Chapter 21
Orbital Anatomy and Its Clinical Applications
Deborah D. Sherman, Cat N. Burkat and Bradley N. Lemke
Main Menu   Table Of Contents

Search

DIMENSIONS
ORBITAL RIM
ORBITAL WALLS
NASAL AND PARANASAL SINUSES
ORBITAL APEX: SUPERIOR ORBITAL FISSURE, INFERIOR ORBITAL FISSURE
PERIORBITAL SOFT TISSUE
REFERENCES

The clinician must have a detailed knowledge of orbital anatomy to understand the structural disarrangements in orbital disease and to employ appropriate medical and surgical procedures. This chapter discusses orbital anatomy with emphasis on those aspects that are important in orbital disease.
Back to Top
DIMENSIONS
The bony orbit is a pear-shaped structure closely resembling a four-sided pyramid that becomes three-sided near the apex (Fig. 1). The bony orbit has a volume of approximately 30 cc. The adult orbital margin is approximately rectangular with a horizontal dimension of 40 mm and a vertical dimension of 35 mm. The widest dimension of the orbit is 1 cm behind the anterior orbital rim. The medial walls are separated by 25 mm in the average adult and are roughly parallel.1 The length of the medial orbital wall from the anterior lacrimal crest is 45 to 50 mm, whereas the lateral wall from the rim to the superior orbital fissure measures 40 mm. The adult lateral orbital walls are angled 90 degrees from each other, or 45 degrees in the anteroposterior direction. The divergent axis of each orbit thus becomes half of 45 degrees or 22.5 degrees (Fig. 2). The eyes tend to diverge in accordance with their bony surroundings, as seen in persons with acquired visual loss, under general anesthesia, or in death. Because of the continuous need for torsion of the globe away from the orbital axis, it is not surprising to find that the medial is the thickest of the rectus muscles. The lateral orbital rim is approximately at the level of the equator of the globe.

Fig. 1 Anterior view of the orbit. The walls are made up of seven bones; the roof consists of the sphenoid (S) and the frontal bone (F); the lateral wall consists of the sphenoid (S) and zygomatic bones (Z); the floor consists of the maxilla (M), the palatine (P), and zygomatic bones (Z); the medial wall consists of the sphenoid (S), maxilla (M), ethmoid (E), lacrimal bones (L), and supraorbital notch (SON).

Fig. 2 Diagram of horizontal section through orbits. Medial walls are roughly parallel and lateral walls diverge 45 degrees. Thus, the orbital axis diverges 22.5 degrees away from midline.

The intraorbital optic nerve measures 25 mm, on the average, between the back of the globe and the entrance into the optic foramen, but the distance between these structures is only 18 mm. This 7 mm of slack in the optic nerve results in a gentle curve with a convexity directed inferotemporally in the orbit. This degree of play in the nerve allows free eye movement and affords a margin of safety in proptotic states. Approximate measurements of the adult orbit are outlined in Table 1.

 

TABLE 1. Adult Orbital Dimensions


Horizontal entrance width40 mm
Vertical entrance height35 mm
Volume30 cc
Orbital depth (measured from rim to the optic strut)45–55 mm
Distance from back of globe to optic foramen18 mm
Orbital segment of optic nerve25 mm

 

Back to Top
ORBITAL RIM
The zygomatic bone forms the lateral orbital margin. It serves as an orbital protector or “facial buttress” that can withstand significant trauma without fracturing. When fractured, steps may be palpable inferiorly at the zygomaticomaxillary suture and superolaterally at the zygomaticofrontal suture. The frontal bone comprises the superior orbital margin and extends both laterally and medially to form portions of those borders (see Fig. 1). In the newborn, the supraorbital rim is sharp; it remains so in the female but becomes rounded with development in the male. In most skulls, the superior rim at the junction of its medial one-third is indented by a supraorbital notch, where the supraorbital nerve and artery pass to innervate the forehead and frontal sinus. In approximately 25% of skulls, the frontal bone covers these structures, forming a foramen.

The medial orbital rim is formed anteriorly by the maxillary bone rising to meet the maxillary process of the frontal bone. The lacrimal sac fossa complicates the medial rim by indenting the bone and forming anterior (maxillary bone) and posterior (lacrimal bone) crests. Thus, Whitnall2 likened the definable orbital rim to a single coil of an undulating spiral. The inferior orbital rim is comprised of the maxillary and zygomatic bones, and inferior to the rim exits the infraorbital nerve and artery.

Back to Top
ORBITAL WALLS
The orbital walls are embryologically derived from neural crest cells. Ossification of the orbital walls is completed by birth, except at the orbital apex. The lesser wing of the sphenoid is initially cartilaginous, unlike the greater wing of the sphenoid and other orbital intramembranous bones.

The walls are made up of seven bones (see Fig. 1).

The orbital roof is principally comprised of the frontal bone. Its progressive concavity with growth reflects molding of the globe. Posteriorly, the roof remains flat and receives a 1.5-cm contribution from the lesser wing of the sphenoid bone as the roof tapers into the anterior clinoid process of the lesser sphenoid. At an angle of about 45 degrees from the midline, the optic nerve enters the optic foramen located in the lesser wing of the sphenoid at the orbital apex. Anteromedially, the small trochlear fossa is found, and the large lacrimal gland fossa is seen laterally. The roof is usually strong, and only rarely will blunt ocular trauma disrupt it, in contrast to the commonly seen orbital floor fracture.

The lateral orbital wall is bordered by the superior and inferior orbital fissures. The anterior borders are formed by the frontozygomatic and the zygomaticomaxillary sutures. Posteriorly, the greater wing of the sphenoid is alone in forming the lateral wall but is met anteriorly by the zygoma and the lateral angular (zygomatic) process of the frontal bone. Near the suture between the frontal and sphenoid bones, a meningeal foramen conducting the recurrent meningeal artery off the middle meningeal artery may be found. This artery anastomoses the external carotid circulation with the internal carotid system via the lacrimal artery from the ophthalmic artery. Approximately 4 to 5 mm behind the lateral orbital rim at its midpoint, approximately 1cm inferior to the frontozygomatic suture, is the lateral orbital tubercle of Whitnall.3 The lateral canthal ligament, the lateral rectus check ligament, the lateral horn of the levator aponeurosis, the suspensory ligament of the lower lid (Lockwood's ligament), the orbital septum, and the lacrimal gland fascia attach at Whitnall's tubercle. Whitnall's tubercle is usually the location for reattachment during the lateral tarsal strip or other lateral canthal procedures. The zygoma thickens inferiorly and forms the anterior loop of the inferior orbital fissure. This thicker zygoma also separates the orbit from the buccal fat-pad.

Posterior and lateral to the lateral orbital wall lies the temporalis muscle, which is firmly adherent to the bony temporal fossa. The frontal process of the zygomatic bone and the zygomatic process of the frontal bone are quite thick and protect the globe from lateral trauma. Behind this facial buttress area, the posterior zygomatic bone and the orbital plate of the greater wing of the sphenoid is thinner, making the zygomaticosphenoid suture a convenient breaking point for bone removal during lateral orbitotomy. The zygomaticofacial and the zygomaticotemporal canals transmit like-named branches of the zygomatic nerve and vessels through the lateral orbital wall to terminate in the cheek and temporalis region, respectively. These vessels are often encountered as the surgeon dissects the temporalis muscle during a lateral orbitotomy. Posterior to the thin zygomaticosphenoid suture the lateral orbital wall again begins to thicken. At this point it meets the temporal bone, which forms the lateral wall of the cranium (Fig. 3). When performing a lateral orbitotomy, the surgeon must be aware that a distance of approximately 12 to 13 mm separates the posterior aspect of the osteotomy from the middle cranial fossa. In females, however, this distance may be 5 to 6 mm shorter.4

Fig. 3 Posterior lateral view of temporalis fossa showing the thin zygomaticosphenoid suture, which is a convenient breaking point in a lateral orbitotomy. Also shown are the zygomaticofacial (ZF) and the zygomaticotemporal (ZT) canals, which transmit like-named branches of the zygomatic nerve and vessels.

The floor is the shortest of the orbital walls and is shaped like an equilateral triangle. A line passing through the axis of the inferior orbital fissure forms the lateral border (see Fig. 1). The medial border can be defined with anterior and posterior extensions of the maxillary-ethmoidal suture. The orbital plate of the maxillary bone comprises nearly the entire floor with small contributions from the palatine bone posteriorly and from the zygoma anterolaterally. The posterior infraorbital groove becomes a canal anteriorly as the nerve passes through the infraorbital foramen (see Fig. 1). In childhood the infraorbital foramen is found immediately below the orbital margin, but as the face grows into adult size, the foramen migrates 6 to 10 mm below the orbital rim. The floor remains strong lateral to the infraorbital nerve but becomes thin medially with maxillary sinus expansion. This unsupported dome of maxillary sinus is where the floor usually fractures with trauma, often causing hypesthesia of the infraorbital skin, the lateral tip of the nose, and the anterior superior gingiva. The nasolacrimal duct lies at the anteromedial orbital floor and travels inferiorly and posteriorly 2 cm along the lateral wall of the nose before exiting into the inferior meatus.

The medial orbital wall is composed, from anterior to posterior, by the frontal process of the maxilla, the lacrimal bone, the ethmoid bone, and the lesser wing of the sphenoid bone. The thinnest portion of the medial wall is the lamina papyracea, which covers the ethmoid sinuses posterior to the maxillary bone (see Fig. 1). It can be breached by inflammatory and neoplastic disease that originates in the ethmoid air cells as well as by dissection during surgery. In children, infections of the ethmoid sinuses commonly extend through the lamina papyracea as a result of dehiscences or venous channels to cause orbital cellulitis and proptosis. The medial wall becomes thicker posteriorly at the body of the sphenoid and again anteriorly at both the posterior lacrimal crest of the lacrimal bone and the anterior lacrimal crest of the maxillary bone. The many bullae of ethmoid pneumatization appears as a honeycomb pattern beneath the ethmoidal orbital plate. This supportive structure, in part, explains why the medial wall fractures less often than the thicker orbital floor. The frontoethmoidal suture is important in orbital bony decompression or medial exploration because it marks the roof of the ethmoid sinus, and bony dissection superior to this suture line may expose the dura of the frontal lobe. The anterior and posterior ethmoidal foramina conveying branches of the ophthalmic artery and the nasociliary nerve are located at the frontoethmoidal suture 24 mm and 35 mm posterior to the anterior lacrimal crest, respectively (see Fig. 1). The location of these foramina is important when the surgeon gives an anterior ethmoidal nerve block for local anesthesia during medial orbitotomy.

Back to Top
NASAL AND PARANASAL SINUSES
Knowledge of nasal and paranasal sinus anatomy improves our understanding of surgical relationships to the orbit, as well as endonasal anatomy. Furthermore, when lacrimal surgery is performed using the endonasal approach, the surgeon must be familiar with this anatomy.

Each paranasal sinus is named for the bone into which it originally invaginates during fetal life. The bones forming the orbital floor, roof, and medial wall are pneumatized by air sinuses arising from and maintaining communication with the nasal cavity. Ethmoid bullae are particularly exuberant in their expansion and may pneumatize the orbital plate of the frontal bone, and even develop as frontal sinuses. The maxillary processes contribute the maxillary bone portion of the lateral nasal wall and the majority of the nasal floor, the posterior or secondary palate. The ethmoid box, derived from the embryologic nasal frontal process, spans the roof of the nasal cavity, arching from the superior lateral nasal walls (see Fig. 4).

