Chapter 65
Degeneration and Atrophy of the Iris
DEEPAK P. EDWARD
Main Menu   Table Of Contents

Search

PATHOLOGY OF IRIS ATROPHY
CAUSES AND CLINICAL FEATURES
AGE-RELATED CHANGES
CLINICAL FEATURES
TREATMENT
PRIMARY IRIS ATROPHIES
SECONDARY IRIS ATROPHIES
OTHER SECONDARY ATROPHIES
REFERENCES

PATHOLOGY OF IRIS ATROPHY
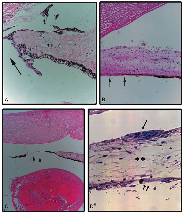
Pathologic changes in the iris and consequent clinical appearance may vary depending on the layer of the iris involved. Iris stromal atrophy causes stromal thinning and results in loss of iris crypts and the surface texture. Also accompanying degeneration or loss of stromal melanocytes might alter the color of the iris. Degenerative changes may include loss of normal iris stroma being replaced collagenous tissue that might appear whitish in color on slit lamp examination (Fig. 1A). Iris atrophy may be limited to the iris pigment epithelial layer (Fig. 1B). This may be seen in conditions such as pigmentary glaucoma,1 diabetic changes2 in the iris as well as chafing of the posterior iris surface after sulcus implantation of an intraocular lens3,4 (Fig. 1C). Such localized atrophy of the iris pigment epithelium would clinically show normal or slightly altered anterior iris and the presence of transillumination defects in the iris. Iris atrophy might also involve both stroma and the iris pigment epithelium where there might be focal or generalized loss of both layers giving a moth-eaten appearance to the iris or polycoria such as is seen in iridocorneal endothelial syndrome5 (Fig. 1D).

Fig. 1. Microphotographs. A. Atrophic edge of iris following a peripheral iridectomy (arrow). Note the loss of melanocytes with areas of stromal collagen deposition. Clinically the iris would show hypopigmentation without transillumination defects. B. Iris pigment epithelial atrophy in diabetes mellitus. The iris stroma is preserved with patchy atrophy of the iris pigment epithelium (arrows), which would clinically correspond to a transillumination defect. C. Iris chafing from a sulcus fixated intraocular lens resulting in localized iris atrophy of the stroma and the pigmented epithelium (arrows). Sommerings ring is also seen (**). The intraocular lens is dissolved during processing. D. The iris in Cogan Reese syndrome. Note melanocytic plaque on the iris surface (single arrow), atrophic stroma (*) and pigment epithelium (double arrows). (© University of Illinois at Chicago.)

Back to Top
CAUSES AND CLINICAL FEATURES
Table 1 lists the specific forms and causes of iris atrophy. Specific forms of iris atrophy and their clinical presentations are described below.

 

Table 1. Causes of Iris Atrophy and Degeneration

Congenital, familial, genetic,age-related
a. Congenital—autosomal dominant
b. Familial iridoschisis
c. Congenital hypoplasia of iris stroma67
d. Axenfeld-Reiger anomaly/syndrome65
e. Arteriohepatic dysplasia (Alagille's syndrome)62
f. Oculocerebral hypopigmentation syndrome (Cross syndrome)63
g. Incontinentia pigmenti66
h. Age-related iris atrophy
Postinflammatory
a. All forms of chronic iridocyclitis
b. Herpes zoster
c. Herpes simplex
d. Acquired syphilis
e. Leprosy and tuberculosis
f. Onchocerciasis64
Ischemia
a. Acute angle closure glaucoma
b. Carotid-cavernous fistula
c. Hemoglobin sickle cell C disease
d. Occlusive artery disease
e. Trauma
f. Anterior segment ischemia syndrome
g. Takayasu's syndrome
Glaucoma
a. Angle-closure glaucoma
b. Primary open angle glaucoma
c. Pigmentary glaucoma
d. Exfoliation syndrome
Surgical
a. Following anterior segment surgery
b. Intraocular lens related
c. Laser surgery in ROP
d. Radiation and thermotherapy
Iridocorneoendothelial syndromes
a. Chandler syndrome
b. Essential iris atrophy
c. Iris-nevus syndrome (Cogan-Reese syndrome)
Neurogenic
a. Neurosyphilis
MetabÏolic/Toxic
a. Posterior pigment layer is swollen and degenerated
    i. Diabetes mellitus
    ii. Hurler syndrome
b. Use of quinine, chloramines, mustard gas


