Chapter 21
Structure and Function of the Retinal Pigment Epithelium
GERALD B. GRUNWALD
Main Menu   Table Of Contents

Search

EMBRYONIC DEVELOPMENT AND CONGENITAL DISORDERS OF THE RPE
CELLULAR ORGANIZATION OF THE RPE
ESTABLISHMENT OF RPE CELL POLARITY
APICAL MEMBRANE SPECIALIZATIONS OF THE RPE
LATERAL SURFACE CELL-ADHESIVE INTERACTIONS OF THE RPE
BASAL SURFACE SPECIALIZATIONS OF THE RPE AND BRUCH'S MEMBRANE
RETINOID PROCESSING AND THE RPE
THE RPE AND PHOTORECEPTOR OUTER SEGMENT PHAGOCYTOSIS
MELANIN AND LIPOFUCHSIN IN THE RPE
DISEASES AND AGING OF THE RPE
PROSPECTS FOR RPE GENETIC ENGINEERING AND TRANSPLANTATION
RPE CELL CULTURE AND ANIMAL MODELS
GENOMIC AND PROTEOMIC ANALYSIS OF THE RPE
CONCLUSION
ACKNOWLEDGEMENTS
REFERENCES

The retinal pigment epithelium (RPE) occupies a functionally critical location in the human eye, sandwiched between the neural retina (NR) and the choroid. At first glance, the RPE appears strikingly simple and homogeneous in histological organization, presenting as a simple epithelial monolayer of pigmented, hexagonally packed cuboidal cells. However, this apparent simplicity is deceptive, because the RPE actually performs a wide variety of functions that are critical during the embryonic development of the retina as well as throughout adult life to maintain normal visual function (see Table 1). These functions include absorption of stray light to enhance visual acuity, protection against toxic and oxidative damage, formation of the blood–retinal barrier, selective transport of substances to and from the neural retina, phagocytosis of shed photoreceptor outer segments, elimination of waste products, and processing of vitamin A metabolites in the visual cycle. The purpose of this review is to provide an overview of the structure and function of the RPE, with an emphasis on its cellular, molecular, and developmental biology. Given the critical role of the RPE in retinal function, and the growing recognition of RPE dysfunction as a cause of ocular disease, a greater understanding of the fundamental cellular and molecular biology of RPE will be important to take full advantage of the emerging prospects for treatment of these diseases through physi-ologic and genetic modulation of RPE function and through RPE cell transplantation. The existing literature on the biology of the RPE cell is vast, and this chapter summarizes fundamental aspects as well as current advances in our understanding of the RPE in the decade since the last version of this chapter was written. This previous chapter may be referred to for additional background and its excellent and detailed review of RPE cytology.1 In addition, the reader is directed to additional relevant current chapters of this compendium.

Historically, by the mid-19th century, the RPE was recognized as a distinct ocular tissue within the eye as a result of advances in histology and microscopy, as well as an appreciation of its embryonic origin.2 Notable for its melanin content and resulting deep pigmentation, this property, coupled with the location of the RPE just posterior to the retina, at first suggested a primary function in absorption of stray light that had not been absorbed by the retina, which would otherwise result in degradation of the visual image caused by reflection and scattering within the eye. However, even 19th century clinical observations had already linked detachment of the neural retina from the RPE to loss of visual function, and suggested that the RPE possessed a more active and vital role in visual physiology. Subsequent clinical findings, combined with extensive in vitro cellular and molecular analyses, and in vivo animal model studies, have clearly identified the RPE as a physiologically complex tissue with a variety of functions that support the visual process. Enhanced understanding of the cellular and molecular basis of retinal disorders has identified RPE dysfunction as playing either a direct primary role, or an indirect secondary role through interaction with the NR, in ocular diseases such as age-related macular degeneration (ARMD), proliferative vitreoretinopathy (PVR), retinitis pigmentosa (RP), Stargardt disease, Leber's congenital amaurosis, and congenital hyperplasia of the RPE (CHRPE), which are discussed further.

 

TABLE 1. Summary of Structural and Functional Specializations of the RPE


 1. Embryonic derivative of the external layer of the optic cup
 2. Histologically, a simple cuboidal, hexagonally packed epithelium
 3. Numerous apical microvilli and basal membrane infoldings
 4. Rests on a basement membrane, a component of Bruch's membrane
 5. Presence of prominent melanosomes
 6. Prominent tight junctions (zonula occludens) at apex of lateral membranes
 7. Regulation of transport between neural retina and choroidal circulation (blood–retinal barrier)
 8. Pigment absorbs stray light to improve optical resolution
 9. Pigment provides protection against toxins and photooxidation
10. Interdigitation of apical microvilli with rod and cone outer segments for retinal adhesion
11. Phagocytosis and lysosomal degradation of shed rod and cone photoreceptor outer segments
12. Unusual apical polarization of sodium, potassium-ATPase
13. Polarized expression of ion channels and pumps (e.g., potassium, chloride, lactate)
14. Contribution to and regulation of contents of unique interphotoreceptor matrix
15. Generation of a component of the electrooculogram (EOG)
16. Pumping of water for dehydration of subretinal space (from vitreal side to choroid)
17. Storage, processing, and transport of vitamin A derivatives in the visual cycle
18. Accumulation of lipofuchsin during aging process
19. Metabolic codependence with the neural retina
20. Contribution to retinal diseases such as age-related macular degeneration and proliferative vitreoretinopathy

 

Back to Top
EMBRYONIC DEVELOPMENT AND CONGENITAL DISORDERS OF THE RPE

The embryonic origin of the RPE, along with the neural retina, can be traced back to formation of the neural tube during neurulation, with subsequent formation of the optic vesicles as outpouchings of the diencephalic region of the primitive brain. Invagination of the optic vesicles results in formation of a two-layered optic cup, with the RPE derived from the outer layer and the neural retina derived from the inner layer (Fig. 1). Thus, the RPE is a neuroepithelial derivative that becomes highly specialized in structure and function as an epithelial monolayer with unique properties.3 Because of the topological relationship of the nascent RPE and NR tissues during formation of the optic cup and optic vesicle, the RPE comes to lie adjacent and closely apposed to the NR, but with these two layers facing each other in an apical-to-apical fashion with respect to cellular polarity. This topographic relationship thus permits the intimate interaction of the apical microvilli of RPE cells with the apical outer segments of retinal rod and cone photoreceptors found in the mature retina (Figs. 2 and 3). On a gross level, the orientation of the RPE is such that its basal epithelial surface is oriented toward the outside of the eye, whereas the apical surface faces inward toward the vitreous chamber. Although intimately associated, the RPE and NR do not truly fuse to form a single coherent tissue, and although the original lumen of the optic vesicle is greatly reduced, this potential space between their apical surfaces persists as the intraretinal space (or subretinal space if expanded experimentally, surgically, or pathologically). As a consequence of the persistence of this potential space, retinal detachment may result from traumatic injury, with subsequent loss of visual function unless surgical re-attachment is made. However, the RPE and NR nevertheless normally remain intimately associated through RPE microvilli-NR-outer segment interdigitation, as well as by the presence of a specialized extracellular matrix known as the interphotoreceptor matrix.4

Fig. 1 Schematic drawing illustrating the development of the eye. Forebrain and developing optic vesicles as seen in a 4-mm embryo (a). Bi-layered optic cup and invaginating lens vesicle as seen in a 7.5-mm embryo (b). The optic stalk connects the developing eye to the brain. The eye as seen in a 15-week fetus (c). All the layers of the eye are established, and the hyaloid artery traverses the vitreous body from the optic disc to the posterior surface of the lens. (Modified from Mann IC, Th Development of the Human Eye. New York, Grune and Stratton, 1974, and reproduced from Ross et al. 2003)

Fig. 2 Schematic drawing of the layers of the retina. The interrelationship of the neurons is indicated. Light enters the retina and passes through the inner layers before reaching the photoreceptors of the rods and cones that are closely associated with the retinal pigment epithelium. Reproduced from Ross et al. (2003).

Fig. 3 Photomicrograph of a human retina. On the basis of histologic features, the retina can be divided into 10 layers as indicated on this photomicrograph. Note that Bruch's membrane (lamina vitrea) separates the inner layer of the vascular coat (choroid) from the pigment epithelium, ×440. Reproduced from Ross et al. (2003).

The focus of this review is the RPE proper, i.e., that portion of the RPE in association with the NR. It should be noted that the optic cup is double-layered throughout its extent to its most anterior margin, and that specializa- tions of this anterior margin give rise, through interaction with surrounding mesenchymal tissues, to the ciliary body and iris. Thus, the RPE also makes a contribution to these structures as the RPE of the ciliary body and its processes, as well as the RPE of the iris, with their own unique secretory and contractile properties.5

Proper differentiation of the RPE from the outer layer of the optic cup is dependent on signals received from surrounding tissues, including both the embryonic surface ectoderm as well as the loose extraocular mesenchymal tissue that fills the space between the presumptive RPE and the ectoderm. One of the specific signals that triggers this differentiation is the growth factor activin, a member of the TGFβ family.6 Such signals activate specific changes in gene expression, and advances in our understanding of the genetics of ocular development and disease have led to the identification of several genes that are required for normal development of the RPE as well as a number of human mutations that are now known to be associated with congenital anomalies of the RPE. For example, mutations of the gene encoding microphthalmia-associated transcription factor (MITF) result in forms of Waardenburg syndrome and Tietz syndrome, characterized by hypopigmentation and deafness. Although a variety of isoforms of MITF occur in a number of tissue types, MITF-A is particularly associated with the RPE.7 Another transcription factor controlling RPE differentiation is Otx2.8 MITF and Otx2 both appear to be required for maintenance of several functions of RPE cells, including proliferation, differentiation, and survival. Recent research has also identified several potential regulatory and patterning genes that establish the RPE phenotype, although these also affect additional aspects of ocular development including the NR, lens, and cornea. These include Pax2 and Pax6, in whose absence the external layer of the optic cup tissues develop into neural retina rather than RPE, or when overexpressed can induce neighboring tissues to develop RPE-like properties.9 Thus, differentiation of the RPE, as with other specific tissues, results from a complex interplay of genetic regulation and signaling pathways whose correct balance is required for proper embryonic development.