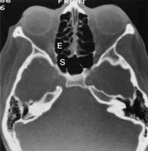
Fig. 4 Axial computed tomography demonstrating the ethmoid (E) and sphenoid (S) sinuses. (Courtesy of June M. Unger, MD, University of Wisconsin.)

The nasal cavity is bisected anteriorly by the cartilage and septum, which joins the vomer, a bony vertical plate of ethmoid, posteriorly. Laterally, the nasal wall is thrown into three or more horizontal ridges termed turbinates, with spaces below each with corresponding names (Fig. 5). The inferior turbinate is the largest ridge, whereas the progressively smaller and more posterior middle, superior, and supreme turbinates (sometimes present) are outcroppings of the ethmoid bone. The large cartilaginous anterior dilatation of the nose is the nasal vestibule. When the exterior nares are dilated by a nasal speculum, the inferior turbinate and inferior meatus can be seen by tilting the blades to look along the nasal floor. The middle turbinate and nasal atrium are seen, if the examiner does not forcibly rotate the blades. Because the atrium wall is convex medially, an external dacryocystorhinostomy site located at the anterior or inferior tip of the middle turbinate may not be directly visualized. A dacryocystorhinostomy achieved by the endoscopic laser–assisted approach is usually more inferior and posterior to the routine external site.5 The nasolacrimal duct drains under the inferior turbinate, whereas the frontonasal duct from the frontal sinus drains into the anterior middle meatus. Within the middle meatus posterior to the atrium lies a curvilinear ridge, the uncinate process, with the hiatus semilunaris depression behind, which houses the ostium of the maxillary sinus (see Fig. 5).6

Fig. 5 Endonasal sagittal view. Each meatal space is named for the turbinate that lies immediately above. (ST, superior turbinate; OM, ostium of maxillary sinus; MT, middle turbinate; NV, nasal vestibule; IT, inferior turbinate; ONLD, ostium of nasal lacrimal duct; BE, bulla ethmoidalis; S, sphenoid sinus; HS, hiatus semilunaris; F, frontal sinus; UP, uncinate process; EO, ethmoid ostia)

The paranasal sinuses more than double the nasal chamber volume. The vascular mucoperiosteum of the nose is carried into the sinuses, where densely populated cilia rhythmically beat mucus toward the ostium. Acute inflammation of the nasal and paranasal mucoperiosteum can result in swelling severe enough to occlude the sinus ostia, and thus purulent sinusitis may result. Chronic sinusitis may lead to permanent occlusion of the ostia, which can result in mucocele formation.

The maxillary sinus is the largest of the paranasal sinuses (15 cc). This sinus roof is the orbital floor that declines from the medial wall to the lateral wall at an angle of approximately 30 degrees. Like the medial sinus roof, the lateral wall of the sinus is also thin and subject to fracture with zygomatic displacement. The maxillary sinus drains into the middle meatus through an ostium located near the level of the orbital floor, thus orbital tissues that are displaced in surgery or trauma may obstruct the ostium. The pterygoid-palatine space lies posterior to the maxillary sinus with the internal maxillary artery intimately related to the posterior sinus wall.

As mentioned previously, the ethmoidals are the most exuberant growing sinuses and may pneumatize the frontal, sphenoid, palatine, and lacrimal bones. The ethmoid sinuses are shaped like a box slightly wider posteriorly where it articulates with the sphenoid (see Fig. 4). The anterior and middle ethmoidals drain into the middle meatus, whereas the posterior cells may drain into the superior meatus. The roof of the orbit slopes down as it travels medially, and this slope continues at the frontoethmoidal suture to become the ethmoid roof (fovea ethmoidalis), and finally to overlie the nasal cavity as the cribriform plate. The crista galli bisects the cribriform plate above and continues below as the vertical nasal plate (vomer). Three to fifteen air cells expand from each lateral border to the cribriform plate, and the air cell masses convolute medially to form the middle, superior, and supreme (if present) turbinates. The surgeon should be aware of the anatomic relationship of anterior ethmoid air cells to the lacrimal sac fossa when performing external dacryocystorhinostomy. Blaylock7 evaluated computed tomographic scans of 190 orbits with normal ethmoid anatomy and found that in 93% of the orbits, the cells extended anterior to the posterior lacrimal crest, with 40% entering the frontal process of the maxilla.

The frontal sinus is not well developed or radiographically evident until about the 6th year of life. Frontal sinus expansion continues until early adulthood and attains greater proportions in the male. The frontal sinus lies deep to the superior orbital rim and drains into the middle meatus via the frontonasal duct. Each sinus is a single chamber with intrasinus septae, which give it a scalloped appearance radiologically. The frontal sinus is a common site for mucocele development.

The sphenoid sinus also continues to grow until adulthood with varying degrees of pneumatization. It drains into the sphenoethmoid recess under the superior turbinate. In the instance where the sphenoid body is fully pneumatized, only sinus mucoperiosteum, a thin layer of bone, and periosteum separate the respiratory tract from the overlying internal carotid artery, the cavernous sinus, and branches of the trigeminal nerve.

Back to Top
ORBITAL APEX: SUPERIOR ORBITAL FISSURE, INFERIOR ORBITAL FISSURE
The orbital apex contains a plethora of vital structures. A large number of arteries, veins, and nerves pass through several significant foramina. The superior orbital fissure is a transverse notch between the greater and lesser wings of the sphenoid bone that descends medially (see Fig. 1). Although the shape of the superior orbital fissure is variable, the superior portion is usually narrower where the lacrimal, frontal, and trochlear nerves pass (Fig. 6). The middle meningeal artery anastomosis with the ophthalmic artery may enter here, if not through its own foramen, more anteriorly in the roof. Most of the venous drainage from the orbit and the globe flow through the superior orbital fissure to the cavernous sinus. Other structures passing through the superior orbital fissure within the annulus of Zinn include the superior and inferior divisions of the third cranial nerve, the sixth cranial nerve, and the nasociliary branch of the ophthalmic trigeminal nerve (Fig. 6).

Fig. 6 Orbital apex with nerves coursing through foramina. (LN, lacrimal nerve; NCN, nasociliary nerve; FN, frontal nerve; VI, abducens nerve; IV, trochlear nerve; INF III, inferior division of cranial nerve III; SOV, superior ophthalmic vein; II, cranial nerve II; SUP III, superior division of cranial nerve III; IOV, inferior ophthalmic vein; ZN, zygomatic nerve; V2, V2 nerve; SGB, sphenopalatine ganglion branches)

Radiographic enlargement of the superior orbital fissure may accompany pathologic processes, such as aneurysm, meningioma, chordoma, pituitary adenoma, or tumors of the orbital apex.8 When idiopathic inflammation preferentially involves the superior orbital fissure, the Tolosa-Hunt syndrome (painful ophthalmoplegia) results. The nerves to the extraocular muscles may be affected by the inflammation as they pass through the superior orbital fissure. The pain in this syndrome results from the inflammatory involvement of the first division of the trigeminal nerve. Interference with venous drainage through the inflamed fissure can cause stasis edema of the lids and orbits.

Medial to the superior orbital fissure lies the optic foramen (see Fig. 1) within the lesser wing of the sphenoid, which conveys the optic nerve and the ophthalmic artery. The optic canal attains adult dimensions by age 3 and is symmetric in most persons. Because of the shift in the position of the ophthalmic artery relative to the optic nerve, the canal is horizontally oval posteriorly and more vertically oval anteriorly. In the adult the optic canal is 8 to 10 mm long and 5 to 7 mm wide, and the optic foramen normally measures 6.5 mm in diameter. Optic foramen enlargement is commonly seen with optic nerve gliomas. A foramen that measures 7 mm in diameter is usually abnormal. Among young children whose optic canals have not yet reached adult dimensions, the size of both foramina should be compared. In these patients, a foramen that is 6.5 mm in diameter and at least 1 mm larger than the contralateral foramen is considered abnormal. The optic canal is separated from the superior orbital fissure by the bony optic strut, the inferior root of the lesser wing of the sphenoid bone (see Fig. 1). It joins the body of the sphenoid to its lesser wing and separates the optic foramen from the superior orbital fissure. This thin optic strut forming the lateral and inferior borders of the optic canal is subject to deformation by optic nerve gliomas, infraclinoid aneurysms, or intracanalicular spread of an intracranial chiasmal tumor.9 An “optic neuritis” that is progressive over months or years should suggest an intracanalicular meningioma.10

Other orbital diseases may cause enlargement of the optic canal. Benign arachnoidal hyperplasia extending beyond the tumoral glial tissue can enlarge the optic foramen. Rarely, a fungal infection, such as aspergilloma, or a bacterial infection, such as a syphilitic gumma or tuberculoma, can settle in the optic canal and mimic a neoplasm. Enlargement of the canal can also occur in sarcoidosis, neurofibroma, arachnoidal cyst, and chronic hydrocephalus. Fibrous dysplasia and ossifying fibromas of the sphenoid bone can involve the canal and narrow its dimensions.10

The infraorbital fissure is a 20-mm bony defect bounded by the sphenoid, zygomatic, maxillary, and palatine bones, and lies between the lateral orbital wall and orbital floor (see Fig. 1). It transmits the second (maxillary) division of the fifth cranial nerve, the zygomatic nerve, small branches from the sphenopalatine ganglion, and branches of the inferior ophthalmic vein leading to the pterygoid plexus (see Figs. 1, 6, and 19). Posterior to the inferior orbital fissure, the foramen rotundum pierces the greater sphenoid wing carrying the maxillary division of the trigeminal nerve forward to the orbit. Arriving with the maxillary nerve is the terminal branch of the internal maxillary artery. The structures enter the infraorbital sulcus to become the infraorbital nerve and artery, which then traverse the infraorbital canal and foramen to carry sensation to the lower lid, cheek, upper lip, and upper anterior gingiva. It is important to identify this neurovascular bundle during midface suborbicularis oculi fat lifts to avoid inadvertent injury.

The inferior orbital fissure extends more anteriorly than the superior orbital fissure, ending about 20 mm from the anterior orbital rim. This structure serves as a posterior landmark in the surgical subperiosteal dissection along the orbital floor. Immediately beneath the infraorbital fissure lies the pterygoid space with the temporalis fossa laterally; blunt trauma to the temporalis muscle can result in orbital hemorrhage via this connection (see Fig. 3).

Orbital Soft Tissues

The soft tissues contained within the bony walls of the orbit and limited anteriorly by the orbital septum are discussed in this section in the following order: orbital septum, periorbita, orbital fascia, orbital fat, lacrimal gland, extraocular muscles, levator palpebrae superioris, Müller's muscle, optic nerve and meninges, globe, orbital nerves, orbital vessels, and orbital lymphatic drainage.

Orbital Septum

The orbital septum is the anterior soft tissue boundary of the orbit and acts as a physical barrier against pathogens and maintains the normal posterior position of the orbital fat-pads. It is a thin, multilayered sheet of fibrous tissue derived from the mesodermal layer of the embryonic eyelid. The septum is covered by a thin layer of preseptal orbicularis and skin and originates from the superior and inferior orbital rims at a thick, white fibrous line called the arcus marginalis to insert onto the eyelid retractors. Medially, the septum covers the posterior aspect of Horner's muscle as it inserts along the posterior lacrimal crest. Laterally, the septum fuses with the lateral canthal tendon and lateral horn of the levator aponeurosis to attach to the lateral orbital rim11 (see Fig. 7).