 

Back to Top
AGE-RELATED CHANGES
Atrophy of both the iris stroma and the pigment epithelial layer occurs as a natural aging process. Elderly patients may note a change in the iris to a more blue color but these changes are usually not symptomatic.
Back to Top
CLINICAL FEATURES
On slit-lamp biomicroscopy, a generalized thinning of the iris stroma, flattening of the architecture and a disappearance of the crypts, especially in the pupillary zone is noted (Fig. 2). The brown sphincter muscle becomes visible, and the entire pigment epithelial layer is easily seen. The pigment epithelial layer itself may show diffuse depigmentation and, occasionally, focal areas of proliferation. The pupillary ruff often develops a moth-eaten appearance; granules of pigment may be seen scattered over the anterior iris surface, the anterior lens capsule, the endothelial surface of the cornea, and the trabecular meshwork. The red fundus reflex may be seen through the patchy areas of iris atrophy.

Fig. 2. Age-related iris atrophy. Note the extensive stromal atrophy with the iris pigment epithelium easily seen in the areas of atrophy. (© University of Illinois at Chicago.)

Functional changes are not clinically significant, although the so-called senile miosis and relative immobility of the pupil are common findings. The causes of these findings are probably related to hyalinization of the stroma and preferential atrophy of the dilator muscle, which arises from the iris pigment epithelium. These senile changes are believed to occur more frequently and earlier in eyes with pseudoexfoliation of the lens capsule.

Back to Top
TREATMENT
Complications do not result from these changes, and no therapy is warranted except for reassuring the patient that the change in iris color does not represent any disease process.
Back to Top
PRIMARY IRIS ATROPHIES

IRIDOSCHISIS

Clinical Features

Iridoschisis is a rare condition that involves the iris stroma. The term iridoschisis is used when there is a split causing a cleft to occur in the iris stroma. The iris pigment epithelium and dilator muscle posteriorly are unremarkable. Histopathology including transmission electron microscopy shows marked atrophy of the iris stroma with separation of its anterior and posterior layer. The iris vasculature appears unremarkable.6,7

Iridoschisis mainly occurs in elderly8–10 but isolated cases have been reported in young patients after concussive injury.11 It has also been reported to occur as a familial condition,12 has been associated with microphthalmos,13,14 interstitial keratitis,14,15 use of miotics,8 keratoconus,16 and lens subluxation.17

Slit-lamp examination reveals iris stromal fibers and blood vessels that remain attached to one portion of the iris with the loose ends floating freely in the anterior chamber, producing the so-called shredded-wheat appearance. The location of iridoschisis is often inferior (Fig. 3).

Fig. 3. Iridoschisis located inferiorly. Note the split stromal fibers floating in the anterior chamber. (© University of Illinois at Chicago.)

Iridoschisis may be associated with glaucoma in approximately 50% of the patients.8,18 The role of glaucoma in the pathogenesis of iridoschisis is, however, controversial. It has been hypothesized that iridoschisis may result in a secondary form of glaucoma where the ruptured stromal fibers form anterior synechiae that block trabecular outflow.19 Others believe that the schisis in the iris is a result of iris stromal ischemia following acute elevation of intraocular pressure. Ultrasound biomicroscopy demonstrates narrowing of the angle, diffuse or discrete iris stromal changes with intact pigment epithelium in familial iridoschisis and it is suggested that such patients may be predisposed to angle closure glaucoma.20

Treatment

Except for being alert to the possible relationship to angle-closure glaucoma, no specific therapy is warranted for iridoschisis.

