Chapter 52
Ciliochoroidal Effusion
SHARON FEKRAT and W. RICHARD GREEN
Main Menu   Table Of Contents

Search

ANATOMIC FEATURES
CLINICAL FEATURES
DIFFERENTIAL DIAGNOSES
ETIOLOGIC CLASSIFICATION
PATHOPHYSIOLOGY
MANAGEMENT
FUTURE INVESTIGATIONS
REFERENCES

A ciliochoroidal effusion is an accumulation of fluid in the potential space between the sclera externally and the choroid and ciliary body internally.1–3 The terms edema, effusion, and detachment are often used interchangeably in describing this uveal disorder. In most cases, however, the fluid is located between the fibrous strands that connect the choroid and ciliary body to the sclera and is therefore within the uvea. Thus, edema and effusion are more accurate descriptive terms.
Back to Top
ANATOMIC FEATURES
The suprachoroidal space forms a transition zone and potential space between the choroid and sclera and is composed of fibrous connective tissue. In its physiologic dehydrated state, the suprachoroidal space is approximately 30 μm thick. Because there are virtually no capillaries or lymphatic spaces to drain fluid that collects in this area, the fluid must reenter the vascular channels in the choroid and exit through the vortex veins,4 the sclera itself,5 or through perivascular and perineural spaces in scleral emissary channels.6

Anteriorly, the connective tissue fibers that attach the ciliary body and anterior choroid to the sclera are long and oriented tangentially. A tangential arrangement permits movement of the choroid during accommodation7; however, it also readily allows for the accumulation of fluid. The anatomic arrangement of the fibers anteriorly is analogous to the tangential fibers in the outer plexiform layer in the macula, another location where fluid selectively accumulates.

Posteriorly, the choroid is more firmly connected to the sclera by fibers that are short and oriented perpendicularly between the choroid and sclera.8 The choroid is also firmly anchored to the sclera at the optic disc, at the ampullae of the four vortex veins, and by the ciliary body at the scleral spur. The attachments at the disc and four ampullae account for the characteristic four-lobed structure of a large ciliochoroidal effusion.

The term detachment is often used clinically to describe a ciliochoroidal effusion. Indeed, in some cases there is an actual cleavage of the fibers that connect the ciliary body and choroid to the sclera. Moses8 showed that a force of about 5 g/cm is required to break these connecting fibers. In such cases, the fluid is located between the ciliary body and choroid and the sclera and is properly referred to as a detachment.

Back to Top
CLINICAL FEATURES
The presence of certain clinical characteristics may assist in the diagnosis of a ciliochoroidal effusion (Table 1). One clinical feature is choroidal edema. Choroidal edema may resemble a retinal detachment to a hasty observer; however, darkness of the uvea, lack of tremulousness, and normal retinal vessels indicate a probable uveal process (Fig. 1). The effusion may extend under the pars plana, allowing visualization of the ora serrata without scleral depression (Fig. 2).9 As shown in Figure 2, the surface of the elevation is convex and smooth, with a solid appearance and a homogeneous grayish color. A shallow anterior chamber and a low intraocular pressure may also suggest the diagnosis. Myopia in the presence of anterior displacement of the lens-iris diaphragm may be another diagnostic clue.10,11

 

TABLE 1. Characteristic Clinical Features of a Ciliochoroidal Effusion

  Choroidal edema
  Shallow anterior chamber
  Low intraocular pressure
  Visualization of the ora serrata without scleral depression
  Nonrhegmatogenous retinal detachment with shifting subretinal fluid
  Verhoeff's streaks22
  Annular, lobular, or flat ophthalmoscopic appearance
  Hagen's sign27

 

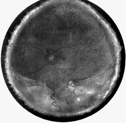
Fig. 1. Painting of the ophthalmoscopic features of uveal effusion syndrome. There is a diffuse pigmentary disturbance in a dot, blot, or linear configuration and an annular ciliochoroidal effusion with secondary inferior retinal detachment.

Fig. 2. The ora serrata is visible in the pupillary space due to a ciliochoroidal effusion that developed after retinal detachment surgery in an aphakic eye. The arrow indicates the ora bay. (Courtesy of Retina Service, Wills Eye Hospital, Philadelphia)

Although a ciliochoroidal effusion is usually associated with low intraocular pressure, it may sometimes result in anterior rotation of the ciliary body, secondary angle-closure glaucoma, and elevated intraocular pressure in some cases.12–20 A ciliochoroidal effusion presenting as secondary angle-closure glaucoma has been reported in several patients with acquired immunodeficiency syndrome (AIDS).16–18 The etiologic and pathophysiologic mechanisms of ciliochoroidal effusion formation in HIV-positive patients have not yet been elucidated.

In a chronic ciliochoroidal effusion, breakdown of the blood-ocular barrier at the level of the retinal pigment epithelium (RPE) may occur, leading to a nonrhegmatogenous retinal detachment characterized by shifting subretinal fluid. The protein content of this fluid may be more than three times greater than that of plasma, causing it to shift to a dependent position as the eye and head move.21 The amount of subretinal fluid increases as the chronicity of the effusion increases. A total retinal detachment may result, making the detection of shifting fluid difficult. Linear areas of RPE hypertrophy and hyperplasia may also be observed in chronic effusions (Fig. 3). These streaks, noted by Verhoeff,22 suggest a chronic and recurrent process.

Fig. 3. Retinal pigment epithelial abnormality with streaks of hypertrophy and hyperplasia in an eye with resolving ciliochoroidal effusion. The arrowhead indicates Verhoeff's streak.22

Ciliochoroidal effusions may have an annular, lobular (Fig. 4), or flat (Fig. 5) ophthalmoscopic appearance. Annular effusions occur around the ciliary body and peripheral choroid. Lobular effusions are large hemispheric detachments that bulge toward the center of the globe. Flat effusions are most often apparent in isolated peripheral choroidal areas, where local structures limit fluid extension. A local stimulus, such as a limbal incision, can lead to suprachoroidal edema, even in remote areas, by way of free dissection of fluid. Occasionally, patients will present with coexisting ciliochoroidal effusion and rhegmatogenous retinal detachment.23–25 The retinal hole may be hidden in the choroidal mounds. Such detachments tend to occur in older patients who have a history of previous ocular surgery.

Fig. 4. Clinical appearance of a lobular type of ciliochoroidal effusion.

Fig. 5. Flat ciliochoroidal effusion. The ora serrata is visible without scleral depression in a patient with Schepens-Brockhurst syndrome. The arrow indicates the ora bay.

Back to Top
DIFFERENTIAL DIAGNOSES
A ciliochoroidal effusion may be mistaken for a malignant melanoma in the ciliary body or choroid.26 Transillumination, fluorescein angiography, ultrasonography, and computed tomography may assist in distinguishing an effusion from a melanoma. Increased transillumination may be observed with a serous ciliochoroidal effusion and has been referred to as Hagen's sign.27 Pigmented choroidal melanomas may not transilluminate; however, in some cases of ciliary body melanoma, particularly nonpigmented tumors, transillumination may not be defective. In fact, in some cases the tumor may even transilluminate. A rare case of coexisting ciliochoroidal detachment and choroidal melanoma was reported.28 The eye had a typical postoperative ciliochoroidal detachment that masked a multilobed uveal melanoma that was not appreciated preoperatively.

A ciliochoroidal effusion and other benign processes may be accurately differentiated from choroidal tumors with B-scan ultrasonography, as reported by Coleman29 in more than 60% of cases. Ultrasonography can distinguish a ciliochoroidal effusion from a retinal detachment by the acute anterior angle of the acoustic shadow of an effusion and its extension anterior to the ora serrata (Fig. 6). The ultrasonic finding of a diffusely thickened choroid posteriorly should alert the ultrasonographer and ophthalmologist to the possibility of a ciliochoroidal detachment more anteriorly. If posterior choroidal thickening is not associated with a peripheral ciliochoroidal detachment, other clinical entities should be excluded, such as posterior scleritis, choroidal inflammation, and intraocular tumors.30 Scleral infolding may ophthalmoscopically simulate a ciliochoroidal effusion in a hypotonous eye, and B-scan ultrasonography may assist in the diagnosis.31

Fig. 6. B-scan ultrasound of a choroidal effusion. An acute anterior angle and extension anterior to the ora serrata help to distinguish this as a choroidal effusion, rather than a retinal detachment.

