Chapter 9
Congenital and Neonatal Corneal Abnormalities
MATTHEW K. PEREZ, SADEER B. HANNUSH and GEORGE O. WARING, III
Main Menu   Table Of Contents

Search

EXAMINATION OF THE CORNEA IN AN INFANT
ABSENCE OF THE CORNEA AND CRYPTOPHTHALMOS
MEGALOCORNEA
MICROCORNEA
NEONATAL CORNEAL OPACITIES
SCLEROCORNEA (STUMPED)
TEARS IN THE ENDOTHELIUM AND DESCEMET'S MEMBRANE (STUMPED)
CORNEAL ULCERS AND INFLAMMATION (STUMPED)
METABOLIC CORNEAL OPACITIES (STUMPED)
POSTERIOR CORNEAL DEFECT (STUMPED)
CORNEAL ENDOTHELIAL DYSTROPHIES (STUMPED)
CENTRAL CORNEAL DERMOID (STUMPED)
KERATOPLASTY IN INFANTS WITH OPAQUE CORNEAS
REFERENCES

This chapter presents a summary of congenital and neonatal corneal abnormalities that occur within the first few months of life. Although these conditions are rarely encountered by the general ophthalmologist, an accurate diagnosis is crucial, given the possibility of permanent blindness. Corneal abnormalities contribute to approximately 1% of childhood blindness in Europe and North American and a higher percentage in Africa and South Asia.1,2 Workup must also include identification of associated ocular and systemic disease that often accompany neonatal corneal abnormalities. When appropriate, genetic counseling should be sought and surgical or medical therapy initiated.
Back to Top
EXAMINATION OF THE CORNEA IN AN INFANT
A thorough history is the first step in evaluation of an infant with a corneal abnormality. This should include medical records for the child and a detailed obstetrical history. Any maternal exposure to drugs, toxins, or infectious agents during pregnancy, as well as any medications prescribed for the infant should be noted. It must also be determined if there is any family history of congenital disease.

There will be some instances in which an examination under anesthesia is required; however, this should be used as a last resort given the cost in added time and use of an operating suite. One useful method for an infant ocular examination is to instruct the parents to keep their child hungry before the visit. This will allow feeding to serve as a distraction and assist in keeping the child quiet during the examination. Another useful technique in maintaining comfort for the infant is to perform as much of the examination as possible with the child in the parent's lap, having the parent handle and position the child when needed. Once calm and in position, instill topical anesthetic and place either a lid speculum or Koeppe lens to begin the examination (Fig. 1A). Instruments used in the evaluation of neonatal corneal abnormalities are listed in Table 1.

Fig. 1 Instruments used during an infant ocular examination. A. A Koeppe lens is used to allow direct visualization of the angle. (courtesy of Donelson Manley, MD) B. Portable slit lamp biomicroscopy permits a detailed anterior segment examination with zoom optics and the capability for photography. (courtesy of Nicholas Pefkaros, MD)

 

TABLE 1. Evaluation of Neonatal Corneal Abnormality


EvaluationInstrumentsRecord
Eyelid and tear functionHand lightEyelid and lash anatomy
 Schirmer stripTear production
BiomicroscopyKowa II portable slit lamp, operating microscopeFrontal and cross-section drawing of anterior segment
 External cameraPhotographs
 Ultrasound biomicroscopyPhotographs of anterior segment anatomy
Corneal measurementCaliperDiameter of cornea and opacity
OphthalmoscopyMydriaticsVitreoretinal and optic disc appearance
 Indirect ophthalmoscopy 
RefractionRetinoscopeEstimation of refractive error in mild opacities
TonometryApplanation or pneumatic TonometerRepeatable accurate readings
 PalpationEstimated pressure in grossly distorted corneas
GonioscopyKoeppe lens; Kowa II slit Lamp or Kowa fundus cameraAngle drawing
  Goniophotography
UltrasonographyContact B scanAcoustical clarity of vitreous and retinal, intraocular foreign body
 A scan or B scan with water bathPosition of iris and lens, globe diameter
 Ultrasound biomicroscopyPhotographs of anterior segment anatomy
Afferent visual pathwayERG (electroretinogram) or VER (visual evoked response)Summated response to multiple bright flashes, estimate of diffuse retinal function

Adapted from: Waring GO, Laibson PR: Keratoplasty in infants and children. Trans Am Acad Ophthalmol Otolaryngol 83:283, 1977

 

Portable slit lamp biomicroscopy is a useful technique for evaluation of the anterior segment (Fig. 1B). It is preferable to have a model with zoom optics and the capability of photography like the Kowa II portable slit lamp. This is optimal for obtaining good pictures and making the most accurate drawings of any abnormalities.3 Gonioscopy can then be performed with the Koeppe lens in place, but the lens must be removed for tonometry. If the cornea is heavily scarred or the globe is grossly distorted, then intraocular pressure must be estimated by palpation. After examination of the anterior segment, fundoscopy or other indicated studies (ERG, ultrasonography) can be performed. In some cases, severe corneal opacification will prevent visualization behind the cornea, and ultrasound biomicroscopy should be used to detect other anterior segment or vitreoretinal abnormalities.4 A complete infant ocular examination can be performed in approximately 2 hours.

Back to Top
ABSENCE OF THE CORNEA AND CRYPTOPHTHALMOS
Agenesis of the cornea is an extremely rare condition resulting from failure of the anterior segment to differentiate despite formation of the optic cup.5 The eye becomes completely surrounded by a scleral-like band of fibrous tissue. Absence of the cornea does not occur in isolation, rather it is always accompanied by the absence of other anterior segment structures such as the iris and ciliary body. Clinically, this condition can appear as a form of microphthalmos or apparent anophthalmos.

Cryptophthalmos is another relatively rare condition characterized by replacement of the eyelids with facial skin covering the orbit from the forehead to the cheek, connecting to the underlying globe and obliterating the cornea (Fig. 2A).6 This condition represents metaplastic change of the corneal epithelium and conjunctiva into stratified squamous keratinized epithelium.7 Cryptophthalmos can be unilateral or bilateral and usually occurs sporadically along with other congenital malformations including dyscephaly, syndactyly, and urogenital malformations. Although the pathogenesis is unclear, animal models suggest possible causes of cryptophthalmos syndrome to include defects in programmed cell death or vitamin A metabolism.8 An autosomal-recessive pattern of inheritance has been described for cryptophthalmos in as many as 25% of cases examined.9 Recent reviews have detailed the association of cryptophthalmos with other congenital malformations.8,9

Fig. 2 Cryptophthalmos. A. Patient with partial cryptophthalmos demonstrates skin adherent to the cornea, lack of eyelids medially, and abnormal eyelids laterally. Hair stream extends across forehead to cryptophthalmic area. B. Postoperative appearance shows dissection of the skin from the cornea with attachment to the lateral eyelids. The cornea is thin and covered with fibrovascular tissue. (Waring GO, Shields JA: Partial unilateral Cryptophthalmos with syndactyly, brachycephaly, and renal anomalies. Am J Ophthalmol 79:437, 1975)

True (complete) cryptophthalmos, the most common form of this entity, is the result of failed formation of eyelid folds such that lashes and eyebrows are absent. In addition, lacrimal glands and canaliculi are generally absent. Although palpable, the underlying globe is microphthalmic with anterior chamber malformations. B-scan ultrasonography shows in a majority of cases the replacement of the remainder of the cornea and anterior chamber with connective tissue. Partial cryptophthalmos involves only the medial aspect of the eyelid, leaving the lateral eyelid normal in structure and function. Another form is abortive cryptophthalmos, or congenital symblepharon, in which only the upper eyelid undergoes metaplasia and remains adherent to the upper third of the cornea.10

Histopathologically, the skin consists of stratified squamous keratinized epithelium and an underlying dermis without appendages, which is fused to the fibrovascular tissue replacing the cornea. The anterior chamber is small or nonexistent, and the trabecular meshwork, Schlemm's canal, iris, and lens are absent.11 Surgical correction has been attempted for both complete and partial cryptophthalmos. The major goals of surgical intervention are to achieve a cosmetic improvement, to preserve the globe, and to protect any remnant of the cornea from infection (Fig. 2B).12 There has been some success in restoring good visual function in patients with partial cryptophthalmos; however, this is not the true for cases of complete cryptophthalmos.12

Back to Top
MEGALOCORNEA
The horizontal diameter of the newborn cornea is usually 10 mm, reaching the normal adult size of 11.8 mm by 2 years of age.13 Megalocornea is a congenital condition defined by a horizontal corneal diameter of greater than 12 mm in the newborn or greater than 13 mm in an adult without an associated elevation in intraocular pressure.14 Most often this is a nonprogressive bilateral symmetric corneal enlargement. There are three basic patterns of megalocornea (Table 2):

 

TABLE 2. Differential Diagnosis of Enlarged Cornea


 Simple MegalocorneaAnterior MegalophthalmosPrimary Infantile Glacoma with BuphthalmosKeratoglobus* (Ehlers-Danlos Type VIA)
InheritanceAutosomal dominant (?)X-linkedSporadicAutosomal recessive
Time of appearance congenitalCongenitalCongenital1st yearUsually
LateralityBilateralBilateralUnilateral or bilateralBilateral
 SymmetricSymmetricAsymmetricSymmetric
Natural historyNonprogressiveNonprogressiveProgressiveNonprogressive
Corneal clarity centralClearClear or mosaic dystrophyDiffuse edema, Descemet's tearsClear, acute edema
Intraocular pressureNormalElevated in someElevatedNormal
Corneal diameter13–18 mm13–18 mm13–18 mm10–12 mm (rarely > 13 mm)
Corneal thicknessNormalNormalThickThin
KeratometryNormalNormalFlatSteep
GonioscopyNormalExcess mesenchymal tissueAbnormal mesenchymal tissueNormal
Major ocularNoneLens dislocationOptic nerve damageCorneal rupture from
 complications Cataract < 40 yLate corneal edema minor trauma
  Secondary glaucoma Acute edema Amblyopia
Associated systemic disordersNoneOccasionally Mafan's and other skeletal abnormalitiesNone consistentHyperextensible joints Hearing loss Tooth discoloration

*Keratoglobus may also occur in the absence of an underlying inherited connective tissue disorder.

 

  1. Simple megalocornea, which is unassociated with other abnormalities.
  2. Anterior megalophthalmos, in which the ciliary ring and lens are enlarged.
  3. Buphthalmos in association with infantile glaucoma.

A-scan ultrasonography can be used to distinguish simple megalocornea from anterior megalophthalmos and buphthalmos. Only the anterior chamber will be enlarged in anterior megalophthalmos, whereas the entire globe will be enlarged in buphthalmos. Keratoglobus is a condition in which there is generalized thinning of the cornea, which may appear to be enlarged clinically but is usually normal in diameter.

SIMPLE MEGALOCORNEA

These individuals present with bilateral clear corneas of normal thickness measuring greater than 12.5 mm in diameter. This condition is not progressive and there are no associated ocular or developmental abnormalities.15 In the few pedigrees reported, this condition may possess autosomal-dominant inheritance.16 Management is similar to anterior megalophthalmos discussed later. There is no treatment for this condition except for the correction of any refractive error and reassurance to the family that eye can function normally. Histopathologically, the anterior chamber is normal except for an enlarged cornea, and there are no abnormalities of the posterior segment.15

ANTERIOR MEGALOPHTHALMOS

Megalocornea most commonly presents as anterior megalophthalmos, in which there is abnormal development of other anterior segment structures in addition to the cornea (Fig. 3).17 The cornea is clear with normal curvature and thickness; however, some affected corneas may develop a central mosaic stromal opacity.18 The anterior chamber appears deep from either the steep arc of the enlarged cornea or secondary to lens subluxation and iridodonesis. Other notable features of anterior megalophthalmos include anterior iris stromal hypoplasia, peripheral full-thickness iris holes, and Krukenberg's spindle and pigment dispersion with iris transillumination defects (Fig. 3B). Dilator muscle atrophy can lead to miotic pupils.17

Fig. 3 Anterior megalophthalmos. A. Megalocornea with horizontal diameter of 14 mm. B. Iris transillumination shows defects in the iris pigment epithelium. Patient had cataract extraction at age 37.

Systemic disease is occasionally identified in patients with anterior megalophthalmos and may include neurological, skeletal, and dermatological abnormalities.19,20 Anterior megalophthalmos is most commonly inherited in an X-linked recessive fashion, although autosomal-dominant and autosomal-recessive patterns of inheritance have been described.5

Although the pathogenesis remains unclear, it is generally accepted that this condition is the result of disturbed growth and development of the neural crest cells that comprise the anterior chamber. Developmentally, megalocornea can result from incomplete growth of the optic cup anteriorly, leading to an enlarged cornea occupying this extra space.21 This may explain the occurrence of megalocornea in association with other anterior chamber abnormalities, including Rieger's syndrome (e.g., prominent Schwalbe's ring, iris strands to Schwalbe's ring, hypoplasia of anterior iris stroma) and congenital glaucoma with buphthalmos.22 Linkage studies have demonstrated a possible gene locus in the region Xq13-q2523, and identification of specific genes at this locus may have future implications in understanding the pathogenesis of megalocornea.24

Patients with megalocornea need to be followed-up regularly throughout their life with annual examinations to evaluate for lens subluxation, premature cataract development, and elevations in intraocular pressure. These are the major complications of megalocornea for which treatment is available and restoration of vision is possible. Cataract extraction in patients with megalocornea has a higher risk of complications because of lens dislocation. Vitreous loss may require an anterior vitrectomy in some cases. Implantation of an intraocular lens may also be difficult, sometimes requiring placement of an iris supported or sutured lens.25 Recent studies, however, suggest that capsulorhexis with placement of a standard intraocular lens, move as indicated in comments with the use of a capsular tension ring, can be safely performed without complication.26 Management of elevated intraocular pressure is similar to that for treatment of chronic open-angle glaucoma.

BUPHTHALMOS

Buphthalmos is an enlargement of the entire globe, including the cornea, secondary to elevated intraocular pressure in infantile glaucoma. Although not fitting the classic definition of megalocornea, buphthalmos is worth mentioning because it is part of the differential diagnosis of an enlarged cornea. This diagnosis must be considered in any patient presenting with an enlarged cornea. Prompt identification and treatment of infantile glaucoma will save a child's vision. This will be covered in more detail in Volume 3, Chapter 19 of this series.