IRIDOCORNEAL ENDOTHELIAL SYNDROME

Etiology

Iridocorneal endothelial syndrome (ICE) denotes a spectrum of ocular disorders that includes progressive essential iris atrophy, Chandler's syndrome, and iris-nevus syndrome of Cogan-Reese.5,21–26 It is included in this chapter because these ocular disorders were previously referred to as the essential iris atrophies.

The defect appears to be an abnormality of the corneal endothelium, that results in endothelial cell proliferation causing a monolayer of endothelial cells with an underlying basement membrane to extend across the anterior chamber angle and onto the anterior surface of the iris.27–29 The contracture of the membrane results in iris atrophy and defects as well as the peripheral anterior synechiae that causes secondary glaucoma.

An inflammatory and/or viral process has been implicated in the pathogenesis of the syndrome. Alvarado et al.30 used the polymerase chain reaction to detect herpes simplex virus DNA in corneal specimens with the ICE syndrome and the herpes simplex virus (HSV) was also isolated from the aqueous humor of a patient with ICE syndrome.31 Endothelial cell metaplasia is demonstrated in corneal specimens with ICE syndrome as shown by expression of various cytokeratins that are expressed in the corneal endothelium.32,33

Clinical Features

It is the appearance of the iris that divides this spectrum of diseases into clinical variations.34 The most familiar form is progressive iris atrophy or essential iris atrophy in which there is marked corectopia, extensive and progressive atrophy of the iris producing a pseudopolycoria (Fig. 4A).22,27,28 In Chandler's syndrome, the iris shows only mild stromal atrophy and/or corectopia with predominant corneal changes.25 In the iris-nevus syndrome of Cogan-Reese, nodular or diffuse pigmented lesions are present on the surface of the iris in association with varying degrees of corectopia and atrophy of the iris (Fig. 4B).24,26 In the iris-nevus syndrome, these benign lesions of the iris may be confused with malignant melanoma.

Fig. 4. A. The iris in essential iris atrophy. Note the extensive stromal atrophy with strands of iris remaining superiorly. There is corectopia with preservation of the collarette and pupil. B. Cogan Reese syndrome. Note the melanocytic lesions (arrows) and the area of iris atrophy (*). (© University of Illinois at Chicago.)

Although there is some overlapping of findings in this group of disorders, the complaint of the patient depends on which variant dominates. For example, in progressive iris atrophy, the complaint is the change in the appearance of the iris (i.e., polycoria); in Chandler's syndrome, the patient complains of visual disturbance secondary to the corneal edema; in iris-nevus syndrome, the acquired heterochromia is the usual complaint.

Examination of these patients reveals the aforementioned iris changes, and common to all variants is the peripheral anterior synechiae and secondary glaucoma. On slit-lamp biomicroscopy there is a fine, stippled appearance of the posterior cornea resembling fine-hammered silver, similar to but less coarse than that of Fuchs' dystrophy. Clinical specular microscopy often reveals the abnormality of the corneal endothelial cells, characterized by variable degrees of pleomorphism in size and shape.29–35 Unilateral desquamating endotheliopathy may represent an incipient form or a form fruste of the iridocorneal endothelial syndrome.36

Treatment

Management is directed to control of the corneal edema and the secondary glaucoma. The corneal edema if present is first treated by medical means (hypertonic saline) and may in due course may need penetrating keratoplasty. Management of the secondary glaucoma is challenging and is first treated with topical medications to control the elevated intraocular pressure. Such patients might eventually need filtration surgery or a seton procedure. Multiple procedures are often needed to achieve successful control intraocular pressure.37,38

Back to Top
SECONDARY IRIS ATROPHIES

INFLAMMATORY AND TRAUMATIC

A diffuse atrophy often follows inflammatory diseases of the iris, including Fuchs' heterochromic uveitis,39,40 nonspecific iritis (Fig. 5), herpes zoster,41,42 and herpes simplex.43 The iris becomes gray and dull, as in senile atrophy, but the pigment epithelium is usually more resistant to these changes. In fact, ectropion uveae is a common finding. Aggregations of pigment are often seen scattered on the various tissues of the anterior segment, and sclerosed white lines often replace the vessels.