These adjunctive tests can also differentiate a serous from a hemorrhagic ciliochoroidal effusion. In a serous ciliochoroidal effusion, fluorescein angiography demonstrates characteristic background fluorescence, RPE abnormalities, and leakage from the large choroidal vessels, whereas a hemorrhagic ciliochoroidal effusion blocks these angiographic patterns.12,32 Peyman and co-workers31 demonstrated the usefulness of computed tomography in differentiating a serous effusion from a hemorrhagic choroidal detachment.

Back to Top
ETIOLOGIC CLASSIFICATION
A ciliochoroidal effusion may be idiopathic, or it may be due to a systemic or ocular abnormality (Table 2).

 

TABLE 2. Etiologic Classification of Ciliochoroidal Effusion

  Iatrogenic Injury
  Medications11
  Anterior segment surgery (with or without cyclodialysis)

  Cataract extraction1,9,32–34,36,38–46
  Glaucoma filtering procedures1,9,32,37,47–49
  Iridectomy


  Glaucoma surgery in patients with prominent episcleral vessels (Sturge-Weber syndrome)35
  Panretinal photocoagulation55,56
  Retinal detachment surgery50–54,58
  Traumatic Injury
  Accidental ocular perforation1
  Blunt trauma59
  Inflammation
  Episcleritis74–76
  Nonspecific vasculitisOcclusive vasculitis65
  Orbital pseudotumor73
  Pars planitis69,70
  Polyarteritis nodosa80,81
  Rheumatoid arthritis68
  Scleritis9,65,68,77,78
  Subconjunctival abscess72
  Sympathetic uveitis65–67
  Syphilitic posterior uveitis64
  Toxoplasmosis retinochoroiditis65
  Uveitis60–63
  Vogt-Koyanagi-Harada syndrome71
  Wegener's granulomatosis:0.0416667>795Y :0.0416667>795Ý
  Vascular Causes9,50,82–86
  Valsalva maneuver
  Carotid-cavernous sinus fistula84–86
  Dural-sinus fistula
  Hypertension
  Eclampsia
  Hypoproteinemia9,50
  Malignancy
  Metastatic carcinoma to the choroid87
  Leukemia9
  Multiple myeloma65
  Primary Scleral Abnormality
  Nanophthalmos88–93
  Uveal effusion syndrome12,13,69,70,92,94
  Idiopathic ciliochoroidal effusion9,65

 

IATROGENIC AND TRAUMATIC INJURY

A ciliochoroidal effusion may result from iatrogenic medical or surgical intervention or ocular trauma. Soylev and colleagues11 described a patient who developed a ciliochoroidal effusion after a 4-day course of a hydrochlorothiazide-triamterene combination. Other causes of an effusion had been excluded.

Various surgical procedures may be complicated by a ciliochoroidal effusion during or after the procedure. An expulsive effusion can mimic an expulsive hemorrhage during cataract extraction33–36 or glaucoma surgery, especially in patients with prominent preoperative episcleral vessels, as in Sturge-Weber syndrome.37 Varying degrees of postoperative suprachoroidal edema may develop after cataract extraction (Figs. 7 and 8),1,9,32–34,38–46 iridectomy (Fig. 9), filtering procedures (Fig. 10),1,9,32,37,47–49 retinal detachment surgery (Fig. 11),50–54 panretinal photocoagulation,55,56,56a or cryotherapy. A postoperative ciliochoroidal effusion can occur weeks, months, or even years after surgery.40,57 Between 1 and 18 months after filtration surgery, hypotony and ciliochoroidal detachment developed in four patients when timolol or acetazolamide therapy was instituted.57

Fig. 7. Large lobule of a ciliochoroidal effusion that occurred after cataract extraction.

Fig. 8. This choroidal and ciliary body detachment, which occurred after intracapsular cataract extraction, was mistaken for a malignant melanoma.39 A. Iris incarceration in the wound (arrow) and extensive ciliary body effusion consisting of a dense, proteinaceous material (asterisk) (H & E, × 115). B. Effusion of the choroid near the ora serrata by a moderately dense, proteinaceous material without inflammatory cells. Note folds of choroid (arrowheads) (H & E, × 115).

Fig. 9. A. This serosanguineous ciliochoroidal effusion (arrow), which occurred after iridectomy for an iris melanoma in a 68-year-old man, was mistaken for a choroidal melanoma (H & E, × 25). B. Site of the limbal wound (arrowhead) with incarceration of the iris base and residual melanoma in the iris, anterior aspect of the ciliary body, and trabecular meshwork (H & E, × 60).

Fig. 10. A. This extensive ciliochoroidal effusion (asterisk), which occurred 4 years after iridencleisis in a 70-year-old man,39 was mistaken for a malignant melanoma. The iris (arrow) is incarcerated in the limbal wound, and a flat, edematous infiltration bleb (arrowheads) is present (H & E, × 25). B. Area of the ora serrata shows a ciliochoroidal effusion with proteinaceous material separating the tangentially oriented collagen fibers (arrowheads) that connect the choroid and ciliary body to the sclera (H & E, × 115).

Fig. 11. A ciliochoroidal effusion that developed after retinal detachment surgery. (Courtesy of Retina Service, Wills Eye Hospital, Philadelphia.)

Intraoperative hypotony combined with intrinsic vascular disease may lead to a serous or hemorrhagic ciliochoroidal effusion during or after retinal detachment surgery.50–54 The hypotony that occurs during the drainage of subretinal fluid is usually of relatively short duration. Diathermy, cryotherapy, and vortex vein compromise due to buckle placement58 may further disturb the choroidal vasculature and contribute to the leakage of fluid into the suprachoroidal space. The incidence of effusion formation correlates with the circumferential length and posterior position of the scleral buckle.51 Scleral suture placement up to 14 mm posterior to the limbus decreases the risk of an effusion.

The formation of suprachoroidal edema and secondary shallowing of the anterior chamber angle has been documented after panretinal photocoagulation.55,56 The mechanism may be leakage from thermally affected vessels, resulting in increased permeability of the choriocapillaris. Serous fluid may then collect in the suprachoroidal space and form an effusion.56 This may be prevented by staging the laser treatment so that less than 1000 laser burns are applied during one treatment session, or by limiting cryotherapy to less than two rows for no more than 180°. If an effusion develops despite these measures, treatment with corticosteroids may be beneficial.

Blunt and penetrating ocular trauma and perforated corneal ulcers may also be associated with choroidal edema.1,59 Trauma that causes prolonged hypotony or severe inflammation is likely to produce ciliochoroidal edema.

INFLAMMATION

Intraocular inflammation may lead to ciliochoroidal effusion. Inflammation is accompanied by vasodilation, which could lead to leakage and accumulation of serous fluid within the suprachoroidal space. Involvement of the ciliary body may produce symptoms of myopia and blurred vision.

Various uveitides,60–63 including syphilitic uveitis,64 sympathetic ophthalmia (Fig. 12),65–67 toxoplasmosis (Fig. 13),65 rheumatoid arthritis,68 pars planitis,69,70 and Vogt-Koyanagi-Harada syndrome,71 may be associated with the collection of suprachoroidal fluid. In Vogt-Koyanagi-Harada syndrome, a diffuse, bilateral uveitis may lead to an exudative choroidal effusion and secondary nonrhegmatogenous retinal detachment. In addition to associated extraocular clinical features (e.g., vitiligo, poliosis, dysacousia), the presence of pleocytosis in the cerebrospinal fluid (CSF) may help differentiate Vogt-Koyanagi-Harada syndrome from uveal effusion syndrome, which characteristically lacks pleocytosis.

Fig. 12. A ciliochoroidal effusion in the eye of a 16-year-old boy, who developed sympathetic uveitis after a corneal laceration. A. Scar of the traumatic corneal perforation, with fibrous tissue ingrowth (asterisk) and adherent lens remnants (arrowhead) (H & E, × 18). B. The appearance of a ciliochoroidal effusion (asterisk) that was first observed in the eye 2 months after corneal perforation and before the development of uveitis in the fellow eye (H & E, × 96). C. The choroid posteriorly is greatly thickened by intense lymphocytic infiltration in which foci of epithelioid cells (arrowheads) display pigment phagocytosis in the absence of necrosis (H & E, × 185).

Fig. 13. A. A ciliochoroidal effusion (asterisk) associated with Toxoplasma retinochoroiditis (H & E, × 50). B. The retina temporally is totally necrotic with encysted T. gondii (H & E, × 25). C. An old chorioretinal scar (arrow) posterior to the area of necrotic retina (H & E, × 160). D. Intense vasculitis and perivascular lymphocytic infiltration of the central vessels in the optic nerve head (H & E, × 185).