KERATOGLOBUS

Keratoglobus is a rare bilateral condition in which there is generalized thinning and globular anterior protrusion of the cornea (Fig. 4A). The iris and lens remain unaffected. In some cases the cornea can become enlarged, confusing this diagnosis with megalocornea.27 Various connective tissue abnormalities are associated with keratoglobus, including hypermobile joints and a thinned sclera, which may appear blue from the underlying uveal tissue.28 Specific connective tissue diseases that may present with keratoglobus include osteogenesis imperfecta or Ehlers Danlos syndrome type VIA (Fig. 4B).29 Keratoglobus has also been found in association with autosomal-recessive Leber congenital amaurosis30 and pellucid marginal corneal degeneration.31 Although usually present at birth, keratoglobus may not be recognized until childhood when the signs of connective tissue disease or blue sclera become apparent. Despite most cases being congenital, adult-onset keratoglobus has been found associated with thyroid ophthalmopathy32 and vernal conjunctivitis.33

Fig. 4 Keratoglobus. A. Lateral view demonstrates anterior protrusion of thin cornea. Iris process in the angle are visible (arrow) without gonioscopic lens. B. Increased flexion of thumb emphasizes association with lax joints. Keratoglobus is sometimes classified as Ehlers-Danlos syndrome type VIA.

The steep arc of the cornea results in a deep anterior chamber and an average keratometry reading of greater than 55 diopters.34 A faint central stromal haze may be present, but the stress lines and subepithelial scarring characteristic of keratoconus do not occur. Histopathological analysis demonstrates a disorganized stromal architecture34 along with stromal thinning.28,35 Focal disruptions occurring in Bowman's layer may produce the faint opacity seen clinically. Acute corneal edema may occur from spontaneous breaks in Descemet's membrane. This acute hydrops will resolve in time and requires no treatment.

The thin and disorganized stroma results in a cornea that is very susceptible to perforation after minor trauma.29 It is imperative that parents are counseled regarding the need for a safe environment and the mandatory use of protective glasses or eye guards when necessary.

To prevent the development of amblyopia, early diagnosis and treatment is essential. Initial management of refractive error with spectacles or contact lenses may be sufficient. Surgical intervention is required in some cases of advanced keratoglobus or in the event of a ruptured globe after minor trauma.36 Various surgical techniques have been used and are complicated by the thin and irregular cornea and sclera.34,37,38 Newer surgical approaches are being developed to reduce graft failure and improve visual outcome.39,40

Back to Top
MICROCORNEA
Microcornea is defined by a horizontal corneal diameter of less than 11 mm.14 In this condition, the corneal diameter is usually between 7 and 10 mm, with some being reported as small as 4 mm.41 Accurate determination of the corneal diameter may be complicated in some cases by scleralization of the corneal limbus. The cornea is usually clear with normal thickness, and its shortened diameter usually creates a steep curvature with an increased refractive power. Instances of a flattened cornea with keratometry readings of less than 35 diopters have been reported in severe microcornea42 or in microcornea with sclerocornea.43

The wide variety of ocular and systemic abnormalities that accompany microcornea make generalizations about this condition difficult. Associated ocular features can include other anterior segment malformations, such as sclerocornea or aniridia.43 Microcornea can also present in cases of nanophthalmos, also called simple microphthalmos, in which the primary abnormality is a total reduction in the size of the globe.44 Microcornea may also occur with congenital microphthalmos, in which there are multiple ocular abnormalities in conjunction with a small globe (Fig. 5).45 Isolated cases of microcornea have also been reported.46 Microcornea can be a sporadic condition, or it can be inherited in either autosomal dominant or autosomal-recessive patterns.47

Fig. 5 Microcornea. This 6-mm-diameter cornea was part of congenital microphthalmos.

Assessment with A-scan ultrasonography is an important study in all patients with microcornea to establish if it is the cornea alone, or if the entire globe is small. Transillumination of the ciliary ring may help provide an accurate measurement of the true corneal diameter in cases with scleralization of the limbus. This will help distinguish microcornea from sclerocornea or cornea plana, in which an indistinct limbus produces the clinical appearance of a small cornea.

One histopathologic study of microcornea demonstrated a transformation of deeper corneal layers into scleral tissue at the true limbus.48 The scleral spur and Schlemm's canal were absent, with thinning and atrophy of the ciliary muscle. No changes were found in Descemet's membrane.

Management of microcornea must include careful examination looking for other ocular conditions. Cataract must be ruled out because one presentation is the microcornea–cataract syndrome.43 Routine examinations must also include intraocular pressure measurements to rule out glaucoma, which can occur in up to 20% of all cases.49 In isolated microcornea, which can present as either myopia or hyperopia, correction of refractive error can provide an improved visual outcome.

Back to Top
NEONATAL CORNEAL OPACITIES
An infant with a corneal opacification presents a diagnostic challenge for any ophthalmologist. A useful acronym to aid in recalling the differential diagnosis is STUMPED (Table 3). This mnemonic will hopefully prevent an ophthalmologist from becoming stumped when facing these conditions. The incidence of the different types of neonatal corneal opacities is unknown, but Peters anomaly and infantile glaucoma are the most common.

 

TABLE 3. Differential Diagnosis of a Neonate with Cloudy Cornea (STUMPED)


SSclerocornea
TTears in Descemet's membrane
  Infantile glaucoma
  Birth trauma
UUlcer
  Herpes simplex virus
  Bacterial
  Neurotrophic
MMetabolic corneal opacities(rarely present at birth)
  Mucopolysaccharidoses
  Mucolipidoses
  Tyrosinosis
PPosterior corneal defect
  Posterior keratoconus
  Peters Anomaly
  Staphyloma
EEndothelial dystrophy
  Congenital hereditary endothelial dystrophy
  Posterior polymorphous dystrophy
  Congenital hereditary stromal dystrophy
DDermoid

Judge J, Waring GO, Blocker RJ: Congenital and neonatal corneal abnormalities. Corneal Disorders Clinical Diagnosis and Management, 2nd ed. Philadelphia: WB Saunders, 1998

 

Back to Top
SCLEROCORNEA (STUMPED)

Sclerocornea is a condition in which normal cornea is replaced by white, vascularized tissue resembling the sclera, obliterating the limbus and scleral sulcus, and leaving a clearer central cornea (Fig. 6). This nonprogressive congenital anomaly is thought to result from defective mesenchymal migration at an early stage of differentiation.50 Given the broad use of the term sclerocornea in a wide variety of corneal disease, it is not considered a distinct diagnostic entity.51

Fig. 6 In peripheral sclerocornea, the peripheral white corneal opacity blends with the sclera. This obliterates the limbus and scleral sulcus, leaving the central cornea clearer than the periphery.

Both sexes are affected by sclerocornea and a majority of cases have bilateral involvement, which may be asymmetric. Half of all cases are sporadic, with the rest having either dominant or recessive patterns of inheritance,51,52 with recessive forms usually more severe than dominant forms.53 A number of ocular and systemic abnormalities are associated with sclerocornea, including skeletal and central nervous system abnormalities.54 Chromosomal abnormalities may also occur.53,55

Clinical presentation of sclerocornea can be quite varied. In some forms only a 1- to 2-mm rim of peripheral cornea is involved, leaving the central cornea clearer with distinct margins. More involved cases can include nodular extensions of scleral tissue into more central portions of the cornea. Sclerocornea can also present as a diffusely opaque cornea with peripheral vascularization or as a completely white and vascularized cornea. The fine, superficial vasculature appears to originate from the conjunctival vasculature.51 Either penlight or scleral scatter with the slit lamp best reveals the extent of sclerocornea. Diagnosis can be complicated in cases in which the entire cornea is involved and visualization of the anterior segment is limited. Ultrasound biomicroscopy is useful in assessing these corneas and establishing a diagnosis.56

Sclerocornea is classified into four groups, although distinction among them is often imprecise: (1) isolated sclerocornea; (2) sclerocornea plana (cornea plana); (3) peripheral sclerocornea with anterior chamber cleavage abnormalities; and (4) total sclerocornea.

ISOLATED SCLEROCORNEA

No other ocular abnormalities are present and histopathological examination of the corneal stroma demonstrates collagen fibers with a diameter and arrangement similar to that of sclera.57,58

SCLEROCORNEA PLANA

Sclerocornea plana is characterized by scleralization and flattening of the corneal surface with keratometry readings less than 38 diopters. This condition is bilateral and can be either sporadic or inherited as an autosomal-dominant trait.59 Sclerocornea plana has been reported in association with epidermolysis bullosa dystrophica and spontaneously reabsorbed congenital cataracts.60 Although vision may be normal, amblyopia with strabismus, aniridia with cataract, flattening of the anterior chamber, and infantile glaucoma sometimes occur. Patients may develop pseudoptosis because of poor upper lid support from the flattened cornea. In sclerocornea plana, the peripheral rim of the cornea is more involved, leaving a clear central cornea with normal thickness. The blending of the peripheral cornea with the surrounding sclera makes accurate measurement of the corneal diameter difficult. Refractive error may range from moderate hyperopia to moderate myopia.

PERIPHERAL SCLEROCORNEA WITH ANTERIOR CHAMBER CLEAVAGE ABNORMALITIES

Peripheral sclerocornea presents with an indistinct corneoscleral limbus as described, and this is often a common feature in both Reiger's syndrome and Peters anomaly.61 In cases in which the entire cornea is opaque, distinction of sclerocornea, with its slightly clearer central zone, from Peters anomaly, which has a central corneal opacity, becomes difficult. One distinction is the presence of iridocorneal adhesions in Peters anomaly. Histologically, this distinction between Peters and sclerocornea can also become complicated. Some patients with clinically apparent sclerocornea may have focal loss of the corneal endothelium and Descemet's membrane, findings more typical of Peters anomly.50 Conversely, some eyes with Peters anomaly are found histologically to have a thin, yet intact, Descemet's membrane.62 In these circumstances, a precise discrimination between these two conditions is not necessary because their management is similar.

TOTAL SCLEROCORNEA

In cases in which the entire cornea is completely white and vascularized, an accurate diagnosis becomes more difficult (Fig. 7). Ultrasound biomicroscopy should be used before penetrating keratoplasty to define other underlying anterior segment abnormalities, such as corneolenticular adhesions, which may be present.56,63

Fig. 7 Sclerocornea. A. Total sclerocornea manifests porcelain white cornea with superficial arborizing vessels. B. The irregular superficial stroma contains scattered blood vessels (Toluidine blue, ×350).

Histopathologically, the epithelial thickness is variable, with rete peg-like fingers penetrating a fragmented or absent Bowman's layer. The epithelial basement membrane remains intact. The anterior stromal architecture is disorganized with fibrils of collagenous tissue 70 to 150 nm in diameter (normally 25 to 30 nm).58 The posterior stroma may maintain its normal lamellar architecture. This random pattern of fibrils, along with the presence of elastic fibers and blood vessels, gives the cornea a sclera-like appearance. Descemet's membrane is abnormal, appearing either as a thin irregular layer with collagenous tissue behind it or as having focal dehiscences that may contain fibrous tissue.57

This condition should not be confused with Mieten's syndrome, which includes superficial vascularized corneal opacities that resemble sclerocornea. Other associated features are mental retardation, growth failure, and abnormally short ulnae and radii.

Back to Top
TEARS IN THE ENDOTHELIUM AND DESCEMET'S MEMBRANE (STUMPED)
Tears or breaks in the endothelium and in Descemet's membrane can be caused by either birth trauma or infantile glaucoma. Because the adult structure of the cornea is not reached until approximately 6 months of age, 64 the cornea of an infant is more elastic and prone to injury secondary to elevations in intraocular pressure. The elevated pressure produced either acutely by birth trauma or chronically in infantile glaucoma can distend the infant's globe, exceeding the elasticity of Descemet's membrane, resulting in tears. In either circumstance, the tears or breaks allow aqueous to enter the stroma and epithelium, producing corneal edema. The disparate clinical settings for birth trauma and infantile glaucoma should produce little confusion as to the cause of the tear.

Acute ocular birth trauma is being seen less often by ophthalmologists because of improved prenatal care and elective cesarian section reducing the rate of complicated forceps deliveries (Fig. 8A). Ocular trauma from forceps is thought to occur when the forceps blade slides over the inferior orbital rim, compressing the globe against the superior orbit and stretching the cornea horizontally.65 Because the cornea is being compressed horizontally, these tears will line up in a vertical or oblique pattern (Fig. 8B). Other clinical findings associated with ocular birth trauma include ipsilateral periorbital edema and ecchymosis.

Fig. 8 Tears in Descemet's membrane. A. Ocular birth trauma from a complicated forceps delivery. Periorbital edema and ecchymoses accompany the trauma. (courtesy of Donelson Manley, MD) B. Birth trauma produced these oblique tears in Descemet's membrane. The edges of each break form a prominent refractile ridge that protrudes from the posterior cornea.

Corneal edema is the most common presenting sign of infantile glaucoma when it presents in the first 5 days of life, being present in 80% of cases.66 By 6 months of age, approximately 75% of affected infants will manifest the corneal enlargement and buphthalmos characteristic of infantile glaucoma.66 The tears in Descemet's membrane caused by infantile glaucoma have a more random distribution, often circumferential to the limbus and sometimes extending sinuously toward the center of the cornea. Clinical features such as a delay in presentation of corneal edema, patterns of Descemet's tears, and associated ocular findings help to clearly distinguish ocular birth trauma from infantile glaucoma.

When Descemet's membrane tears, it retracts more in the center leaving a dehiscence with roughly parallel edges.67 The stroma and epithelium overlying this tear will become diffusely edematous. Along the margin of the tear, Descemet's membrane will often curl toward the stroma like a watch spring. Clinically, this curl forms a refractile edge evident under retroillumination through the corneal edema. It is important not to mistake these prominent edges for the tear itself, which is actually the space between these edges. To perform a complete anterior segment evaluation, it may be necessary to remove the edematous epithelium with a moist cotton swab. The corneal edema should resolve within weeks to months, provided the birth trauma was not too severe and that the intraocular pressure was surgically lowered in cases of infantile glaucoma.

With time, a fresh endothelium will resurface the posterior cornea and synthesize a new basement membrane, filling the dehiscence and accentuating the edges of the tear. After the corneal edema resolves, the edges of the break will appear as rounded, glassy ridges protruding from the posterior cornea readily apparent under retroillumination. In some instances, one edge of the tear may separate from the stroma and hang into the anterior chamber as a falciform ledge, with its free edge curling anterior to form a scroll (Fig. 9). When two tears occur parallel to each other, the edge of Descemet's membrane between the tears may curl toward each other. This strip of Descemet's may then disassociate from the overlying stroma, resulting in a glassy strand across the concavity of the posterior cornea. In this circumstance, the newly laid basement membrane will have a beaten-metal, guttate appearance.