Some abnormalities of the RPE, while themselves sometimes relatively benign and not necessarily presenting an immediate threat to visual function, may nevertheless reflect other systemic problems. For example, congenital hyperplasia of the RPE (CHRPE) is recognized on fundus examination as a flat hyperpigmented region of the retina. Although isolated nonmalignant hamartomas of the RPE may occur, with little apparent effect on vision,10 it is important to distinguish such a finding from a choroidal melanoma. Furthermore, CHRPE has been associated as part of a syndrome including familial adenomatous polyposis (FAP), resulting from a mutation in the adenomatous polyposis coli (APC) gene. Although generally thought to represent a benign RPE hyperplasia with little effect on the adjacent retina, in this case CHRPE is associated with FAP and the extensive formation of colon polyps usually progressing to colon cancer.11 Furthermore, recent studies have indicated that CHRPE itself may progress to adenocarcinoma.12,13 Given this and the further association of altered RPE pigmentation with a variety of ocular diseases as discussed, the RPE can serve as an accessible sentinel for detection of ocular and systemic diseases, which may be further distinguished after ophthalmoscopic examination with fluorescein angiography and other diagnostic tests.14

Back to Top
CELLULAR ORGANIZATION OF THE RPE

The histological appearance of the mature RPE proper (that associated with the NR) is of a simple cuboidal polarized epithelium.15 When viewed en face, as seen in an explanted intact sheet of RPE, the cells generally appear as tightly adherent cells with hexagonal packing. RPE cells possess a characteristic cytological appearance and organelle distribution (Fig. 4). In RPE cells, mitochondria are located basally, beneath the nucleus, and close to the basal infoldings of the plasma membrane. The cells contain numerous catalase-containing microperoxisomes that function in the conversion of hydrogen peroxide to water. The RPE cell cytoplasm contains mainly smooth, and relatively little rough, endoplasmic reticulum, a characteristic of cells actively involved in lipid metabolism.15 RPE cells possess a Golgi complex, an organelle in which newly synthesized molecules are sorted, modified, and targeted to appropriate sites in the cell, a function critical for maintenance of RPE cell polarity. The Golgi complex of RPE cells is small and often scarcely distinguishable from the other tubules and vesicles of the endoplasmic reticulum. Lipid droplets (homogeneous-appearing spheres 0.5 to 1 μm in diameter with no limiting membrane) are seen rarely in primate pigment epithelial cells but are common in amphibian and rat retinas, where they have been shown to be a normal site of vitamin A storage. There are approximately 5 million RPE cells in the human eye, and during development the density of pigment epithelial cells increases steadily in the macular area, gradually reaching a stable level 6 months after birth. In contrast, near the ora serrata, cell density starts at high levels and decreases rapidly through the first postnatal year and more gradually thereafter. Furthermore, there is some concomitant variation in the dimensions of RPE cells depending on the location in the eye, and further variation may occur with aging.16,17 In the macular region of the adult eye the cells are tall (14–16 μm) and narrow (10–14 μm), whereas toward the periphery they become significantly flatter and wider, such that at the ora serrata RPE cells may be 60-μm-wide (Fig. 5). After age 60, RPE cells throughout most of the retina become shorter, broader, and generally demonstrate a more variable morphology, with macular RPE cells increasing in height with advancing age. However, after age 90, when there has been cell loss, even macular RPE cells become wider and flatter. While these events represent generally slow responses to age-related intrinsic and extrinsic changes, RPE cells both in vitro and in vivo can exhibit rapid and wide-ranging phenotypic variation including epithelial-mesenchymal transformation and transdifferentiation.18,19 Such a capacity for plasticity may represent a necessary and beneficial ability to respond to disease and injury, and indeed differentiated mammalian RPE cells remain capable of cell division and wound healing.20 However, there is limited capacity for extensive repair, such as after damage of the deeper layers of Bruch's membrane, which often leads to scarring and lack of normal re-pigmentation.21 Furthermore, the normal program of RPE wound healing may be subverted by events such as exposure to vitreous and serum after rhegmatogenous retinal detachment, possibly resulting in the aberrant wound healing response and subsequent scarring seen in PVR.22,23 Thus, further elucidation of the molecular mechanisms underlying the phenotypic variability of RPE cells may provide important insights leading to therapeutic interventions in such circumstances.

Fig. 4 Electron micrograph of the retinal pigment epithelium in association with the outer segments of rods and cones. Retinal pigment epithelium (RPE) contains numerous elongated melanin granules that are aggregated in the apical portion of the cell, where the microvilli extend from the surface toward the outer segments of the rod and cone cells. The retina pigment epithelial cells contain numerous mitochondria and phagosomes. The arrow indicates the location of the junction complex between two adjacent cells, ×20,000. (Courtesy of Dr. Toichiro Kuwabara and reproduced from Ross et al. 2003)

Fig. 5 Light micrographs of two areas of the same human retina sectioned in a transverse plane and aligned at Bruch's membrane (BrM), demonstrating topographic variation. A. Equatorial retina. Cuboidal retinal pigment epithelial (RPE) cells, with basally located nuclei, form a continuous monolayer that marks the outermost limit of the retina. Each cell extends apical processes into the interphotoreceptor space, which interdigitate with the apical processes (the inner and outer segments [IS, OS]) of the photoreceptor cells of the inverted neurosensory retina. The basal surface of the RPE rests on Bruch's membrane. Capillaries of the choroid (choriocapillaris, [CC]) abut the outer side of Bruch's membrane. B. Fovea. Retinal pigment epithelial cells are taller and narrower. Bruch's membrane is thicker (×320).

Back to Top
ESTABLISHMENT OF RPE CELL POLARITY
Knowledge of the important functional role of the RPE cell membrane, and its molecular composition, have increased enormously with progress in the field of molecular cell biology, with substantial progress in our understanding of how the RPE regulates cell–cell and cell–matrix adhesion to maintain normal tissue integrity and polarity, and the associated barrier, transport, and secretory functions. Vectorial transport, a principal function of epithelia, depends on the polar distribution of plasma membrane constituents, and as in other polarized epithelial cells, the RPE surface is divided into apical and basolateral domains, each of which is discussed in detail. Both intrinsic and extrinsic signals contribute to the established polarity of cells, including RPE.24 Principle among these are the endogenous sorting mechanisms encoded into the polypeptide sequences of specific proteins and recognized by the Golgi apparatus, endoplasmic reticulum, and associated intracellular transport machinery, in concert with the morphogenetic signaling potential of cell–cell and cell–matrix interactions that guide a cell into appropriate relationships with their neighbors. For RPE cells, such guidance mechanisms are required for the polarized expression of ion pumps such as the Na+-K+ ATPase, which in RPE, as opposed to most epithelial cells, is localized apically, and carrier proteins such as the monocarboxylate transporters.3,25–27 Without such domain-specific localization patterns, the vectorial metabolic pumping and transport functions of the RPE for ions, water, visual cycle intermediates, nutrients, waste products, and macromolecular components of the IPM and Bruch's membrane would not function properly. Experimental evidence suggests that the mechanisms that result in the proper placement and/or retention of RPE membrane proteins may include age-dependent changes during development, inductive interactions from neighboring tissues such as the NR, cell-junction-complex-mediated signaling by cadherin cell adhesion molecules, quantitative differences in membrane surface area of different subcellular compartments, random delivery followed by selective retention, and guidance by chaperone proteins.24–29 Disturbance in these mechanisms may result in the aberrant transport or accumulation of materials that characterize certain RPE-related retinal dystrophies, as discussed further.
Back to Top
APICAL MEMBRANE SPECIALIZATIONS OF THE RPE

As already discussed, the topography of retinal development results in the intimate association of RPE apical microvilli with rod and cone photoreceptor outer segments across the intraretinal space (Figs. 4 and 6). These are bound together by the interphotoreceptor matrix (IPM), a network of proteins and proteoglycans containing a variety of enzymes, growth factors, carrier proteins, and other constituents.4 A number of constituents of this matrix have been localized in three distinct patterns, such as those that demonstrate rod- and cone-specific localization, those with an apical-to-basal heterogeneity, and others with a more homogeneous distribution. When there is a neurosensory retinal detachment, the potential interphotoreceptor space expands as fluid accumulates to form what is clinically referred to as the subretinal space, and the photoreceptors, now deprived of their supportive RPE functions, will degenerate if re-attachment is not effective. To maintain normal retinal attachment, RPE cells develop long slender apical microvilli of 5 to 7μm in length, forming sheaths that appear to participate in phagocytosis of outer segments. Villous processes surrounding rods contain smooth endoplasmic reticulum, ribosomes, melanin granules, and actin filaments. Villous processes that surround extrafoveal cones are usually devoid of intracellular organelles except for pigment granules. Despite their intimate relationship, no junctional attachments have been found between the RPE apical processes and the photoreceptor outer segments, although several molecular mechanisms forming the basis of this recognition and adhesion have been proposed, as discussed later.