Fig. 5. Iris stromal atrophy in chronic iridocyclitis. (© University of Illinois at Chicago.)

Segmental iris atrophy might also occur from anterior segment inflammation45 This has been most commonly described with herpes zoster virus41,42 (Fig. 6A) and also been seen after herpes simplex,43 bee stings,44 and cytomegalovirus infections.45 The atrophy at times is limited to a focal segment and holes may result. Focal iris atrophy may also be seen in granulomatous disease such as tuberculosis and syphilis. A wide variety of atrophic iris changes may be seen in leprosy.46 The findings that best distinguish these postinflammatory secondary atrophies from mere senile atrophy are the presence of anterior and posterior synechiae.

Fig. 6. A. Sector iris atrophy (arrow) after herpes zoster iridocyclitis. B. Sphincter ruptures (arrows) and dilated pupil after blunt trauma. (© University of Illinois at Chicago.)

The iris atrophy that follows trauma resembles that which occurs after inflammation, although distortion of the pupil is more common as a results of sphincter tears (Figure 6B).

SURGICAL

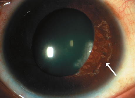
One of the more common reasons for focal iris atrophy in recent years is found in eyes that have undergone extracapsular cataract extraction with placement of an intraocular lens implant.45,47 This is an erosion phenomenon that occurs with anterior chamber lens and sulcus fixated lens (Fig. 7).48,49 Iris atrophy is also seen commonly around surgical or laser iridectomies.

Fig. 7. Iris atrophy with transillumination defects (arrow) after extracapsular cataract surgery with a sulcus fixated intraocular lens. (© University of Illinois at Chicago.)

More recently inadvertent iris burns resulting in iris atrophy have been seen after laser treatment to the posterior pole (Fig. 8) and focal atrophy after thermotherapy for retinoblastomas.50

Fig. 8. Focal iris atrophy and sphincter damage (arrow) after laser photocoagulation of the posterior segment. (© University of Illinois at Chicago.)

GLAUCOMATOUS

Segmental iris atrophy associated with slight dilatation and irregularity of the pupil is characteristic after an acute attack of angle-closure glaucoma.51 The segmental nature is secondary to necrosis of the sphincter muscle (Fig. 9). A splitting of the stroma may occur (iridoschisis), and/or hole formation may ensue.

Fig. 9. Iris atrophy after acute angle closure glaucoma. Note the peripupillary iris atrophy and sphincter damage (arrows) associated with posterior synechiae. (© University of Illinois at Chicago.)

Iris atrophy may also be associated with pigmentary glaucoma and pigment dispersion syndrome where peripheral radial transillumination defects representing iris pigment epithelial atrophy are noted.52 In addition exfoliation syndrome may be associated with atrophic changes of the iris at the pupillary border with associated transillumination defects.53,54

NEUROGENIC

In neurogenic atrophy, such as in association with neurosyphilis or lesions of the ciliary ganglion, the atrophy may start as an alteration in the pigmentation, either depigmentation or focal areas of hyperpigmentation. Thereafter, patchy or generalized atrophy of the stroma develops. In patchy atrophy the pupil is irregular and the part of the pupil corresponding to the atrophic zone has the greatest radius of curvature.55

ISCHEMIC

Ischemic atrophy is best characterized by the discrete focal white patches of stromal atrophy occurring at the pupil or between the pupillary margin and the collarette.40–42 It may be associated with sickle cell disease (Fig. 10) and other causes of anterior segment ischemia.56–58 Hypoperfusion can produce a patchy stromal atrophy with secondary micro-neovascularization,59 and an acute primary ischemic iris atrophy can occur with occlusion of the greater vascular circle of the iris.60 An ischemic form of atrophy has also been described with quinine toxicity.61

Fig. 10. Segmental iris atrophy (arrow) in sickle cell disease. (© University of Illinois at Chicago.)