Fig. 9 Histopathology of healed tears in Descemet's membrane from congenital glaucoma. A. Regenerating corneal endothelium has produced new basement membrane in the bed of the tear and over each edge (arrows) of the tear. B. Main figure demonstrates one edge of the tear in Descemet's membrane, which has separated from the overlying stroma and coiled anteriorly like a watch spring. Regenerated basement membrane has encased this and formed a prominent ledge. Inset. Other edge of the tear, in which regenerated basement membrane forms a ridge protruding into the anterior chamber. (Waring GO, Laibson PR, Rodrigues MM: Clinical and pathologic alterations of Descemet's membrane: With emphasis on endothelial metaplasia. Surv Ophthalmol 18:325, 1974)

Histopathologically, the edge of a Descemet tear curls toward the stroma, possibly because of the differential elasticity between the anterior banded and posterior nonbanded layers within Descemet's membrane.67 As the new regenerating endothelium spreads over the edge, it encases the original coiled Descemet's membrane in a thick multilaminar periodic acid-Schiff (PAS)-positive basement membrane (Fig. 9). This new basement membrane forms the clinically evident refractile edge. Within the bed of the tear, the regenerating endothelium lays down an irregular basement membrane with focal excrescences that produce the beaten-metal appearance.

Ultrastructural studies of the cornea in human congenital glaucoma are rare,68 but the ultrastructure in rabbits with spontaneous buphthalmos has been described in detail.69 Intraepithelial and subepithelial edema is present, accounting for the ease with which one can remove the epithelium clinically. Stromal edema, loss of regular collagen architecture, and the degree of scarring correlate with the degree of corneal opacity and thickness. In rabbits with mild to moderate corneal clouding, Descemet's membrane is thicker than normal and manifests the compact structure typical of basement membrane. In rabbits with more severe corneal opacification, a layer of small-diameter collagen fibrils enmeshed in amorphous material appears posterior to Descemet's membrane. In these rabbits, no tears in Descemet's membrane are observed clinically or histopathologically, suggesting that corneal edema may occur from elevated intraocular pressure alone. The thin endothelial cells can be as large as four times their normal size and contain cytoplasmic vacuoles appearing as small pits on scanning electron microscopy. In humans, these enlarged endothelial cells may represent the ones that decompensate later to produce corneal edema. Recently, in vivo confocal microscopy has been used to further evaluate Descemet's tears and endothelial changes associated with congenital glaucoma.70 Key findings include a mild reduction of keratocyte density in the middle and posterior stroma, along with the presence of discontinuous hyperreflective structures overhanging the endothelial layer at the level of Descemet's membrane. Additional confocal analysis of the endothelial layer demonstrate a low cell count, focal cellular lesions, severe polymegethism, and pleomorphism.70

Treatment is generally not necessary for patients with ocular forceps injury. The corneal edema will usually resolve within weeks. Corneal astigmatism may result from this injury and will require early refraction and patching to prevent amblypoia.65 In some instances, the edema may persist and form an opacification, which may require penetrating keratoplasty. In this circumstance, the visual prognosis is poor in the affected eye. Young children with infantile glaucoma may require surgery to control intraocular pressure. Treatment of infantile glaucoma may result in a decrease in buphthalmos and a change in corneal diameter toward normal; however, some residual corneal edema may persist. Under these circumstances, early penetrating keratoplasty is indicated and can be successful.71 Decompensation of previously stressed endothelium from either infantile glaucoma or birth trauma can occur 20 to 30 years after the original insult, requiring penetrating keratoplasty to restore vision.72 In one study of endothelial decompensation related to infantile glaucoma, the overall success rate for penetrating keratoplasty was 75%; with adequate control of intraocular pressure being a key factor in preventing graft failure.73

Another form of prenatal trauma that can produce corneal opacification is an amniotic band, which by stretching across the face during development may cause a cleft lip occasionally associated with microphthalmia and a hazy cornea. This corneal haze is likely the result of direct trauma to the cornea and not from tears in Descemet's membrane.74

Back to Top
CORNEAL ULCERS AND INFLAMMATION (STUMPED)
Corneal ulcers are rarely present at birth, but when an epithelial defect does occur in a neonate, the differential diagnosis should include herpes simplex keratitis, bacterial keratitis, and neurotrophic keratitis.

HERPES SIMPLEX KERATITIS

Ocular involvement occurs in 10% to 40% of neonates with herpes simplex infection and usually appears 1 to 5 months postpartum as a purulent conjunctivitis with a dendriform or geographic epithelial defect (Fig. 10). Eyelids are usually edematous and erythematous and may or may not have vesicular lesions. Ocular manifestations include optic neuritis, cataracts, or chorioretinitis, the latter being a late manifestation. Infection usually occurs during vaginal delivery; however, cases of acquisition in utero have been documented,75 and up to 10% can occur as postnatal infections.76 In studies in which the ocular virus was typed, 15% to 30% were HSV type I.75,77 Topical povidone–iodine is an effective prophylaxis for herpes simplex, as well as for other viruses, fungi and bacteria.78 Topical silver nitrate prophylaxis is not effective.79

Fig. 10 Congenital herpes simplex keratitis. Fluorescein-stained geographic epithelial defect with dendrites figures (arrows). Other ocular findings not shown include bilateral lid edema, erythema, and mucopurulent discharge.

Clinical suspicion for ocular herpes simplex can be confounded in some cases given the similarities with bacterial conjunctivitis. In two cases in which herpes simplex keratitis was evident at birth, the infants presented with a purulent exudate, a conjunctival membrane, along with a central epithelial defect and a central stromal opacity. The purulent exudate may lead the clinician to consider bacterial conjunctivitis; however, a history of prenatal vaginal herpes infection or skin vesicles on the infant suggests ocular herpes simplex infection. Unfortunately, up to 30% of mothers have no signs or symptoms of genital herpes simplex infection, further complicating the diagnosis.77

Immediate diagnosis is critical, especially in cases of herpes simplex acquired in utero, because the keratitis may be an early sign of systemic dissemination, which may be fatal. A definitive diagnosis can be made with corneal or conjunctival scrapings showing giant cells or intranuclear inclusions characteristic for HSV. In addition, specimens from conjunctival swabs can be analyzed with kits using fluorescein antibody staining or enzyme immunoassays for the presence of HSV antigens. If the diagnosis is still unclear, viral cultures can be grown from conjunctival swabs. Electron microscopy may also be used to detect viral particles in tear specimens; however, this is not readily available to many ophthalmologists.

Management of herpes keratitis must include early use of topical antivirals. Virostatic agents include 1% trifluridine (Viroptic) drops applied up to nine times daily or 3% vidarabine ointment applied up to five times daily; 3% acyclovir ointment (not available in the United States) administered up to five time daily is also effective. Given that idoxuridine was not effective in treating in utero-acquired ocular herpes, this is not recommended as a first line agent.75 Systemic acyclovir therapy must also be considered when skin vesicles are present or if there is evidence of visceral dissemination, for which the mortality rate is 57%.80 It is also worth considering prophylactic antiviral therapy in infants whose mothers had genital herpes at the time of delivery.

CONGENITAL RUBELLA

Because of the routine administration of the rubella vaccine, congenital rubella occurs much less often in developed countries. When this infection is acquired during the first trimester, it may be transmitted through the placenta and can cause serious congenital anomalies in more than half of these children. Of these affected infants, 6% may manifest corneal opacities at birth81 from three possible causes. First, viral infection of the endothelium may cause a transient central stromal opacity that clears in the first few weeks of life. Second, the corneal edema may result from elevated intraocular pressure, which clears as the pressure spontaneously normalizes.82 Third, corneal edema and scarring may accompany severe microphthalmos with keratoiridal or corneolenticular adhesions (Peters anomaly). Boniuk has thoroughly described the congenital rubella syndrome and its associated ocular findings, which can include congenital cataracts, microphthalmia, iris hypoplasia, and corneal opacification as described.83 A 20-year follow-up of patients with congenital rubella has been reported.84 This study examined 125 cases of congenital rubella and found ocular disease to be the most commonly noted disorder reported in 78% of patients. Multiorgan disease was typical in almost 90% and ocular disease was associated with hearing loss in 58% of cases. A close association was also found between ocular disease and cardiac disease. Cataracts and microphthalmia correlated with poor visual outcomes and glaucoma was often seen in association with either entity. No correlation was found between the gestational age at the time of maternal infection and the incidence of individual ocular disorders.84

BACTERIAL CORNEAL ULCER

Bacterial corneal ulcers do not appear at birth and are very uncommon in the neonate. The use of 1% silver nitrate prophylaxis along with effective topical antibiotics has virtually eliminated corneal ulceration in the newborn secondary to bacterial conjunctivitis (ophthalmia neonatorum). When they do occur, these ulcers are usually associated with corneal trauma, preexisting corneal disease, severe systemic disease, or an immunocompromised state.85 Clinical diagnosis alone is difficult and only 30% of cases will present with a hypopyon.85 Definitive diagnosis is based on the results of Gram staining and culture of corneal scrapings and conjunctival swabs. Pseudomonas is the most commonly identified organism in cases of childhood bacterial keratitis. Although normally a nonpathogenic opportunist, ocular Pseudomonas can rapidly invade the conjunctiva and cornea with complications including endophthalmitis and potentially fatal septicemia.86 Topical antibiotics are the mainstay of treatment; which for Pseudomonas include topical gentamicin, tobramycin, ofloxacin, ciprofloxacin, moxifloxacin, gatifloxican, and possibly amikacin. Drops are usually administered with a loading dose of one drop every minute for five minutes followed by one drop every 30 to 60 minutes. If systemic bacterial infection is suspected, then systemic antibiotics should be promptly initiated.

SYPHILITIC KERATITIS

Spirochetes in the cornea of infants with congenital syphilis probably do not produce a neonatal keratitis. Syphilitic interstitial keratitis occurs in the second decade of life and is probably immunologically mediated.

NEUTROPHIC KERATITIS

Neurotrophic keratitis is a degenerative disease of the corneal epithelium resulting from absence or loss of corneal sensation. Nonhealing epithelial defects, corneal ulcers, and corneal perforation can result. Possible causes include herpes virus infection or trauma, along with tumors or lesions affecting the trigeminal ganglion or sensory roots87. Familial dysautonomia (Riley-Day syndrome) has also been associated with reduced corneal sensation. At the Emory Eye Center, an infant with an unusual type of familial dysautonomia presented with bilateral central sterile corneal ulcers at birth that progressed to perforation and enucleation by 2 years of age.

Back to Top
METABOLIC CORNEAL OPACITIES (STUMPED)
Systemic metabolic diseases causing corneal clouding during the neonatal period are uncommon. Identification of these disorders is important because corneal opacification may represent the first sign of systemic disease.88

MUCOPOLYSACCHARIDOSES, MUCOLIPIDOSES, AND SPHINGOLIPIDOSES

These comprise a larger group of lysosomal storage disorders in which deficiency of lysosomal enzymes leads to abnormal accumulation of complex carbohydrates within cells. The nomenclature for these rare disorders is complex and often changing, and their phenotypic expression is widely variable. We therefore limit this discussion, covering only the major aspects of these conditions affecting the cornea. Table 4 outlines the important points concerning corneal opacification in these disorders. Details about systemic involvement and other ocular manifestations can be found elsewhere.88–90 The three main groups are:

 

TABLE 4. Corneal Opacification in Disorders of Systemic Glycosaminoglycan, Mucolipid, and Sphingolipid Catabolism*


 Recognition of Corneal OpacityFrequency ofSeverity ofDemonstrated
SyndromeBirth-1 y1-20 y>20 yOpacityOpacityHistologically
Mucopolysaccharidoses      
MPS IH Hurler++ CommonSevere+
MPS IS Scheie++ CommonSevere+
MPS II Hunter  +RareMild+
MPS III Sanfilippo  +RareMild+
MPS IV Morquio + CommonModerate+
MPS VI Maroteaux-Lamy + CommonModerate+
MPS VII Sly + CommonMild+
Mucolipidoses      
Gm1 gangliosidosis I+  RareMild+
Mucolipidosis I ? RareModerate+ in conjunctiva
Mucolipidosis II + RareMild+ in conjunctiva
Mucolipidosis III + CommonModerate+ in conjunctiva
Mucolipidosis IV+  CommonSevere+ in epithelium
Sphingolipidoses      
Fabry's disease+  CommonMinimal+ in epithelium

*Disorders without corneal involvement omitted.
Complied from Whitley CB: The mucopolysaccharidoses. In Beighton (ed): McKusick's Heritable Disorders of Connective Tissue, 5th ed. St. Louis: CV Mosby, 1993; and from Libert J and Kenyon KR: Ocular ultrastructure in inborn lysosomal storages diseases. In Goldberg MA (ed): Genetic and Metabolic Eye Disease, 2nd ed. Boston: Little, Brown & Co, 1986

 

  1. Systemic mucopolysaccharidoses (MPS) are disorders of glycosaminoglycan catabolism in which corneal opacities are often present. Incomplete degradation of glycosaminoglycans leads to their build-up in most tissues, along with excretion of excess glycosaminoglycans in the urine. Most of these conditions have autosomal recessive inheritance. The prototype disorder is Hurler's syndrome (MPS I-H), which is characterized by dwarfism, hepatomegaly, cardiovascular disease, and numerous skeletal changes including lumbar kyphosis. Corneal clouding can be a prominent feature of this disease and may present in the first weeks of life.
  2. Mucolipidoses are abnormalities of glycoprotein catabolism, which occasionally have corneal opacities. This diverse group combines clinical and histopathologic features of MPS and lipidoses without having elevated excretion of glycosaminoglycans in the urine. The prototype disorder is Gm1 gangliosidosis type I, or generalized gangliosidosis, which has clinical features of dwarfism and skeletal abnormalities.
  3. Sphingolipidoses are abnormalities of glycosphingolipid catabolism, which usually do not present with corneal opacification. The prototype is Tay-Sachs disease, in which there are neither skeletal abnormalities nor excess glycosaminoglycan excretion, but rather visceral storage of glycosphingolipids. Fabry's disease, an X-linked recessive condition, presents with a whorl-like subepithelial line and corneal opacity. This often manifests during the first year and is the earliest and most consistent ocular finding. Associated features include ocular pain, renal failure, cardiovascular disease, and neurologic changes.88

Corneal opacification in the lysosomal storage disorders is rarely present at birth, possibly reflecting the availability of maternal enzymes to the child in utero. The opacity usually manifests in the first years of life and may become progressively more dense over the first two decades. Slit lamp examination is crucial in any child with suspected systemic metabolic disease to detect more subtle opacities missed on external examination. Many opacities will not be detected until later in life, because affected patients may live well into adulthood. With regards to corneal opacification during the neonatal period, the key disorders to consider are Hurler's syndrome (MPS I-H), Scheie syndrome (MPS I-S), generalized gangliosidosis, and mucolipidosis IV (Table 4). In some unusual cases, severe ocular pain,91 megalocornea,92 or increased corneal thickness93 may accompany the opacity and complicate the diagnosis.

Slit lamp microscopy reveals that the corneal opacity consists of fine punctuate dots and a diffuse gray haze confined to the stroma (Fig. 11). The epithelium and endothelium are generally unaffected. The opacification usually first affects the peripheral, posterior stroma, leaving a smooth anterior corneal surface. Therefore, a patient's visual acuity may be surprisingly good, unless there is accompanying retinal or optic nerve damage.