Fig. 7 Anterior view of orbital septum and related structures. The medial deep orbital insertion of the orbicularis muscle carries the orbital septum behind it. The septal attachments to the levator aponeurosis in the upper lid and inferior tarsus in the lower lid are also demonstrated, as well as the anatomic relationships to the structures of the upper lid. (AE, arcuate expansion of the inferior oblique; CFP, central fat-pad; IO, inferior oblique muscle; LA, levator aponeurosis; LCT, lateral canthal tendon; LFP, lateral fat-pad; LGO, lacrimal gland orbital lobe; LGP, lacrimal gland palpebral lobe; LLR, lower lid retractors; MCT, medial canthal tendon; MFP, medial fat-pad; OS, orbital septum; STA, supratrochlear artery, nerve, vein; SOA, supraorbital artery, nerve, vein; TP, tarsal plate; Tr, trochlea; WL, Whitnall's ligament)

In the lower eyelid, the septum inserts onto the inferior border of tarsus after joining with the lower lid retractors 4 to 5 mm below the tarsus. The superior orbital septum does not insert onto the superior tarsal plate because of the intervening levator aponeurosis; rather it inserts on the aponeurosis about 10 mm above the superior eyelid margin, or 2 to 5 mm above the superior tarsal border in non-Asians11 (see Fig. 8). In Asian lids, the orbital septum fuses to the levator aponeurosis at a level below the superior tarsus, allowing preaponeurotic fat to prolapse inferior and anterior to tarsus; in the lower lid, it may fuse directly to the inferior tarsal border rather than joining with the retractors. An absent or lower lid crease in Asian eyelids may be due to this fat protrusion and other subcutaneous fat tissue that inhibits levator fibers from inserting into the subdermal skin.12

Fig. 8 Parasagittal section to show anterior orbital structures. (F, frontal sinus; SRM, superior rectus muscle; FM, frontalis muscle; MM, Müller's muscle; BFP, brow fat-pad; T, tarsus: POF, postorbicularis fascia; OM, orbicularis muscle; OS, orbital septum; LSL, Lockwood's suspensory ligament; PAFP, preaponeurotic fat-pad; IOM, inferior oblique muscle; WL, Whitnall's ligament; IRM, inferior rectus muscle; LA, levator aponeurosis)

The septum may attenuate with age allowing orbital fat to herniate forward, requiring blepharoplasty. In performing levator surgery or blepharoplasty the preaponeurotic fat is encountered just posterior to the septum. Loose areolar tissue, termed the suborbicularis fascia, lies immediately anterior to the septum13 and shares the same plane as the eyebrow retro-orbicularis oculi fat and malar fat-pads further from the eyelid margins.

Periorbita

The periorbita is the periosteal covering of the orbital bones. The periorbita is firmly attached at the suture lines, the foramina, the fissures, the arcus marginalis, and at the posterior lacrimal crest. Elsewhere, it is loosely adherent to the bone and may be easily separated from the bone by the surgeon or by accumulations of blood or pus. Posteriorly, the periorbita is continuous with the dura of the optic nerve, where the dura is fused to the optic canal. Likewise, the superior orbital fissure is bound by thickened periorbita, which also blends with intracranial dura. Anteriorly, the periorbita is continuous with the orbital septum, which partitions the lids from the anterior orbital tissues. The periorbita is continuous with the frontal, zygomatic, malar, and nasal periostea, and is also continuous with the bones of the sphenopalatine and temporal fossa through the inferior orbital fissure. The periorbita lines the lacrimal fossa, and an extension—the lacrimal fascia—covers the lacrimal sac between the anterior and posterior lacrimal crest (Fig. 9).

Fig. 9 Shaded areas demonstrate dense attachment sites for the periorbita.

The periorbita is extensively vascularized on both its bone and soft tissue sides. These vessels are interconnected so that the periosteum does not serve as a vascular barrier area.14 It is supplied by twigs from regional branches of the sensory intraorbital trigeminal nerve. The periorbita has a dense layer adjacent to bone and a more loosely packed layer next to the orbital contents. It serves as a membrane that can restrain periosteal hematomas and temporally provide resistance to the spread of infections and tumors from the sinuses and bones into the orbit. However, the periorbita can be eventually dissolved by these processes. In children, granulocytic sarcoma has a predilection for the periosteum and bones of the orbit.10 The periorbita can often be the only separation between the orbital contents and dermoids or mucoceles. The potential space between the periorbita and orbital bones provides a convenient plane of dissection to many orbital tumors or for removal of soft tissues in an exenteration.

Orbital Fascia

The fibrous tissue organization within the orbit may be divided into three parts: the fascia covering the globe, the coverings of the extraocular muscles, and the check ligament extensions of the extraocular muscle fascia that extend to the surrounding bone and eyelids. Extensive work by Koornneef,15 using a thick serial section technique has shown the orbital fascia to be complex and highly organized.

Tenon's capsule, the fascia bulbi, is a fibrous membrane that extends from the posterior aspect of the globe to fuse anteriorly with the conjunctiva slightly posterior to the corneoscleral junction. It is thinnest at the entrance of the optic nerve. It is closely applied to the globe but may be lifted some distance from it to reveal a fine netlike character. The resultant space between these structures is termed Tenon's space. Externally, Tenon's capsule is joined to the network of fibrous septa dividing the lobules of orbital fat. Thus, the globe is loosely related to the surrounding orbital fat, and freedom of movement is afforded by elasticity in the septa and fat. Tunnel-like openings in Tenon's fascia allow the extraocular muscles to pass from the orbital fat into the Tenon's space to insert onto the sclera (see Fig. 10). In the areas of these openings, Tenon's capsule fuses with the intermuscular septal fascia. Orbital implants used after enucleation are placed either within this fibrous Tenon's capsule or posterior to it within the muscle cone. Inflammatory pseudotumor may involve Tenon's capsule and cause a tenonitis that can produce proptosis. B-scan ultrasonography can help identify this type of periocular inflammation. Posterior geographic scleritis and intense choroiditis may also cause secondary inflammations of Tenon's capsule.10

Fig. 10 Tenon's fascia, anterior view. Tenon's capsule covers the globe and extends onto the muscular fascia. Tenon's fascia is denser between the muscles and thinner toward the posterior aspect of the globe. The intermuscular septal fascia connecting the muscular sheaths is demonstrated beneath the reflected Tenon's fascia. (IMF, intermuscular fascia; LGO, lacrimal gland orbital lobe; LL, Lockwood's ligament; LPA, levator palpebrae aponeurosis; MRC, medial rectus check ligament; MS, muscular sheath; TF, Tenon's fascia; Tr, trochlea; WL, Whitnall's ligament)

The muscular fascia ensheathes the extraocular muscles and extends between them. These muscle fascial sheaths are thin posteriorly but become much denser anteriorly. The muscular sheaths connect from their extraconal surface to the orbital walls and from their intraconal surface to the fibrous septae dividing the intraconal fat lobules.16 The bulbar side of the muscular sheath is thinner than the external aspect that forms the check ligaments, yet it is thicker than the posterior portion of Tenon's capsule.17 Smooth muscle fibers are scattered throughout the membrane and are innervated by the sympathetic nervous system.2

The muscles are connected to the surrounding fascia throughout the anterior one-third of their lengths, especially where they insert onto the globe, which prevents their retraction far posteriorly in the orbit if lost during strabismus operation (unless the muscle has been dissected free). These attachments account, in part, for the persistent movement of the eye socket after enucleation when muscles have not been specifically sewn to the implant. As noted above, each extraocular muscle sheath sends extensions to the orbital walls. Anteriorly, they are especially prominent and are called check ligaments. The most developed check ligaments are those of the medial and lateral rectus muscles (see Figs. 10 and 11). The lateral check ligament is the strongest and inserts primarily on the posterior aspect of Whitnall's lateral orbital tubercle with lesser extensions to the lateral conjunctival fornix and lateral orbital septum. The medial check ligament inserts on the bone behind the posterior lacrimal crest and to the medial orbital septum, caruncle, and plica semilunaris. The superior rectus muscle sheath is joined anteriorly with that of the levator palpebrae superioris by means of an intermuscular fascia.18 The superior transverse Whitnall's ligament may serve as a superior check ligament to limit elevation by the upper eyelid19 (see Figs. 10 and 11). The fused inferior rectus and inferior oblique muscle sheaths send fascial connections to the inferior periorbita, which may also have some checking function.

Fig. 11 Superior view of the orbit. Whitnall's ligament fuses medially with the trochlea of the superior oblique muscle and fuses laterally with the lacrimal gland. The medial horn of the levator aponeurosis lies directly on top of the superior oblique reflected tendon. The lateral horn of the levator aponeurosis splits the palpebral and orbital lobe of the lacrimal gland. The lateral rectus check ligament attaches to Whitnall's tubercle and is slightly denser than the medial rectus ligament. (WL, Whitnall's ligament; OLG, orbital lobe of lacrimal gland; SOT, superior oblique tendon; PAFP, preaponeurotic fat-pad; LM, levator palpebrae superioris muscle; WT, Whitnall's tubercle; MRM, medial rectus muscle; LRM, lateral rectus muscle; SRM, superior rectus muscle)

Lockwood20 described a hammock-like structure extending from the lateral orbital tubercle to the medial canthal tendon comprised of the fused fascia of the inferior rectus and inferior oblique muscles. The retractor complex of the lower eyelid is composed of aponeurotic expansions of the inferior rectus. These expansions form the capsulopalpebral head, which divides to extend anteriorly around the inferior oblique muscle and then fuses into Lockwood's ligament in front of the inferior oblique to form the capsulopalpebral fascia.21 This fascia connects Lockwood's ligament to the inferior fornix, to the inferior border of the tarsus, and to the preseptal orbicularis muscle and skin at the level of the lid crease (see Fig. 12). It also contains the adrenergic smooth muscle fibers of the inferior tarsal muscle, which are more diffusely distributed than in Müller's muscle and do not insert directly onto the tarsus. Lockwood's suspensory ligament is strongest immediately anterior to the inferior oblique muscle and may help support the globe after removal of the orbital floor. However, globe ptosis can occur after orbital decompression for thyroid eye disease.

Fig. 12 Normal lower lid anatomy in cross section. (CPF, capsulopalpebral fascia; CPH, capsulopalpebral head; IOM, inferior oblique muscle; IRM, inferior rectus muscle; LL, Lockwood's ligament; MF, malar fat; OF, orbital fat; OM, orbicularis muscle; OML, orbitomalar ligament; OS, orbital septum; T, tarsus)

The trabeculae of orbital fat are also part of this extensive fascial connective tissue system of the orbit and globe. In Graves' disease as well as early pseudotumor, the trabeculae of the orbital fat thicken, giving the fat a rough texture.10

Nodular fasciitis is a reactive pseudosarcomatous proliferation of the fascial connective tissues of the orbit and globe. It usually presents as a rapidly developing nodule situated in the epibulbar region of the anterior aponeurosis of the extraocular muscles. Although the histologic features can be disturbing, the condition is benign.