A subconjunctival abscess,72 orbital pseudotumor,73 episcleritis,74–76 scleritis (Fig. 14),9,19,20,65,68,77,78 and vasculitides (Figs. 15 and 16)79–81 such as Wegener's granulomatosis79 (see Fig. 16), polyarteritis nodosa,80,81 occlusive vasculitis,65 or nonspecific vasculitis (see Fig. 15) can produce suprachoroidal edema even without overt signs of inflammation. Scleritis, however, may sometimes produce choroidal inflammation with secondary vasodilation and serous effusion into the suprachoroidal and subretinal space. An infected scleral buckle may also produce a ciliochoroidal effusion months to years after its placement. Removal of sutures and all implanted material is necessary to promote resolution of the effusion.

Fig. 14. Extensive ciliochoroidal effusion (asterisk) associated with a zonular granulomatous inflammatory infiltration in the episclera (arrowheads) of the eye of a 78-year-old man with rheumatoid arthritis.68 Diffuse, nodular inflammatory infiltrates are present in the markedly edematous ciliary body and choroid. There are several folds of retinal pigment epithelium and inner layers of choroid (arrows) and a flat serous detachment of the retina (H & E, × 40).

Fig. 15. A spontaneous ciliochoroidal effusion was mistaken for a malignant melanoma in a 61-year-old woman who presented with pain, blurred vision, keratitic precipitates, and aqueous cells and flare. A. Gross appearance of the ciliochoroidal effusion (large arrowheads). Small whitish inflammatory nodules are present in the choroid (small arrowheads). The apparent retinal detachment is artifact. B. An extensive ciliochoroidal effusion (asterisk) with a moderately intense chronic inflammatory cellular infiltration. (H & E, × 20). C. The choroid viewed posteriorly, showing occlusive granulomatous vasculitis (arrow) and an intense lymphocytic infiltration crowding the choriocapillaris. The retinal pigment epithelium is intact (H & E, × 290). D. Intense lymphocytic infiltration of choroid, inner scleral lamellae, and episclera (H & E, × 55). E. Diffuse scleritis viewed posteriorly, showing perineural lymphocytic infiltration in the episclera and within a scleral canal (arrowheads) (H & E, × 55).

Fig. 16. Peripheral marginal corneal degeneration and conjunctival ulceration developed in a 61-year-old woman with Wegener's granulomatosis.79 Ciliochoroidal effusion (asterisks) was not a clinical problem, but was found on autopsy examination in association with an occlusive vasculitis with fibrinoid necrosis of the anterior and long ciliary arteries. Intense episcleritis is evident (arrow) (H & E, × 55).

VASCULAR CAUSES

Vascular causes of ciliochoroidal edema include the Valsalva maneuver, local arteriovenous fistula formation, hypertension, eclampsia, and hypoproteinemia.9,82,83 During protracted emesis, repeated Valsalva may result in a ciliochoroidal effusion.82 In the presence of a carotid-cavernous sinus fistula or dural arteriovenous fistula, the elevated venous pressure resulting from the abnormal communication between the arterial and venous systems is transmitted from the cavernous sinus to the orbital and vortex veins and to the choriocapillaris, resulting in uveal engorgement. Congestion of the choriocapillaris may promote serous fluid leakage and accumulation in the suprachoroidal space.84–86 Patients with this clinical finding may also have one or more of the following: conjunctival injection and chemosis, extraocular muscle palsies, pain, proptosis, and a bruit. These findings can assist in determining the etiology of the effusion.

Intravascular abnormalities such as hypoproteinemia associated with liver dysfunction, chronic nephritis, and other types of renal dysfunction may lead to the formation of a ciliochoroidal effusion.9,50 Low serum protein promotes fluid egress into extracellular spaces, including the suprachoroidal space.

MALIGNANCY

Intraocular malignancies, such as leukemia9 or metastatic carcinoma to the choroid,87 may uncommonly produce a ciliochoroidal effusion. Multiple myeloma has been associated with highly proteinaceous ciliochoroidal effusions (Fig. 17).65

Fig. 17. A ciliochoroidal effusion (asterisk) with a pars plana cyst (arrowhead) that was grossly opaque in a 54-year-old man who died of systemic complications of multiple myeloma. A localized serous retinal detachment was also present (H & E, × 40).

PRIMARY SCLERAL ABNORMALITY

Nanophthalmos

Derived from the Greek term nanos, meaning “dwarf,” nanophthalmos is a developmental anomaly characterized by failure of the eye to achieve a normal size. Associated ocular findings may include thickened sclera, a shallow anterior chamber, and the propensity to develop a spontaneous or postoperative uveal effusion.88–90 The first reported association between nanophthalmos and uveal effusion was reported by Brockhurst89 in five patients with thickened sclera. The thickened sclera in nanophthalmic eyes may lead to decreased transscleral protein outflow through the sclera itself and the vortex veins, resulting in a ciliochoroidal effusion.91–93

Uveal Effusion Syndrome

The pathogenesis of uveal effusion syndrome (Fig. 18), also referred to as idiopathic ciliochoroidal effusion, has not been clearly defined, but it is now thought to be primarily due to an abnormality in scleral thickness.92 It is usually unassociated with any other ocular or systemic abnormalities and occurs in the noninflamed eyes of middle-aged men as an insidious, progressive, usually bilateral non-rhegmatogenous retinal detachment with shifting fluid. This detachment can occur before there is any detectable ciliochoroidal elevation. Other findings include flat peripheral ciliochoroidal effusion, scattered retinal exudates, and localized areas of RPE hypertrophy and hyperplasia (“leopard spots”) (see Fig. 1).12,13,69,70,92,94 Evidence of uveal, retinal, or vitreous inflammation is minor or absent (see Fig. 18).

Fig. 18. A nonrhegmatogenous retinal detachment associated with a ciliochoroidal effusion in a 46-year-old man. A ciliary body biopsy, performed because a ring melanoma was suspected, showed a mild lymphocytic infiltrate. Similar changes developed in the fellow eye, and the patient was considered to have uveal effusion syndrome. Exhaustive studies gave no clues to the etiology. The cerebrospinal fluid protein was slightly elevated. During a 10-year period, the patient's vision decreased to count fingers (H & E, × 440). (Courtesy of the Armed Forces Institute of Pathology, Washington, DC)

Concurrent systemic conditions may be present in some patients, but not uniformly. Rheumatic disorders, indistinct collagen vascular complaints, and peptic ulcer disease have been associated with uveal effusion syndrome.32,69,70,75 Richardson and Walsh95 reported a patient in whom myxedema was present. These scattered reports do not substantiate a causal relationship.

The CSF may have a normal or elevated protein content without pleocytosis.13 The CSF opening pressure may also be elevated. The use of CSF measurements to differentiate between uveal effusion syndrome and idiopathic ciliochoroidal effusion is problematic because the CSF has not been evaluated in many cases. Moreover, the elevation of CSF pressure and protein may be transient and thus not identified even in true cases of uveal effusion syndrome. Additionally, many studies of uveal effusion syndrome predate ultrasonography and computed tomography. Some prior cases of presumed uveal effusion actually may have been posterior scleritis or nanophthalmos.

Idiopathic Ciliochoroidal Effusion

The literature does not clearly distinguish between uveal effusion syndrome and idiopathic ciliochoroidal effusion.9,65 They may most likely represent the same entity. In fact, findings similar to those for uveal effusion syndrome have been described in eyes with idiopathic ciliochoroidal effusion (Figs. 19B and 20C and D). An idiopathic ciliochoroidal effusion, however, is considered clinically and pathogenetically different from an effusion in a nanophthalmic eye, which is small and chronically hypotonous.89

Fig. 19. A. A ciliochoroidal effusion (asterisk) mistaken for a malignant melanoma and associated with moderately severe panuveitis. A secondary serous retinal detachment (arrowhead) and moderately thickened sclera are evident (H & E, × 15). B. Equatorial choroid with effusion and moderate infiltration of chronic inflammatory cells. Small nodules of proliferated retinal pigment epithelium (arrowheads) and subretinal proteinaceous material (arrow) are shown (H & E, × 80). C. Moderately intense infiltration of plasma cells and some lymphocytes (H & E, × 530). (Courtesy of the Armed Forces Institute of Pathology, Washington, DC)