Fig. 11 Hurler's syndrome (systemic mucopolysaccharidosis type IH). A. Child manifests prominent forehead, broad nose, fleshy tongue, hunchback, protuberant abdomen, and stubby fingers. B. Cornea of the same child shows mild, diffuse, ground-glass stromal haze.

All patients with MPS and mucolipidoses in which corneal histopathology has been studied have demonstrated abnormal deposition of storage substrate, even in cases in which they were not clinically evident (Table 4). The hallmark histopathologic findings in these disorders are storage of excess glycosaminoglycan and glycolipid as membrane-bound vacuoles in keratocytes (Fig. 12). The glycosaminoglycans stain blue with colloidal iron and Alcian blue, and the glycolipids are best seen in frozen sections of unfixed tissue. Transmission electron microscopy demonstrates single membrane-bound cytoplasmic vacuoles containing fine fibrillogranular material along with lamellar bodies, likely representing glycosaminoglycans and glycolipids, respectively. These vacuoles can distend the keratocyte to many times their normal size, making them clinically visible as fine punctuate opacities. In more advanced cases, a fine extracellular granular material surrounds the keratocyte and contributes to the gray stromal haze seen clinically.

Fig. 12 Cornea showing subepithelial accumulation of glycosaminoglycan (colloidal iron, ×400). B. Cornea from MPS-VI micrograph shows fibrillogranular material in the cytoplasm of keratocytes (×6000). (courtesy of K. Kenyon, MD)

There are also disorders for which the corneal opacity is not a result of keratocyte involvement.90 In Fabry's disease, although there is some keratocyte involvement, it is postulated that the corneal opacity results primarily from sphingolipid deposition in the epithelial cell layer.94 In mucolipidosis IV, a majority of lipid deposition also occurs in the epithelial layer with relative sparing of the keratocytes.90 In cases with epithelial involvement, the epithelial cells become distended and disrupted like the keratocytes, and in more advanced cases fibrous proliferation occurs at the level of Bowman's layer.

GLYCOSAMINOGLYCAN ACCUMULATION IN BOWMAN'S LAYER

Two infants have been described with bilateral, diffuse, dense, gray congenital corneal opacities associated with excess glycosaminoglycan accumulation in an irregularly thickened Bowman's layer.95 Colloidal iron stain demonstrate diffuse blue deposits throughout the 30-micron-thick Bowman's layer with no other corneal abnormalities (Fig. 13). In these cases there was no evidence of systemic mucopolysaccharides or mucolipids. In addition, electron microscopy of the corneas did not demonstrate any evidence of intracellular vacuoles with fibrillogranular inclusions or extracellular granular material. A similar anomaly of Bowman's layer producing corneal opacification has been associated with anterior segment mesenchymal dysgenesis.96

Fig. 13 Congenital corneal opacity caused by deposition of glycosaminoglycan in Bowman's layer. A. Infant manifests diffuse, dense, gray corneal clouding. Clouding is most extreme centrally but does extend across the entire cornea. B. Dense accumulation of glycosaminoglycans in Bowman's layer produced this corneal opacity. The epithelium and stroma appear normal (colloidal iron, ×60).

HYPERTYROSINEMIA TYPE II

There are at least six different disorders of tyrosine metabolism in humans, with only one demonstrating corneal involvement. Hypertyrosinemia type II, or Richner-Hanhart syndrome, is a rare condition in which deficiency of tyrosine aminotransferase leads to an elevation of both serum and urine tyrosine levels. Ocular signs include corneal clouding and subepithelial pseudodendritic keratitis, which in some instances can cause corneal ulceration (Fig. 14).97,98 Ocular symptoms during the first weeks to months of life can include photophobia, blepharospasm, and ocular pain resulting from the corneal lesions. The pseudodendritic corneal epithelial lesions will persist chronically and their irregular branching pattern may resemble herpes simplex keratitis, which is often first mistakenly diagnosed. These lesions may fluctuate in severity and are unaffected by topical medications.97 Other features of this syndrome are painful palmar and planter hyperkeratosis, along with a variable degree of mental retardation.

Fig. 14 Cornea in persistent hypertyrosinemia manifests a central epithelial defect with stellate lines radiating from it. Disorder is associated with mental retardation and keratoses of palms and soles. (Courtesy of Robert Burns, MD)

Diagnosis can be made by detection of elevated serum tyrosine in patients with the appropriate clinical findings. Treatment consists of dietary modification with strict adherence to a tyrosine and phenylalanine-restricted diet.98 Dietary control will result in a rapid resolution of the oculocutaneous symptoms, including a complete healing of the corneal epithelium. Strict dietary control beginning in infancy is also associated with improved cognitive function.98

No histopathological studies of affected corneas have been published; however, a conjunctival biopsy shows thickened epithelium containing cytoplasmic vacuoles and electron-dense intranuclear particles.99 It is proposed that the eye and skin lesions result from deposits of tyrosine crystals triggering a localized inflammatory response.100 A rat model for this disorder, in which rats are fed excess tyrosine, supports these findings.101 In this model, the high-tyrosine diet induces formation of focal lesions within the corneal epithelium, which then branch toward the periphery. Histopathologically tyrosine crystals form within the epithelial cells, first disrupting those cells, then leading to externalization of the lysosomes. This leads to an inflammatory response with the appearance of subepithelial polymorphonuclear leukocytes.

A related condition, hereditary hypertyrosinemia type I (HHT-1), does not present with ocular findings, rather the primary site of pathology is localized to the liver, kidney, and peripheral nerves.98 Treatment includes pharmacological therapy with 2-(2-nitro–4-trifluoro-methylbenzoyl)–1,3-cyclohexanesione (NTBC) in conjunction with dietary restriction of tyrosine, phenylalanine and methionine. A 14-month old infant with HHT-1 began undergoing treatment, and at 4 years of age, ocular pain along with bilateral linear branching subepithelial keratitis and corneal opacities developed.102 Careful follow-up showed that the extent of corneal opacification correlated with periods of poor dietary compliance and that during these periods there was a marked elevation in serum tyrosine.

CYSTINOSIS

This is an autosomal-recessive lysosomal storage disorder in which a defect in cystine transport leads to the accumulation of cystine crystals in the cornea and conjunctiva during the first year of life. Cystine crystals in the corneal stroma begin to develop centrally and eventually involve the entire cornea. With time crystal deposition will occur in other anterior segment structures including the iris and trabecular meshwork, predisposing these patients to glaucoma.103 Ocular symptoms include pain, photophobia, and tearing resulting from epithelial erosions. Treatment with cysteamine drops has been shown to both clear stromal cystine crystals, as well as help prevent further crystal deposition.104 In severely affected corneas, penetrating keratoplasty can be performed; however, crystals may recur in the graft.105 Long-term ophthalmic follow-up is important given the prevalence of late ocular manifestations in this disorder.106

Back to Top
POSTERIOR CORNEAL DEFECT (STUMPED)

A central or paracentral corneal opacity is the clinical hallmark for the group of congenital abnormalities known as posterior corneal defects. Common histopathological findings include focal attenuation or complete absence of the endothelium and Descemet's membrane behind the overlying opacity. These disorders are part of a group of anomalies referred to as anterior segment mesenchymal dysgenesis or the anterior chamber cleavage syndrome.107,108 Embryologically, these conditions are likely the result of abnormal neural crest cell development.21 A descriptive anatomic stepladder classification scheme (Fig. 15) was developed to help categorize these conditions from simple to more complex forms.108 This classification scheme allows clinicians and pathologists to describe the anatomic findings without the use of eponyms and Latin phrases.

Fig. 15 Top. Composite illustrations of the anatomic findings in the anterior chamber cleavage syndrome. Bottom. The stepladder table demonstrates a spectrum of anatomic combinations and the terms by which they are commonly known. Disorders not represented in the table can easily be added by filling in the anatomic components. (Reproduced with permission from Waring GO, Rodrigues MM, Laibson PR: Anterior chamber cleavage syndrome. Surv Ophthalmol 20:3–27, 1975)

There are four clinical groups of congenital posterior corneal defects, demonstrating the full range of severity from a mild indentation of the posterior cornea to total corneal scarring and ectasia. These groups are:

  1. Posterior keratoconus, which is a posterior corneal depression with minimal overlying opacity.
  2. A corneal opacity with iris strands adherent to its margins, commonly called Peters anomaly.
  3. A corneal opacity with adherent iris strands and corneolenticular contact or cataract, also called Peters anomaly, commonly associated with vitreoretinal abnormalities.
  4. Corneal staphyloma.

These anomalies are most commonly sporadic; however, autosomal-recessive inheritance has been reported.61 The opacity is bilateral in approximately 80% of cases61 and glaucoma is present in approximately half the cases, usually presenting within the first 6 years as the nonbuphthalmic infantile form. Occasionally, avascular opacities may diminish in density during the first few months, but usually not enough to permit normal visual development.

POSTERIOR KERATOCONUS

Posterior keratoconus usually presents as a focal and sharply circumscribed, noninflammatory central depression in the posterior cornea (Fig. 16); with rare generalized cases affecting the entire posterior cornea.109 In all cases, a stromal opacity ranging from a subtle haze to a focal leukoma overlies the focal posterior thinning. The edge of this posterior indentation either blends gradually with the rest of the cornea or may be sharply demarcated with a clinically evident prominent ridge.111

Fig. 16 Posterior keratoconus. A. Frontal view shows central nebular corneal opacity overlying the margin if the pupil (arrows). B. Slit lamp view of the same cornea shows slight focal posterior indentation (arrow) with overlying full-thickness stromal opacity.

This condition shares no relationship to the common ectatic degenerative form of acquired anterior keratoconus and, although posterior keratoconus is usually considered to be congential, acquired cases have beendescribed secondary to trauma or after intracorneal hemorrhage.111,112 Posterior keratoconus is usually unilateral, sporadic, and nonprogressive, rarely becoming apparent during infancy. It is most often detected during routine ophthalmic examination because of an abnormal retinoscopic reflex or mild amblyopia. Amblyopia may result from the corneal opacity disrupting the visual axis or from irregular corneal astigmatism, which can be detected by corneal topography or keratometry. This condition can therefore affect the contours of both the anterior and posterior corneal surfaces.

As part of a syndrome, posterior keratoconus has been described in association with systemic abnormalities, including mental retardation, stunted growth, and a webbed neck.113 Posterior keratoconus was also identified in a related syndrome associated with median facial clefting, severe genitourinary abnormalities, along with stunted growth, a broad nose, and an abnormal gait without any evidence of a chromosomal abnormality.110

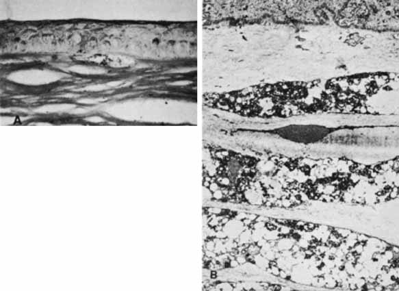
Histopathology of posterior keratoconus demonstrates normal epithelial architecture with iron deposition in the basal epithelium corresponding to the iron line seen clinically.114 Bowman's layer is focally disrupted and replaced by fibrocellular tissue. There is stromal thinning with irregular stromal collagen lamellae and no evidence of inflammation or vascularization (Fig. 17). Descemet's membrane has a multilaminar configuration with replacement of the normal 3-μm-thick, 100-nm anterior banded layer by a more homogenous layer with focal wide-spacing collagen and small collagen fibrils. Posterior layers appear more like Descemet's membrane, with a 110-nm banded zone and a more compact homogenous zone. Paracentral focal excrescences of basement membrane-like substance may overly areas of vacuolated endothelium and correspond to the guttate excrescences seen clinically.110,114

Fig. 17 Histopathology of central posterior keratoconus. The corneal stroma is thinned centrally. Descemet's membrane is intact but shows abnormal lamellar organization when examined by electron microscopy, and there are few endothelial cells (Toluidine blue, ×60).

Usually posterior keratoconus requires no treatment because it is often unilateral and asymptomatic. Correction of refractive error and any induced astigmatism can help improve vision, especially if amblyopia is present. Early use of a hard contact lens may produce a significant increase in vision. Penetrating keratoplasty may be necessary if either the opacity or the corneal irregularity is severe enough.110

INTERMEDIATE FORMS

Intermediate forms of posterior corneal defects fit nicely into the anatomic stepladder classification and are often lumped under the term Peters anomaly. In one instance of focal posterior keratoconus, a ring of pigment clumps may be present on the endothelial surface.108 Another case of posterior keratoconus presented with iris strands extending from the collarette to the margin of the indentation.115 In another form, dense corneal leukomas can overlie a posterior corneal defect, with a normal iris and lens, and no keratoiridial adhesions (Fig. 18).108

Fig. 18 Congenital corneal leukoma. A. Central, elevated, dense, vascularized opacity occupies the central cornea. B. Central posterior corneal defect (long arrow) creates shallow stromal depression with overlying scarring and vascularization (PAS, ×4). Right inset. Descemet's membrane terminates at the edge of the posterior corneal defect (short arrows) (PAS, ×256). Left inset. Drawing emphasizes the lack of iris and lens abnormalities. (Waring GO, Rodrigues MM, Laibson PR: Anterior chamber cleavage syndrome. Surv Ophthalmol 20:3–27, 1975)

PETERS ANOMALY

The three anatomic components that constitute Peters anomaly are: (1) a posterior corneal defect with an overlying corneal opacity; (2) keratoiridial adhesions to the edge of the defect; and (3) corneolenticular contact or cataract.

The size and density of the corneal opacity and the depth of the posterior defect can vary greatly and, in general, the central cornea appears more opaque than the periphery (Fig. 19). The corneal opacity can assume many forms, including a focal paracentral white spot, a discrete round central disc, a paracentral white arc paralleling the limbus, a tongue-shaped peninsula extending from the limbus to the central cornea, a central avascular leukoma with finger-like projections to the limbus, a central elevated mass that stimulates a corneal dermoid, or a diffusely vascularized cornea resembling sclerocornea.