Orbital Fat

The orbital structures are surrounded by orbital fat, which provides a resilient cushion to support the globe. Anteriorly in the orbit, the fat is fibrous, whereas the larger lobules are found posteriorly (see Fig. 13). In the upper eyelid, the orbital septum covers a central preaponeurotic fat-pad and a smaller medial fat-pad separated by the trochlea (see Figs. 7 and 8). The medial fat-pad of the upper eyelid is firmer and whiter in color. The infratrochlear nerve and the medial palpebral artery branch of the ophthalmic artery courses through the medial fat. Clinically, there exist three areas in the inferior orbit from which fat may protrude.22 The lateral fat pad is divided from the central third by the lateral arcuate expansion fascial attachments of the inferior oblique passing to the floor inferotemporally. The medial and central fat-pads of the lower lid are separated by the inferior oblique muscle (see Fig. 14). When excising fat during blepharoplasty, excessive anterior traction on the fat may pull the muscle forward and lead to its inadvertent injury.

Fig. 13 Anatomic section demonstrating orbital septa 1.4 mm from behind the surface of the eye. Diameters vertically, 2.4 cm; transversally, 2.7 cm. Enlargement is approximately × 3.5. (ON, optic nerve; SOV, superior ophthalmic vein; SLP, superior levator palpebrae muscle; SRM, superior rectus muscle; LRM, lateral rectus muscle; IRM, inferior rectus muscle; MRM, medial rectus muscle; SOM, superior oblique muscle; *, connective tissue septa; ATC, adipose tissue compartment; IOA + IN, infraorbital artery and nerve; MM, Müller's muscle) (From Koornneef L: Spatial aspects of orbital musculofibrous tissue in man: A new anatomical and histological approach. Amsterdam: Swets en Zeitlinger, 1976)

Fig. 14 Anterior view of deep dissection of orbital fat-pads to show trochlea dividing fat-pads in the upper eyelid. The inferior oblique muscle divides the medial from the central fat, and the arcuate expansion fascia of the inferior oblique divides the central from the lateral fat pads in the lower eyelid. (FP, fat pad; T, trochlea; IOM, inferior oblique muscle)

As the fascial layers in the orbit thin with age, the orbital fat sometimes prolapses through the weakened orbital septum into the lids. Asians may be more predisposed to involutional entropion than whites due to a more anterior and superior position of orbital fat within the lower eyelid.23 The orbital fat in Asians appears to protrude anterior to the inferior orbital rim and up to the inferior tarsus due to differences in orbital septum insertion with the capsulopalpebral fascia.

It is quite rare to find a primary tumor of the orbital fat. Prolapse of the orbital fat must be distinguished from lipomas. Liposarcoma of the orbit is rare and originates from primitive mesenchymal cells related to the orbital fascia rather than from a lipoma or preexistent adipose tissue. More commonly, inflammatory pseudotumor may involve orbital fat to some degree. The fat cells degenerate and release their lipid content, which further augments the inflammatory process. Eventually, fibrosis and a sclerosing lipogranuloma occurs. Trauma to the orbit can also cause fat necrosis and an orbital lipogranuloma. An orbital abscess within the orbital fat can lead to fat liquefaction. All types of chronic granulomatous disease, either infectious, such as fungal infections, or noninfectious, such as Wegener's granulomatosis, may involve the orbital fat.

Since the orbital fat fills most of the retrobulbar space, infections and metastatic tumors may expand at its expense. Rare parasitic conditions, such as hydatid cyst (Echinococcus granulosus) and cysticercosis, as well as metastatic carcinoma and lymphoma are found in the retrobulbar fat.10

Lacrimal Gland

The main lacrimal gland resides in the superotemporal orbit in a shallow lacrimal fossa of the frontal bone. The gland measures 20 mm by 12 mm by 5 mm and is divided by the lateral horn of the levator aponeurosis into a larger orbital lobe and a lesser palpebral lobe as shown (see Figs. 7 and 11). Division is not complete, since a posterior connection of parenchyma persists between the lobes. The superior orbital lobe is bound anteriorly by the orbital septum and the preaponeurotic fat-pad, behind by orbital fat, and laterally by bone. The palpebral lobe lies underneath the levator aponeurosis in the subaponeurotic Jones' space and is separated from conjunctiva medially, where the superior tarsal muscle intervenes. Pleomorphic adenomas typically involve the orbital lobe.

Secretory ducts from the palpebral lobe drain into the superotemporal conjunctival fornix, as do those from the orbital lobe. The ducts of the orbital lobe pass through the palpebral lobe, or on its surface, so that damage to the latter structure may block the drainage of the entire lacrimal gland. The scarring of the superotemporal conjunctiva may also close the ducts of an otherwise healthy gland.

Arterial blood to the lacrimal gland is supplied by the lacrimal branch of the ophthalmic artery, often with contributions from the recurrent meningeal artery (which may join the lacrimal artery or enter the gland independently) and by a branch of the infraorbital artery. The lacrimal artery then passes through the gland and provides the blood supply to the temporal upper and lower eyelids as the lateral palpebral arteries and subsequent arterial arcades. The lacrimal vein follows approximately the same intraorbital course of the artery and drains into the superior ophthalmic vein. Both artery and vein communicate with the gland on its posterior surface.

The lacrimal gland receives innervation from cranial nerves V and VII as well as from the sympathetics of the superior cervical ganglion. The lacrimal nerve branch of the ophthalmic trigeminal nerve travels superotemporally in the orbit just underneath the periorbita to enter the gland with the vessels. Like the artery, the lacrimal nerve continues through the gland to supply more superficial eyelid structures. Sympathetic nerves arrive with the lacrimal artery and along with parasympathetics in the zygomatic nerve. The zygomatic branch of the maxillary trigeminal nerve enters the orbit 5 mm behind the anterior limit of the inferior orbital fissure and may indent the zygomatic bone (zygomatic groove) on its anterosuperior course. The zygomatic nerve gives off the lacrimal branch before dividing into zygomaticotemporal and zygomaticofacial branches. This lacrimal branch anastomoses with the lacrimal nerve of the ophthalmic trigeminal nerve or travels along the periorbita to independently enter the gland at its posterior lateral aspect.

The lacrimal nerve is sensory, although it may carry some sympathetic fibers gained while traversing the cavernous sinus. The parasympathetic VII nerve supply to the lacrimal gland (via the zygomatic nerve of V2) provides the main secretory motor function. The exact role of sympathetic innervation in the control of lacrimal secretion is unknown.24,25

In addition to the lacrimal gland itself, there are approximately 20 accessory glands of Krause in the superior fornix, and, perhaps, half that number are in the inferior fornix. There are also accessory glands of Wolfring above the tarsus. Removal of the lacrimal gland can produce keratitis sicca, despite normally functioning accessory lacrimal glands.26 Parasympatholytic drugs may reduce lacrimal secretion. Damage to the sphenopalatine ganglion as well as brain tumors impinging the efferent supply to the lacrimal gland may cause hyposecretion. Hyposecretion in central autonomic dysfunction states, such as Riley-Day syndrome, can lead to corneal damage.27 Hyposecretion also occurs as a consequence of lacrimal gland parenchymal loss in older persons in conditions such as age-related atrophy, Sjögren's syndrome, sarcoidosis, and benign lymphoepithelial lesion (seen often in postmenopausal women). Chronic inflammation and periductal fibrosis were the most common changes seen in a light microscopic study of lacrimal glands removed at autopsy.28

Hypersecretion is seen in cases of reflex stimulation, such as ocular trauma or inflammation of any etiology. Damage to the facial nerve in the vicinity of the geniculate ganglion can cause aberrant regeneration resulting in crocodile tears in which the patient tears while masticating. This is thought to be due to aberrant regeneration of afferent taste fibers of the nervus intermedius into the nearby efferent parasympathetic fibers to the lacrimal gland. A related phenomenon can be caused by an acoustic neuroma, and the patient with this reflex may have ipsilateral hearing loss. Tumors of the lacrimal gland can be benign or malignant and are discussed in detail elsewhere.

The tears drain through the superior and inferior puncta and canaliculi and are pumped into the nasolacrimal sac by the orbicularis muscle sphincter action. The nasolacrimal sac lies in a fossa between the anterior lacrimal crest of the maxillary bone and the posterior lacrimal crest of the lacrimal bone, and is wrapped by the thick anterior and thinner posterior limbs of the medial canthal tendon. The puncta are 2 mm in height, the canaliculi are 8 mm in length, and the sac is 12 to 14 mm in height, with its fundus extending slightly above the medial canthal tendon. The nasolacrimal duct then travels inferolaterally and slightly posteriorly in its bony course to the inferior turbinate. The valve of Rosenmuller is located at the junction of the common canaliculus and sac, the valve of Krause between the sac and duct, and the valve of Hasner at the ostium to the inferior meatus. The entry in an external dacryocystorhinostomy is at the anterior middle meatus.

Extraocular Muscles

Except for the inferior oblique, the extraocular muscles all arise from the orbital apex. The four recti muscles originate from the thick fibrous annulus of Zinn, which surrounds the optic foramen at the orbital apex and divides the superior orbital fissure into intraconal and extraconal spaces (see Fig. 6). The levator and the superior oblique muscles arise more superiorly and medially on the lesser wing of the sphenoid. The annulus of Zinn is connected posteriorly to the dura and medially and laterally to the lesser and greater wings of the sphenoid, respectively. Passing through the annulus of Zinn are the oculomotor nerve divisions, the optic, the nasociliary and abducen nerves, and the ophthalmic artery (see Fig. 6). Passing through the superior orbital fissure outside the annulus are the trochlear, lacrimal, frontal nerves, and the superior ophthalmic vein.

The horizontal recti muscles attain a length (excluding the tendon) of about 40.5 mm, whereas the superior rectus muscle is slightly longer and the inferior rectus muscle shorter. The medial rectus muscle has the greatest mass, and the superior rectus muscle has the least. The four recti muscles course through the orbital fat and define the muscle cone. The muscles then pass through openings in Tenon's fascia to insert on the anterior portion of the globe in a configuration called the spiral of Tillaux (see Fig. 15). The medial rectus inserts nearest at 5.5 mm posterior to the limbus, and the superior rectus inserts farthest from the limbus at 7.7 mm. The relationship of the muscle insertions and the ora serrata is clinically important. A misdirected bridle suture passed through the insertion of the superior rectus muscle could perforate the retina. The medial and inferior recti and inferior oblique are supplied by the inferior division of the oculomotor nerve, the superior rectus by the superior oculomotor division, and the lateral rectus by the abducens nerve. Each enters the muscle on the ocular surface at the junction of the posterior third with the anterior two-thirds (see Fig. 19).

Fig. 15 Anterior view of the right globe. The spiral of Tillaux is shown with superimposed location of the ora serrata.

The inferior rectus muscle lies juxtaposed to the orbital floor posteriorly in the region of the palatine bone but elevates from it more anteriorly. A series of fibrous septa radiate to the inferior periorbita, suggesting that incarceration of this tissue alone in a floor fracture may yield restriction of the muscle. The inferior oblique muscle courses posterolaterally underneath the inferior rectus muscle, and their conjoined fascias form the suspensory ligament of Lockwood (see Fig. 12). The large inferior oculomotor nerve division to the inferior oblique muscle travels anteriorly along, and is bound to, the lateral border of the inferior rectus muscle.