Fig. 20. A 61-year-old man presented with a 10-day history of decreasing vision in the left eye.96 Examination disclosed a vision of hand motions, an irregularly shallow anterior chamber, closure of the angle, and an intraocular pressure of 45 mmHg. The ora serrata was visible without scleral depression. Ophthalmoscopic examination disclosed two large areas of solid-appearing lesions of the pars plana and anterior choroid (situated superonasally and inferotemporally), detachment of the retina, and a diffuse pigmentary disturbance, which was linear in some areas. Transscleral transillumination disclosed that areas of solid choroidal lesions lit up when viewed through the pupil. Radioactive phosphorus uptake was 16% at 1 hour, 18% at 24 hours, and 44% at 72 hours. The eye was enucleated because of the suspicion of a malignant melanoma. A. An extensive ciliochoroidal effusion (asterisks) showing mild diffuse and marked focal (arrowhead) infiltration of lymphocytes. The equatorial sclera is markedly thickened, and there is a large serous detachment of the retina (H & E, × 17). B. Edematous choroid with a large aggregate of lymphocytes (H & E, × 100). C. The equatorial area shows a thickened sclera, an edematous choroid with diffuse and marked focal aggregates of lymphocytes, localized area of retinal pigment epithelial hypertrophy and hyperplasia (arrowheads), slight folds in the retinal pigment epithelium and inner aspect of the choroid (arrows), and proteinaceous material (asterisk) in the subretinal space (H & E, × 40). D. A choroidal effusion with overlying proliferation of retinal pigment epithelium in nodular and linear configurations. Proteinaceous material is present in some areas in or beneath the retinal pigment epithelium (arrowheads) (H & E, × 180).

Histopathologically, there is a variable lymphocytic infiltrate in the ciliary body and choroid (see Figs. 19 and 20; Fig. 21).96

Fig. 21. A. Retinal exudates situated inferotemporally in the left eye of a 46-year-old woman with idiopathic ciliochoroidal effusion mistaken for a malignant melanoma and associated histopathologically with mild uveitis. Exudate in the macular area had a yellowish-orange appearance. B. Appearance of “solid-detachment” ciliochoroidal effusion with a meridionally oriented fold (arrowhead). C. Pars plana area with faintly stained proteinaceous material separating the smooth muscle fibers and tangentially oriented fibers associated with a mild lymphocytic infiltration (arrowhead) (H & E, × 50). D. Effusion of the choroid (asterisk) near the equator by a more densely stained proteinaceous material with a very light scattering of lymphocytes. Circumferentially oriented folds (arrowheads) involving the retinal pigment epithelium and inner aspect of the choroid are evident (H & E, × 135). E. Edema and cystic changes in the retina below the fovea. Most cysts in the inner nuclear layer have no staining material present, but those in the outer plexiform layer have a lightly staining proteinaceous material (arrowheads) (H & E, × 215).

Back to Top
PATHOPHYSIOLOGY
The intraocular pressure is normally approximately 2 mmHg greater than the physiologic pressure in the suprachoroidal space.8 A decrease in the intraocular pressure is transmitted to the choroid and may promote vascular engorgement and transudation. Such mechanical factors partly explain the suprachoroidal edema that results when the intraocular pressure is precipitously decreased at the time of surgery or trauma.5,8,97 With inflammation or vascular incompetence, however, transudation may occur at normal or even elevated intraocular pressures. Increased permeability of the choroidal vasculature reduces the intravascular colloid osmotic force that normally facilitates fluid reabsorption and increases protein leakage into the suprachoroidal space. If lymphatics were present in the choroid, a route for reabsorption of fluid and protein would be available; however, lymphatics are normally not present. The longer the fluid is present, the larger the protein molecules that contribute to the fluid osmolarity of the effusion.98 Thus, a cycle is created that sustains the effusion.99,100

The relative hypotony that may accompany a ciliochoroidal effusion had been attributed to decreased aqueous production.101 However, aqueous flow rates in patients with a ciliochoroidal effusion may be normal.102 Experimental evidence47 suggests that there is increased uveoscleral outflow in eyes with a ciliochoroidal effusion and that this may account for the relative hypotony commonly seen in these eyes despite normal aqueous flow rates. is1eÝIn addition to aqueous egress through the trabecular meshwork, a small percentage of aqueous normally escapes from the eye by an accessory route via the ciliary body, suprachoroid, and sclera.6,103–105 Using a perfusion technique in enucleated monkey eyes, Bill103 found that 20% of labeled fluid passed out of the eye by this uveoscleral route. Using tracer study techniques, Inomata and co-workers6 concluded that aqueous humor has access to the entire surface of the sclera via the suprachoroid and can leave the eye through the porous sclera in substantial quantities. Suguro and colleagues104 found that an experimental cyclodialysis in monkeys resulted in a four-fold increase in uveoscleral outflow, contributing to hypotony. Brubaker and Pederson105 reviewed the pathophysiologic fluid dynamics that lead to ciliochoroidal effusion and ocular hypotony.

UVEAL EFFUSION SYNDROME

The pathogenesis of uveal effusion syndrome may involve a primary scleral abnormality that predisposes the eye to vortex vein obstruction and acts as a barrier to diffusion of extravascular protein out of the eye. The precise scleral abnormality, however, has not yet been elucidated. Certain scleral characteristics that may influence protein and fluid egress from the eye include scleral thickness, scleral composition, and the number of scleral emissary channels.106

Increased scleral thickness (see Figs. 19 and 20) may hamper the escape of aqueous by the uveo-scleral route. Thickened sclera may cause secondary vortex vein compression and has been implicated in the pathogenesis of uveal effusion syndrome95 and in nanophthalmic effusions.12,88,89 Since inflammation and hypotony are absent in uveal effusion syndrome, choroidal fluid dynamics are intrinsically unaltered. Therefore, the accumulation of proteinaceous fluid in the suprachoroidal space may be due to increased resistance to transscleral outflow.106 Impaired venous drainage from the eye, such as may eventuate from thickened sclera and secondary vortex vein compression,58,59 may force transudate into perivascular spaces. In patients with uveal effusion syndrome, Schlemm's canal may fill with blood, indicating elevated venous pressure and delayed choroidal flow as demonstrated by fluorescein angiography.95,99 In one study, the number or caliber of vortex veins was decreased in 68% of uveal effusion syndrome cases during surgery.106 The resultant elevation in tissue colloid osmotic pressure may lead to the accumulation of suprachoroidal fluid, and subsequent RPE decompensation may lead to the development of an exudative retinal detachment.107 Vortex vein compression alone would not be sufficient to produce an effusion: occlusion of all vortex veins in Rhesus monkey eyes was not found to result in clinical or histologic evidence of ciliochoroidal effusion.58 Therefore, decreased transscleral outflow due to diffusely thickened sclera, with secondary vortex vein compression in some cases, may be the primary abnormality.

The increased scleral thickness may be due to abnormal scleral composition in eyes with uveal effusion syndrome. Normally, the sclera consists of small, low-molecular-weight or large, highmolecular-weight glycosaminoglycans, with each form containing some chondroitin sulfate and dermatan sulfate. These substances are hydrophilic and bind water, providing some resistance to the bulk flow of fluid and diffusion of water through the sclera. The increased amount of scleral proteoglycans in uveal effusion syndrome may result from increased production or decreased degradation of normally present proteoglycans. The accumulation of protein-rich fluid within the choroid and suprachoroidal space may result from increased resistance to the bulk transfer of protein across the sclera.108 The elevated intrascleral swelling pressure may hamper vortex venous drainage and perpetuate further uveal engorgement. This may fluctuate with the hydrodynamic volume of the constituent glycosaminoglycans and may be reflected in the swelling pressure of the sclera. Enzyme histochemistry in four cases of uveal effusion syndrome has confirmed that the majority of excess glycosaminoglycan is dermatan sulfate with some elevation in chondroitin sulfate composition.108 Increased scleral quantities of dermatan sulfate may alter collagen fibril diameter.108 Increased scleral glycosaminoglycans and abnormalities of collagen fibril size and arrangement have been reported in a patient with uveal effusion syndrome.109 The abnormal scleral composition may contribute to the increased scleral thickness.

Abnormal scleral composition and thickness have been documented in patients with known systemic disease who have developed a ciliochoroidal effusion. Histopathologic examination of the scleral tissue in a patient with Hunter's syndrome, also known as systemic mucopolysaccharidosis type II, demonstrated abnormal sclera with mucopolysaccharide deposition,110 supporting the theory that increased resistance to transscleral outflow may lead to a ciliochoroidal effusion.106 The effusion in this patient resolved after sclerectomies and sclerostomies.110

The number of scleral emissary channels may also influence protein and fluid egress from the eye.106 Investigations using labeled proteins have demonstrated that colloids injected into the suprachoroidal space normally exit the eye through the sclera itself as well as through perivascular and perineural spaces in scleral emissary channels.6,111,112 A small size or number of these channels may contribute to the reduced exit of transscleral protein in uveal effusion syndrome.106 Gass92 suggested that aging and hormonal changes in the collagen and ground substance of congenitally abnormal sclera may also prevent adequate transscleral protein transport and culminate in uveal effusion syndrome.