COMPLICATIONS

In all the secondary atrophies, the important clinical complication to keep in mind is the development of synechiae and the potential consequent problems such as pupillary block glaucoma after extensive posterior synechiae or chronic secondary glaucoma as a result of extensive peripheral anterior synechiae.

Back to Top
OTHER SECONDARY ATROPHIES
Iris atrophy has also been reported to accompany a number of congenital diseases (Table 1) such as arteriohepatic dysplasia (Alagille's syndrome)63 and oculocerebral hypopigmentation syndrome (Cross syndrome).64
Back to Top
REFERENCES

1. Fine BS, Yanoff M, Scheie HG: Pigmentary “glaucoma”: A histologic study. Trans Am Acad Ophthalmol Otolaryngol 78):OP314, 1974

2. Voutilainen-Kaunisto R, Niskanen L, Uusitupa M, et al: Iris transluminance in type 2 diabetes. Acta Ophthalmol Scand 80:64, 2002

3. McDonnell PJ, Green WR, Maumenee AE, et al: Pathology of intraocular lenses in 33 eyes examined postmortem. Ophthalmology 90:386 1983

4. Sutton GA, Barry DR: Histopathological changes after pseudophakos. Ophthalmologica 180:228, 1980

5. Rodrigues MM, Jester JV, Richards R, et al: Essential iris atrophy. A clinical, immunohistologic, and electron microscopic study in an enucleated eye. Ophthalmology 95:69, 1988

6. Albers EC, Klein BA: Iridoschisis: A clinical and histopathologic study. Am J Ophthalmol 46:794, 1958

7. Rodrigues MC, Spaeth GL, Krachmer JH, et al: Iridoschisis associated with glaucoma and bullous keratopathy. Am J Ophthalmol 95:73, 1983

8. Payne T, Thomas R: Iridoschisis. Am J Ophthalmol 62:966, 1966

9. Mills PV: Iridoschisis. Br J Ophthalmol 51:158, 1967

10. Maltzman BA, Cinotti AA, Phillips AA: Secondary glaucoma associated with traumatic iridoschisis. Glaucoma 3:107, 1981

11. Mansour AM: A family with iridoschisis, narrow anterior chamber angle, and presenile cataract. Ophthalmic Paediatr Genet 7:145, 1986

12. Summer CG, Doughman DJ, Letson RD, et al: Juvenile iridoschisis and microphthalmos. Am J Ophthalmol, 100:437, 1989

13. Johnson M R, Bachynski BN: Juvenile iridoschisis and microphthalmos. Am J Ophthalmol 101:742, 1986

14. Foss AJ, Hykin PG, Benjamin L: Interstitial keratitis and iridoschisis in congenital syphilis. J Clin Neuro Ophthalmol 12:167, 1992

15. Pearson PA, Amrien JM, Baldwin LB, et al: Iridoschisis associated with syphilitic interstitial keratitis. Am J Ophthalmol 107:88, 1989

16. Hersh PS: Iridoschisis following penetrating keratoplasty for keratoconus. Cornea 13:545, 1994

17. Agrawal S, Agrawal J, Agrawal TP: Iridoschisis associated with lens subluxation. J Cataract Refract Surg 27:2044, 2001

18. Salmon JF, Murray AD: The association of iridoschisis and primary angle closure glaucoma. Eye 6:267, 1992

19. Yanoff M, Fine BS: Ocular Pathology: Text and Atlas, 2nd ed. Philadelphia, Harper and Row, 1982, p. 763.

20. Danias J, Aslanides IM, Eichenbaum JW, et al: Iridoschisis: high frequency ultrasound imaging. Evidence for a genetic defect? Br J Ophthalmol 80:1063, 1996

21. Bahn CF, Falls HF, Vapley GA, et al: Classification of corneal endothelial disorders based on neural crest origin. Ophthalmology 91:558, 1984

22. Yanoff M: Iridocorneal endothelial syndrome: Unification of a disease spectrum. Surv Ophthalmol 24:1, 1979

23. Alvarado JA, Murphy CE, Juster RP, et al: Pathogenesis of Chandler's syndrome, essential iris atrophy, and the Cogan-Reese syndrome: II. Estimated age at disease onset. Invest Ophthalmol Vis Sci 27:873, 1986