Fig. 6 Transmission electron micrograph of retinal pigment epithelium in a transverse plane. The basally located nucleus contains a nucleolus (Nu), loose euchromatin and marginated dense heterochromatin. The basal surface of the cell, marked by many infoldings of the plasma membrane, rests on a basement membrane (BM). The apical surface has long processes (P) extending into the interphotoreceptor space (IPS). These processes envelope the distal part of photoreceptor outer segments (OS). The junctional complex (TJ) is the site of attachment between adjacent epithelial cells (arrows). The retinal pigment epithelial cell contains two classes of pigments: elliptical melanin granules (Mel), located apically, and round or figure-eight lipofuscin granules (Lf), located more basally. Phagolysosomes (Ph) and other secondary lysosomes are seen. The cytoplasm contains principally smooth endoplasmic reticulum and a few lamellar arrays of rough endoplasmic reticulum (RER), which is usually located in the apical region. The paranuclear Golgi apparatus (G) is generally inconspicuous. Numerous mitochondria, free ribosomes, and microperoxisomes lie near the infoldings of the basal plasma membrane. Focal adhesions (FA) are special sites connecting the cell to its basement membrane. This specimen is from a 31-year-old woman (×10,500). Inset. Cross-section of outer segments (OS) near the apex of a retinal pigment epithelial cell showing the encircling apical process (P). Note the presence of interphotoreceptor matrix (IPM) in this specimen from a 26-year-old man (×23,000).

As previously mentioned, the tight junctions of the RPE contribute to formation of the blood–retinal barrier and also help to establish the compartmentalization required to maintain the unique microenvironment of the IPM. In part this involves control of the ionic milieu required for phototransduction and its component dark current in photoreceptors. The apical membrane contains ion channels and transport molecules involved in fluid movement from the retina to the choroid.30 As already alluded to, unlike most transporting epithelia, which have Na+-K+ ATPase located in the basolateral plasma membrane near the energy-producing mitochondria, the RPE has this enzyme in the apical membrane. Na+-K+ ATPase helps regulate extracellular potassium levels and fluid fluxes that contribute to the adhesion of the neurosensory retina. RPE cells make an important contribution to this via regulation of K+ transport mediated by the KIR family of inwardly-rectifying K+ channel proteins, specific isoforms of which are expressed in the RPE and are localized along the cell surface membranes of the apical microvilli.31 Another important apical specialization of RPE cells is the localization of Na+K+/Cl- cotransport proteins that, in concert with additional basal Cl- channels (see later), regulate the chloride flux that appears to be the major determinant of net fluid transport across the RPE.30 This net vectorial transport of fluid from retina to choroid helps to maintain RPE/NR adhesion, and water-conducting aquaphorin membrane channels have been identified on the apical surface of RPE cells that facilitate this process.32 Additionally, apical localization of the monocarboxylate transporter MCT1 isoform may help regulate pH and osmolarity in the intraretinal space (again, see later for a basal membrane counterpart).33 Finally, another important specialization of the apical membranes of RPE cells is the presence of receptors that mediate binding and phagocytosis of shed photoreceptor outer segment membranes, and transport of vitamin A metabolites in the visual cycle, which is described further.

Back to Top
LATERAL SURFACE CELL-ADHESIVE INTERACTIONS OF THE RPE

The epithelial integrity of the RPE, as with all epithelial tissues, is critically dependent on lateral cell-cell interactions mediated by a variety of specialized intercellular junctions. The lateral cell membranes of the RPE have relatively flat surfaces, in contrast to the highly convoluted apical and basal surfaces (Figs. 7 and 8). As in typical epithelial cells, the cell-cell junctions of RPE cells form a classical “junctional complex” along the lateral cell membranes, and are arranged in the apical to basal direction as: (1) tight junctions or zonula occludens; (2) adherens junctions or zonula adherens; and (3) desmosomes or macula adherens34,35 (Figs. 4 and 9). However, the latter are not observed as prominently as in many other epithelia, and although desmosomes are observed in human RPE, there is some species-specificity of appearance.36 In addition, a fourth type of cell–cell junction, the gap junction or communicating junction, is also found in RPE cells. While originally classified on the basis of their morphologically distinct electron microscopic appearance, the molecular composition of these cell junctions has now been well characterized. Furthermore, these junctions are recognized to function as more than passive intercellular glues that bind RPE cells together, but in addition they function as loci of bi-directional signaling, integrating the cytoskeleton, intracellular metabolism and gene expression with the extracellular milieu (Figs. 9 and 10).

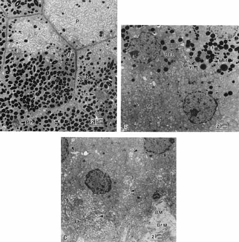
Fig. 7 Transmission electron micrographs of three successive flat sections through the retinal pigment epithelium of a 26-year-old man (×5600). A. Portions of seven retinal pigment epithelial cells cut across their apical poles. The apical processes (P), forming ridges and microvilli, are shown to better advantage here, than in transverse sections. Profiles of melanin granules in apical processes vary in size depending on the level of the section through the elliptical granule. The hexagonal shape of the cells is visually enhanced by the concentration of various cytoskeletal elements in the region of the intercellular junctional complex (JC). Most of the pigment at this level is melanin. Phagosomes (Ph) and rough endoplasmic reticulum (RER) also lie in the apical pole of the cell. B. Profiles of six retinal pigment epithelial cells sectioned through their middle, at which level the intercellular space is poorly visible. The pigments in this region are principally lipofuscin granules (Lf) and complex granules (arrows), which are large, round melanin granules encased in either lipofuscin or lysosomal enzymes (melanolipofuscin [Mlf]; melanolysosomes [Mly]). The cytoplasm is packed with smooth endoplasmic reticulum (SER) and mitochondria (M). C. Portions of five retinal pigment epithelial cells sectioned across the basal pole where mitochondria are concentrated. The basolateral intercellular space is more prominent (arrows), and it merges with the spaces created by the folded basal plasma membrane. The basement membrane (BM) merges with the inner collagenous zone of Bruch's membrane (BrM).

Fig. 8 Light micrographs of a flat preparation of retinal pigment epithelium from a 22-year-old donor eye. A. By transmitted light retinal pigment epithelial cells appear to be full, except for the area of the nucleus, of opaque brown particles as well as shiny translucent particles. B. When the same specimen is excited by ultraviolet light and the emitted light is properly filtered (i.e., excitation approximately 365 nm, emission >440 nm), the autofluorescence (golden yellow) of the previously translucent lipofuscin granules becomes apparent. Compare granules at arrows (×900). Inset. Fluorescence micrograph of part of a retinal pigment epithelial cell of a 69-year-old donor. Lipofuscin granules are 1 to 1.5 μm in diameter. Complex granules consisting of a central core of melanin and a cortex of fluorescent material are identified, by electron microscopy, as melanolipofuscin granules (Mlf) (×2000). Compare with Figure 12A (N, nucleus) (Feeney L: Lipofuscin and melanin of human retinal pigment epithelium. Invest Ophthalmol Vis Sci 17:583, 1978).

Fig. 9 Drawing depicting the intercellular and cell-basement membrane junctions of retinal pigment epithelial cells. A. View of the intercellular junctions as seen from the interior of the cell. Two belt-like junctions encircle the cell near its apex. The zonula occludens (ZO) obliterates the intercellular space owing to fusion of the outer leaflets of the two contiguous cell membranes (arrow). An inset in this zonula shows the freeze-fracture appearance of this region, a network of anastomosing strands that lie in the plane of the fused membranes. The zonula adherens (ZA) is characterized by a somewhat wider intercellular space and attachment of microfilaments on the intracellular side of the membrane. The desmosome or macula adherens (MA) is a “spot-weld” multilayered structure identified by an extracellular midline, two plasma membrane domains, and two plaques at which vimentin intermediate filaments of the cytoskeleton attach. These three structures constitute the tripartite apicolateral junctional complex or terminal bar. Gap junctions (GJ) occur within the zonula occludens as well as at other sites in the lateral cell membrane. The gap junctions, as they appear in a freeze-fracture preparation, are shown at the top of the figure. They consist of an hexagonal array of proteins (connexons) that connect the adjacent cells. The basal attachment of the retinal pigment epithelial cell to the basement membrane is not through a hemidesmosome but rather through focal adhesions (FA). At focal adhesions the plasma membrane has a tiny dense plaque to which cytoplasmic microfilaments are attached. Filaments beneath the focal adhesion insert into the basement membrane. B. Transmission electron micrograph of occluding junction of human retinal pigment epithelial cells. Multiple fusions of the outer leaflets of apposed plasma membranes are seen (×96,000). (A, modified from illustration of corneal basal epithelial cell, Hogan MF, Alvarado JA, Weddell JE: Histology of the Human Eye. Philadelphia: WB Saunders, 1971. Freeze-fracture images from Hudspeth AJ, Yee AG: The intercellular junctional complexes of retinal pigment epithelia. Invest Ophthalmol Vis Sci 12:354, 1973)

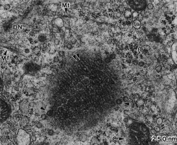
Fig. 10 High magnification electron micrograph of a grazing section of the retinal pigment epithelial nucleus showing the periodic striations of the chromatin (arrows), nuclear pores (arrowheads), and nuclear-cytoskeletal relationships. Microtubules (Mt), cut length-wise, are slightly larger than ribosomes (R) and approximately the same dimension as mitochondrial cristae (C). Microfilaments (Mf) course in all directions, often as bundles that converge at dense nodes (DN). This specimen came from a 47-year-old patient (×38,000).