The medial rectus remains close to the medial orbital wall until the anterior third of its course when it angles laterally to insert on the eye. Just above the medial rectus lie terminal branches of the nasociliary nerve and ophthalmic artery. The lateral rectus muscle is separated from the optic nerve by the ciliary ganglion, nasociliary nerve, and the ophthalmic artery, which are embedded in the loose intraconal orbital fat (see Fig. 6).

Having arisen from the same mesoblastic mass, the superior rectus and levator palpebrae superioris muscles remain fused at their medial borders. The nasociliary nerve and ophthalmic artery leave the lateral orbit to cross beneath the superior rectus.

The superior oblique, the roundest of extraocular muscles, arises from the superomedial annulus of Zinn and courses anteriorly and superiorly for 40 mm from its origin, closely applied to the superior medial orbital wall. Beneath it, and separating it from the medial rectus muscle, are the ethmoidal branches of the nasociliary nerve and ophthalmic artery. The superior oblique becomes tendinous just before it passes through the trochlea located 5 to 10 mm posterior to the orbital rim. The tendon then makes a 54-degree angle to continue posteriorly, laterally, and inferiorly to the eye. The 28-mm reflected tendon passes underneath the superior rectus and fans out to insert on the globe in a broad-based attachment that extends to the posterior pole. The distance between the temporal borders of the superior rectus and superior oblique tendon averages 4.7 mm.29 The superior oblique muscle depresses, intorts, and abducts the eye (see Fig. 11).

The trochlea is situated in a shallow fossa bearing its name on the anteromedial orbital roof. Crescent-shaped cartilage is suspended from the periorbita on either end by the fibrous pillars. The central fibers of the reflected tendon exhibit few adhesions to the neighboring fibers, whereas those peripheral in the tendon are connected in a loose fashion to the fibers of the tendon. Located between the cartilage and the tendon is a bursalike structure, presumably to reduce friction.30 The cartilage is a U-shaped ring with a grooved flange that supports the reflected tendon posteriorly and laterally from the front of the trochlea (Fig. 16).31 The periorbita to which the trochlea is attached can be carefully elevated from the bone by the surgeon and replaced, if needed, although injury to the tissues surrounding the trochlea can cause scarring and possible superior oblique restriction or Brown's syndrome.

Fig. 16 Schematic drawing of the right trochlea. Tendon is supported by a layer of cartilage suspended by fibrous supports from the periorbita. Central fibers of the tendon are strong with dense unconnected fibers. Peripheral tendon shows loose interconnected fibers. (SOT, superior oblique tendon) (Adapted from Helveston EM, et al: The trochlea: A study of the anatomy and physiology. Ophthalmology 1982:89:124)

The inferior oblique muscle arises from a shallow depression in the orbital plate of the maxilla at the anteromedial corner of the orbital floor just lateral to the lacrimal excretory fossa. This muscle travels in a course similar to that of the reflected superior oblique tendon. As noted before, the fascia of the inferior rectus divides to encircle the inferior oblique, and their joined fascia just anterior to the oblique forms the suspensory ligament of the globe before continuing as the capsulopalpebral fascia and lower lid retractor complex. The 37-mm inferior oblique muscle remains muscular until its insertion on the globe, where a tendon several millimeters in length or the muscle fibers themselves may enter into the sclera. The insertion is 2.2 mm inferior and lateral to the macula and may be found 9.5 mm posterior to the lateral rectus insertion. The nerve enters the middle of the muscle at the lateral border of the inferior rectus muscle. Blood supply for the extraocular muscles is from the medial and lateral muscular branches of the ophthalmic artery, the lacrimal artery, and the infraorbital artery. Except for the lateral rectus, each muscle receives two anterior ciliary arteries that communicate with the major arteriole circle of the ciliary body. The lateral rectus is supplied by a single vessel derived from the lacrimal artery.32

Levator Palpebrae Superioris

Arising from the lesser wing of the sphenoid above Zinn's annulus, the levator origin is lateral to the superior oblique muscle and above the superior rectus muscle (see Fig. 6). The levator extends arteriorly in the superior orbit with a thin layer of fat, the supraorbital artery, frontal nerve, and the trochlear nerve separating it from the orbital roof. The levator rests upon the superior rectus, and these muscles are attached by a fascial sheath along their medial borders (see Fig. 11). Both muscles are innervated by the superior division of the oculomotor nerve, which enters at the posterior one-third of the muscles from the inferior surface.

The muscle sheath of the levator is thin, like the other extraocular muscle sheaths, except on the medial edge, where it joins with the superior rectus. The muscular portion of the levator is approximately 40 mm in length, in contrast to its aponeurosis, which is 14 to 20 mm from Whitnall's ligament to the anterior inferior tarsus border.33 Immediately behind the superior orbital rim, a transverse fibrous condensation attaches superiorly to the widening levator, termed the superior transverse Whitnall's ligament (see Fig. 11).19 Whitnall's ligament is a thick condensation of elastic fibers of the anterior sheath of the levator, located at the transition from fleshy levator muscle to fibrous aponeurosis. Whitnall's ligament acts as a suspensory ligament for the upper lid as well as a fulcrum for the levator muscle to change vector force from an anterior-posterior direction to a superior-inferior direction.34 The ligament terminates medially in the fascia surrounding the trochlea. Laterally, Whitnall's ligament forms septa through the lacrimal gland before attaching to the inner lateral orbital wall, up to 10 mm superior to the lateral orbital tubercle. In the older person, Whitnall's ligament or the levator aponeurosis becomes attenuated, leading to upper eyelid ptosis. External repair of aponeurogenic blepharoptosis involves incising the septum to reach the levator, dissecting superiorly towards the musculoaponeurotic junction, releasing the inferior aspect of the levator aponeurosis from the tarsus and underlying Muller's muscle, and then suturing tarsus to a higher position on the levator to achieve the desired lid height. The numerous techniques of levator repair include posterior approaches and small-incision repairs.35 Ptosis of the medial eyelid has been suggested to result from medial disinsertion of the ligament.36

As the aponeurosis approaches tarsus, it splits into an anterior layer that inserts into the pretarsal orbicularis bundles and skin, and a posterior layer that inserts onto the inferior half of the anterior tarsus. In his description of the levator aponeurosis,37 Whitnall gives a length of 7 mm from the aponeurosis origin to the orbicularis and cutaneous insertions (see Fig. 8). The upper lid crease is created by these anterior insertions of the aponeurosis. A light and electron microscopic study by Stasior38 revealed an elastic attachment system for the levator palpebrae superioris muscle complex that forms an intricate insertion into the upper eyelid. As the levator aponeurosis approaches the mid-tarsal level, approximately two-thirds of the aponeurotic elastic fibers radiated away from the tarsus to fuse onto the pretarsal orbicularis muscle bundles. The remaining one-third of the aponeurotic elastic fibers is inserted onto the anterior surface of the inferior tarsus. It is this complex elastic fiber network that degenerates with age, rather than the aponeurosis itself.

In addition to the palpebral insertions, the levator aponeurosis expands into a broad, fibrous sheath to insert into the orbital rims behind the medial and lateral commissures of the eye as medial and lateral “horns” of the levator. Confusion between the lateral horns below and the ends of the superior transverse suspensory ligament above should be avoided. The lateral horn is a strong, fibrous band incompletely dividing the lacrimal gland into two lobes and continuing inferiorly to insert on the lateral orbital tubercle and the lateral canthal tendon. The medial horn, in contrast, becomes filmy as it passes over the reflected superior oblique tendon to insert onto the posterior medial canthal tendon and posterior lacrimal crest (see Fig. 11).

Histologic sections studying lateral canthal anatomy demonstrated that the lateral canthal ligament is formed by fibrous extensions of the upper and lower tarsal plates and orbicularis muscle that unite into a common ligament 1 mm in thickness and 3 mm wide.39 As the lateral canthal ligament approaches the orbital rim, it widens to 6 to 7 mm as the lateral horn of the levator aponeurosis, the check ligament of the lateral rectus muscle, and Lockwood's ligament fuse with it before its bony insertion into the lateral orbital tubercle of Whitnall located 5 mm inside the orbital rim. Knowledge of lateral canthal ligament anatomy is important when reconstructing the lateral canthal angle and taking a periosteal bite inside the orbital rim to simulate the normal anatomic insertion. Elevating a short periosteal flap based inside the lateral orbital wall, to which the lateral lid tissues are secured, may provide a more correct and secure anatomic reapposition of the lax lid well inside the lateral wall. This periosteal flap technique may be performed through small incisions without lateral canthotomy and cantholysis and has been suggested for ectropion repair and as lateral canthal advancement in repair of exophthalmic lid retraction.39–41

Müller's Muscle

Arising from the underside of the striated levator muscle approximately 15 mm above the superior tarsal border is the smooth superior tarsal muscle of Müller. It is firmly attached to the levator only at its origin and may be easily separated from the latter below to form the postaponeurotic space described by Jones. The superior tarsal muscle inserts at the upper border of the tarsus, where the peripheral arterial arcade is found between the overlying levator aponeurosis and Müller's muscle (see Fig. 8). In Horner's syndrome, sympathetic denervation results in 2 mm of upper lid ptosis. The analog of Müller's smooth muscle in the lower lid is inferred in Horner's syndrome from the way the lower lid rides up on the cornea, suggesting atonia secondary to loss of sympathetic innervation. This inferior tarsal muscle is less well developed but found posterior to the capsulopalpebral fascia and firmly adherent to the underlying conjunctiva. The exact sympathetic nerve course to these smooth muscles is unknown.42 An inverse Horner's syndrome refers to an irritative instead of ablative effect on normal sympathetic innervation in which one sees lid retraction; a lung tumor, for example, can irritate sympathetic fibers destined for Müller's muscle. Müller's muscle infiltration and scarring occurs invariably in thyroid eye retraction and, therefore, this muscle may be excised or recessed in conjunction with levator aponeurosis recession.43

The Globe

The globe is located in the anterior orbit situated slightly superiorly and laterally. The superior, medial, and inferior orbital rims extend anteriorly to be on about the same frontal plane as the front of the eye. The lateral rim is recessed 12 to 18 mm behind the cornea as measured by exophthalmometry. Attached to the eye are the six extraocular muscles, the optic nerve, the long and short posterior ciliary nerves, the anterior and posterior ciliary arteries, and the vortex veins (Fig. 17). The globe is covered behind the corneal limbus by Tenon's fascia and is supported in the orbit by Lockwood's ligament. The average volume of the eye is about 6.5 cc compared to the orbital volume, which is about 29.7 cc.2 The shape is not truly spheric; rather it is formed by the union of two spheres, being that of the cornea and the sclera, with radius of curvatures equal to 8 and 12 mm, respectively.

Fig. 17 Posterior view of the right globe after enucleation. (SRM, superior rectus muscle; VV, vortex veins; SOT, superior oblique tendon; II, cranial nerve II; LRM, lateral rectus muscle; SPCA & N, short posterior ciliary artery and nerve; LPCA & N, long posterior ciliary artery and nerve; MRM, medial rectus muscle; IRM, inferior rectus muscle; IOM, inferior oblique muscle)

The average adult and newborn infant globe dimensions are given in Table 2.