24. Alvarado JA, Murphy CG, Maglio M, et al: Pathogenesis of Chandler's syndrome, essential iris atrophy, and the Cogan-Reese syndrome: I. Alterations of the corneal endothelium. Invest Ophthalmol Vis Sci 27:853, 1986

25. Chandler PA: Atrophy of the stroma of the iris: Endothelial dystrophy, corneal edema, and glaucoma. Am J Ophthalmol 41:607, 1956

26. Scheie HG, Yanoff M: Iris nevus (Cogan-Reese) syndrome: A cause of unilateral glaucoma. Arch Ophthalmol 93:963, 1975

27. Campbell DG, Shields MB, Smith TR: The corneal endothelium in the spectrum of essential iris atrophy. Am J Ophthalmol 86:317, 1978

28. Rodrigues MM, Jester JV, Richards R, et al: Essential iris atrophy: A clinical, immunohistologic, and electron microscopic study in an enucleated eye. Ophthalmology 95:69, 1988

29. Rodrigues MM, Stulting RD, Waring GO III: Clinical, electron microscopic, and immunohistochemical study of the corneal endothelium and Descemet's membrane in the iri-docorneal endothelial syndrome. Am J Ophthalmol 101:16, 1986

30. Alvarado JA, Underwood JL, Green WR, et al: Detection of herpes simplex viral DNA in the iridocorneal endothelial syndrome. Arch Ophthalmol 112:1601, 1994

31. Groh MJ, Seitz B, Schumacher S, et al: Detection of herpes simplex virus in aqueous humor in iridocorneal endothelial (ICE) syndrome. Cornea 18:359, 1999

32. Kramer TR, Grossnicklaus HE, Vigneswaran N, et al: Cytokeratin expression in corneal endothelium in the iridocorneal endothelial syndrome. Invest Ophthalmol Vis Sci 33:3581, 1992

33. Howell DN, Damms T, Burchette JL, Jr, et al: Endothelial metaplasia in the iridocorneal endothelial syndrome. Inv Ophthalmol Vis Sci 38:1896, 1997.

34. Wilson MC, Shields MB: A comparison of the clinical variation of the iridocorneal endothelial syndromes. Arch Ophthalmol 107:1465, 1989

35. Neubauer L, Lund DE, Liebowitz HM: Specular microscopic appearance of the corneal endothelium in iridocorneal endothelial syndrome. Arch Ophthalmol 101:916, 1983

36. Stock EL, Roth SI, Morimoto D: Desquamating endotheliopathy: An incipient iridocorneal endothelial syndrome? Arch Ophthalmol 105:1378, 1987

37. Kidd M, Hetherington J, Magee S: Surgical results in iridocorneal endothelial syndrome. Arch Ophthalmol 106:199, 1988

38. Doe EA, Budenz DL, Gedde SJ, et al: Long-term surgical outcomes of patients with glaucoma secondary to the iridocorneal endothelial syndrome. Ophthalmology 108:1789, 2001

39. Jones ND: Fuchs' heterochromic uveitis: A reappraisal of the clinical spectrum. Eye 5:649, 1991

40. Lahey E, Baarsma GS, De Vries J, et al: Clinical analysis of Fuchs' heterochromic cyclitis. Doc Ophthalmol 78:225, 1991

41. Marsh RJ, Easty DL, Jones BR: Iritis and iris atrophy in herpes zoster ophthalmicus. Am J Ophthalmol 78:255, 1974

42. Van der Lelij A, Ooijman FM, Kijlstra A, et al: Anterior uveitis with sectoral iris atrophy in the absence of keratitis: A distinct clinical entity among herpetic eye diseases. Ophthalmology 107:1164, 2000