Tight junctions form a nearly impermeable seal between RPE cells, preventing unregulated intercellular diffusion between RPE cells, and forming the basis for the blood–retinal barrier between the retina and choroidal circulation. Tight junctions are composed of transmembrane proteins called occludins, in association with submembranous intracellular proteins such as ZO-1. A number of isoforms of occludins occur in RPE cells, which are subject to developmental and physiological regulation, and their properties establish the extent of transepithelial electrical resistance of the RPE and selectivity of diffusion between the cel1s.27,37 Adherens junctions form very strong intercellular linkages between adjacent cells and are composed of transmembrane proteins of the cadherin family.19,38–41 The cadherins in turn are bound to submembrane intracellular proteins called catenins, which through a variety of other proteins are ultimately linked to the actin microfilament cytoskeleton. Desmosomes are rivet-like attachments between cells that consist of transmembrane proteins that are also members of the cadherin family, although these are distinct from the “classical” cadherins that form adherens junctions, and they preferentially associate with cytoskeletal elements of the intermediate filament family such as cytokeratins and vimentin. Finally, gap junctions function to provide limited cytoplasmic continuity between adjacent cells, and are composed of hexameric arrays of proteins called connexins, with each individual hexamer called a connexon. Large plaques of multiple connexons link together across adjacent cell surfaces, forming the gap junctions that provide physiologically regulated channels between cells that provide electrical coupling of the cells, as well as allow passage of calcium, hydrogen ions, cyclic adenosine monophosphate, and other small molecules of less than 1000 daltons in size from one cell to another.42

Back to Top
BASAL SURFACE SPECIALIZATIONS OF THE RPE AND BRUCH'S MEMBRANE

A hallmark of epithelial cells is the location at their basal surface of a supporting structure composed of organized extracellular matrix called a basement membrane, whose molecular constituents include collagen, laminin, entactin, and heparan sulfate proteoglycan15,35 (Figs. 3, 5, and 6). The RPE is indeed separated from the underlying choriocapillaris by a thick extracellular matrix called Bruch's membrane, although the latter is more complex than a simple basement membrane. Bruch's membrane contains five distinct layers, of which the outermost is the true basement membrane of the RPE cells.43 Adhesion between the basal surface of the RPE and its basement membrane is stronger than that between the apical membrane and the outer segments of the photoreceptors, hence the resultant detachments that preferentially occur at the RPE/NR interface after traumatic injury. The molecular basis of RPE adhesion to its underlying matrix has been the subject of investigation indicating that cell-matrix adhesion proteins called integrins mediate this process both in vitro44 and on Bruch's membrane.45 Integrins are heterodimeric transmembrane proteins that form a bridge linking vinculin, talin and fodrin and other components to the actin cytoskeleton intracellularly, and to matrix proteins such as collagen, laminin, and fibronectin outside the cell.35 Together, these components form junctional structures called focal adhesions that are visible at the basal surface of RPE cells35,46 (Figs. 9 and 11). The adhesive interactions between the RPE and the underlying connective tissue constitute a major conduit for regulation of cell function and maintenance of phenotype.18,19

Fig. 11 Actin microfilament distribution, visualized by fluorescein-labeled antibodies, in a spread preparation of tissue cultured rat retinal pigment epithelium. Actin fibers form parallel arrays (stress fibers) that run along the cell margins and cross the cell, converging at foci (arrow) (×435). (Chaitin MH, Hall MO: Defective ingestion of rod outer segments by cultured dystrophic rat pigment epithelial cells. Invest Ophthalmol Vis Sci 24:821, 1983)

Similar to the outermost layer, the innermost layer of Bruch's membrane is also a true basement membrane, in this case associated with the endothelial cells of the choriocapillaris. Between these layers is a tripartite structure composed of a central layer rich in elastic fibers, surrounded on either side by a thick collagenous layer. It is within the outer collagenous layer, underneath the RPE basement membrane, where drusen form. Drusen are lipid-rich deposits whose accumulation is associated with the aging process and that may presage AMD. Additional age-related changes in Bruch's membrane have also been described that may deleteriously affect exchange of materials between the choroid and the retina and that thus may lead to retinal malfunction.47 The surface of the basal membrane of RPE cells is characterized by numerous invaginations resulting in a greatly increased surface area that is indicative of active absorption and secretion, and which is involved in regulation of transport and exchange across Bruch's membrane and with the underlying choriocapillaris (Figs. 7 and 12). A variety of channels and receptor molecules for passage and uptake of essential nutrients have been localized here in the basal RPE membrane, including the lactate transport protein MCT333 and a selective chloride channel.30

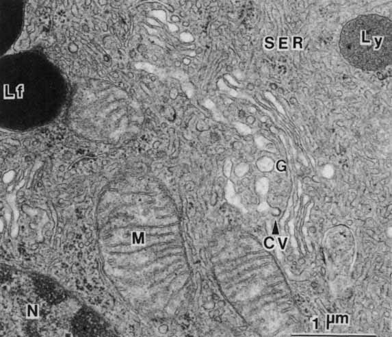
Fig. 12 Transmission electron micrograph showing the Golgi complex (G), a distinctive assembly of cisternae and vacuoles, amid the tangle of conventional smooth endoplasmic reticulum (SER). A small coated vesicle (CV) is budding off a vacuole at the concave face (presumably the trans-face) of the Golgi. A lysosome (Ly), with granular content, a lipofuscin granule (Lf) with dense osmiophilic content, and three mitochondria (M) lie in the adjacent cytoplasm (×24,000). (N, nucleus)

Back to Top
RETINOID PROCESSING AND THE RPE

Insofar as the phototransduction process, by which light energy is converted into neuronal signaling, occurs in the neural retina, the details of that process are covered elsewhere in this series. However, there is a critical role for the RPE in maintenance of this process that bears discussion here. The light absorbing property of photoreceptor pigments such as rhodopsin is dependent on the presence of the vitamin A-derived ligand 11-cis-retinal. After light absorption, photoisomerization of 11-cis-retinal to all-trans-retinol occurs, however, the enzymes required for the re-conversion of all-trans-retinol to 11-cis-retinal are localized in the RPE, so that this transformation requires shuttling of these products between photoreceptors and the RPE in a process known as the visual cycle.48,49 RPE cells also concentrate retinoids from the circulation through specific transport properties (Fig. 13). Transportation of retinoids from photoreceptors to RPE is mediated by interphotoreceptor retinoid binding protein (IRBP), a major protein of the interphotorecptor space.50,51 Once endocytosed by the RPE, re-isomerization occurs before transport back to the neural retina. There still remains much to be learned regarding details of the mechanisms underlying aspects of the RPE cell's role in the visual cycle of retinoid accumulation and processing. Recently, however, additional important insights into the role of the RPE in the visual cycle process have been gained by elucidation of the role of the RPE65 protein. RPE65 was first identified as an RPE-specific protein following screening with libraries of anti-RPE monoclonal antibodies.52 RPE65 was subsequently identified as the product of the human gene causing Leber's congenital amaurosis (LCA), which is characterized by retinal degeneration in childhood.53 This was the first human genetic defect to be clearly associated with retinal degeneration as a result of a primary RPE defect. A mechanistic explanation for this connection, underscoring the critical role of the RPE in the visual cycle, was the identification of RPE65 as a specific binding protein for all-trans-retinyl esters.54

Fig. 13 Receptors for plasma retinol binding protein on the basal and basolateral membrane of the retinal pigment epithelium, visualized by autoradiography (silver deposits) of iodine-125-labeled retinol binding protein. (Bok D: Retinal photoreceptor-pigment epithelium interactions. Invest Ophthalmol Vis Sci 26:1659, 1985)