Fig. 19 Peters anomaly. A. Moderately dense central corneal opacity with iridocorneal adhesions extending inferiorly. B. Another example of a central corneal opacity with iridocorneal adhesions. Note that the iris strands extend from the collarette to the margin if the posterior corneal defect. C. Sketch illustrates iris and corneal involvement without lens abnormalities. (Waring GO, Rodrigues MM, Laibson PR: Anterior chamber cleavage syndrome. Surv Ophthalmol 20:3–27, 1975)

Keratoiridial adhesions usually extend from the collarette to the margin of the opacity (Fig. 19A–B). These iris strands may resemble fine filaments, broader bands, focal ropy cords, or broad fenestrated sheets. Visualization of the posterior corneal defect along with the iris and lens depends on the density of the opacity. In cases in which the opacity is too dense and posterior visualization is not possible, ultrasound biomicroscopy should be used to assess for other ocular abnormalities and permit an accurate diagnosis.4 Most cases are bilateral and more than half are accompanied by glaucoma.107

The histopathology of Peters anomaly is just as variable as its clinical picture (Fig. 20).108,115–118 The epithelium usually has a normal architecture with an intact basement membrane. Bowman's layer may be absent focally and replaced with fibrocellular tissue. Stromal scarring is usually present with some preservation of the normal lamellar pattern. The posterior stromal defect varies from a shallow depression to a deep crater. The endothelium and Descemet's membrane are normal peripherally, but paracentrally Descemet's membrane becomes thinner and consists of multiple fine lamellae. In many cases the endothelium and Descemet's membrane terminate centrally and are replaced by a layer of retrocorneal fibrous tissue, which is then in direct contact with the aqueous humor.115,117 Where the iris strands adhere to the posterior stroma, Descemet's membrane and the endothelium are also absent.

Fig. 20 Peters anomaly. A. There is superior and inferior scleralization of the cornea and a central corneal opacity that extends to the periphery everywhere except the 3 to 5 o'clock meridian. B. Keratoplasty button demonstrates thick peripheral Descemet's membrane (c), central absence of Descemet's membrane and endothelium (d), and iridocorneal adhesions (e) (PAS, ×4). C. Peripheral Descemet's membrane is thick, multilaminar, and split (arrow). It gradually disappears more centrally. D. Within the central posterior corneal defect is a fusiform fibrous plaque (arrows) (PAS, ×256) E. Iridocorneal adhesion is present at the edge of the posterior corneal defect (large arrow). Superficial subepithelial fibrous tissue and vascularization represent the central extension of the sclerization (small arrow) (PAS, ×64). (A–E reproduced from Waring GO, Rodrigues MM, Laibson PR: Anterior chamber cleavage syndrome. Surv Ophthalmol 20:3–27, 1975)

Immunohistochemistry shows an increased staining for fibronectin within the stroma of affected corneas.119 This may result from either a decrease in synthesis inhibition or improper degradation during the crucial phase of development. There is also a mild increase in collagen type VI, the significance of which is not clear.

Lens involvement can include corneolenticular adhesion, corneolenticular contact, or cataract. In cases in which the lens is involved, vitreoretinal and systemic abnormalities occur more frequently.117,118 Various interactions between the cornea and lens include a clear, partially dislocated lens firmly adhering to the cornea after moving back and forth.116 The lens may initially lie against the posterior cornea and later spontaneously move into the posterior chamber.120 A small stalk may connect the lens to the cornea (Fig. 21).121 An hourglass-shaped lens may occupy the pupil or a shrunken lens may adhere firmly to the posterior cornea. These findings emphasize the importance of examination with ultrasound if the opacity is too dense, blocking a clear view of the posterior structures. Histopathologically, the lens capsule is usually intact; however, direct contact between the corneal stroma and the lens cortex sometimes can occur (Fig. 22).

Fig. 21 Surgical treatment of congenital corneolenticular adhesion. A. Knife needle separates lens stalk from overlying corneal opacity. Note anterior chamber irrigation tube. B. Corneolenticular adhesion, keratoiridial adhesions, and knife needle separating lens from cornea. C. Slit lamp photograph taken 8 years after original surgery shows healed posterior corneal defect with slight scarring. (Waring GO, Parks MM: Successful lens removal in congenital corneolenticular adhesion (Peters anomaly). Am J Ophthalmol 83:526, 1977)

Fig. 22 Peters anomaly. Note the central posterior corneal defect with overlying thin, vascularized, scarred stroma. Descemet's membrane and endothelium are absent. Iridocorneal adhesions obscure angle structures and extend almost to the edge of the corneal defect. Lens adheres to posterior cornea centrally (arrow) (PAS, ×4). Inset. Sketch of posterior corneal defect, overlying opacity, iris strands to margin of defect, and anterior polar cataract.

Vitreoretinal abnormalities more often accompany these more complex cases with corneolenticular adhesion or cataract. In one study, 19 of 32 eyes with Peters anomaly had evidence of vitreoretinal abnormalities, including persistent hyperplastic primary vitreous, persistent tunica vasculosa lentis with retinal dysplasia, total retinal detachment, and optic atrophy.118,122 Numerous systemic abnormalities have been reported in association with the spectrum of Peters anomaly and include: abnormalities of the central nervous system, cardio-vascular system, genitourinary system, and skeletal system.123,124

Although most cases of Peters anomaly are sporadic, autosomal-dominant and recessive inheritance has been reported.125,126 Specific gene mutations have also been identified in association with Peters anomaly. Mutations in the PAX6 gene, involved in ocular development,127 have been identified in Peters anomaly, as well another anterior segment malformations.128 Other genes in which mutations are associated with Peters anomaly include the PITX2 and FOXC1 genes in cases associated with Axenfeld-Riger syndrome,129,130 and the CYP1B1 gene in association with congenital glaucoma.131 The role of these genes in development of the ocular abnormalities is still unclear. In addition, cases of Peters anomaly have been found in patients with chromosomal abnormalities, although these account for a minority of the cases.132,133

CORNEAL STAPHYLOMA

Corneal staphyloma is a severe form of posterior corneal defect in which the cornea becomes anteriorly ectatic and protrudes forward through the palpebral fissure (Fig. 23).134 Either the malformation itself or the associated elevated intraocular pressure causes the anterior displacement of the cornea. This condition is usually unilateral. The thin, scarred, vascularized cornea has a blue color because of the underlying uveal tissue and may become keratinized secondary to exposure. In rare instances, the cornea develops a hypertrophic keloid scar.135

Fig. 23 Corneal staphyloma. A. Enucleated globe demonstrates marked ectasia of entire cornea. Cornea protruded between the eyelids at time of birth. B. Histopathology shows focal thinning of the cornea and vascularization with adherent shrunken lens. Clilary processes adhere to posterior lens. Atrophic iris (arrows) lines cornea and lens stalk (Hematoxylin-eosin, ×4). (Waring GO, Rodrigues MM, Laibson PR: Anterior chamber cleavage syndrome. Surv Ophthalmol 20:3–27, 1975)

Histopathologically, the epithelium shows central keratinization.136 There are also fragmented breaks in an attenuated Bowman's membrane. The corneal stroma is thin, disorganized, and vascularized. The endothelium and Descemet's membrane are absent and the posterior cornea is lined by atrophic iris tissue (Fig. 23B).136

PATHOGENESIS

Four major theories have been proposed to explain the pathogenesis underlying posterior corneal defects (Fig. 24).61,137 Despite experimental evidence in support of each, no one theory can adequately explain all the clinical and histopathological findings.

Fig. 24 Four possible mechanisms for the formation of congenital posterior corneal defects. A. Intrauterine inflammation. B. Incomplete central mesenchymal migration. C. Improper lens vesicle separation from surface ectoderm. D. Anterior lens displacement by vitreoretinal mass.

One theory is that viral or toxic insults may produce intrauterine keratitis, leading to corneal scarring. Also, traumatic perforation of the globe during amniocentesis can create a Peters-like appearance.138

A second theory is that a posterior corneal defect may result from incomplete central migration of the neural crest-derived corneogenic mesenchyme.

Third, incomplete separation of the lens vesicle from the overlying surface ectoderm can prevent central migration of corneogenic mesenchyme. This can present as either a corneolenticular adhesion or a cataract.

Finally, anterior displacement of the lens by a vitreoretinal mass may produce corneolenticular and keratoiridial adhesions with secondary atrophy of the endothelium and Descemet's membrane.

Back to Top
CORNEAL ENDOTHELIAL DYSTROPHIES (STUMPED)
The following three corneal dystrophies may present at birth with a diffuse corneal haze (Table 5). These are briefly discussed here, and a more comprehensive review can be found elsewhere139,140 and in Volume 3, Chapter 9 of this series.

 

TABLE 5. Congenital Corneal Dystrophies: Classification of Diffuse Corneal Dystrophies that Appear in the First Year of Life


 Congenital Hereditary Endothelial DystrophyPosterior Polymorphous Dystrophy (Congenital Corneal Edema)Congenital Hereditary Stromal Dystrophy
InheritanceAutosomal-recessiveAutosomal-dominantAutosomal-dominantAutosomal-dominant
LateralityBilateralBilateralBilateralBilateral
Time of appearanceAt birth of opacityFirst or second yearAt birth or within firstAt birth year
Others signs or symptomsNonePhotophobia, tearingNoneNone
ProgressionMinimalSlowly progressiveSlowly progressiveNone
Corneal thickness2–3 times normal2–3 times normalProbably normalNormal
Location of opacityDiffuseDiffuseDiffuseCentral
Appearance of opacityGround glass, few white maculaeGround glass, few white maculaeGround glassFlaky, feathery
NystagmusFrequentInfrequent?Frequent
Histology    
 EpitheliumMild edema Mild edemaNormal
 Bowman's layerIntact or fragmented Intact or fragmentedNormal
 StromaEdema, some large collagen fibrils (700-nm diameter) Edema, some large collagen fibrils (700 nm diameter)Entire stroma: small-diameter collagen fibrils (15 nm) form alternating loose and compact lamellae
Descemet's membraneThin original Descemet's membrane covered by accellular feltwork of 30 nm diameter collagen fibrils Thin original Descemet's membrane covered by multilaminar collagen tissueAnterior banding prominent
EndotheliumOften atrophic Epithelium: many microvilli; desmosomes, tonofilamentsNormal

Waring GO, Rodrigues MM, Laibson PR: Corneal dystrophies. II. Endothelial dystrophies. Surv Ophthalmol 23:147, 1978

 

CONGENITAL HEREDITARY ENDOTHELIAL DYSTROPHY (CHED)

Both autosomal-dominant and autosomal-recessive forms of CHED have been distinguished, and distinct genetic loci for each form have been found on chromosome 20.141,142 CHED clinically presents with bilaterally symmetric, full-thickness stromal edema increasing the corneal thickness two- to three-times its normal size (Fig. 25). In addition, there is diffuse, nonbullous epithelial edema without evidence of inflammation or vascularization of the cornea. The corneal edema may be nonprogressive or it may worsen with time.143 The only treatment for severe edema and visual loss is penetrating keratoplasty, which carries a fair prognosis.144

Fig. 25 Congenital hereditary endothelial dystrophy. A. Histopathology demonstrates diffuse corneal edema with fluid pockets separating stromal collagen fibrils distorting stromal lamellae. B. Slit views show corneal stroma to be two- to three-times normal thickness.

Histopathological features include distorted stromal lamellae with large-diameter collagen fibrils and fluid pockets separating stromal collagen fibrils. Descemet's membrane is thinned with a normal anterior 110-nm banded zone and a variably thickened posterior nonbanded zone consisting of disorganized collagen.145

POSTERIOR POLYMORPHOUS DYSTROPHY (PPD)

One form of PPD presents as congenital corneal edema and consists of a diffuse corneal cloudiness present at birth. Although usually considered autosomal-dominant, families with autosomal-recessive inheritance have been reported.146 Slit lamp examination reveals classic features of PPD, including grouped vesicles; gray, refractile geographic lesions; scalloped bands; and peripheral iridocorneal adhesions (Fig. 26). The entire cornea has a diffuse haze without evidence of thickening or vascularization. Although usually considered a benign and nonprogressive condition, more severe cases of PPD can occur with progressive corneal edema requiring very early penetrating keratoplasty.147 Mutations at two genetic loci have been linked to PPD. The first being the VSX1 gene on chromosome 20, which encodes a transcription factor,148 and the second involving the COL8A2 gene, which encodes the α2-chain of collagen type VIII.149

Fig. 26 Posterior polymorphous dystrophy. A. Classic appearance of geographic vesicular opacities at the level of Descemet's membrane. This type of opacity is not usually diagnosed at birth. B. Another slit view showing these opacities at the level of Descemet's membrane. C. Upper inset shows multiple lamellae of Descemet's membrane with two layers of cells on the posterior cornea (arrow) (Toluidine blue, ×230). Main figure demonstrates abnormal Descemet's membrane consisting of fine lamellae anteriorly and of more homogeneous basement membrane-like material posteriorly studded by 110-nm banded wide-spacing collagen (box). Cells on posterior cornea have epithelial-like morphology with surface microvilli (arrow) (×12,000). Lower inset demonstrates microvilli and desmosome-like intracellular adhesions (arrow) (×56,000).

Characteristic histopathologic features include a thickened and abnormal Descemet's membrane lined posteriorly by epithelial-like endothelial cells.150 Some regions have focal absence of Descemet's membrane, a likely reflection on the degree of endothelial dysfunction and timing of disease onset.151 Immunocytochemical analysis demonstrates that the epithelial-like cells lining the posterior cornea may result from metaplastic transformation of the endothelium.152 These features are consistent with findings on both specular microscopy and in vivo confocal microscopy. Specular microscopy demonstrates a distinct “snail-track” appearance along with vesicular or doughnut-like lesions within Descemet's membrane, which correlate with the vesicles seen clinically.153 In addition, epithelial-like cells are seen lining Descemet's membrane in patients with the geographic pattern and deep stromal haze.154 Confocal imaging confirms the presence of endothelial vesicular lesions in a curvilinear pattern, along with endothelial pleomorphism and polymegathism.155

CONGENITAL HEREDITARY STROMAL DYSTROPHY

This very rare condition is an autosomal-dominant disorder distinguished clinically and histopathologically from CHED. Congenital hereditary stromal dystrophy exhibits bilaterally symmetric, central, flaky, or feathery anterior stromal opacities from birth.156 Corneal thickness is normal and this disease is nonprogressive. Histopathologically, the stroma consists of alternating layers of tightly packed and loosely packed collagen fibrils that are approximately one-half normal diameter.

Back to Top
CENTRAL CORNEAL DERMOID (STUMPED)
Approximately 20% of all childhood epibulbar tumors are dermoid tumors.157 Corneal dermoids are located either centrally or near the limbus, with only 5% being central. Most often these central corneal dermoids can obstruct the visual axis and may resemble a vascularized posterior corneal defect (Peters anomaly), a corneal staphyloma, or a corneal keloid. Although they most often occur in isolation, up to one-third of limbal dermoids occur in association with other ocular and systemic abnormalities, and may constitute part of Goldenhar's syndrome.158

Corneal dermoids are present at birth and may enlarge at puberty. They can be either unilateral or bilateral and have no sex predilection. These tumors are discrete, slightly elevated, and white–yellow (Fig. 27). They may also be rimmed by a lipid stromal infiltrate, separated from it by a clear zone. Central corneal dermoids obscuring the visual axis can cause dense amblyopia, whereas more limbal dermoids can cause irregular astigmatism. These choristomas can vary from a small, flat limbal spot to involvement of the entire anterior segment. When the dermoid is straddling the limbus and has short hairs protruding from its surface, the diagnosis is straightforward. However, an isolated dermoid occupying the central cornea should be evaluated with transillumination of the globe to clarify the diagnosis. A central corneal dermoid, as well as a corneal keloid, will block the light, whereas a staphyloma will transmit the light. Further study of the anterior segment anatomy can be performed with A-scan or B-scan ultrasonography performed through a water bath or magnetic resonance imaging.