43. Chang TS, Brewer LV, Hooper PL: Primary herpes simplex iridocyclitis with iris atrophy. Arch Ophthalmol 111:25, 1993

44. Chen CJ, Richardson CD: Bee sting-induced ocular changes. Ann Ophthalmol 18:285, 1986

45. Markomichelakis NN, Canakis C, Zafirakis P, et al: Cytomegalovirus as a cause of anterior uveitis with sectoral iris atrophy. Ophthalmology 109:879, 2002

46. Rohatgi J, Shorey P, Lamba PA, et al: Uveal changes in leprosy. Indian J Lepr 58:208, 1986

47. McDonnell PJ, Green WR, Maumenee AE, et al: Pathology of intraocular lenses in 33 eyes examined post mortem. Ophthalmology 90:386, 1983

48. James WA, Jr, de Roetth A, Jr, Forbes M, et al: Argon laser photomydriasis. Am J Ophthalmol 81:62, 1976

49. Kaiser RS, Trese MT: Iris atrophy, cataracts, and hypotony following peripheral ablation for threshold retinopathy of prematurity. Arch Ophthalmol 119:615, 2001

50. Shields CL, Santos MC, Diniz W, et al: Thermotherapy for retinoblastoma. Arch Ophthalmol 117:885, 1999

51. Epstein DL: Acute angle closure glaucoma. In Epstein DL, Allingham RL (eds): Chandler and Grants: Glaucoma, 4th ed. Baltimore, Lippincott Williams and Wilkins, 1997, pp. 251–262

52. Fine BS, Yanoff M, Scheie HG: Pigmentary “glaucoma.” A histologic study. Trans Am Acad Ophthalmol Otolaryngol 78:OP314, 1974

53. Ruprecht KW, Hoh G, Guggenmoos-Holzmann T, et al: Pseudoexfoliation syndrome. Clinical and statistical studies]. Klin Monatsbl Augenheilkd 187:9, 1985

54. Asano N, Schlotzer-Schrehardt U, Naumann GO: A histopathologic study of iris changes in pseudoexfoliation syndrome. Ophthalmology 102:1279, 1995

55. Spoor TC, Wynn P, Hartel WC, et al: Ocular syphilis. Acute and chronic. J Clin Neuroophthalmol 3:197, 1983

56. Shambers J, Puglisi J, Kernitsky R, et al: Iris atrophy in hemoglobin SC disease. Am J Ophthalmol 77:247, 1974

57. Galinos S, Rabb MF, Goldberg MF, et al: Hemoglobin SC disease and iris atrophy. Am J Ophthalmol 75:421, 1973

58. Acheson RW, Ford SM, Maude GH, et al: Iris atrophy in sickle cell disease. Br J Ophthalmol 70:516, 1986

59. Brooks AM, Gillies WE: Iris atrophy with hypoperfusion and neovascularization. Br J Ophthalmol 71:706, 1987

60. Brooks AM, West RH, Gillies WE: Acute primary ischemic iris atrophy. Ophthalmology 95:1234, 1988

61. Knox DL, Palmer C, English F: Iris atrophy after quinine amblyopia. Arch Ophthalmol 76:359, 1966

62. Johnson BL: Ocular pathologic of features of arteriohepatic dysplasia (Alagille's syndrome). Am J Ophthalmol 110:504, 1990

63. Courtens W, Broeckx W, Ledoux M, et al: Oculocerebral hypopigmentation syndrome (Cross syndrome) in a gipsy child. Acta Paediatr Scand 78:806, 1989

64. Von Noorden GK, Buck AA: Ocular onchocerciasis. An ophthalmological and epidemiological study in an african village. Arch Ophthalmol 80:26, 1968

65. Ozeki H, Shirai S, Ikeda K, et al: Anomalies associated with Axenfeld-Rieger syndrome. Graefes Arch Clin Exp Ophthalmol 237:730, 1999

66. Manthey R, Apple DJ, Kivlin JD: Iris hypoplasia in incontinentia pigmenti. J Pediatr Ophthalmol Strabismus 19:279, 1982

67. Weatherill JR, Hart CT: Familial hypoplasia of the iris stroma associated with glaucoma. Br J Ophthalmol 53:433, 1969

Back to Top