Back to Top
THE RPE AND PHOTORECEPTOR OUTER SEGMENT PHAGOCYTOSIS

RPE cells play a critical role in the process of turnover and renewal of shed photoreceptor outer segments (Figs. 14 and 15). The amount of material processed by the RPE is quite prodigious, and classic experiments identified both the diurnal nature of the process, and estimated that the total amount of photoreceptor membrane material processed per day may be as much as four times the surface area of the RPE cell membrane itself.55–57 The phagocytic process occurs through engulfment by the apical membrane of the RPE, and although the RPE is capable of slow, nonspecific phagocytosis of a diversity of large and small particles, it is the daily, specific phagocytosis of photoreceptor outer segment disks that constitutes one of the most important functions of RPE cells.58 If the phagocytic capacity of the RPE is impaired, the photoreceptor cells are unable to renew the outer segments, and as a consequence the photoreceptors degenerate and die. Once a phagosome has formed following internalization, fusion occurs with lysosomes, and if lysosomal proteases are inhibited, the RPE rapidly becomes engorged with undegraded phagosomes.59 The phagocytic load, that is, the number of photoreceptor disks shed per day per RPE cell, was calculated by Young to be 2000 disks per day in the parafovea, 3500 in the perifovea, and nearly 4000 in the periphery of the monkey eye. Phagocytosis by the RPE results in the complete turnover of the photoreceptor outer segments once every 8 to 13 days.60 Although the specific receptors of the apical RPE membrane involved in this process remain to be definitively identified, a variety of cell-surface proteins have been experimentally implicated in recognition, binding, and endocytosis of photoreceptor outer segments by RPE cells, including receptors for glycoproteins containing high levels of the sugar mannose,61 and cell surface receptors such as CD36 and the specific integrin alpha(v)beta5.62,63

Fig. 14 Scanning electron micrographs showing the sequence of steps in the phagocytosis of rod outer segment disks by the retinal pigment epithelium. A. An overview of the apical surface of a retinal pigment epithelial cell studded with rod outer segment disks in all stages of engulfment (×4700). B. The first step in phagocytosis involves formation of an attachment “saucer” with a fringe of microvilli (×6500). C. The microvilli then cover the rod outer segment disks (×3850). D. The disk disappears beneath the surface and into the cell. (Chaitin MH, Hall MO: Defective ingestion of rod outer segments by cultured dystrophic rat pigment epithelial cells. Invest Ophthalmol Vis Sci 24:821, 1983)

Fig. 15 Immunocytochemistry, using monoclonal antibodies to a nine amino acid fragment at the carboxy terminus of rhodopsin, demonstrates opsin in a large phagosome and, more basally, in a small phagolysosome (Ph) or secondary lysosome. No lipofuscin granules (Lf) react, indicating the absence of the carboxy terminal region of the rhodopsin molecule. In the preparation of this specimen, osmic acid was not used as a fixative and “electron stain”; therefore, the lipids in the cell were extracted by solvents employed for dehydration of the tissue and lipoidal components of the cell (e.g., membranes, lipofuscin) have no electron density. By contrast, melanin has native electron density (×15,000) (Mel, melanosome; Mlf, melanolipofuscin). (Feeney-Burns L, Gao C-L, Berman ER: The fate of immunoreactive opsin following phagocytosis by pigment epithelium in human and monkey retinas. Invest Ophthalmol Vis Sci 29:708, 1988)

Back to Top
MELANIN AND LIPOFUCHSIN IN THE RPE

RPE cells are brown in color because of the aforementioned melanosomes that are concentrated in the apical portion of the cell. Although the number of melanin granules per cell is the same in macular RPE cells as in equatorial RPE cells, the macular cells are taller and narrower, and the layer of melanin is therefore denser in this region of the fundus. This produces the darker color of the macula, which is further accentuated by the presence of macular pigment in the NR. Although pigmentation of RPE cells was originally considered to function in absorption of stray light, more recent analyses have indicated several additional functions. These include protection against oxidative stress and bindingand/or inactivation of toxic substances.64 Indeed, evidence suggests that melanosomes may play an active role in aspects of RPE metabolism, and may interact with lysosomes in the clearance of bound compounds65 (Figs. 16 and 17). Melanogenesis of RPE cells occurs early in development, and RPE cells are the first cells of the body to become pigmented. The aging RPE gradually assumes a more golden hue because of the accumulation of lipofuscin pigment granules in the perinuclear and basal cytoplasm (see later). Lipofuchsin has long been thought to accumulate in RPE cells as a by-product of processing in lysosomes, membrane-bound organelles whose basic function is the intracellular degradation via acid hydrolases of high-molecular-weight compounds to low-molecular-weight products.35 RPE lysosomes vary considerably in size, from small primary lysosomes to bodies as large as the nucleus, such as secondary lysosomes containing many melanosomes. RPE lysosomes contain enzymes capable of degrading most types of complex biological macromolecules, including nucleic acids, proteins, complex carbohydrates, and lipids.66

Fig. 16 Complex granules resulting from interactions between melanosomes and various parts of the lysosomal system. A. Melanolipofuscin granules (Mlf) have a core of melanin and a cortex of lipofuscin material. The bleb (Ly) on the side of a lipofuscin granule (Lf) has been shown in other studies to contain lysosomal enzymes (×43,000). B. Transmission electron micrograph showing the sequestration of many melanosomes, presumably representative of autophagic digestion. Left. Routine preparation on an 84-year-old eye (×10,500). Right. Acid phosphatase preparation on a 22-year-old eye shows the enzyme activity within the matrix of this macrolysosome. Melanosomes are in various stages of disassembly (BrM, Bruch's membrane; ×11,500).

Fig. 17 Lysosomes. A. Transmission electron micrograph showing a melanosome and three secondary lysosomes near the zonula adherens of infant retinal pigment epithelial cell. The microfilaments (Mf) attached to the zonula adherens (ZA) extend into the cytoplasm amid microtubules (Mt) and the smooth endoplasmic reticulum (SER). A small array of rough endoplasmic reticulum (RER) is also present. The melanosome (Mel) is sectioned across its short axis, so that the cords of melanopolymer are seen in cross section. Note the layer of less dense cortical material. The contents of the lysosomes (Ly) vary in electron density and consistency depending on the identity and the stage of digestion of the contents. Infant retinal pigment epithelium contains no full-size lipofuscin granules; however, very small ultraviolet-fluorescent granules correlate with these secondary lysosomes (×47,500). B. Transmission electron micrograph of retinal pigment epithelium incubated for demonstration of acid phosphatase, a marker lytic enzyme for lysosomes. The lead precipitate formed by the phosphatase activity is localized just inside the membrane of a lipofuscin granule (Lf) and a melanosome (Mel) but is somewhat evenly distributed over the lysosomes (Ly) (×15,000).

Lipofuscin granules are a subset of secondary lysosomes (or residual bodies), defined by their emission of a yellow fluorescence in response to ultraviolet stimulation. In unstained RPE tissues lipofuchsin granules can be distinguished by their lighter hue from melanin granules that accumulate throughout life. In adult RPE the category of lysosomes occupying the greatest area in the cells is the complement of lipofuscin granules, and these gradually accumulate, beginning at the basal aspect of the cells and gradually accumulating to mingle among melanosomes more apically.66,67 Evidence suggests that RPE lipofuscin granules represent residual bodies of the lysosomal system, containing material derived primarily from phagocytosed photoreceptor outer segments. Until recently, the process by which RPE cells form lipofuchsin has been poorly understood, but the underlying biochemical process has now become clearer. It appears that two all-trans retinals combine with phosphatidylethanolamine in photoreceptor outer segments, and this adduct is then taken up by the RPE, and converted to a stable form called A2E (pyridinium bisretinoid), which accumulates in and is toxic to RPE.68,69 While lipofuchsin is found in a variety of cell types, the lipofuchsin pathway is best understood in RPE, and caution must be exercised in extrapolating this process to other tissues.70

Back to Top
DISEASES AND AGING OF THE RPE

Age-related macular degeneration (AMD) is the leading cause of blindness among adults. Although the specific causes of AMD remain unknown, these include a combination of intrinsic (i.e., genetic predisposition) and extrinsic (i.e., environmental insult such as toxic and/or photooxidative damage) factors that have their primary impact on the RPE.71 AMD is associated in its early phases with the buildup of incompletely metabolized waste products in association with the RPE, both intracellularly (i.e., lipofuchsin) (Fig. 17) and extracellularly (i.e., drusen) (Figs. 18 and 19). Subsequent malfunction of the RPE proper, and/or Bruch's membrane, lead to the progression of AMD from its “dry” state with damage to the RPE and neural retina, wherein the focus of the lesion remains at the RPE/neural retina interface, to the “wet” state wherein signals that possibly originate with the RPE result in abnormal responses in surrounding tissues resulting in neovascularization in the choriocapillaris.72 Evidence to support the “toxic accumulation” hypothesis has come from studies of Stargardt's disease, a form of juvenile macular degeneration, whereby a primary defect of lipid metabolism in the neural retina leads to accumulation of toxic products following their uptake by the RPE, whose failure then subsequently leads to photoreceptor loss.73

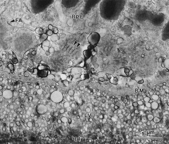
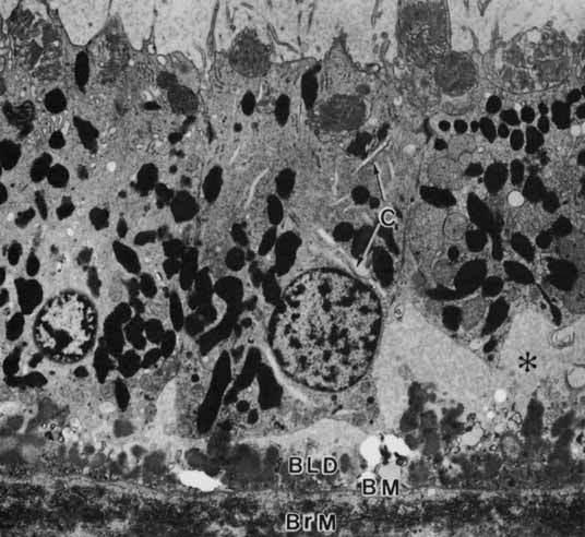
Fig. 18 Basal surface of the retinal pigment epithelium of the macula of a 69-year-old woman. The basement membrane (BM) has been penetrated by lipid vesicles (LV) emanating from the epithelium. Deposition of material with 100-nm periodicity (arrows) increases the distance between the epithelium and its normal basement membrane. The focal adhesion (FA) exists between the epithelium and this newly deposited material (El, elastic lamina of Bruch's membrane; ×24,500).