 

TABLE 2. Average Globe Dimensions


Adult 
Anterior-posterior24 mm
Vertical23 mm
Horizontal23.5 mm
Newborn Infant 
Anterior-posterior16.4 mm
Vertical16 mm
Horizontal15.4 mm

 

Orbital Nerves

Entering the orbit are the optic (cranial nerve II), the oculomotor (cranial nerve III), the trochlear (cranial nerve IV), the abducens (cranial nerve VI), the first and second divisions of the trigeminal (cranial nerve V), the sympathetics, and the parasympathetics of the third and fifth cranial nerves. The nerves crowd together along with the ophthalmic artery to enter the orbit at its apex, whereas the orbital venous blood drains via the superior and inferior ophthalmic veins into the cavernous sinus (see Fig. 6). Obviously, single lesions in this crowded area can result in multiple deficits often termed orbital apex syndromes. The intraorbital courses of the nerves are discussed in the order in which they are mentioned previously.

Optic Nerve (II)

The optic nerve represents peripherally extended nerve tracts of the brain. Unlike other cranial nerves, they contain supporting neuroglial cells and are bathed by cerebrospinal fluid within investing layers continuous with brain coverings. The course and lengths of the visual fibers are intraocular (1 mm), intraorbital (25 mm), intracanalicular (5 to 9 mm), intracranial (16 mm), chiasmatic, optic tract, ganglionic, optic radiation, and occipital cortex.

The axons of the optic nerve arise from the ganglion cell layer of the retina and course through the scleral lamina cribrosa to join in forming the massive optic nerve. The nerve is 1.5 mm in diameter within the eye but expands to 3 to 4 mm at the back of the eye because of an increase in supporting neuroglial cells and the onset of myelination.44 Its exit is about 3 mm medial and 1 mm below the posterior pole of the eye.

The intraorbital optic nerve is surrounded and cushioned by large lobules of intraconal fat, which allow freedom of movement to the structure. The intraorbital portion runs a sinusoidal course because it is longer than the 18 mm from the posterior globe to the optic canal, which allows for some leeway in proptosis before nerve compromise. The nerve is covered by dura that thickens near the optic canal, where it becomes continuous with the posterior periosteum. Cerebrospinal fluid within the subarachnoid space around the nerve communicates freely with the fluid bathing the midbrain, explaining instances of sudden respiratory arrest following retrobulbar injection.

Oculomotor Nerve (III)

Within the anterior cavernous sinus, several millimeters behind the annulus of Zinn, cranial nerve III divides into a superior and inferior division. The branches are separated by the nasociliary nerve. The superior branch rises within the muscle cone to reach the superior rectus on its inferior side 15 mm from the orbital apex. Fibers then terminate above in the levator palpebrae superioris by passing medial to the superior rectus (90%) or through it (10%) (Fig. 18).

Fig. 18 Nerves to the extraocular muscles. The superior and inferior divisions of the oculomotor nerve are separated by the nasociliary nerve within the superior orbital fissure. The superior division supplies the superior rectus and the levator palpebrae superioris muscles. The inferior division supplies the inferior and the medial rectus muscles and the inferior oblique muscle. The trochlear nerve supplies the superior oblique muscle, whereas the abducens nerve innervates the lateral rectus muscle. (III, cranial nerve III; IV, cranial nerve IV; VI, cranial nerve VI; SUPIII, superior division of cranial nerve III; INFIII, inferior division of cranial nerve III)

The inferior branch of the oculomotor nerve travels underneath the optic nerve to innervate the medial and inferior rectus muscles. Its large terminal branch to the inferior oblique muscle continues anteriorly, intimately associated with the lateral border of the inferior rectus. This inferior oblique branch gives off a vertical parasympathetic twig to the ciliary ganglion above, to eventually innervate the ciliary body and iris sphincter.

Trochlear Nerve (IV)

At the superior orbital fissure, the thin trochlear nerve crosses over the third nerve to enter the orbit temporal to Zinn's annulus and medial to the frontal nerve. Its course is outside the muscle cone, thus the superior oblique may continue to function after a retrobulbar block (see Fig. 6). The nerve travels anteriorly from lateral to medial orbit to insert into the lateral border of the superior oblique muscle at the posterior one-third of the muscle belly.

Abducens Nerve (VI)

The abducens nerve enters the orbit through the intraconal section of the superior orbital fissure to lie between the optic nerve and the lateral rectus muscle. It travels along the lateral rectus muscle belly before inserting into the inner surface of the muscle, where the posterior third meets the anterior two-thirds.

Trigeminal Nerve (V)

The ophthalmic and maxillary divisions of the sensory trigeminal nerve enter the orbit and pass through to supply the superior two-thirds of the face (Figs. 19 and 20) . The ophthalmic division enters the orbit through the superior orbital fissure as three branches: the lacrimal, frontal, and nasociliary. The lacrimal nerve is the smallest branch, and it passes into the orbit through the lateral end of the extraconal superior orbital fissure (see Figs. 6 and 19). It joins the lacrimal artery to reach the posterior aspect of the lacrimal gland. Here, it forms superior and inferior branches; the former supplies the gland, conjunctiva, and the lateral upper eyelid. The inferior branch anastomoses with the zygomaticotemporal branch of the maxillary trigeminal nerve, where it picks up parasympathetic secretory fibers to the gland. The frontal branch passes just beneath the periorbita, where it divides anteriorly in the orbit to form the supratrochlear and larger supraorbital branch, which supply sensation to the medial canthus, upper lid, and brow areas (see Fig. 19). The supraorbital nerve should be identified and spared during dissection of the supraorbital rim, transcoronal forehead orbital approaches, or during forehead lifts. The nasociliary branch of the ophthalmic division is the only one to pass through Zinn's annulus. It passes over the optic nerve with the ophthalmic artery to lie between the superior oblique and medial rectus muscles. The nasociliary nerve gives off a sensory route to the ciliary ganglion, two or three long ciliary nerves to the globe, the anterior and posterior ethmoidal nerves to supply the nasal mucosa, and the terminal infratrochlear branch to supply the tip of the nose (Fig. 21). Involvement of this terminal infratrochlear branch of the nasociliary nerve in herpes zoster ophthalmicus is termed Hutchinson's sign.

Fig. 19 Schematic drawing of the trigeminal nerve course in the orbit. (V1, Vl nerve; V2, V2 nerve; V3, V3 nerve; FN, frontal nerve; SON, supraorbital nerve; STN, supratrochlear nerve; LN, lacrimal nerve; ZTN, zygomaticotemporal nerve; ZFN, zygomaticofacial nerve; ZN, zygomatic nerve; NCN, nasociliary nerve; SB, sensory branch to the ciliary ganglion; CG, ciliary ganglion; SPCN, short posterior ciliary nerves; LPCN, long posterior ciliary nerves; PEN, posterior ethmoidal nerve; AEN, anterior ethmoidal nerve; ITN, infratrochlear nerve; ION, infraorbital nerve)

Fig. 20 Cutaneous distribution of V1 and V2 nerves. (V1, V1 nerve; V2, V2 nerve; SON, supraorbital nerve; STN, supratrochlear nerve: ITN, infratrochlear nerve; ION, infraorbital nerve; LPN, lateral palpebral nerve; ZFN, zygomaticofacial nerve; ZTN, zygomaticotemporal nerve)

Fig. 21 Dissection to show the intraorbital nasociliary nerve course. The parasympathetic nerve contribution to the ciliary ganglion from the inferior division of III nerve is also shown. (V1, Vl nerve; V2, V2 nerve; V3, V3 nerve; NCN, nasociliary nerve; CG, ciliary ganglion; SPCN, short posterior ciliary nerves; LPCN, long posterior ciliary nerves; PEN, posterior ethmoidal nerve; AEN, anterior ethmoidal nerve; ITN, infratrochlear nerve)

The maxillary division of the trigeminal nerve exits the foramen rotundum and crosses the pterygopalatine fossa before entering the orbit through the inferior orbital fissure. The main component of the second division of the trigeminal nerve is the infraorbital nerve that courses anteriorly to enter the infraorbital groove 2.5 to 3 cm posterior to the orbital rim, traverses the infraorbital canal, and then emerges from the infraorbital foramen to provide sensation to the lower eyelid, cheek, and upper lip (see Figs. 19 and 20). Sphenopalatine and posterior superior alveolar branches are formed in the sphenomaxillary fossa to provide sensation to the nasal mucosa, gingiva, teeth, and upper lip; middle and anterior superior alveolar branches arise in the infraorbital canal. The zygomatic branch of the maxillary nerve enters the inferior orbital fissure and divides into the zygomaticotemporal and zygomaticofacial nerves, with the former carrying parasympathetic secretory fibers from the sphenopalatine ganglion to the lacrimal gland.

Sympathetic Nerves

The sympathetic nerve supply to the orbit controls pupillary dilatation, function of the smooth muscles of the eyelids, and vasoconstriction. However, the exact pathway of the sympathetic fibers to and through the orbit is not clearly defined.45 Whitnall2 describes a separate sympathetic branch to the ciliary ganglion that arises from the plexus traveling along the intracavernous carotid artery. In the past it has been felt that the sympathetic fibers pass through the optic foramen in humans2; however, studies in primate animal models by Lyon et al.45 suggest that the sympathetics travel through the superior orbital fissure exclusively.

Parasympathetic Nerves

The parasympathetic supply to the lacrimal gland is discussed in the previous section on the lacrimal gland. The parasympathetics to the eye are carried to the ciliary ganglion by a branch from the inferior oblique nerve; they synapse in the ganglion and pass to the globe via the short ciliary nerves. The ciliary ganglion is situated 10 mm from the orbital apex and 15 mm behind the globe and is frequently adherent to the lateral aspect of the apical optic nerve. The parasympathetic motor fibers to the ciliary body and iris sphincter muscles, that originate in the Edinger-Westphal nucleus of the oculomotor nerve, synapse in the ganglion, in contrast to the sympathetic and trigeminal sensory fibers that traverse the ganglion without synapse. The sensory route from the nasociliary nerve can be found reliably, but the less well-defined sympathetic supply may arrive from a direct branch from the sympathetic plexus, from a twig from the ophthalmic artery, or both.46 Five or six short posterior ciliary nerves carry fibers from the ganglion to enter the eye around the optic nerve. The majority enter lateral to the nerve with one or two usually crossing to enter medially.

Orbital Vessels

The orbital arteries are independent of the fibrous septa and tend to remain compartmentalized within each adipose space. In contrast, the veins are embedded within the septa, with the degree of septal support related to the caliber of the vessel.47 The presence of smooth muscle cells in the septa raises speculation that the venous caliber may be related to the sympathetic tone.

The orbital arteries are primarily branches of the ophthalmic artery with small contributions from the internal maxillary artery (Fig. 22). The internal and external carotid systems have several areas of anastomoses for collateral circulation.