Fig. 27 Central corneal dermoid. Dermoid forms elevated, dense, vascularized mass obscuring the visual axis.

Histologic examination of corneal dermoids reveals vascularized tissue lined by keratinized stratified squamous epithelium with rete pegs projecting into the underlying tissue of the anterior corneal stroma.159 Characteristic of dermoids, this tissue also may contain elements of hair follicles, adipose tissue, sebaceous glands, lacrimal glands, and cartilaginous tissue.160

A useful classification system has been described by Mann, based on the depth of corneal involvement and associated anterior segment malformations.161

  Grade I is the most common form. These dermoids involve only the corneal surface. They most often occur at the limbus near the inferotemporal quadrant.162
  Grade II dermoids involve the more superficial cornea without penetrating Descemet's membrane posteriorly, leaving the remainder of the anterior chamber intact. These are the least common dermoids and are thought to result from developmental changes occurring after anterior chamber development.163
  Grade III dermoids are the most extensive andinvolve the entire anterior segment, possibly even in-volving the vitreous. These are usually associatedwith microphthalmic eyes and other gross structuralabnormalities.164

This classification system is a helpful guide because clinical management will be based on the depth and severity of involvement. Small, flat limbal dermoids not affecting the visual axis can be left alone, because a surgical scar will not be a cosmetic improvement from the dermoid itself. An elevated dermoid at the limbus and extending onto the cornea can either be shaved down flush with the surface of the globe or treated with lamellar keratoplasty. Corneal dermoids affecting the visual pathway are managed with deep lamellar keratoplasty, provided only the anterior stroma is involved, or with penetrating keratoplasty. Some dermoids may appear clinically to only involve the anterior stroma, but at the time of surgery are found to extend throughout the full thickness of the cornea.159 It is therefore critical for a surgeon excising any dermoid to have backup corneal tissue on hand in the event of inadvertent perforation. In all cases, earlier surgical intervention will be a key factor in obtaining improved visual outcomes.160 Eyes with grade III corneal dermoids are generally not surgical candidates because these eyes are microphthalmic with extensive anterior segment malformations.164 However, for bilateral grade III dermoids, surgical intervention may be the only means to restore some vision.

Back to Top
KERATOPLASTY IN INFANTS WITH OPAQUE CORNEAS

CASE SELECTION

Three of the most common congenital conditions for which penetrating keratoplasty is indicated are Peters anomaly (posterior corneal defect), sclerocornea, and congenital dystrophy.165,166 Congenital corneal opacification can cause depravation amblyopia, leaving the ophthalmologist with the decision of whether to perform penetrating keratoplasty with anterior segment surgery. Rapid assessment of these children with timely referral to a specialist is crucial in assuring the best possible visual outcome should keratoplasty be performed. A child with dense, bilateral opacities should undergo a corneal transplant promptly to minimize the likelihood of depravation amblyopia. A child with a unilateral corneal opacity and a normal contralateral eye has less need for overall surgery, but an early penetrating keratoplasty can decrease amblyopia.

Overall prognosis for visual acuity in these patients is guarded, even despite good surgical outcomes.167 Treatment of amblyopia after the removal of congenital monocular opacities is a crucial element behind obtaining improved visual outcomes.168 This is true whether the congenital opacity is in the cornea or in the lens. Most recent studies have shown the likelihood of obtaining a persistently clear graft to be greater than 50% (Table 6). The ophthalmologist must weigh this factor along with surgical and social morbidity in deciding whether to perform surgery. Should penetrating keratoplasty be performed, refraction and vigorous amblyopia therapy must be instituted as part of the postoperative care.

 

TABLE 6. Summary of Previous Reports of Penetrating Keratoplasty in Children


 Follow-UpEyes Maintaining a Clear Graftc Following Penetrating Keratoplasty for Congenital Opacity
SourceMeanRange% (N)
Waring, 19771653 y2 y–5 y11 (1/9)
Beauchamp, 19791744 y3 mo–26 y50 (9/18)
Schanzlin, 19801754 y1 y–10.2 y60 (9/15)
Stulting, 198416630 mo2 mo–6 y68 (31/45)
Parmley, 199317630 mo7 mo– 6.5 y25 (4/16)
Dana, 199517745 mo 62 (52/84)
Dana, 199716838 mo 61 (22/36)
Frueh, 199716940 mo1 y–9.8 y83 (48/58)
Schaumberg, 19991786 y6 mo–20 y69 (11/16)
Yang, 199917011 y3 y–19 y39 (28/72)
Aasuri, 20001711.3 y1 wk–6.7 y64 (30/47)
Comer, 2001173  62 (10/16)

 

Across multiple studies, several factors have been identified as prognostic indicators for graft clarity and survival in children undergoing penetrating keratoplasty for congenital corneal opacities.166,168–170 Avascular corneas having a central opacity with a clear periphery have a 50% to 75% likelihood of graft clarity after 2 years. Eyes with either a vascularized cornea or other associated ocular pathology, including anterior synechiae or corneolenticular adhesions, are less likely to achieve graft clarity, with a 20% to 30% chance of success. Eyes with vitreoretinal disorganization demonstrated by ultrasound are inoperable.

Depending on the complexity of disease and associated pathology, some eyes may need to undergo intraoperative lensectomy along with vitrectomy, further increasing the risk of graft failure. Another source of graft failure is a nonhealing epithelial defect on the donor graft. This can be produced by factors such as abnormal tear production or eyelid abnormalities, such as distichiasis, which must be screened for preoperatively. In the event of graft failure, repeat penetrating keratoplasty can be performed; however, most studies indicate that these regrafts have a higher risk of failure than the original corneal transplant.

Elevated intraocular pressure is commonly present in congenital anomalies and can complicate surgery as well as postoperative management. Either a filtering procedure or cyclocryotherapy can be attempted preoperatively or during the transplant as a means to control intraocular pressure. It is also important to include pressure-lowering medications as part of management. Maintaining normal intraocular pressure is an important means to improving the outcome and the chance for a clear graft.

Psychosocial factors, as much as medical factors, also play a role in determining the success of corneal grafts. An unstable family or inadequate socioeconomic circumstances are grounds for avoiding keratoplasty in young children. Parents will cooperate more when they have had detailed preoperative discussions with the ophthalmologist, when they have received direct instruction in topical medication delivery, when they fully understand the need for long-term patching to treat amblyopia, and when they are well instructed about proper use of spectacles and contact lenses. A responsible adult must be able to perform a careful daily examination for signs of corneal graft rejection, such as graft edema and circumcorneal injection. The physician who enlists social service support and helps the family to obtain financial support to cover the costs of surgery and postoperative care will enhance the likelihood of prolonged graft clarity. Referring and consulting ophthalmologists must communicate frequently and clearly to ensure careful follow-up of the child.

SURGICAL TECHNIQUE

This surgical procedure is technically more difficult than penetrating keratoplasty in adults; it is probably the most complex challenge a corneal transplant surgeon can face. The decreased rigidity and increased elasticity of the infant cornea and sclera are well-recognized factors that make transplantation of the infant cornea more difficult. Even when preoperative massage, intravenous mannitol, pharmacologic paralysis of the extraocular muscles, and a Goldman-MacNeil type scleral ring are used, the lens and the iris move forward dramatically as soon as the anterior chamber is entered and spontaneous extrusion of the lens is not rare (Fig. 28). Presumably, this occurs because the posterior sclera collapses like a plastic bag full of water when it is opened. Because it is often difficult to visualize anterior segment structures, the initial trephination should be made only partial-thickness, and a knife should then used to gently cut down into the anterior chamber. Frequently, the surgeon will encounter iris directly and must carefully manipulate the cornea while trying to determine the extent of keratoiridial adhesions and associated anterior segment anomalies. Sometimes having a surgical assistant lift on the scleral ring gently will allow the intraocular contents to fall backward and give the surgeon time and room to place the first four cardinal sutures in the keratoplasty and seal the eye.

Fig. 28 Intraoperative photograph of an infant eye immediately after corneal excision demonstrating marked anterior protrusion of the clear lens secondary to flaccidity of the globe.

Viscoelastic applied to the surface of intraocular structures will help deepen the anterior chamber and protect the endothelium of the cornea during suturing. If the iris and lens are normal, a quick simple keratoplasty can be performed. If there are extensive keratoiridial adhesions and the lens is cataractous, then it is wise simply to remove the lens and all of the iris, which will decrease the adhesion of the iris to the corneal graft and wound and decrease the amount of vascularization that will occur, lowering the chance of allograft rejection. Under such circumstances, a subtotal mechanical vitrectomy is necessary, particularly in the eyes of children, in which even a small amount of vitreous remaining will contract and often produce a traction retinal detachment. A temporary keratoprosthesis and a pars plana vitrectomy are the best ways to ensure subtotal removal of the vitreous, which in these young eyes is still adherent to the optic nerve, the retina, and the ora serrata.

During the surgery, there is often an intense outpouring of fibrin with fibrin membranes forming rapidly in seconds. This appears to be a phenomenon unique to the infant eye. Use of tissue plasminogen activator (TPA) can lyse these fibril membranes, as long as there is no associated bleeding. In extensively vascularized corneas, interrupted sutures are used so that they can be removed selectively postoperatively. In avascular corneas, a running suture is acceptable. It is also possible to use a combination of running and interrupted sutures if indicated.

Placing an intraocular lens is not advised in infants and young children because the fibrin membrane often will encompass the lens itself. In children 4 years or older, it is probably reasonable to implant an intraocular lens. This will simplify the critically needed amblyopia therapy by eliminating the need for a contact lens.

POSTOPERATIVE CARE

The corneas of infants and young children heal exceedingly fast, so follow-up must be frequent: daily in infants and at least weekly in young children. The surgeon must be able to remove the sutures as soon as they become loose, before they can become infected and stimulate an intense vascular response. Removing sutures 2 to 3 weeks after surgery is not uncommon. Topical 1% prednisolone acetate is administered hourly in the first few days, but caution must be exercised in very young children because systemic absorption may produce side effects of systemic corticosteroid administration. Prednisone is tapered throughout the first week and usually is discontinued anywhere from 6 months to 1 year after surgery. Topical antibiotics are also given until the sutures are removed and the operated eye is patched for 1 to 2 weeks. If intense fibrous membranes form, TPA can be injected into the eye to dissolve them. Major unwanted side effects of this TPA administration are formation of a cyclitis membrane with ciliary body detachment and hypotony, or tractional retinal detachment.

As soon as the graft is clear, careful refraction with retinoscopy is performed and spectacles or contact lenses are prescribed. It is also critical to begin amblyopia therapy at this time, provided the contralateral eye has good vision. If the other cornea is opaque, then it should undergo operation or it will become the more densely amblyopic eye. Indeed, it is probably preferable to have both eyes with keratoplasty, so that if one cornea fails, the child can function with the remaining eye (Fig. 29). Often a “ping-pong game” develops in which the surgeon is trying to keep one eye with a clear graft while the other one gradually fails. Multiple regrafts in these children are common, with odds of clarity decreasing for each regrafts.166,169,170

Fig. 29 Bilateral penetrating keratoplasty in an infant with congenital hereditary endothelial dystrophy. A. Preoperative photograph of an infant presenting with CHED. B. Postoperative photograph after bilateral penetrating keratoplasty.

RESULTS OF KERATOPLASTY IN CHILDREN

A summary of recent studies detailing the overall rate of graft clarity after penetrating keratoplasty is listed in Table 6. These data must be looked at carefully with the understanding that patient populations and disease severity vary among the various studies. The overall rate of graft clarity seems to be approximately 50%. Preoperative variables, such as a vascularized cornea, other associated ocular anomalies, concomitant glaucoma, and an unstable home environment, can all contribute to graft failure. It is therefore recommended to examine each case for the disease severity, along with the aforementioned factors, when considering penetrating keratoplasty. Variables such as intraoperative glaucoma surgery, lensectomy, and vitrectomy also lessen the likelihood of obtaining graft clarity. Penetrating keratoplasty in an infant eye is a major surgical procedure and it is important to classify patients based on the complexity of their disease and surgical course to assure the most stringent postoperative follow-up.

Although the success rate for achieving graft clarity in this population is somewhat predictable, the visual outcomes are not.167 Improvement of visual function can be measured by visual acuity as well as functional visual improvement. Dana and collagues168 were able to assess visual outcome in 24 of 36 (67%) postoperative eyes. Of these, 50% had a visual acuity of 20/200 or better at the time of their last follow-up visit. They also used univariable analysis to show that eyes undergoing penetrating keratoplasty younger than 6 months of age have a better postoperative visual acuity than those in eyes older than 6 months. Aasuri and collague171 found that 10 of 30 eyes with congenital opacities had a final visual outcome of 20/400 or greater. Stulting and collagues166 show that 10 of 34 (29%) eyes in which vision could be measured had a visual acuity better than 20/400 at last visit. In addition, Cameron and collagues172 performed corneal transplant in a 14-day-old boy with Peters anomaly and microcornea. At 4 years follow-up, he maintained 20/40 vision with intact peripheral fusion. In another report, Comer and collagues173 found that 9 of 16 eyes achieved ambulatory vision, another means to assess visual outcome. Factors cited throughout these studies attribute successful visual outcomes with early suture removal, early institution of amblyopia therapy, along with motivated and educated parents. Visual rehabilitation in these patients can be complicated by irreversible amblyopia, concomitant glaucoma, other anterior segment anomalies, and mental retardation. Despite the guarded long-term visual prognosis in these children, surgery may be the only means to provide any useful vision; even if only for a few years.167 This allows children to develop critical skills during their formative years, which may be necessary for them later in life.