NANOPHTHALMOS

The pathophysiology of ciliochoroidal effusion formation in nanophthalmic eyes may also be due to a scleral abnormality that predisposes these eyes to vortex vein obstruction and acts as a barrier to the diffusion of extravascular protein out of the eye. The sclera in these eyes is known to be abnormally thickened; however, the precise scleral abnormality has not yet been elucidated.

The collagenous and glycosaminoglycan composition of the sclera in nanophthalmic eyes reported in the literature provides conflicting information.113–115 Trelstad and associates113 noted that the scleral collagen in these eyes was similar to that in normal eyes with the exception of a fibrogranular material between the collagen bundles. Yue and co-workers,114 however, described a variable collagen fibril diameter along with twisted fibrils. Stewart and colleagues described abnormal collagen in 7 of 10 patients with nanophthalmos; the 3 patients who lacked any collagen abnormality had the largest eyes.115 Of the 7 patients with abnormal collagen, 4 had marked fraying of the fibrils into fine filaments that were only approximately 3 mm in diameter. Nevertheless, all 10 patients had a greater range of collagen fibril diameters than normals, as had been suggested in the earlier study by Yue and associates.14

A defect in glycosaminoglycan metabolism may be partly responsible for abnormal scleral thickness or permeability in nanophthalmic eyes, since the size and organization of collagen fibers may be controlled by the glycosaminoglycan composition of the surrounding matrix.109,113,114,116–119 It has been suggested that increased levels of glycosaminoglycans, such as dermatan sulfate and chondroitin sulfate, present in the sclera of nanophthalmic eyes may contribute to abnormalities of collagen fibrillogenesis.117 Trelstad and co-workers113 studied small portions of sclera removed from nanophthalmic eyes at the time of vortex vein decompression and found an accumulation of glycosaminoglycans and coarse, irregular bundles of collagen. However, Yue and associates114 noted decreased in vitro production of glycosaminoglycans from the sclera cells of a patient with nanophthalmos. The decreased glycosaminoglycan concentration has been postulated to result in abnormal packing of collagen into irregularly interlacing bundles and variable fibril size.114,116,118 In nanophthalmic sclera, there is an increased production of fibronectin.120 Further investigation will be necessary for better elucidation of the precise interaction of these substances and their relationship to ciliochoroidal effusion formation in nanophthalmic eyes.

Back to Top
MANAGEMENT
The management of a patient with a ciliochoroidal effusion varies in accordance with the etiology of the effusion.

IATROGENIC AND TRAUMATIC INJURY

If a ciliochoroidal effusion results from the administration of an oral agent, discontinuation of the offending agent is necessary.11

Certain patients, such as those with nanophthalmos or increased episcleral venous pressure, may be predisposed to intraoperative ciliochoroidal effusion.37 Bellows and co-workers37 have proposed using a prophylactic sclerotomy before surgically opening the eye in these high-risk patients. Intraoperatively, the surgeon can reduce the risk of ciliochoroidal effusion by avoiding rapid decompression of the eye, closing the wound tightly at the end of the procedure, assessing aqueous leakage from a filtering bleb before leaving the operating room, and avoiding manipulation of the vortex veins as much as possible.

If an effusion forms intraoperatively, the management is the same as for an expulsive hemorrhage.62 The first objective is the immediate closure of the wound with forceps or preferably preplaced sutures. Often, closure of the eye is all that is required to allow the intraocular pressure to rise and tamponade the effusion.

After wound closure, management preferences vary. According to Maumenee and Schwartz,36 the intraocular pressure will frequently normalize after 15 to 30 minutes. The wound can then be reopened, and a vitrectomy can be performed, if necessary, with reformation of the anterior chamber. Verhoeff121 advocated immediate sclerotomy and drainage in eyes with an intraoperative expulsive hemorrhage. If the intraocular contents are similarly prolapsed and cannot be reposited in an eye with an intraoperative ciliochoroidal effusion, immediate sclerotomy and drainage of the suprachoroidal fluid may be necessary.

In cases of postoperative ciliochoroidal effusion, conservative management is usually effective, since the postoperative hypotony usually resolves spontaneously within days. Anti-inflammatory agents, such as corticosteroids, have been administered; however, this treatment has not demonstrated a visual benefit.51,122 Nevertheless, an inadvertent cyclodialysis cleft, wound leak, or overly large filtering bleb should be ruled out. If there is no obvious wound leak but a flattened anterior chamber within 2 weeks of surgery, an inadvertent cyclodialysis cleft may be present. It is sometimes possible to visualize the cleft or clefts with gonioscopy.123 External pressure over the site of internal leakage may help the anterior chamber reform and restore its fluid dynamics.43 A cyclodialysis cleft may be closed with the following methods: argon laser photocoagulation,124,125 placement of a row of penetrating diathermy around the area of dialysis,126 or suturing of the ciliary body to the sclera.127 A small wound leak or an overly large filtering bleb may respond to pupillary dilation, aqueous suppressants, and firm patching. A steep bandage lens may be a useful adjunct, or in eyes with filtering blebs, the Simmons shell128 may be used.

If an inadvertent cyclodialysis cleft, wound leak, or overly large filtering bleb have been excluded and 5 or 6 days have passed with no signs of improvement,129 surgery may be indicated. Early signs of macular involvement, pupillary block or lens-corneal touch, retinal-lens apposition, progressive corneal edema, or persistent retinal apposition in a “kissing” ciliochoroidal effusion may prompt surgical intervention (Table 3). Long-term flattening of the anterior chamber may result in peripheral anterior synechiae and secondary glaucoma,40 especially when there is a concurrent low-grade uveitis. A secondary cataract and cyclitic membrane may also form. Retinal adhesions from the apposition of kissing ciliochoroidals and secondary retinal detachment may also occur.130 A persistent ciliochoroidal effusion and hypotony eventually result in phthisis bulbi.

 

TABLE 3. Clinical Features That May Prompt Early Surgical Intervention in Eyes with a Ciliochoroidal Effusion

  Progressive corneal edema
  Pupillary block
  Lens-cornea apposition
  Lens-retina apposition
  Early macular involvement
  Retina-retina apposition

 

Surgical drainage of the effusion is suggested before these complications intervene. To perform a sclerotomy, a 3- to 4-mm radial scleral incision is made into the suprachoroidal space 6 to 8 mm behind the limbus at the site of maximal fluid accumulation. The scleral incision should be made perpendicular to the scleral surface to avoid shelving. The edges of the incision may be supported by a 5-0 nylon mattress suture that will be used to subsequently close the drainage site. Air, sodium hyaluronate, or saline may be added to the anterior chamber in phakic eyes and to the vitreous cavity in aphakic eyes to facilitate drainage through the sclerostomy site, maintain the intraocular pressure, and then tamponade the choroid and ciliary body against the sclera.39,131 If the pupil is dilated widely in phakic eyes, fluid in the anterior chamber may pass into the vitreous cavity as the suprachoroidal fluid drains. The slow, controlled release of fluid may prevent rebound hypotony and reaccumulation of fluid.127 Sufficient fluid is released to deepen the anterior chamber and to allow the ciliary body to assume a more normal position. Additional fluid can be released with insertion of an iris spatula into the wound and carefully probing the suprachoroidal space with its convex edge against the choroid. The scleral wound is left open, and the overlying conjunctiva is closed.

INFLAMMATION

Specific therapy may be instituted for ocular inflammatory disease. Resolution of the inflammatory stimulus with treatment often results in resorption of the effusion.