Fig. 22 Oblique view of the relationship of the internal and external carotid arterial systems to the orbit. (ExCA, external carotid artery; FA, facial artery; AA, angular artery; IMA, internal maxillary artery; MMA, middle meningeal artery; TFA, transverse facial artery; STA, superficial temporal artery; InCA, internal carotid artery; OA, ophthalmic artery; LA, lacrimal artery; IB, intraconal branches; PEA, posterior ethmoidal artery; AEA, anterior ethmoidal artery; SOA, supraorbital artery; STA, supratrochlear artery; PA, peripheral arcade; MA, marginal arcade; ZA, zygomatic artery; ZTA, zygomaticotemporal artery; ZFA, zygomaticofacial artery; IOA, infraorbital artery; DNA, dorsal nasal artery; RMA, recurrent middle meningeal artery)

The ophthalmic artery is the first large branch off the internal carotid artery just as it emerges from the cavernous sinus in the area posterior to the anterior clinoid process. The optic nerve is tightly fixed to the dura within the canal and is supplied by pial branches of the ophthalmic artery. The ophthalmic artery enters the orbit on the inferolateral aspect of the nerve and soon crosses the orbit to pursue a medial course.48 In 75% to 89% of orbits, the ophthalmic artery crosses above the optic nerve. Approximately 10 mm posterior to the globe, the ophthalmic artery provides the central retinal artery branch, which enters the ventral surface of the optic nerve. Other branches include two or three long posterior ciliary arteries to supply the choroid, the muscular arteries, and the lacrimal, supraorbital, and ethmoidal arteries. After supplying the extraocular muscles, the muscular arteries enter the globe at the tendinous insertions to continue as anterior ciliary arteries that anastomose with the long posterior ciliary arteries in a network supplying the anterior ocular structures. The lateral rectus supplies one anterior ciliary artery to the anterior ocular circulation, whereas the other rectus muscles supply two each. The terminal ophthalmic artery exits the orbit as the supratrochlear, dorsal nasal, and medial palpebral arteries. Because of the variability in the order in which the ophthalmic artery gives origin to its branch arteries, the most frequent pattern is shown in Figure 23.

Fig. 23 Most common branching pattern of the ophthalmic artery in the orbit. (AEA, anterior ethmoidal artery; ANA, anterior ciliary artery; DNA, dorsal nasal artery; LA, lacrimal artery; LCA, long ciliary artery; LMB, lateral muscular branch; LPA, lateral palpebral artery; MMB, medial muscular branch; MPA, medial palpebral artery; OA, ophthalmic artery; PCA, posterior ciliary arteries; PEA, posterior ethmoida1 artery; RMA, recurrent middle meningeal artery; SCA, short ciliary artery; SOA, supraorbital artery; STA, supratrochlear artery; ZFA, zygomaticofacial artery; ZTA, zygomaticotemporal artery)

Orbital Lymphatic Drainage

The human orbit is traditionally thought to be devoid of any lymphatic vessels or lymph nodes.49 Thus, the presence of lymphoid aggregates or fully formed lymph nodes in this area is presumed to be pathologic.50,51 The function of the lymphatic vessels is to return large protein molecules and excess tissue fluid to the vascular system from which they are constantly being lost. The pathway by which large protein molecules and fluid are removed from the orbit has been the subject of many animal studies.51,52

Early studies involving the surgical ligation of lymphatic tissue close to the orbit suggest that the lymphatic system plays a role in the removal of fluid from the eye. One study found that surgical blockage of the cervical lymph channels in dogs results in edema of the optic nerve and retina.52 Lymphoscintigraphy, in which radioactive-labeled colloids are injected into the body and collected in regional lymph nodes, was performed extensively with different lymphotropic tracers injected into the retrobulbar space of rabbits.53 Although 90% of the tracer remained in the orbit for over 1 week, there was a definite amount of tracer material in the regional lymph nodes, including the bilateral deep cervical lymph nodes and the ipsilateral superficial cervical and submandibular nodes. Significant activity was also seen near both optic nerves. Thus, these studies also suggested the presence of slow lymph drainage from the orbit.

The Rhesus and, more recently, the Cynomolgus monkey have been described as an excellent animal model for orbital research.54,55 McGetrick et al.51 studied the lymphatic drainage from the Cynomolgus monkey orbit using retrobulbar injections of 99mtechnetium sulfur colloid, a lymphotropic tracer, and india ink. Injections outside the muscles were removed by the conjunctival and eyelid lymphatics. Colloids injected into the orbit spread along connective tissue septa and did not reach lymph nodes over a 24-hour period. A small amount of india ink left the posterior orbit and was demonstrated entering the contralateral orbit.

Studies by Sherman et al.56 and Gausas et al.57 distinguished orbital lymphatic channels from blood capillaries histochemically by light microscopy using a 5'-nucleotidase and alkaline phosphatase double staining method on human surgical specimens. Lymphatic vessels, which stained brown with 5'-nucleotidase and met strict morphologic criteria for lymphatic vessels were identified in the lacrimal gland and dura mater of the optic nerve. Lymphatics were not identified in the extraocular muscles or orbital fat using this technique. Conversely, blood vessels contained higher alkaline phosphatase activity than lymphatic vessels.

Cook et al.58,59 used this same staining method and morphologic criteria to identify analogous lymphatic systems in the eyelids of humans and the Cynomolgus monkey. Both a superficial or preorbicularis muscle plexus and a deep or pretarsal (postorbicularis muscle) lymphatic plexus were identified with 5'-nucleotidase in the upper and lower lids. No lymphatics were seen traversing the orbicularis, suggesting that the two drainage systems may work independently of each other. Using injections of 99mtechnetium sulfur colloid at specific sites in monkey eyelids, lymphoscintigraphy revealed lymphatic drainage of the medial and central lower lid along the facial vein to the submandibular lymph nodes, while the entire upper lid, medial canthus, and lateral lower lid drain into the preauricular parotid lymph nodes. The central upper lid also had dual drainage into the submandibular nodes.59 This study parallels traditional depictions of lymphatic drainage in humans, except that the medial upper lid and medial canthus has been thought to drain into the submandibular rather than into the preauricular nodes (see Fig. 24).25

Fig. 24 Currently accepted pattern of lymphatic drainage in human eyelids.

Further elucidation of a lymphatic drainage system in the human orbit would increase the understanding of many disease processes, including orbital metastases, thyroid eye disease, orbital lymphomas and lymphangiomas, and cell-mediated immunity within the orbit.

Back to Top
PERIORBITAL SOFT TISSUE
A detailed understanding of the soft tissues surrounding the orbit is also necessary to appropriately evaluate and manage patients. Particular attention will be given to the eyebrow and upper midface anatomy because increased interest in aesthetic surgery has heightened the clinical relevance of these regions.

The eyelid skin is extremely thin and contains very little to no fat. The orbicularis oculi muscle runs in concentric sheets around the lids as a pretarsal, preseptal, and orbital portion. Sebaceous glands that empty into hair follicles and eccrine sweat glands of Moll are found near the lid margin, with the orbicularis muscle of Riolan marking the posterior limit of the anterior lamella. The tarsus containing the meibomian glands and conjunctiva comprise the posterior lamella. The tarsus measures 8 to 12 mm in height in the upper lid and 4 mm in the lower lid.

The muscles of the brow and glabellar areas have been divided into superficial (frontalis, procerus, orbicularis oculi), intermediate (depressor supercilii), and deep (corrugator supercilii) groups.60 The depressors of the medial eyebrow are the medial orbicularis oculi, the depressor supercilii, and the oblique head of the corrugator supercilii (see Fig. 25). The depressor supercilii muscle originates from the nasal portion of the frontal bone 10 mm above the medial canthal ligament, just posterior and superior to the posterior lacrimal crest and 2 to 5 mm below the frontomaxillary suture. One or two heads of this muscle may be found before inserting superiorly into the skin beneath the medial eyebrow approximately 14 to 15 mm above the medial canthal tendon. The angular vessels are located between the two heads of the muscle. The insertion of the depressor supercilii is medial to the orbicularis oculi insertion into dermis under the medial brow. The oblique head of the corrugator supercilii emerges from underneath the depressor supercilii to course across the glabellar area before inserting in the dermis 5 mm medial to the depressor supercilii insertion. The procerus muscle arises from the tendinous fibers over the inferior nasal bone and travels superiorly to insert into the skin between the eyebrows. As it courses superiorly, the procerus fibers become continuous with the medial fibers of the frontalis muscle. Injection of botulinum toxin for facial lines needs to take into account the insertion sites and depth of these muscles to achieve the desired effect.61

Fig. 25 Relationships of all muscles acting on the forehead, glabella, and medial eyebrow. (From Cook BE Jr, Lucarelli MJ, Lemke BN: Depressor supercilii muscle. Ophthalmic Plast Reconstr Surg 2001;17:404)

The frontalis muscle inserts into the eyebrow, where it interdigitates with the orbital orbicularis oculi muscle. The posterior frontalis and orbicularis muscle sheaths form the anterior boundary of the eyebrow fat-pad.62 The eyebrow fat-pad consists of loose fibrous septae with the interseptate spaces filled by fat.11 The brow fat-pad continues into the upper lid as filmy areolar tissue found posterior to the orbital and preseptal orbicularis muscle, termed the retro-orbicularis oculi fat (ROOF), located within the superficial musculoaponeurotic system (SMAS). In the eyebrow region, the superficial muscle plane is mainly secured to the frontal bone periosteum by a firm attachment on the underside of the fat-pad. This firm attachment only extends over the medial one-half to two-thirds of the orbit. The lateral eyebrow is less firmly attached, perhaps contributing to earlier brow ptosis in this region.62 The supraorbital nerve and artery ascend within the eyebrow fat-pad to pierce the frontalis muscle with its first branches 2 to 3 cm above the supraorbital ridge. It is important to assess for eyebrow ptosis prior to surgical correction of dermatochalasis to determine the appropriate management.

Involutional changes of the lower eyelid and upper midface may manifest as festoons, bags, midfacial ptosis, and nasolabial fold flattening. The SMAS invests the superficial facial muscles and is connected to the bone and overlying skin by a network of fibrous septae and ligaments.63,64 The major osteocutaneous components are the orbitomalar, zygomatic, and masseteric ligaments. Loss of elastic support in the dermis and attenuation of these subcutaneous fat attachments to the underlying SMAS contribute to facial ptosis. Kikkawa et al.65 described the orbitomalar ligament as a distinct bony attachment originating from the periosteum of the inferior orbital rim and fanning out in a lamellar fashion through the orbicularis oculi overlying the inferior orbital rim to insert into the malar dermis (see Fig. 26).

Fig. 26 Sagittal section through lower eyelid and inferior orbital rim, with artist's overlay. (From Kikkawa DO, Lemke BN, Dortzbach RK: Relations of the superficial musculoaponeurotic system to the orbit and characterization of the orbitomalar ligament. Ophthalmic Plast Reconstr Surg 1996;12:77)

The infraorbital cutaneous insertion of the orbitomalar ligament descended inferiorly with age, which suggests that attenuation and loss of elastic fibers in the ligament contributed to upper SMAS ptosis. The orbitomalar ligament continues along the entire inferior orbital rim with its lateral component firmly attaching the SMAS to the lateral orbital rim. The zygomatic ligaments originate from the inferior zygoma directly posterior to the origin of the zygomatic minor and 44 mm anterior to the tragus to course anteriorly through the SMAS. The inferolateral margin of the orbicularis oculi is located just medial to the zygomatic ligaments.