Back to Top
REFERENCES

1. Robinson GC, Jan JE, Kinnis C: Congenital ocular blindness in children, 1945 to 1984. Am J Dis Child 141:1321, 1987

2. Foster A, Gilbert C: Epidemiology of childhood blindness. Eye 6:173, 1992

3. Waring GO, Laibson PR: A systematic method of drawing corneal pathologic conditions. Arch Ophthalmol 95:1540, 1977

4. Nischal KK, Naor J, Jay V, MacKeen LD, Rootman DS: Clinicopathological correlation of congenital corneal opacification using ultrasound biomicroscopy. Br J Ophthalmol 86:62, 2002

5. Duke-Elder S: Normal and Abnormal Development. Congenital Deformities. System of Ophthalmology, Vol 3, Pt 2. St. Louis: C.V. Mosby, 1963

6. Waring GO, Shields JA: Partial unilateral cryptophthalmos with syndactyly, brachycephaly, and renal anomalies. Am J Ophthalmol 79:437, 1975

7. Sugar HS: The cryptophthalmos-syndactyly syndrome. Am J Ophthalmol 66:897, 1968

8. Thomas IT, Frias JL, Felix V, Sanchez de Leon L, Hernandez RA, Jones MC: Isolated and syndromic cryptophthalmos. Am J Med Genet 25:85, 1986

9. Slavotinek AM, Tifft CJ: Fraser syndrome and cryptophthalmos: review of the diagnostic criteria and evidence for phenotypic modules in complex malformation syndromes. J Med Genet 39:623, 2002

10. Codere F, Brownstein S, Chen MF: Cryptophthalmos syndrome with bilateral renal agenesis. Am J Ophthalmol 91:737, 1981

11. Francois J: Syndrome malformation avec cryptophthalmie. Acta Genet Med Gemellol 18:18, 1969

12. Ferri M, Harvey JT: Surgical correction for complete cryptophthalmos: case report and review of the literature. Can J Ophthalmol 34:233, 1999

13. Wilmer HA, Scammon RE: Growth of the components of the human eyeball. Arch Ophthalmol 43:599, 1950

14. Mann I: Developmental Abnormalities of the Eye. Philadelphia: JB Lippincott, 1957:352

15. Wood WJ, Green WR, Marr WG: Megalocornea: a clinico-pathologic clinical case report. Md State Med J 23:57, 1974

16. Rogers GL, Polomeno RC: Autosomal-dominant inheritance of megalocornea associated with Down's syndrome. Am J Ophthalmol 78:526, 1974

17. Vail DT: Adult hereditary anterior megalophthalmus sine glaucoma: a definite disease entity. Arch Ophthalmol 6:39, 1931

18. Boles Carenini B: Juvenile familial mosaic degeneration of the cornea associated with megalocornea. Br J Ophthalmol 45:64, 1961

19. Collier M: Hemiatrophie faciale progressive avec megalocornee, micropapille, et dystrophie nuageuse centrale de la cornee. Acta Ophthalmol 49:946, 1971

20. Dube P, Der Kaloustian VM, Demczuk S, Saabti H, Koenekoop RK: A new association of congenital hydrocephalus, albinism, magalocornea, and retinal coloboma in a syndromic child: a clinical and genetic study. Ophthalmic Genet 21:211, 2000

21. Kupfer C, Kaiser-Kupfer MI: New hypothesis of developmental anomalies of the anterior chamber associated with glaucoma. Trans Ophthal Soc UK 98:213, 1978

22. Pearce WG: Autosomal dominant megalocornea with congenital glaucoma: evidence for germ-line mosaicism. Can J Ophthalmol 26:21, 1991

23. Mackey DA, Buttery RG, Wise GM, Denton MJ: Description of X-linked megalocornea with identification of the gene locus. Arch Ophthalmol 109:829, 1991

24. Davis RJ, Shen W, Sandler YI, Heanue TA, Mardon G: Characterization of mouse Dach2, a homologue of Drosophila dachshund. Mech Dev 102:169, 2001

25. Neumann AC: Anterior megalophthalmos and intraocular lens implantation. Am Intra-Ocular Implant Soc J 10:220, 1984

26. Javadi MA, Jafarinasab MR, Mirdehghan SA: Cataract surgery and intraocular lens implantation in anterior megalophthalmos. J Cataract Refract Surg 26:1687, 2000

27. Arkin W: Blue scleras with keratoglobus. Am J Ophthalmol 58:678, 1964

28. Biglan AW, Brown SI, Johnson BL: Keratoglobus and blue sclera. Am J Ophthalmol 83:225, 1977

29. Cameron JA: Corneal abnormalities in Ehlers-Danlos syndrome type VI. Cornea 12:54, 1993

30. Elder MJ: Leber congenital amaurosis and its association with keratoconus and keratoglobus. J Pediatr Ophthalmol Strabismus 31:38, 1994

31. Karabatas CH, Cook SD: Topographic analysis in pellucid marginal corneal degeneration and keratoglobus. Eye 10:451, 1996

32. Jacobs DS, Green WR, Maumenee AE: Acquired keratoglobus. Am J Ophthalmol 77:393, 1974

33. Cameron JA, Al-Rajhi AA, Badr IA: Corneal ectasia in vernal keratoconjunctivitis. Ophthalmol 96:1615, 1989

34. Cameron JA: Keratoglobus. Cornea 12:124, 1993

35. Bertelsen TI: Dysgenesis mesodermalis corneae et sclerae. Acta Ophthalmol 46:486, 1968

36. Macsai MS, Lemley HL, Schwartz T: Management of oculus fragilis in Ehlers-Danlos type VI. Cornea 19:104, 2000

37. Cameron JA, Cotter JB, Risco JM, Alvarez H: Epikeratoplasty for keratoglobus associated with blue sclera. Ophthalmol 98:446, 1991

38. Burk ROW, Joussen AM: Corneoscleroplasty with maintenance of the angle in two cases of extensive corneoscleral disease. Eye 14:196, 2000

39. Jones DH, Kirkness CM: A new surgical technique for keratoglobus-tectonic lamellar keratoplasty followed by secondary penetrating keratoplasty. Cornea 20:885, 2001

40. Vajpayee RB, Bhartiya P, Sharma N: Central lamellar keratoplasty with peripheral intralamellar tuck. A new surgical technique for Keratoglobus. Cornea 21:657, 2002

41. Dinno ND, Lawwill T, Leggett AE, Shearer L, Weisskopf B: Bilateral microcornea, coloboma, short stature and other skeletal anomalies—a new hereditary syndrome. Birth Defects 8:109, 1976

42. Weiss AH, Kousseff BG, Ross EA, Longbottom J: Complex microphthalmos. Arch Ophthalmol 107:1619, 1989

43. Salmon JF, Wallis CE, Murray ADN: Variable expressivity of autosomal dominant microcornea with cataract. Arch Ophthalmol 106:505, 1988

44. Cross HE, Yoder F: Familial nanophthalmos. Am J Ophthalmol 81:300, 1976

45. Warburg M: Classification of microphthalmos and coloboma. J Med Genet 30:664, 1993

46. Batra DV, Paul SD: Microcornea with myopia. Br J Ophthalmol 51:57, 1967

47. Francois J: Heredity in Ophthalmology. St. Louis: C.V. Mosby, 1961:291

48. Nath K, Nema HV, Shukla BR: Histopathology in a case of unilateral microcornea plana (associated with coloboma of choroid): First histopathological description. Acta Ophthalmol 42:609, 1964

49. Friedman MW, Wright ES: Hereditary microcornea and cataract in five generations. Am J Ophthalmol 35:1017, 1952

50. Friedman AH, Weingeist S, Brackup A, Marinoff G: Sclero-cornea and defective mesodermal migration. Br J Ophthalmol 59:683, 1975

51. Howard RO, Abrahams IW: Sclerocornea. Am J Ophthalmol 71:1254, 1971

52. Elliott JH, Feman SS, O'Day DM, Garber M: Hereditary sclerocornea. Arch Ophthalmol 103:676, 1985

53. Rodrigues MM, Calhoun J, Weinreb S: Sclerocornea with an unbalanced translocation (17p, 10q). Am J Ophthalmol 78:49, 1974

54. Goldstein JE, Cogan DG: Sclerocornea and associated congenital anomalies. Arch Ophthalmol 67:99, 1962

55. Moriarty AP, Kerr-Muir MG: Sclerocornea and interstitial deletion of the short arm of chromosome 6-(46XY del [6] [p22p24]). J Pediatr Ophthalmol Strabismus 29:177, 1992

56. Kim T, Cohen EJ, Schnall BM, Affel EL, Eagle RC: Ultrasound biomicroscopy and histopathology of sclerocornea. Cornea 17:443, 1998

57. Wood TO, Kaufman HE: Penetrating keratoplasty in an infant with sclerocornea. Am J Ophthalmol 70:609, 1970

58. Kanai A, Wood TC, Polack FM, Kaufman HE: The fine structure of sclerocornea. Invest Ophthalmol Vis Sci 10:687, 1971

59. Larsen V, Eriksen A: Cornea plana. Acta Ophthalmol 27:275, 1949

60. Sharkey JA, Kervick GN, Jackson AJ, Johnston PB: Cornea plana and sclerocornea in association with recessive epidermolysis bullosa dystrophica. Case report. Cornea 11:83, 1992

61. Alkemade PPH: Dysgenesis Mesodermalis of the Iris and the Cornea. Assen, Netherlands: Royal Van Gorcum, 1969

62. Nakanishi I, Brown SI: The histopathology and ultrastructure of congenital central corneal opacity (Peter's anomaly). Am J Ophthalmol 72:801, 1971

63. Redbrake C, Salla S, Becker J, Reim M: A rare case of bilateral congenital corneal malformations. Acta Ophthalmol 71:256, 1993

64. Lesueur L, Arne JL, Mignon-Conte M, Malecaze F: Structural and ultrastructural changes in the developmental process of premature infants' and children's corneas. Cornea 13:331, 1994

65. Angell LK, Robb RM, Berson FG: Visual prognosis in patients with ruptures in Descemet's membrane due to forceps injuries. Arch Ophthalmol 99:2137, 1981

66. Costenbader FD, Kwitko ML: Congenital glaucoma: An analysis of seventy-seven consecutive eyes. J Pediatr Ophthalmol 4:9, 1967

67. Waring GO, Laibson PR, Rodrigues M: Clinical and pathologic alterations of Descemet's membrane: with emphasis on endothelial metaplasia. Surv Ophthalmol 18:325, 1974

68. Pouliquen Y, Saraux H: Ultrastructure de la Cornee, D'un Buphtalme. Arch Ophthalmol (Paris) 27:263, 1967

69. Van Horn DL, Hyndiuk RA, Edelhauser HF, McDonald TO, De Santis LM: Ultrastructural alterations associated with loss of transparency in the cornea of buphthalmic rabbits. Exp Eye Res 25:171, 1977

70. Mastropasqua L, Carpineto P, Ciancaglini M, Nubile M, Doronzo E: In vivo confocal microscopy in primary congenital glaucoma with megalocornea. J Glaucoma 11:83, 2002

71. Frucht-Pery J, Feldman ST, Brown SI: Transplantation of congenitally opaque corneas from eyes with exaggerated buphthalmos. Am J Ophthalmol 107:655, 1989

72. Spencer WH, Ferguson WJ, Shaffer RN, Fine M: Late degenerative changes in the cornea following breaks in Descemet's membrane. Trans Am Acad Ophthalmol Otolaryngol 70:973, 1966

73. Toker E, Seitz B, Langenbucher A, Dietrich T, Naumann GOH: Penetratring keratoplasty for endothelial decompensation in eyes with buphthalmos. Cornea 22:198, 2003

74. Kumar P, Tiwari VK: An unusual cleft lip secondary to amniotic bands. Br J Plast Surg 43:492, 1990

75. Nahmias AJ, Visintine AM, Caldwell DR, Wilson LA: Eye infections with herpes simplex viruses in neonates. Survey Ophthalmol 21:100, 1976

76. Whitley, RJ: Herpes simplex virus. In Remington JS, ed. Infectious Diseases of the Fetus and Newborn. Philadelphia: W.B. Saunders, 1990:282–305

77. Liesegang TJ: Herpes simplex virus epidemiology and ocular importance. Cornea 20:1, 2001

78. Isenberg SJ, Apt L, Yoshimori R, Leake RD, Rich R: Povidone-iodine for ophthalmia neonatorum prophylaxis. Am J Ophthalmol 118:701, 1994

79. Wilkie JS, Easterbrook M, Coleman V, Stevens T: Crede prophylaxis and neonatal corneal infection with herpesvirus. Arch Ophthalmol 91:386, 1974

80. el Azazi M, Malm G, Forsgren M: Late ophthalmologic manifestations of neonatal herpes simplex virus infection. Am J Ophthalmol 109:1, 1990

81. Wolff SM: The ocular manifestations of congenital rubella. A prospective study of 328 cases of congenital rubella. J Pediatric Ophthalmol 10:101, 1973

82. Sears ML: Congenital glaucoma in neonatal rubella. Br J Ophthalmol 51:744, 1967

83. Boniuk V: Systemic and ocular manifestations of the rubella syndrome. Int Ophthalmol Clin 12:67, 1972

84. Givens KT, Lee DA, Jones T, Ilstrup DM: Congenital rubella syndrome: ophthalmic manifestations and associated systemic disorders. Br J Ophthalmol 77:358, 1993

85. Cruz OA, Sabir SM, Capo H, Alfonso EC: Microbial keratitis in childhood. Ophthalmol 100:192, 1993

86. Burns RP, Rhodes DH: Pseudomonas eye infection as a case of death in premature infants. Arch Ophthalmol 65:517, 1961

87. Davis EA, Dohlman CH: Neurotrpohic keratitis. Int Ophthalmol Clinics 41:1, 2001

88. Vinals AF, Kenyon KR: Corneal manifestations of metabolic diseases. Int Ophthalmol Clinics 38:141, 1998

89. Whitley CB: The mucopolysaccharidoses. In Beighton (ed): McKusick's Heritable Disorders of Connective Tissue, 5th ed. St. Louis: CV Mosby, 1993:367–499

90. Libert J, Kenyon KR: Ocular ultrastructure in inborn lysosomal storages diseases. In Goldberg MA (ed): Genetic and Metabolic Eye Disease, 2nd ed. Boston: Little, Brown & Co, 1986:111–137

91. Newman NJ, Starck T, Kenyon KR, Lessell S, Fish I, Kolodny EH: Corneal surface irregularities and episodic pain in a patient with mucolipidosis IV. Arch Ophthalmol 108:251, 1990

92. Berliner ML: Lipid keratitis of Hurler's syndrome (gargoylism or dysostosis multiplex). Clinical and pathologic report. Arch Ophthalmol 22:97, 1939

93. Kenyon KR, Topping TM, Green WR, Maumenee E: Ocular pathology of the Maroteaux-Lamy syndrome (systemic mucopolysaccharidosis type VI). Histologic and ultrastructural report of two cases. Am J Ophthalmol 73:718, 1972

94. Weingeist TA, Blodi FC: Fabry's disease: ocular findings in a female carrier—a light and electron microscopic study. Arch Ophthalmol 85:169, 1971

95. Rodrigues MM, Calhoun J, Harley RD: Corneal clouding with increased acid mucopolysaccharide accumulation in Bowman's membrane. Am J Ophthalmol 79:916, 1975