The various etiologic disorders require individual treatment approaches. Collagen vascular diseases may require systemic corticosteroid therapy. Suprachoroidal and subretinal effusions related to an exacerbation of rheumatoid arthritis may be successfully treated with a combination of prednisolone and cyclophosphamide.68 In pars planitis, corticosteroids should be supplemented with short-acting mydriatics to prevent synechiae formation.70 Vogt-Koyanagi-Harada syndrome is usually self-limited; however, corticosteroids may be beneficial in decreasing the edema when administered early in the course. Despite the uncertain benefits, a course of corticosteroids may be warranted if uveitis is suspected. Nonsteroidal anti-inflammatory agents may be indicated in the treatment of scleritis. When inflammatory signs are present, treatment of scleritis with topical as well as systemic steroids may be helpful in reducing both inflammation and vascular leakage.25

VASCULAR CAUSES

Correction of the underlying vascular etiology of the ciliochoroidal effusion is necessary to promote resorption of the effusion. Eclampsia132 may require induction of labor. Hepatic or renal disease must be identified and treated appropriately. Hypertension must be corrected pharmacologically.

Carotid-cavernous sinus fistulas and dural arteriovenous fistulas may spontaneously thrombose in some patients, resulting in resolution of the effusion; other fistulas may require intervention such as surgical thrombosis or decompression of the cavernous sinus.53

PRIMARY SCLERAL ABNORMALITY: UVEAL EFFUSION SYNDROME AND NANOPHTHALMOS

The natural history of eyes with uveal effusion syndrome, with or without an associated exudative retinal detachment, is unpredictable but often follows a course of gradual visual loss.13 In the face of a wide range of therapeutic efforts,95 apparent cures have been observed, but so have inexorable visual losses. The response of patients to systemic corticosteroids, antimetabolites, laser photocoagulation,13,92,95,133–135 and conventional retinal reattachment procedures75,95,135,136 generally has been unsatisfactory. It has been difficult to evaluate the efficacy of a medical treatment in uveal effusion syndrome, and no specific noninvasive therapy exists because the clinical course is characterized by remissions and exacerbations during the course of years.

The surgical approach to a ciliochoroidal effusion in uveal effusion syndrome and nanophthalmic eyes varies among surgeons.89,91,92,94,95,134 Some perform vortex vein decompression alone, others perform quadrantic partial-thickness scleral resections alone, and others perform both procedures simultaneously. Vortex vein decompression alone was successful in 8 of 10 eyes with nanophthalmic uveal effusion.91 Gass and Jallow94 attempted vortex vein decompression in eyes with uveal effusion syndrome; however, the procedure was technically difficult and thus some veins were surgically transected. Despite transection, the effusion resolved. Gass concluded that it was the full-thickness scleral incision rather than any change in venous outflow that led to resolution. Confirming the validity of Gass's suggestion in92 that sclerectomies be performed in all four quadrants without concurrent vortex vein decompression, Vine110 found that a quadrantic partial-thickness scleral resection with sclerotomies alone was successful in resolving a ciliochoroidal effusion and nonrhegmatogenous detachment in a patient with thickened sclera and Hunter's syndrome. Moreover, quadrantic scleral resection without vortex vein decompression led to resolution of subretinal or ciliochoroidal fluid in 22 of 23 eyes with uveal effusion syndrome,106 in patients with nanophthalmic uveal effusion,90,134,137,138 and in a patient with uveal effusion syndrome.134

Quandrantic partial-thickness resection of thickened sclera may be used prophylactically to prevent effusion in predisposed eyes.15 Prophylactic scleral resection with vortex vein decompression in three patients with nanophthalmos at least 2 months before cataract surgery led to a decreased incidence of postoperative uveal effusion.139

Postoperatively, scar formation may obstruct transscleral outflow and result in a recurrent effusion.138 Repeat sclerectomies with sclerostomies in the same location may be technically challenging and therefore may need to be performed in a new site to achieve successful retreatment of the recurrent effusion.90 Small initial sclerectomies may provide virgin sclera in a previously operated eye requiring repeat sclerectomies.90

MALIGNANCY

If the eye is the only location of any known metastasis, local radiation treatment may be sufficient. If extraocular metastases are also present, however, systemic treatment of the underlying malignancy is necessary. The radiation oncology or oncology divisions must be consulted.

Back to Top
FUTURE INVESTIGATIONS
Further investigation is necessary for better elucidation of the precise nature of the scleral composition in predisposed eyes and the potential mechanisms involved in order to prevent the development of a ciliochoroidal effusion. As more knowledge of this disorder is ascertained, a different classification system will likely evolve that may further clarify the epidemiology, pathophysiology, and management options in these patients.
Back to Top
REFERENCES

1. Spaeth EP, de Long P: Detachment of the choroid: A clinical and histopathologic analysis. Arch Ophthalmol 32:217, 1944

2. Brav SS: Serous choroidal detachment. Surv Ophthalmol 6:395, 1961

3. Von Graefe A: Zur diagnose des beginnenden intraocularen krebses. Graefes Arch Ophthalmol 4:218, 1858

4. Weiter JJ, Ernest JT: Anatomy of the choroidal vasculature. Am J Ophthalmol 78:583, 1974

5. Bill A: Intraocular pressure and blood flow through the uvea. Arch Ophthalmol 67:336, 1962

6. Inomata H, Bill A, Smesler GK: Unconventional routes of aqueous humor outflow in cynomolgus monkey (Macaca irus). Am J Ophthalmol 73:893, 1972

7. Moses RA: Accommodation. In Moses RA (ed): Alder's Physiology of the Eye: Clinical Application, p 313. St. Louis, CV Mosby, 1981

8. Moses RA: Detachment of the ciliary body: Anatomic and physical considerations. Invest Ophthalmol 4:935, 1965

9. Hertz V: Choroidal detachment with notes on scleral depression and pigmented streaks in the retina. Acta Ophthalmol 41(suppl):3, 1954

10. Hyman BN, Hagler WS: Bilateral annular detachment and myopia. Am J Ophthalmol 70:853, 1970

11. Soylev MF, Green RL, Feldon SE: Choroidal effusion as a mechanism for transient myopia induced by hydrochlorothiazide and triamterene. Am J Ophthalmol 120: 395, 1995

12. Kimbrough RL, Trempe CS, Brockhurst RJ, Simmons RJ: Angle-closure glaucoma in nanophthalmos. Am J Ophthalmol 88:572, 1979

13. Schepens CL, Brockhurst RJ: Uveal effusion: I. Clinical picture. Arch Ophthalmol 70:189, 1963

14. Fourman S: Angle-closure glaucoma complicating ciliochoroidal detachment. Ophthalmology 96:646, 1989

15. Jin JC, Anderson DR: Laser and unsutured sclerotomy in nanophthalmos. Am J Ophthalmol 109:575, 1990

16. Koster HR, Liebmann JM, Ritch R et al: Acute angle-closure glaucoma in a patient with acquired immunodeficiency syndrome successfully treated with argon laser peripheral iridoplasty. Ophthalmic Surg 21:501, 1990

17. Nash RW, Lindquist TD: Bilateral angle-closure glaucoma associated with uveal effusion: Presenting sign of HIV infection. Surv Ophthalmol 36:255, 1992

18. Ullman S, Wilson RP, Schwartz L: Bilateral angle-closure glaucoma in association with the acquired immune deficiency syndrome. Am J Ophthalmol 101:419, 1986

19. Dodds EM, Lowder CY, Barnhorst DA et al: Posterior scleritis with annular ciliochoroidal detachment. Am J Ophthalmol 120:677, 1995

20. Quinlan MP, Hitchings RA: Angle-closure glaucoma secondary to posterior scleritis. Br J Ophthalmol 62:330, 1978

21. Brockhurst RJ, Lam KW: Uveal effusion: II. Report of a case with analysis of subretinal fluid. Arch Ophthalmol 90:399, 1973

22. Verhoeff FH: The nature and origin of the pigmented streaks caused by separation of the choroid. JAMA 92:1873, 1931

23. Gottlieb F: Combined choroidal and retinal detachment. Arch Ophthalmol 88:481, 1972

24. Graham PA: Unusual evolution of retinal detachments. Trans Ophthalmol Soc UK 78:359, 1958

25. Seelenfreund MH, Kraushar MF, Schepens CL et al: Choroidal detachment associated with primary retinal detachment. Arch Ophthalmol 91:254, 1974

26. Ferry AP: Lesions mistaken for malignant melanoma of the posterior uvea. Arch Ophthalmol 92:463, 1964

27. Hagen S: Die serose postoperative Choroideallablosung und ihre pathogenese. Klin Monatsbl Augenheilkd 66: 121, 1921

28. Shields JA, Leonard BC, Sarin LK: Multilobed uveal melanoma masquerading as postoperative choroidal detachment. Br J Ophthalmol 60:386, 1976

29. Coleman DJ: Ocular diagnosis. In Coleman DJ, Lizzi FL, Jack RL (eds): Ultrasonography of the Eye and Orbit. Philadelphia, Lea & Febiger, 1977