Fig. 19 Macular retinal pigment epithelium of a 97-year-old woman showing the basal linear deposit (BLD) internal to the basement membrane (BM). The retinal pigment epithelium has no basal infoldings and no apparent attachment foci to anchor the cells to Bruch's membrane. Clefts (C) in the cytoplasm may be elements of the Golgi apparatus. The asterisk marks subretinal pigment epithelial proteinaceous fluid (Ph, phagosome; ×4,600).

Proliferative vitreoretinopathy (PVR) is another significant ocular disorder of unknown etiology wherein the RPE is implicated. PVR is the major complication resulting from retinal detachment that limits the success of surgery to re-attach the neural retina and RPE, and may occur in up to 10% of all rhegmatogenous retinal detachments.23 PVR is characterized by aberrant wound healing, after retinal tearing, as cells, including RPE cells and possible astrocytes and fibroblasts as well, proliferate at the vitreal-retinal interface (and sometimes in the subretinal space) leading to scarring and generation of tractional forces that may re-detach the retina. Among the risk factors associated with onset of PVR are the presence of retinal tears, a prolonged period of detachment, vitreal damage, and damage to the RPE with subsequent compromise of the blood–ocular barrier and displacement of RPE cells into the vitreous cavity.74 Although specific mechanisms remain to be elucidated, it is likely that PVR results in part from alterations of RPE phenotype in response to growth factors and extracellular matrix components of the vitreous and/or serum encountered as a result of the breakdown of normal tissue compartments of the eye.22,23

Back to Top
PROSPECTS FOR RPE GENETIC ENGINEERING AND TRANSPLANTATION
As discussed, a number of retinal diseases result either from primary RPE defects, or result in secondary damage to the RPE. Furthermore, surgical intervention can result in damage to the RPE. Thus, from several perspectives, it becomes of interest to develop therapeutic interventions based on methods for genetic engineering of RPE cells and for RPE cell transplantation. Genetic engineering of existing RPE cells in situ would provide an approach to correcting primary genetic defects of dysfunctional RPE cells, or could also provide a means for introduction of local sources of therapeutic agents, such as growth factors, that would serve to modulate the local environment.75 Thus transplantation of cells into the RPE could provide a means of replacing cells damaged by disease, surgery or trauma with normal cells, or of introducing cells that have been genetically engineered ex vivo. The ultimate success of these techniques will require development of methods that are efficient, stable and safe, and current limitations include the requirement to control cell proliferation, and the need for transplanted cells to develop proper cell associations with their neighbors and the underlying basement membrane.76,77 In the case of experimental retinal transplants in animal models, inclusion of the RPE along with the neural retina may enhance the survival and differentiation of neural retina cells.78 Another surgical approach that has been reported is translocation of neighboring RPE from the surrounding area following surgery for choroidal neovascularization.79

In addition to tissue engineering from the standpoint of cellular replacement, because the underlying matrix has been implicated in RPE function and disease, additional approaches have targeted the substrate as a means to influence behavior of endogenous cells or to encourage success of cell transplants. Artificial biodegradable polymers such as poly-L-lactic acid (PLLA) and poly-dl-lactic-co-glycolic acid (PLGA) have been tested as suitable substrates that could later be resorbed.80,81 It should be kept in mind that the RPE epithelium is continuous over the anterior specializations of the eye, including the ciliary body and the iris, as well as the intervening pars caeca. These more anterior specializations of the RPE have been discussed as a potential source of autologous cells available for transplantation.5

Back to Top
RPE CELL CULTURE AND ANIMAL MODELS
A number of RPE cell lines are available for in vitro studies of RPE cell biology such as ARPE19 and D407 cells.82,83 Work is also proceeding towards the development of RPE-derived cell lines that could serve as targets for ex vivo gene therapy and subsequent trans-plantation.84 However, while providing very useful experimental models, these cells only partially mimic the normal RPE.85 Organ culture models have also been developed that permit analysis of RPE wound healing and interaction of RPE cells with Bruch's membrane.86,87 A limitation of the use of in vitro RPE cell cultures is the propensity of the cells to alter their phenotype and even transdifferentiate, as they are subject to modulation by the environment including growth factors and adhesion substrate.18 Animal models continue to play an extremely important role in the elucidation of retinal function and disease, including the RPE, and a large number of mouse models of ocular genetic diseases have been described.88 For many years the Royal College of Surgeons (RCS) rat has also provided an important experimental model of a recessively inherited retinal degeneration that primarily results from a failure of RPE cells to phagocytose shed photoreceptor outer segments. Recently the rat mutation was identified as encoding the receptor tyrosine kinase Mertk, and the human homologue has also been identified and has been linked to some forms of retinitis pigmentosa.89,90 An exciting development based on animal models, which provides a proof-of-principle demonstration of the potential effectiveness of RPE-directed gene therapy, was recently provided with restoration of visual function in a canine model of Leber's congenital amaurosis, in which the underlying genetic deficiency of RPE65 gene expression was corrected through adeno-associated virus vector-mediated gene delivery.91
Back to Top
GENOMIC AND PROTEOMIC ANALYSIS OF THE RPE
The postgenomic era has led to studies beyond the linear information contained in the genome, and now permits the application of bioinformatics and computational biology tool for analysis of the transcriptome and proteome of the RPE. Proteomics promises to identify additional proteins unique to the RPE or those proteins associated with particular RPE phenotypes, such as well differentiated cells characteristic of the intact normal RPE, versus the de-differentiated phenotypes often observed during in vitro cell culture or in situ in cases of PVR.85,92 Microarray analysis has been applied to determine the mRNA transcriptome phenotype associated with RPE aging or oxidative stress93,94 and to identify downstream effects of failed RPE phagocytosis in the RCS rat.95 Expressed sequence tag (EST) analysis of RPE cDNA libraries has identified large numbers of potentially novel and/or RPE-specific gene products.96 These high-throughout approaches hold much promise for rapid progress in our understanding of RPE biology and disease.
Back to Top
CONCLUSION
In summary, the RPE plays a critical role in the development and maintenance of the retina, subserving a broad variety of important and specialized biological functions. The RPE and NR have evolved a partnership of metabolic cooperation in which both members have become mutually interdependent on one another for survival and support of the visual process. The RPE has clearly been identified as the primary source of certain retinal dysfunctions, and plays a strong secondary role in many more. The past decade has seen an explosion of research directed at elucidating the molecular mechanisms underlying the RPE's diverse functions. There is every reason to believe that these advances will continue to bring new hope to those whose vision is compromised, as new knowledge becomes translated into tools for the prevention and treatment of retinal disease.
Back to Top
ACKNOWLEDGEMENTS
This chapter is modified from the previous edition authored in 1992 by Lynette Feeney-Burns, PhD and Martin L. Katz, PhD. The present author is indebted to them for laying the foundation for this chapter, and for the original figures illustrating basic principles of RPE fine structure, which have been preserved. The present author's work is supported by grant R01EY06658 from the National Eye Institute of the National Institutes of Health.
Back to Top
REFERENCES

1. Feeney-Burns L, and Katz M: Retinal pigment epithelium. In: Tasman W, Jaeger EA, eds., Duane's Foundations of Clinical Ophthalmology, Vol. 1, Ch. 21. Philadelphia: Lippincott Williams & Wilkins, 1992:1–20.

2. Wolfensberger TJ: The historical discovery of the retinal pigment epithelium. In Marmor MF, Wolfensberger TJ, (eds): The Retinal Pigment Epithelium. New York: Oxford University Press, 1998:13–22.