96. Heathcote JG, Sholdice J, Walton JC, Willis NR, Sergovich FR: Anterior segment mesenchymal dysgenesis associated with partial duplication of the short arm of chromosome 2. Can J Ophthalmol 26:35, 1991

97. Burns RP: Soluble tyrosine aminotransferase deficiency: an unusual case of corneal ulcers. Am J Ophthalmol 73:400, 1972

98. Macsai MS, Schwartz TL, Hinkle D, Hummel MB, Mulhern MG, Rottman D: Tyrosinemia type II:. nine cases of ocular signs and symptoms. Am J Ophthalmol 132:522, 2001

99. Goldsmith LA, Kang E, Bienfang DC, Jimbow K, Gerald P, Baden HP: Tyrosinemia with plantar and palmar keratosis and keratitis. J Pediatr 83:789, 1973

100. Chitayat D, Balbul A, Hani V, et al: Hereditary tyrosinemia type II in a consanguineous Ashkenazi Jewish family: intrafamilial variation in phenotype; absence of parental phenotype effects on the fetus. J Inher Metab Dis 15:198, 1992

101. Gipson IK, Anderson RA: Response of the lysosomal system of the corneal epithelium to tyrosine-induced cell injury. J Histochem Cytochem 125:1351, 1977

102. Ahmad S, Teckman JH, Lueder GT: Corneal opacities associated with NTBC treatment. Am J Opthtalmol 134:266, 2002

103. Mungan N, Nischal KK, Heon E, MacKeen L, Balfe JW, Levin AV: Ultrasound biomicroscopy of the eye in cystinosis. Arch Ophthalmol 118:1329, 2000

104. Kaiser-Kupfer MI, Gazzo MA, Datiles MB, Caruso RC, Kuehl EM, Gahl WA: A randomized placebo-controlled trial of cysteamine eye drops in nephropathic cystinosis. Arch Ophthalmol 108:689, 1990

105. Katz B, Melles RB: Crystal deposition following keratoplasty in nephropathic cystinosis. Arch Ophthalmol 107:1727, 1989

106. Tsilou ET, Rubin BI, Reed GF, Iwata F, Gahl W, Kaiser-Kupfer MI: Age-related prevalence of anterior segment complications in patients with infantile nephropathic cystinosis. Cornea 21:173, 2002

107. Reese AB, Ellsworth RM: The anterior chamber cleavage syndrome. Arch Ophthalmol 75:307, 1966

108. Waring GO, Rodrigues MM, Laibson PR: Anterior chamber cleavage syndrome. A stepladder classification. Surv Ophthalmol 20:3, 1975

109. Rao SK, Padmanabhan P: Posterior keratoconus. An expanded classification scheme based on corneal topography. Ophthalmology 105:1206, 1998

110. Streeten BW, Karpik AG, Spitzer KH: Posterior keratoconus associated with systemic abnormalities. Arch Ophthalmol 101:616, 1983

111. Williams R: Acquired posterior keratoconus. Br J Ophthalmol 71:16, 1987

112. Cote MA, Gaster RN: Keratohematoma leading to acquired posterior keratoconus. Cornea 13:534, 1994

113. Haney WP, Falls HF: The occurrence of congenital keratoconus posticus circumscriptus. Am J Ophthalmol 52:53, 1961

114. Krachmer JH, Rodrigues MM: Posterior keratoconus. Arch Ophthalmol 96:1867, 1978

115. Kupfer C, Kuwabara T, Stark WJ: The histopathology of Peters' anomaly. Am J Ophthalmol 80:653, 1975

116. Stone DL, Kenyon KR, Green WR, Ryan SJ: Congenital corneal leukoma (Peters' anomaly). Am J Ophthalmol 81:173, 1976

117. Townsend WM, Font RL, Zimmerman LE: Congenital corneal leukomas. II. Histopathological findings in 19 eyes with central defect in Descemet's membrane. Am J Ophthalmol 77:192, 1974

118. Townsend WM, Font RL, Zimmerman LE: Congenital corneal leukomas. III. Histopathological findings in 13 eyes with noncentral defect in Descemet's membrane. Am J Ophthalmol 77:400, 1974

119. Lee CF, Yue BYJT, Robin J, Sawaguchi S, Sugar J: Immunohistochemical studies of Peters' anomaly. Ophthalmology 96:958, 1989

120. Hagedoorn A, Velzeboer CMJ: Postnatal partial spontaneous correction of a severe congenital anomaly of the anterior segment of an eye. Arch Ophthalmol 62:685, 1959

121. Waring GO, Parks MM: Successful lens removal in congenital corneolenticular adhesion (Peters' anomaly). Am J Ophthalmol 83:526, 1977

122. Myles WM, Flanders ME, Chitayat D, Brownstein S: Peters' anomaly: a clinicopathologic study. J Pediatr Ophthalmol Strabismus 29:374, 1992

123. Traboulsi EI, Maumenee IH: Peters' anomaly and associated congenital malformations. Arch Ophthalmol 110:1739, 1992

124. Heon E, Barsoum-Homsy M, Cevrette L, et al: Peters' anomaly. The spectrum of associated ocular and systemic malformations. Ophthalmic Paediatr Genet 13:137, 1992

125. Cross H: Penetrance of variability in anterior chamber malformations. Birth Defects 15:131, 1979

126. Holmstrom GE, Reardon WP, Baraitser M, Elston JS, Taylor DS: Heterogeneity in dominant anterior segment malformations. Br J Ophthalmol 75:591, 1991

127. Halder G, Callaerts P, Gehring WJ: Induction of ectopic eyes by targeted expression of the eyeless gene in Drosophila. Science 267:1788, 1995

128. Hanson IM, Fletcher JM, Jordan T, et al: Mutations at the PAX6 locus are found in heterogenous anterior segment malformations including Peters' anomaly. Nat Genet 6:168, 1994

129. Doward W, Perveen R, Lloyd IC, et al: A mutation in the RIEG1 gene associated with Peters' anomaly. J Med Genet 36:152, 1999

130. Honkanen RA, Nishimura DY, Swiderski RE, et al: A family with Axenfeld-Rieger syndrome and Peters anomaly caused by a point mutation (Phe112Ser) in the FOXC1 gene. Am J Ophthalmol 135:368, 2003

131. Vincent A, Billinsgly G, Priston M, et al: Phenotypic heterogeneity of CYP1B1: mutations in a patient with Peters' anomaly. J Med Genet 38:324, 2001

132. Jotterand V, Boisjoly HM, Harnois C, Bigonesse P, Laframboise R, Gagne R, St-Pierre A: 11p13 deletion, Wilms' tumor, and aniridia: unusual genetic, non-ocular and ocular features of three cases. Br J Ophthalmol 74:568, 1990

133. Dichlt A, Jonas JB, Naumann GOH: Atypical Peters' anomaly associated with partial trosomy 5p. Am J Ophthalmol 120:541, 1995

134. Schanzlin DJ, Robin JB, Erickson G, Lingua R, Minckler D, Pickford M: Histopathologic and ultrastructural analysis of congenital corneal staphyloma. Am J Ophthalmol 95:506, 1983

135. Smith HC: Keloid tumors of the cornea. Trans Am Ophthalmol Soc 38:519, 1940

136. Leff SR, Shields JA, Augsburger JJ, Sakowski AD, Blair CJ: Congenital corneal staphyloma: clinical, radiological, and pathological correlation. Br J Ophthalmol 70:427, 1986

137. Townsend WM: Congenital corneal leukomas. I. Central defect in Descemet's membrane. Am J Ophthalmol 77:80, 1974

138. BenEzra D, Sela M, Peer J: Bilateral anophthalmia and unilateral microphthalmia in two siblings. Ophthalmologica 198:140, 1989

139. Waring GO, Rodrigues MM, Laibson PR: Corneal dystrophies. I. Dystrophies of the epithelium, Bowman's layer and stroma. Surv Ophthalmol 23:71, 1978

140. Waring GO, Rodrigues MM, Laibson PR: Corneal dystrophies. II. Endothelial dystrophies. Surv Ophthalmol 23:147, 1978

141. Toma NMG, Ebenezer ND, Inglehearn CF, Plant C, Ficker LA, Bhattacharya SS: Linkage of congenital hereditary endothelial dystrophy to chromosome 20. Hum Mol Genet 4:2395, 1995

142. Hand CK, Harmon DL, Kennedy SM, FitzSimon JS, Collum LMT, Parfrey NA: Localization of the gene for autosomal recessive congenital hereditary endothelial dystrophy (CHED2) to chromosome 20 by homozygosity mapping. Genomics 61:1, 1999

143. Kenyon KR, Maumenee AE: Further studies of congenital hereditary endothelial dystrophy of the cornea. Am J Ophthalmol 76:419, 1973

144. Schaumberg DA, Moyes AL, Gomes JAP, Dana MR: Corneal transplantation in young children with congenital hereditary endothelial dystrophy. Am J Ophthalmol 127:373, 1999

145. Cockerham GC, Laver NV, Hidayat AA, McCoy DL: An immunohistochemical analysis and comparison of posterior polymorphous dystrophy with congenital hereditary endothelial dystrophy. Cornea 21:787, 2002

146. Cibis GW, Krachmer JA, Phelps CD, Weingeist TA: The clinical spectrum of posterior polymorphous dystrophy. Arch Ophthalmol 95:1529, 1977

147. Levy SG, Moss J, Nobel BA, McCartney ACE: Early onset posterior polymorphous dystrophy. Arch Ophthalmol 114:1265, 1996

148. Heon E, Greenberg A, Kopp KK, et al: VSX1: A gene for posterior polymorphous dystrophy and keratoconus. Hum Mol Genet 11:1029, 2002

149. Biswas S, Munier FL, Yardley J, et al: Missense mutations in COL8A2, the gene encoding the α2 chain of type VIII collagen, causing two forms of corneal endothelial dystrophy. Hum Mol Genet 10:2415, 2001

150. Rodrigues MM, Waring GO, Laibson PR, Weinreb S: Endothelial alterations in congenital corneal dystrophies. Am J Ophthalmol 80:678, 1975

151. Sekundo W, Lee WR, Kirkness CM, Aitken DA, Fleck B: An ultrastructural investigation of an early manifestation of the posterior polymorphous dystrophy of the cornea. Ophthalmology 101:1422, 1994

152. Ross JR, Foulks GN, Sanfilippo FP, Howell DN: Immunohistochemical analysis of the pathogenesis of posterior polymorphous dystrophy. Arch Ophthalmol 113:340, 1995

153. Brooks AMV, Grant G, Gillies WE: Differentiation of posterior polymorphous dystrophy from other posterior corneal opacities by specular microscopy. Ophthalmol 96:1639, 1989

154. Hirst LW, Waring GO: Clinical specular microscopy of posterior polymorphous endothelial dystrophy. Am J Ophthalmol 95:143, 1983

155. Grupcheva CN, Chew GSM, Edwards M, Craig JP, McGhee CNJ: Imaging posterior polymorphous corneal dystrophy by in vivo confocal microscopy. Clinical and Exp Ophthalmol 29:256, 2001

156. Witschel H, Fine BS, Grutzner P, McTigue JW: Congenital hereditary stromal dystrophy of the cornea. Arch Ophthalmol 96:1043, 1978

157. Elsas FJ, Green WR: Epibulbar tumors in childhood. Am J Ophthalmol 79:1001, 1975

158. Baum JL, Feingold M: Ocular aspects of Goldenhar's syndrome. Am J Ophthalmol 75:250, 1973

159. Shields JA, Laibson PR, Augsburger JJ, Michon CA: Cerntal corneal dermoid: a clinicopathologic correlation and review of the literature. Can J Ophthalmol 21:23, 1986

160. Hayasaka S, Sekimoto M, Setogawa T: Epibulbar complex choristoma involving the bulbar conjunctiva and cornea. J Pediatr Ophthalmol Strabismus 26:251, 1989

161. Mann I: Developmental Abnormalities of the Eye. Philadelphia: JB Lippincott, 1957:357–361

162. Henkind P, Marinoff G, Manas A, Friedman A: Bilateral corneal dermoids. Am J Ophthalmol 76:972, 1973

163. Nsiaye PA, Ndiaye MR, Ba EA, et al: Dermoides de la cornee: A propos de deux observations du 2edegre de Ida Mann. J Fr Ophthalmol 13:255, 1990

164. Murata T, Ishibashi T, Ohnishi Y, Inomata H: Corneal choristoma with microphthalmos. Arch Ophthalmol 109:1130, 1991

165. Waring GO, Laibson PR: Keratoplasty in infants and children. Trans Am Acad Ophthalmol Otolaryngol 83:283, 1977

166. Stulting RD, Sumers KD, Cavanagh HD, Waring GO, Gammon JA: Penetrating keratoplasty in children. Ophthalmology 91:1222, 1984

167. Gollamudi SR, Traboulsi EI, Chamon W, et al: Visual outcome after surgery for Peters' anomaly. Ophthalmic Genet 15:31, 1994

168. Dana MR, Schaumberg DA, Moyes AL, Gomes JAP: Corneal transplantation in children with Peters anomaly and mesenchymal dysgenesis. Ophthalmology 104:1580, 1997

169. Frueh BE, Brown SI: Transplantation of congenitally opaque corneas. Br J Ophthalmol 81:1064, 1997

170. Yang LLH, Lambert SR, Lynn MJ, Stulting RD: Long-term results of corneal graft survival in infants and children with Peters' anomaly. Ophthalmology 106:833, 1999

171. Aasuri MK, Garg P, Gokhle N, Gupta S: Penetrating keratoplasty in children. Cornea 19:140, 2000

172. Cameron JA: Good visual result following early penetrating keratoplasty for Peters' anomaly. J Pediatr Ophthalmol Strabismus 30:109, 1993

173. Comer RM, Daya SM, O'Keefe M: Penetrating keratoplasty in infants. J AAPOS 5:285, 2001

174. Beauchamp GR: Pediatric keratoplasty: problems in management. J Pediatr Ophthalmol Strabismus 16:388, 1979

175. Schanzlin DJ, Goldberg DB, Brown SI: Transplantation of congenitally opaque corneas. Ophthalmology 87:1253, 1980

176. Parmley VC, Stonecipher KG, Rowsey JJ: Peters' anomaly: a review of 26 penetrating keratoplasties in infants. Ophthalmic Surg 24:31, 1993

177. Dana MR, Moyes AL, Gomes JAP, Rosheim KM, Schaumberg DA, Laibson PR, Holland EJ, Sugar A, Sugar J: The indications for and outcome in pediatric keratoplasty. A multicenter study. Ophthalmology 102:1129, 1995

178. Schaumberg DA, Moyes AL, Gomes JAP, Dana MR: Corneal transplantation in young children with congenital hereditary endothelial dystrophy. Am J Ophthalmol 127:373, 1999

Back to Top