30. Wing GL, Schepens CL, Trempe CL: Serous choroidal detachment and the thickened-choroid sign detected by ultrasonography. Am J Ophthalmol 94:499, 1982

31. Peyman GA, Mafee M, Schulman J: Computerized tomography in choroidal detachment. Ophthalmology 91:156, 1984

32. Rosen E, Lyne A: Uveal effusions: I. A clinical picture. Am J Ophthalmol 65:509, 1968

33. Villaseca A: Late emptying of anterior chamber and choroidal detachment in cataract operations. Arch Ophthalmol 52:250, 1954

34. Ruiz RS, Salmonsen PC: Expulsive choroidal effusion. Arch Ophthalmol 94:69, 1975

35. Campbell JK: Expulsive choroidal hemorrhage and effusion: A reappraisal. Ann Ophthalmol 12:332, 1980

36. Maumenee AE, Schwartz MF: Acute intraoperative choroidal effusion. Am J Ophthalmol 100:147, 1985

37. Bellows AR, Chylack LT Jr, Hutchinson BT: Choroidal detachment. Ophthalmology 88:1107, 1981

38. Fuchs E: Ablosung der Aderhaut nach Staaroperation. Arch Ophthalmol 51:199, 1900

39. Bard LA: Eyes with choroidal detachments removed for suspected melanoma. Arch Ophthalmol 73:320, 1965

40. Cotlier E: Aphakic flat anterior chamber: III. Effect of inflation of the anterior chamber and drainage of choroidal detachments. Arch Ophthalmol 88:16, 1972

41. McClure HL: Massive bilateral choroidal detachment occurring in an aphakic patient six years and nine months postoperatively. Am J Ophthalmol 63:295, 1967

42. Shah RR: Flat anterior chamber and choroidal detachment in aphakia: Study of 500 cataract extractions. Br J Ophthalmol 55:48, 1971

43. Savir H: Expulsive choroidal effusion during cataract surgery. Ann Ophthalmol 11:113, 1979

44. Swyers EM: Choroidal detachment immediately following cataract extraction. Arch Ophthalmol 88:632, 1972

45. Rosengren B: Aqueous leakage through the uveal vessels: A factor in choroidal detachment? Acta Ophthalmol 48:901, 1970

46. Janotka H, Huczynska B: Choroidal detachment following cataract extraction. Klin Oczna 42:743, 1972

47. Pederson JE, Gaasterland DE, McClean HM: Experimental ciliochoroidal detachment: Effect on intraocular pressure and aqueous humor flow. Arch Ophthalmol 97:536, 1979

48. Sakai T, Tamashita S: Choroidal detachment after glaucoma surgery. Folia Ophthalmol Japan 19:174, 1968

49. Ursin KY: On spontaneous choroidal detachment after acute glaucoma in the light of an exceptional case. Acta Ophthalmol 43:751, 1965

50. Hawkins WR, Schepens CL: Choroidal detachment and retinal surgery. Am J Ophthalmol 62:813, 1966

51. Packer AJ, Maggiano JM, Aaberg TM et al: Serous choroidal detachment after retinal detachment surgery. Arch Ophthalmol 101:1221, 1983

52. Kishimoto M: Choroidal detachment after retinal detachment surgery. Folia Ophthalmol Japan 17:569, 1966

53. Chignell AH: Choroidal detachment following retinal detachment surgery without drainage of subretinal fluid. Am J Ophthalmol 78:860, 1972

54. Topilow HW, Ackerman AL: Massive exudative retinal and choroidal detachments following scleral buckle surgery. Ophthalmology 90:143, 1983

55. Huamonte FU, Peyman GA, Goldberg MF: Immediate fundus complications after retinal scatter photocoagulation. Ophthalmic Surg 7:88, 1976

56. Weiter JJ, Brockhurst RJ, Tolentino FI: Uveal effusion following panretinal photocoagulation. Ann Ophthalmol 11:1723, 1979

56a. Gentile RC, Stegman Z, Liebmann JM et al: Risk factors for ciliochoroidal effusion after panretinal photocoagulation. Ophthalmology 103:827, 1996

57. Vela MA, Campbell DG: Hypotony and ciliochoroidal detachment following pharmacologic aqueous suppressant therapy in previously filtered patients. Ophthalmology 92:50, 1985

58. Hayreh SS, Baines JAB: Occlusion of the vortex veins: An experimental study. Br J Ophthalmol 57:217, 1973

59. Dotan S, Oliver M: Shallow anterior chamber and uveal effusion after nonperforating trauma to the eye. Am J Ophthalmol 94:782, 1982

60. Woillez M, Dufour ABD, Guilbert M: Le decollement annulaire inflammatoire. Bull Soc Ophtalmol Fr 67:822, 1967

61. McGrand JC: Choroidal detachment in aphakic uveitis. Br J Ophthalmol 53:778, 1969

62. Kanter PJ, Goldberg MF: Bilateral uveitis with exudative retinal detachment. Arch Ophthalmol 91:13, 1974

63. Gamringer H, Schreck E, Wollensak J: Zur pathogenese und therapie der cyclitis anularis ersudative pseudotumorosa. Klin Monatsbl Augenheilkd 135:638, 1959

64. DeLuise VP, Clark SW III, Smith JL et al: Syphilitic retinal detachment and uveal effusion. Am J Ophthalmol 94:757, 1982

65. Green WR: The uveal tract. In Spencer WH (ed): Ophthalmic Pathology, Vol 3, pp 1778–1791. Philadelphia, WB Saunders, 1986

66. Groenouw A: Choroiditis disseminata sympathetica nach Iridectomie des anderen Auges. Klin Monatsbl Augenheilkd 76:694, 1962

67. de Veer JA: Sympathizing eye in sympathetic ophthalmia. Arch Ophthalmol 48:723, 1952

68. Hurd ER, Snyder WM, Ziff M: Choroidal nodules and detachments in rheumatoid arthritis. Am J Med 48:273, 1970

69. Brockhurst RJ, Schepens CL, Okamura ID: Uveitis: II. Peripheral uveitis: Clinical description, complications and differential diagnosis. Am J Ophthalmol 49:1257, 1960

70. Brockhurst RJ, Schepens CL, Okamura ID: Uveitis: III. Peripheral uveitis: Etiology and treatment. Am J Ophthalmol 51:19, 1961

71. Kimura R, Sakai M, Okabe H: Transient shallow anterior chamber as initial symptom of Harada's syndrome. Arch Ophthalmol 99:1604, 1981

72. Muirhead WM: Disease of the conjunctiva: Case of subconjunctival abscess associated with a detachment of the choroid. Trans Ophthalmol Soc UK 54:578, 1934

73. Ryan SJ, Zimmerman LE, King FM: Reactive lymphoid hyperplasia: An unusual form of intraocular pseudotumor. Trans Am Acad Ophthalmol Otolaryngol 76:652, 1972

74. Preisler E: Spontaneous choroidal detachment. Acta Ophthalmol 42:657, 1964

75. Simpson ER, Adams ST: Spontaneous uveal effusions. Can J Ophthalmol 5:41, 1970

76. Van Alphen GWHM: On emmetropia and ametropia. Ophthalmologica 142:49, 1961

77. Velzeboer J Jr: Spontaneous choroidal detachment. Am J Ophthalmol 49:898, 1960

78. Sears ML: Choroidal and retinal detachments associated with scleritis. Am J Ophthalmol 58:764, 1964

79. Austin D, Green WR, Sallyer DC et al: Peripheral corneal degeneration and occlusive vasculitis in Wegener's granulomatosis. Am J Ophthalmol 85:311, 1978

80. Nanjiani MR: Ocular manifestations of polyarteritis nodosa. Br J Ophthalmol 51:696, 1967

81. Vancea P, Popa G, Vaighel V, Gavrilita L: Périartérite noueuse a localisation oculaire. Ann Ocul 195:632, 1962

82. Suan EP, Rubsamen PE, Byrne SF: Bilateral ciliochoroidal detachments after Valsalva maneuver. Arch Ophthalmol 111:304, 1993

83. Wald KJ, Brockhurst RJ, Roth S, Bodine SR: Choroidal effusions in two patients with glomerulonephritis. Ann Ophthalmol 24:64, 1992

84. Harbison JW, Guerry D, Weisinger H: Dural arteriovenous fistula and spontaneous choroidal detachment: New cause of an old disease. Br J Ophthalmol 62:483, 1978

