time dose fractionation factors to complication in the treatment of pituitary tumors by irradiation. Int J Radiat Oncol Biol Phys 2:667, 1977

203. Parsons JT, Bova FJ, Fitzgerald CR et al: Radiation optic neuropathy after megavoltage external-beam irradiation: analysis of time-dose factors. Int J Radiation Oncol Biol Phys 30:755, 1994

204. Wilson WB, Perez GM, Kleinschmidt-Demasters BK: Sudden onset of blindness in patients treated with oral CCNU and low-dose cranial irradiation. Cancer 59:901, 1987

205. Glantz MJ, Burger PC, Friedman AH et al: Treatment of radiation-induced nervous system injury with heparin and warfarin. Neurology 44:2020, 1994

206. Borruat FX, Schatz NJ, Glaser JS et al: Visual recovery from radiation-induced optic neuropathy: the role of hyperbaric oxygen therapy. J Clin Neuroophthalmol 13:98, 1993

207. Borruat FX, Schatz NJ, Glaser JS: Radiation optic neuropathy: report of cases, role of hyperbaric oxygen therapy, and literature review. Neuroophthalmology 16:255, 1996

208. Sinclair AHH, Dott NM: Hydrocephalus simulating tumour in the production of chiasmal and other parahypophysial lesions. Trans Ophthalmol Soc U K 51:232, 1931

209. Hughes EBC: Some observations on the visual fields in hydrocephalus. J Neurol Neurosurg Psychiatry 9:30, 1946

210. Corbett JJ: Neuro-ophthalmologic complications of hydrocephalus and shunting procedures. Semin Neurol 6:111, 1986

211. Calogero JA, Alexander E: Unilateral amaurosis in a hydro-cephalic child with an obstructed shunt: case report. J Neurosurg 34:236, 1971

212. Kupersmith MJ, Rosenberg C, Kleinberg D: Visual loss in pregnant women with pituitary adenomas. Ann Intern Med 121: 473, 1994

213. Roelvink NCA, Kamphorst W, van Alphen HAM et al: Pregnancy-related primary brain and spinal tumors. Arch Neurol 44:209, 1987

214. Abramsky O: Pregnancy and multiple sclerosis. Ann Neurol 36:38, 1994

215. Cosman F, Post KD, Holub DA et al: Lymphocytic hypophysitis: report of three new cases and review of the literature. Medicine 68:240, 1989

216. Sunness JS: The pregnant woman's eye. Surv Ophthalmol 32: 219, 1988

217. Kaufman B: The “empty” sella turcica, a manifestation of the intrasellar subarachnoid space. Radiology 90:931, 1968

218. Bergland RM, Ray BS, Torack RM: Anatomical variations in the pituitary gland and adjacent structures in 225 human autopsy cases. J Neurosurg 28:93, 1968

219. Zagardo MT, Cail WS, Kelman SE et al: Reversible empty sella in idiopathic intracranial hypertension: an indicator of successful therapy. AJNR Am J Neuroradiol 17:1953, 1996

220. Neelon FA, Goree JA, Lebovitz HE: The primary empty sella: clinical and radiographic characteristics and endocrine function. Medicine 52:73, 1973

221. Brismar K: Prolactin secretion in the empty sella syndrome in prolactinomas and in acromegaly. Acta Med Scand 209:397, 1981

222. Tremoulet M, Petrus M, Bonafe A, Rochiccioli P: La selle turcique vide de l'enfant. Rev Otoneuroophthalmol 54: 405, 1982

223. Wilkinson IA, Duck SC, Gager WE, Daniels DL: Empty-sella syndrome: occurrence in childhood. Am J Dis Child 136:245, 1982

224. Berke JP, Buxton LF, Kokmen E: The “empty sella.” Neurology 25:1137, 1975

225. Olson DR, Guiot G, Derome P: The symptomatic empty sella: prevention and correction via the transsphenoidal approach. J Neurosurg 37:553, 1972

226. Bursztyn EM, Lavyne MH, Aisen M: Empty sella syndrome with intrasellar herniation of the optic chiasm. AJNR Am J Neuroradiol 4:167, 1983

227. Kaufman B, Tomsak RL, Kaufman BA et al: Herniation of the suprasellar visual system and third ventricle into empty sellae: morphologic and clinical consideration. AJNR Am J Neuroradiol 10:65, 1989

Back to Top