3. Marmorstein AD, Finneman SC, Bonilha VL, and Rodriguez-Boulan E: Morphogenesis of the retinal pigment epithelium: toward understanding retinal degenerative diseases. Ann NY Acad Sci 857:1–12, 1998

4. Hageman GS, and Kuehn MH: Biology of the interphotoreceptor matrix-retinal pigment epithelium-retinal interface. In Marmor MF and Wolfensberger TJ, (eds): The Retinal Pigment Epithelium. New York: Oxford University Press, 1998:361–391

5. Thumann G: Development and cellular functions of the iris pigment epithelium. Surv Ophthalmol 45:345–354, 2001

6. Fuhrmann S, Levine EM, and Reh TA: Extraocular mesenchyme patterns the optic vesicle during early eye development in the embryonic chick. Development 127:4599–4609, 2000

7. Tachibana M: MITF: a stream flowing for pigment cells. Pigment Cell Res 13:230–240, 2000

8. Martinez-Morales JR, Dolez V, Rodrigo I, Zaccarini R, Leconte L, Bovolenta P, and Saule S: OTX2 activates the molecular network underlying retinal pigment epithelium differentiation. J Biol Chem 278:21721–21731, 2003

9. Baumer N, Marquardt T, Stoykova A, Spieler D, Treichel D, Ashery-Padan R, Gruss P: Retinal pigment epithelium determination requires the redundant activation of Pax2 and Pax6. Development 130:2903–2915, 2003

10. Shields CL, Shields JA, Marr BP, Sperber DE, Gass JD: Congenital simple hamartoma of the retinal pigment epithelium: a study of five cases. Ophthalmology 110:1005–1011, 2003

11. Santos A, Morales L, Hernandez-Quintela E, Jimenez-Sierra JM, Villalobos JJ, Panduro A: Congenital hypertrophy of the retinal pigment epithelium associated with familial adenomatous polyposis. Retina 14:6–9, 1994

12. Shields JA, Shields CL, Eagle RC Jr , Singh AD: Adenocarcinoma arising from congenital hypertrophy of retinal pigment epithelium. Arch Ophthalmol 119:597–602, 2001

13. Shields CL, Mashayekhi A, Ho T, Cater J, Shields JA: Solitary congenital hypertrophy of the retinal pigment epithelium: clinical features and frequency of enlargement in 330 patients. Ophthalmology 110:1968–1976, 2003

14. Santos A, and Traboulsi EI: Congenital abnormalities of the retinal pigment epithelium. In Marmor MF and Wolfensberger TJ, (eds): The Retinal Pigment Epithelium. New York: Oxford University Press, 1998:307–325

15. Ross MH, Kaye GI, Pawlina W: Histology, a Text and Atlas. 4th ed. Philadelphia: Lippincott Williams & Wilkins, 2003

16. Streeten BW: Development of the human retinal pigment epithelium and the posterior segment. Arch Ophthalmol 81:383–394, 1969

17. Feeney-Burns L, Burns RP, Gao C-L: Age-related macular changes in humans over 90 years old. Am J Ophthalmol 109:265, 1990

18. Zhao S, Rizolo LJ, Barnstable CJ: Differentiation and transdifferentiation of the retinal pigment epithelium. Int Rev Cytol 171:225–266, 1997

19. Burke JM: Determinants of retinal pigment epithelial cell phenotype and polarity. In Marmor MF and Wolfensberger TJ, (eds):: The Retinal Pigment Epithelium. New York: Oxford University Press, 1998:86–102

20. Korte GE, Perlman JI, Pollack A: Regeneration of mammalian retinal pigment epithelium. Int. Rev. Cytol. 152:223–263, 1994

21. Wang H, Ninomiya Y, Sugino IK, Zarbin M: Retinal pigment epithelium wound healing in human Bruch's membrane explants. Invest Ophthalmol Vis Sci 44:2199–2210, 2003

22. Hiscott P, and Sheridan CM: The retinal pigment epithelium, epiretinal membrane formation, and proliferative vitreoretinopathy. In Marmor MF and Wolfensberger TJ, (eds): The Retinal Pigment Epithelium. New York: Oxford University Press, 1998:478–491.

23. Pastor C: Proliferative vitreoretinopathy: an overview. Survey Ophthalmol. 43:3–18, 1998

24. Nelson WJ: Adaptation of core mechanisms to generate cell polarity. Nature 422:766–774, 2003

25. Marmorstein AD: The polarity of the retinal pigment epithelium. Traffic 2:867–872, 2001

26. Philp NJ, Ochrietor JD, Rudoy C, Muramatsu T, and Linser PJ: Loss of MCT1, MCT3 and MCT4 expression in the retinal pigment epithelium and neural retina of the 5A11/basigin-null mouse. Invest Ophthalmol Vis Sci 44:1305–1311, 2003

27. Rizzolo LJ: Polarity and the development of the outer blood-retinal barrier. Histol Histopathol 12:1057–1067, 1997

28. Marrs JA, Anderson-Fisone C, Jeong MC, Cohen-Gould L, Zurzolo C, Nabi IR, Rodriguez-Boulan E, Nelson WJ: Plasticity in epithelial cell phenotype: modulation by expression of different cadherin cell adhesion molecules. J Cell Biol 129:507–519, 1995

29. Burke JM, Cao F, Irving PE: High levels of E-/P-cadherin: correlation with decreased apical polarity of Na/K ATPase in bovine RPE cells in situ. Invest Ophthalmol Vis Sci 41:1945–1952, 2000

30. Hughes BA, Gallemore RP, Miller SS: Transport mechanisms in the retinal pigment epithelium. In Marmor MF and Wolfensberger TJ, (eds): The Retinal Pigment Epithelium. New York: Oxford University Press, 1998:103–134.

31. Yang D, Pan A, Swaminathan A, Kumar G, Hughes BA: Expression and localization of the inwardly rectifying potassium channel Kir7.1 in native bovine retinal pigment epithelium. Invest. Ophthalmol. Vis Sci 44:3178–3185, 2003

32. Stamer WD, Bok D, Hu J, Jaffe GJ, McKay BS: Aquaporin–1 channels in human retinal pigment epithelium: role in transepithelial water movement. Invest Ophthalmol Vis Sci 44:2803–2808, 2003

33. Philp NJ, Yoon H, Grollman EF: Monocarboxylate transporter MCT1 is located in the apical membrane and MCT3 in the basal membrane of rat RPE. Am J Physiol 274:R1824–R1828, 1998

34. Hudspeth AJ, Yee AG: The intercellular junctional complexes of retinal pigment epithelia. Invest Ophthalmol Vis Sci 12:354–365, 1973

35. Alberts B, Johnson A, Lewis J, Raff M, Roberts K, Walter P: Molecular Biology of the Cell. 4th ed. New York: Garland, 2002

36. Philp NJ, Nachmias V: Components of the cytoskeleton in retinal pigment epithelium of the chick. J Cell Biol 101:358–362, 1985

37. Kojima S, Rahner C, Peng S, Rizzolo LJ: Claudin 5 is transiently expressed during the development of the retinal pigment epithelium. J Membr Biol 186:81–88, 2002

38. Lagunowich LA, Grunwald GB: Expression of calcium-dependent cell adhesion during ocular development: a biochemical, histochemical and functional analysis. Dev Biol 135:158–171, 1989

39. Grunwald GB: Cadherin cell adhesion molecules in retinal development and pathology. Prog. in Retinal and Eye Res 15(2) 363–392, 1996a

40. Grunwald GB: Discovery and analysis of the classical cadherins. In Colman DR (ed). Adhesion Molecules. A volume in the series. Advances in Molecular and Cell Biology. Greenwich, CT: JAI Press, 1996b:16:63–112

41. Kaida M, Cao F, Skumatz CMB, Irving PE, Burke JM: Time at confluence for human RPE cells: effects on the adherens junction and in vitro wound closure. Invest Ophthalmol Vis Sci 41:3215–3224, 2000

42. Malfait M, Gomez P, van Vreen TA, Parys JB, De Smedt H, Vereecke J, Himpens B: Effects of hyperglycemia and protein kinase C on conexin43 expression in cultured rat retinal pigment epithelial cells. J Membr Biol 181:31–40, 2001

43. Turksen K, Aubin JE, Sodek J, Kalnins VI: Localization of laminin, type IV collagen, fibronectin, and heparan sulfate proteoglycan in chick retinal pigment epithelium basement membrane during embryonic development. J Histochem Cytochem 33:665–671, 1985

44. Chu P, Grunwald GB: Functional inhibition of retinal pigment epithelial cell-substrate adhesion with a monoclonal antibody against the β1-subunit of integrin. Invest Ophthalmol Vis Sci, 32:1763–1769, 1991

45. Zarbin M: Analysis of retinal pigment epithelium integrin expression and adhesion to aged submacular Bruch's membrane. Trans Am Ophthalmol Soc 101:499–520, 2003

46. Opas M, and Kalnins VI: Light-microscopical analysis of focal adhesions of retinal pigmented epithelial cells. Invest Ophthalmol Vis Sci 27:1622–1633, 1986

47. Marshall J, Hussain AA, Starita C, Moore DJ, Patmore AL: Aging and Bruch's membrane. In Marmor MF, Wolfensberger TJ, (eds): The Retinal Pigment Epithelium. New York: Oxford University Press, 1998:669–692

48. Chader GJ, Pepperberg DR, Crouch R, Wiggert B: Retinoids and the retinal pigment epithelium. In Marmor MF, Wolfensberger TJ, (eds): The Retinal Pigment Epithelium. New York: Oxford University Press, 1998:135–151

49. Thompson DA, Gal A: Genetic defects in vitamin A metabolism of the retinal pigment epithelium. Dev Ophthalmol 37:141–154, 2003

50. Gonzalez-Fernandez F: Interphotoreceptor retinoid-binding protein--an old gene for new eyes. Vision Res 43:3021–3036, 2003

51. Edwards RB, Adler J: IRBP enhances removal of 11-cis-retinaldehyde from isolated RPE membranes. Exp Eye Res 70:235–245, 2000

52. Hooks JJ, Detrick B, Percopo C, et al: Development and characterization of monoclonal antibodies directed against the retinal pigment epithelial cell. Invest Ophthalmol Vis Sci 30:2106–2113, 1989

53. Gu SM, Thompson DA, Srikumari CR, Lorenz B, Finckh U, Nicoletti A, Murthy KR, Rathmann M, Kumaramanickavel G, Denton MJ, Gal A: Mutations in RPE65 cause autosomal recessive childhood-onset severe retinal dystrophy. Nat Genet 17:194–197, 1997