85. Woillez M, Dufour ABD: Decollement annulaire anterieure de la chorio-retine après fistule carotidocaverneuse. Bull Soc Ophtalmol Fr 67:819, 1967

86. Guerry III D, Harbison JW, Weisinger H: Bilateral choroidal detachment and fluctuating proptosis secondary to bilateral dural arteriovenous fistulas treated with transcranial orbital decompression with resolution: Report of a case. Trans Am Ophthalmol Soc 73:64, 1975

87. Kreiger AE, Meyer D, Smith T, Reimer K: Metastatic carcinoma to the choroid with choroidal detachment. Arch Ophthalmol 82:209, 1969

88. Brockhurst RJ: Nanophthalmos with uveal effusion. Trans Am Ophthalmol Soc 72:371, 1974

89. Brockhurst RJ: Nanophthalmos with uveal effusion: A new clinical entity. Arch Ophthalmol 93:1289, 1975

90. Good WV, Stern WH: Recurrent nanophthalmic uveal effusion syndrome following laser trabeculoplasty. Am J Ophthalmol 106:234, 1988

91. Brockhurst RJ: Vortex vein decompression for nanophthalmic uveal effusion. Arch Ophthalmol 98:1987, 1980

92. Gass JDM: Uveal effusion syndrome: A new hypothesis concerning pathogenesis and technique of surgical treatment. Retina 3:159, 1983

93. Singh OS, Simmons RJ, Brockhurst RJ et al: Nanophthalmos: A perspective on identification and therapy. Ophthalmology 89:1006, 1982

94. Gass JDM, Jallow S: Idiopathic serous detachment of the choroid, ciliary body and retina (uveal effusion syndrome). Ophthalmology 89:1018, 1982

95. Richardson J, Walsh M: Uveal effusion as a sign of myxedema. Br J Ophthalmol 53:557, 1969

96. McDonald PR, de la Paz V Jr, Sarin LK: Nonrhegmatogenous retinal separation associated with choroidal detachment. Trans Am Ophthalmol Soc 62:226, 1964

97. Capper SA, Leopold IH: Mechanism of serous choroidal detachment. Arch Ophthalmol 55:101, 1956

98. Chylack LT Jr, Bellows AR: Molecular sieving in suprachoroidal fluid formation in man. Invest Ophthalmol 17:420, 1978

99. Wilson RS, Hanna C, Morris MD: Idiopathic chorioretinal effusions: An analysis of extracellular fluids. Ann Ophthalmol 9:647, 1977

100. Lam WK, Lee PF, Ray GS et al: Albumin-bound bilirubin in subchoroidal fluid. Arch Ophthalmol 97:149, 1979

101. Chandler PA, Maumenee AE: A major cause of hypotony. Am J Ophthalmol 52:609, 1961

102. Brubaker RF, Pederson JE, Mayo Clinic, Personal communication, August 1985

103. Bill A: The aqueous humor drainage mechanism in the cynomolgus monkey (Macaca irus) with evidence for unconventional routes. Invest Ophthalmol 4:911, 1965

104. Suguro K, Toris C, Pederson JE: Uveoscleral outflow following cyclodialysis in the monkey eye using a fluorescent tracer. Invest Ophthalmol Vis Sci 26:810, 1985

105. Brubaker RF, Pederson JE: Ciliochoroidal detachment. Surv Ophthalmol 27:281, 1983

106. Johnson MW, Gass JDM: Surgical management of the idiopathic uveal effusion syndrome. Ophthalmology 97:778, 1990

107. Schwartz A: Retinal detachment surgery. Ophthalmol Dig 13(2), 1975

108. Forrester JV, Lee WR, Kerr PR et al: The uveal effusion syndrome and trans-scleral flow. Eye 4:354, 1990

109. Ward RC, Gragoudas ES, Pon DM et al: Abnormal scleral findings in the uveal effusion syndrome. Am J Ophthalmol 106:139, 1985

110. Vine AK: Uveal effusion in Hunter's syndrome: Evidence that abnormal sclera is responsible for the uveal effusion syndrome. Retina 6:57, 1986

111. Bill A: Movement of albumin and dextran through the sclera. Arch Ophthalmol 74:248, 1965

112. Bill A, Phillips CL: Uveoscleral drainage of aqueous humour in human eyes. Exp Eye Res 12:275, 1971

113. Trelstad RL, Silbermann NN, Brockhurst RJ: Nanophthalmic sclera: Ultrastructural, histochemical and biochemical observations. Arch Ophthalmol 100:1935, 1982

114. Yue BYJT, Duvall J, Goldberg MF et al: Nanophthalmic sclera: Morphologic and tissue culture studies. Ophthalmology 93:534, 1986

115. Stewart DH, Streeten BW, Brockhurst RJ et al: Abnormal scleral collagen in nanophthalmos: An ultrastructural study. Arch Ophthalmol 109:1017, 1991

116. Birk DE, Silver FH: Kinetic analysis of collagen fibrillogenesis: II. Corneal and scleral type I collagen. Coll Relat Res 4:265, 1984

117. Kawamura M, Tajima S, Azuma N et al: Biochemical studies of glycosaminoglycans in nanophthalmic sclera. Graefes Arch Clin Exp Ophthalmol 233:58, 1995

118. Myers DB, Highton TC, Ryans DG: Ruthemium red-positive filaments interconnecting collagen fibrils. J Ultrastruct Res 42:87, 1973

119. Borcherding MS, Blacik LJ, Sittig RA et al: Proteoglycans and collagen fibre organization in human corneoscleral tissue. Exp Eye Res 21:59, 1975

120. Yue BYJT, Kurosawa A, Duvall J et al: Nanophthalmic sclera: Fibronectin studies. Ophthalmology 95:56, 1988

121. Verhoeff FH: Scleral puncture for expulsive choroidal hemorrhage following sclerectomy. Ophthalmic Res 24: 55, 1915

122. Valone J Jr, Moser D: Management of rhegmatogenous retinal detachment with macula detached: Steroids, choroidal detachment, and acuity. Ophthalmology 93:1413, 1986

123. Grant WM, Chandler PA: An arrangement for gonioscopy during surgery. Arch Ophthalmol 52:454, 1954

124. Harbin TS Jr: Treatment of cyclodialysis clefts with argon laser photocoagulation. Ophthalmology 89:1082, 1982

125. Partamian LG: Treatment of a cyclodialysis cleft with argon laser photocoagulation in a patient with a shallow anterior chamber. Am J Ophthalmol 99:5, 1985

126. Maumenee AE, Stark WJ: Management of persistent hypotony after planned or inadvertent cyclodialysis. Am J Ophthalmol 71:320, 1971

127. Shea M, Medrick EB: Ciliary body reattachment in ocular hypotony. Arch Ophthalmol 99:278, 1981

128. Simmons RJ, Kimbrough RL: Shell tamponade in filtering surgery for glaucoma. Ophthalmic Surg 10:17, 1979

129. Bellows AR, Chylack LT Jr, Epstein DL, Hutchinson BT: Choroidal effusion in glaucoma surgery in patients with prominent episcleral vessels. Arch Ophthalmol 97:493, 1979

130. Berrocal J: Adhesion of the retina secondary to large choroidal detachment as a cause of failure in retinal detachment surgery. Mod Probl Ophthalmol 20:51, 1979

131. Cadera W, Willis R: Sodium hyaluronate for postoperative aphakic choroidal detachment. Can J Ophthalmol 17: 274, 1982

132. Gitter KA, Houser BP, Sarin LK et al: Toxemia of pregnancy: An angiographic interpretation of fundus changes. Arch Ophthalmol 57:217, 1973

133. Davies EWG: Annular serous choroidal detachment. Mod Probl Ophthalmol 20:2, 1979

134. Casswell AG, Gregor ZJ, Bird AC: The surgical management of uveal effusion syndrome. Eye 1:115, 1987

135. Brockhurst RJ: Ciliochoroidal (uveal) effusion. In Ryan SJ (ed): Retina, Vol 2, pp 729–734. St. Louis, CV Mosby, 1989

136. Pollalis S, Tragakis M: Idiopathic choroidal detachment. Mod Probl Ophthalmol 20:23, 1979

137. Allen KM, Meyers SM, Zegarra H: Nanophthalmic uveal effusion. Retina 8:145, 1988

138. Morita H, Funata M, Kusakari T et al: Recurrence of nanophthalmic uveal effusion. Ophthalmologica 207:30, 1993

139. Brockhurst RJ: Cataract surgery in nanophthalmic eyes. Arch Ophthalmol 108:965, 1990

Back to Top