The malar subcutaneous fat extends over the orbicularis muscle to the level of the inferior orbital rim, with its thickest portion located 40 mm inferior to the lateral commissure.66 The deeper suborbicularis oculi fat (SOOF), less substantial than the malar fat, extends over the body of the zygoma and is continuous inferiorly with the fat deep to the zygomatic major and minor muscles. The suborbicularis oculi fat is located deep to the SMAS and may also droop with aging. In cases of paralytic ectropion from Bell's palsy, ptosis of the suborbicularis oculi fat may need to be addressed in the surgical management.

Back to Top
REFERENCES

1. Lemke BN: Anatomy of ocular adnexa and orbit. In Smith BC (ed): Ophthalmic Plastic and Reconstructive Surgery, vol 1. St. Louis: CV Mosby, 1987:3–74

2. Whitnall SE: Anatomy of the Human Orbit. London: Oxford University Press, 1932

3. Whitnall SE: On a tubercle on the malar bone, and on the lateral attachments of the tarsal plates. J Anat Physiol 45:426, 1911

4. Simonton JT, Garber PF, Ahl N: In margins of safety in lateral orbitotomy. Arch Ophthalmol 95:1229, 1977

5. Massaro BM, Gonnering RS, Harris GH: Endonasal laser dacryocystorhinostomy: A new approach to nasal lacrimal duct obstruction. Arch Ophthalmol 108:1172, 1990

6. Bridger MWM, Van Nostrand AWP: The nose and paranasal sinuses—applied surgical anatomy. J Otolaryngol (suppl 6):2, 1978

7. Blaylock WL, Moore CA, Linberg JV: Anterior ethmoid anatomy facilitates dacryocystorhinostomy. Arch Ophthalmol 108:1774, 1990

8. Rischbieth RHC, Bull JWD: The significance of enlargement of the superior orbital fissure. Br J Radiol 31:125, 1958

9. Cares HL, Bakay L: The clinical significance of the optic strut. J Neurosurg 34:355, 1971

10. Jones IS, Jakobeic FA, Nolan BT: Patient examination and introduction to orbital disease. In Duane TD, Jaeger EA (eds): Duane's Clinical Ophthalmology Series, vol 2. Philadelphia: JB Lippincott, 2000

11. Meyer DR, Linberg JV, Wobig JL, et al: Anatomy of the orbital septum and associated eyelid connective tissues. Ophthalmic Plast Reconstr Surg 7:104, 1991

12. Jeong S, Lemke BN, Dortzbach RK, et al: The Asian upper eyelid. Arch Ophthalmol 117:907, 1999

13. Putterman AM, Urist MJ: Surgical anatomy of the orbital septum. Ann Ophthalmol 6:290, 1974

14. Lang J: The vascularization of the periorbita (Abstract). Gegenbaurs Morphol Jahrb 121:174, 1975

15. Koornneef L: Spatial Aspects of Orbital Musculo-Fibrous Tissue in Man: A New Anatomical and Histological Approach. Amsterdam: Swets en Zeitlinger , 1977

16. Sutton JE: The fascia of the human orbit. Anat Rec 18:141, 1920

17. Hosokawa H: A note on the fibrous apparatus surrounding the human eyeball. Okajimas Folia Anat Jpn 28:164, 1956

18. Fink WH: An anatomical study of the check mechanism of the vertical muscles of the eyes. Am J Ophthalmol 44:800, 1957

19. Whitnall SE: On a ligament acting as a check to the action of the levator palpebrae superioris muscle. J Anat Phys 14:131, 1910

20. Lockwood CB: The anatomy of the muscles, ligaments, and fascia of the orbit, including an account of the capsule of tenon, the check ligaments of recti, and of the suspensory ligament of the eye. J Anat Physiol 20:1, 1886

21. Hawes MJ, Dortzbach RK: The microscopic anatomy of the lower eyelid retractors. Arch Ophthalmol 100:1313, 1982

22. Castanares S: Blepharoplasty for herniated intraorbital fat: Anatomical basis for a new approach. Plast Reconstr Surg 8:46, 1951

23. Carter SR, Chang J, Aguilar GL, et al: Involutional entropion and ectropion of the Asian lower eyelid. Ophthalmic Plast Reconstr Surg 16:45, 2000

24. Walsh FB, Hoyt WF: Clinical Neuro-Ophthalmology, 3rd ed. Baltimore: Williams & Wilkins, 1969:551–555

25. Duke-Elder S, Wybar KC: The anatomy of the visual system. In Duke-Elder S (ed): System of Ophthalmology, vol 2. St. Louis: CV Mosby, 1961:559–567

26. Scharz W, Dohlman DH: Is the lacrimal gland indispensable? Keratoconjunctivitis after lacrimal gland removed. Arch Ophthalmol 93:281, 1975

27. Riley CM, Day RL, Greeley D, et al: Central autonomic dysfunction with defective lacrimation. Pediatrics 3:468, 1949

28. Roen JL, Stasior OG, Jakobiec FA: Aging changes in the human lacrimal gland: The role of the ducts. CLAO J 11:237, 1985

29. Fink WH: The surgical anatomy of the superior oblique muscle. Trans Am Ophthalmol Soc 46:154, 1948

30. Helveston EM, Merriam WW, Ellis FD, et al: The trochlea: A study of the anatomy and physiology. Ophthalmology 89:124, 1982

31. Sacks JG: The shape of the trochlea. Arch Ophthalmol 102:932, 1984

32. Hayreh SS, Scott WE: Fluorescein iris angiography: I. Normal pattern. II. Disturbances in iris circulation following strabismus operation on various recti. Arch Ophthalmol 96:1383, 1978

33. Anderson RL, Beard C: The levator aponeurosis attachments and their clinical significance. Arch Ophthalmol 95:1437, 1977

34. Anderson RL, Dixon RS: The role of Whitnall's ligament in ptosis surgery. Arch Ophthalmol 97:705, 1979

35. Lucarelli MJ, Lemke BN: Small incision external levator repair: Technique and early results. Am J Ophthalmol 127:637, 1999

36. Shore JW, McCord CD: Anatomic changes in involutional blepharoptosis. Am J Ophthalmol 98:21, 1984

37. Whitnall SE: The levator palpebrae superioris muscle: The attachments and relations of its aponeurosis. Ophthalmoscope 12:258, 1914

38. Stasior GO, Lemke BN, Wallow IH, et al: Levator aponeurosis elastic fiber network. Ophthalmic Plast Reconstr Surg 9:1, 1993

39. Tarbet KJ, Lemke BN: Small-incision periosteal flap canthopexy: Aesthetic applications. Am J Cosm Surg 18:21, 2001

40. Lemke BN, Cook BEJr , Lucarelli MJ: Canthus-sparing ectropion repair. Ophthalmic Plast Reconstr Surg 17:161, 2001

41. Lemke BN, Khwarg SI: Adjuvant lateral canthal advancement in the surgical management of exophthalmic eyelid retraction. Arch Ophthalmol 117:274, 1999

42. Collin JRO, Beard C, Wood I: Terminal course of nerve supply to Müller's muscle in the rhesus monkey and its clinical significance. Am J Ophthalmol 87:234, 1979

43. Chaflin J, Putterman AM: Müller's muscle excision and levator recession in retracted upper lid: Treatment of thyroid-related retraction. Arch Ophthalmol 97:1487, 1979

44. Warwick R: Eugene Wolff's Anatomy of the Eye and Orbit, 7th ed. Philadelphia: WB Saunders, 1976

45. Lyon DB, Lemke BN, Wallow IH, et al: Sympathetic nerve anatomy in the cavernous sinus and retrobulbar orbit of the cynomolgus monkey. Ophthalmic Plast Reconstr Surg 8:1, 1992

46. Simreich Z, Nathan H: The ciliary ganglion in man (anatomical observations). Anat Anz 150:287, 1981

47. Bergen MP: Relationship between the arteries and veins and the connective tissue system in the human orbit. Parts I, II, and III. Acta Morphol Neerl Stand 28:1, 1982

48. Bergen MP: A literature review of the vascular system in the human orbit. Acta Morphol Neerl Scand 19:273, 1981

49. Duke-Elder S, Wybar KC: The anatomy of the visual system. In Duke-Elder S (ed): System of Ophthalmology, vol 2. New York: Kimpton, 1961:551

50. Jakobiec FA, McLean I, Font RL: Clinico-pathologic characteristics of orbital lymphoid hyperplasia. Ophthalmology 86:948, 1979

51. McGetrick JJ, Wilson DG, Dortzbach RK, et al: A search for lymphatic drainage of the monkey orbit. Arch Ophthalmol 107:255, 1989

52. Foldi M, Csanda E, Zoltan OT, et al: Oedema of the optic nerve and the retina as a consequence of experimental cervical lymphatic blockage. Angiologia 4:341, 1967

53. Schicha HJ, Gruntzig J, Becker V: Experimentelle untersuchungen mit aukolloid zur frage der lymphverbindungen zwischen retrobulbarraum und schilddruse beim kaninchen. Nuklearmedizin 18:133, 1979

54. Gonnering RS, Dortzbach RK, Erickson KA, et al: The cynomolgus monkey as a model for orbital research. I. Normal anatomy. Curr Eye Res 3:529, 1984

55. Cook BE, Lucarelli MJ, Lemke BN, et al: The cynomolgus monkey eyelid as an anatomic model for oculoplastic surgery. Ophthalmic Plast Reconstr Surg 18:183, 2002

56. Sherman DD, Gonnering RS, Wallow IHL, et al: Identification of orbital lymphatics: Enzyme histochemical light microscopic and electron microscopic studies. Ophthalmic Plast Reconstr Surg 9:153, 1993

57. Gausas RE, Gonnering RS, Lemke BN, et al: Identification of human orbital lymphatics. Ophthalmic Plast Reconstr Surg 15:252, 1999

58. Cook BEJr , Lucarelli MJ, Lemke BN, et al: Eyelid lymphatics I: Histochemical comparisons between the monkey and human. Ophthalmic Plast Reconstr Surg 18:18, 2002

59. Cook BEJr , Lucarelli MJ, Lemke BN, et al: Eyelid lymphatics II: A search for drainage patterns in the monkey and correlations with human lymphatics. Ophthalmic Plast Reconstr Surg 18:99, 2002

60. Cook BEJr , Lucarelli MJ, Lemke BN: Depressor supercilii muscle. Ophthalmic Plast Reconstr Surg 17:404, 2001

61. Cook BEJr , Lucarelli MJ, Lemke BN: The depressor supercilii muscle: Anatomy, histology, and cosmetic implications. Am J Cosm Surg 17:193, 2000

62. Lemke BN, Stasior OG: The anatomy of eyebrow ptosis. Arch Ophthalmol 100:981, 1982

63. Mitz V, Peyronie M: The superficial musculo-aponeurotic system (SMAS) in the parotid and cheek area. Plast Reconstr Surg 58:80, 1976

64. Muzaffar AR, Mendelson BC, William PJr : Surgical anatomy of the ligamentous attachments of the lower lid and lateral canthus. Plast Reconstr Surg 110:873, 2002

65. Kikkawa DO, Lemke BN, Dortzbach RK: Relations of the superficial musculoaponeurotic system to the orbit and characterization of the orbitomalar ligament. Ophthalmic Plast Reconstr Surg 12:77, 1996

66. Lucarelli MJ, Khwarg SI, Lemke BN: The anatomy of midfacial ptosis. Ophthalmic Plast Reconstr Surg 16:7, 2000

Back to Top