54. Gollapalli DR, Maiti P, Rando RR: RPE65 operates in the vertebrate visual cycle by stereospecifically binding all-trans-retinyl esters. Biochem. 42:11824–1830, 2003

55. Young RW: Shedding of discs from rod outer segments in the rhesus monkey. J Ultrastruct Res 34:190–203, 1971

56. La Vail MM: Rod outer segment disc shedding in relation to cyclic lighting. Exp Eye Res 23:277–280, 1976

57. Hollyfield JG: Phagocytic capacities of the pigment epithelium. Exp Eye Res 22:457–468, 1976

58. Besharse JC, DeFoe DM: Role of the retinal pigment epithelium in photoreceptor membrane turnover. In Marmor MF, Wolfensberger TJ, (eds): The Retinal Pigment Epithelium. New York: Oxford University Press; 1998:152–172

59. Katz ML: Incomplete proteolysis may contribute to lipofuscin accumulation in the retinal pigment epithelium. In Porta EA (ed): Lipofuscin and Ceroid Pigments. New York: Plenum Press, 1990:109–118

60. Young RW: The renewal of rod and cone outer segments in the rhesus monkey. J Cell Biol 49:303–318, 1971

61. Lutz DA, Guo Y, McLaughlin BJ: Natural, high-mannose glycoproteins inhibit ROS binding and ingestion by RPE cell cultures. Exp. Eye Res 61:487–493, 1995

62. Finneman SC, Bonilha VL, Marmorstein AD, Rodriguez-Boulan E: Phagocytosis of rod outer segments by retinal pigment epithelial cells requires alpha(v)beta5 integrin for binding but not for internalization. Proc Natl Acad Sci USA 94:12932–12937, 1997

63. Finneman SC, Silverstein RL: Differential roles of CD36 and alphavbeta5 integrin in photoreceptor phagpcytosis by the retinal pigment epithelium. J Exp Med 194:1289–1298, 2001

64. Schraermeyer U, Heiman K: Current understanding on the role of retinal pigment epithelium and its pigmentation. Pigment Cell Res 12:219–236, 1999

65. Schraermeyer U, Peters S, Thumann G, Mociok N, Heiman K: Melanin granules of the retinal pigment epithelium are connected with the lysosomal degradation pathway. Exp Eye Res 68:237–245, 1999

66. Eldred GE: Lipofuchsin and other lysosomal storage deposits in the retinal pigment epithelium. In Marmor MF, Wolfensberger TJ, (eds): The Retinal Pigment Epithelium. New York: Oxford University Press, 1998:651–668

67. Feeney-Burns L, Hilderbrand ES, Eldridge S: Aging human RPE: Morphometric analysis of macular, equatorial, and peripheral cells. Invest Ophthalmol Vis Sci 25:195–280, 1984

68. Wolf G: Lipofuchsin and macular degeneration. Nutr Rev 61:342–346, 2003

69. Boulton M, Dayhew-Barker P: The roles of the retinal pigment epithelium: topographical variation and ageing changes. Eye 15:384–389, 2001

70. Katz ML, Robison WG: What is lipofuchsin? Defining characteristics and differentiation from other autofluorescent lysosomal storage bodies. Arch Gerontol Geriatr 34:169–184, 2002

71. Zarbin MA: Age-related macular degeneration: review of pathogenesis. Eur J Ophthalmol 8:199–206, 1998

72. Campochiaro PA, Soloway P, Ryan SJ, Miller JW: The pathogenesis of choroidal neovascularization in patients with age-related macular degeneration. Mol Vis 5:34, 1999

73. Glaser LC, Dryja TP: Understanding the etiology of Stargardt's disease. Ophthalmol Clin North Am 15:93–100, 2002

74. Nagasaki H, Shinagawa K, Moxhizuki M: Risk factors for proliferative vitreoretinopathy. Prog Retina Eye Res 17:77–98, 1998

75. Campochiaro PA: Gene therapy for retinal and choroidal diseases. Expert Opin Biol Ther 2:537–544, 2002

76. Grierson I, Hiscott P, Hogg P, Robey H, Mazure A, Larkin G: Development, repair and regeneration of the retinal pigment epithelium. Eye 8:255–262, 1994

77. Lund RD, Kwan AS, Keegan DJ, Sauve Y, Coffey PJ, Lawrence UK: Cell transplantation as a treatment for retinal diseases. Prog Retina Eye Res 20:415–449, 2001

78. Aramant RB, Seiler MJ: Retinal transplantation--advantage on intact fetal sheets. Prog Retina Eye Res 21:57–73, 2002

79. Stanga PE, Kychenthal A, Fitzke FW, Halfyard AS, Chan R, Bird AC, Aylward GW: Retinal pigment epithelium translocation and central visual function in age related macular degeneration: preliminary results. Int Ophthalmol 23:297–307, 2001

80. Hadlock T, Singh S, Vacanti JP, McLaughlin BJ: Ocular cell monolayers cultured on biodegradable substrates. Tissue Eng 5:187–196, 1999

81. Lu L, Yaszemski MJ, Mikos AG: Retinal pigment epithelium engineering using synthetic biodegradable polymers. Biomaterials 22:3345–3355, 2001

82. Davis AA, Bernstein PS, Bok D, Turner J, Nachtigal M, Hunt RC: A human retinal pigment epithelial cell line that retains epithelial characteristics after prolonged culture. Invest Ophthalmol Vis Sci 36:955–964, 1995

83. Dunn KC, Aotaki-Keen AE, Putkey FR, Hjelmeland LM: ARPE–19, a human retinal pigment epithelial cell line with differentiated properties. Exp Eye Res 62:155–169, 1996

84. Kanuga N, Winton HL, Beachene L, Koman A, Zerbib A, Halford S, Couraud PO, Keegan D, Coffey P, Lund RD, Adamson P, Greenwood J: Characterization of genetically modified human retinal pigment epithelial cells developed for in vitro and transplantation studies. Invest Ophthalmol Vis Sci 43:546–555, 2002

85. West KA, Yan L, Mitagi M, Crabb JS, Marmorstein AD, Marmorstein L, Crabb JW: Proteome survey of proliferating and differentiating rat RPE-J cells. Exp Eye Res 73:479–491, 2001

86. Hergott GJ, Sandig M, Kalnins VI: Cytoskeletal organization of migrating retinal pigment epithelial cells during wound healing in organ culture. Cell Motil Cytoskeleton 13:83–93, 1989

87. Sugino IK, Wang H, Zarbin MA: Age-related macular degeneration and retinal pigment epithelium wound healing. Mol Neurobiol 28:177–194, 2003

88. Chang B, Hawes NL, Hurd RE, Davisson MT, Nusinowitz S, Heckenlively JR: Retinal degeneration mutants in the mouse. Vision Res. 42:517–525, 2002

89. Gal A, Li Y, Thompson DA, Weir J, Orth U, Jacobson SG, Apfelstedt-Sylla E, Vollrath D: Mutations in MERTK, the human orthologue of the RCS rat retinal dystrophy gene, cause retinitis pigmentosa. Nat Genet 26:270–271, 2000

90. D'Cruz PM, Yasumura D, Weir J, Matthes MT, Abderrahim H, LaVail MM, Vollrath D: Mutation of the receptor tyrosine kinase gene Mertk in the retinal dystrophic RCS rat. Hum Mol Genet 9:645–651, 2000

91. Acland GM, Aguirre GD, Ray J, Zhang Q, Aleman TS, Cideciyan AV, Pearce-Kelling SE, Anand V, Zeng Y, Maguire AM, Jacobson SG, Hauswirth WW, Bennett J: Gene therapy restores vision in a canine model of childhood blindness. Nat Genet 28:92–95, 2001

92. Alge CS, Suppman S, Priglinger SG, Neubauer AS, May CA, Hauck S, Welge-Lussen U, Ueffing M, Kampik A: Comparative proteome analysis of native differentiated and cultured dedifferentiated human RPE cells. Invest Ophthalmol Vis Sci 44:3629–3641, 2003

93. Honda S, Farboud B, Hjelmeland LM, Handa JT: Induction of an aging mRNA retinal pigment epithelial phenotype by matrix-containing advanced glycation end products in vitro. Invest Ophthalmol Vis Sci 42:2419–2425, 2001

94. Weigel AL, Handa JT, Hjelmeland LM: Microarray analysis of H2O2-, HNE- or tBH-treated ARPE–19 cells. Free Rad Biol Med 33:1419–1432, 2002

95. Dufour EM, Nandrot E, Marchant D, Van Den Berghe L, Gadin S, Issilame M, Dufier JL, Marsac C, Carper D, Menasche M, Abitbol M: Identification of novel genes and altered signaling pathways in the retinal pigment epithelium during the Royal College of Surgeons rat retinal degeneration. Neurobiol. Dis 14:166–180, 2003

96. Wistow G, Bernstein SL, Wyatt MK, Fariss RN, Behal A, Touchman JW, Bouffard G, Smith D, Peterson K: Expressed sequence tag analysis of human RPE/choroid for the NEIBank Project: over 6000 non-redundant transcripts, novel genes and slice variants. Mol Vis 8:205–220, 2002

Back to Top