
临床资料 患者,男,65岁,因“头晕1周伴视觉障碍”于2009年11月4日入院。患者4年前有脑梗死病史,有高血压病史数年。
体检:意识清楚,反应稍迟钝,双瞳孔等大等圆,直径3 mm,对光反应存在,眼球活动正常,双侧视力正常,不能分辨红绿蓝等颜色,右侧鼻唇沟浅,伸舌偏右,无抵抗,右侧肢体肌力Ⅴ-级,左侧肢体肌力Ⅴ级,四肢肌张力、腱反射正常,双侧Babinski征(-),共济正常,深浅感觉正常,无失语、失用、失认。
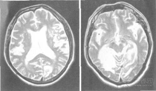
头颅CT示左侧大脑半球低密度影,右侧颞顶枕叶软化灶。诊断考虑定位于左侧大脑半球大脑中动脉与后动脉供血区,定性为缺血性脑血管病,首先考虑脑血栓形成。入院后血尿便常规、红细胞沉降率、血凝、血脂、血糖、电解质和肝肾功能等均正常。心电图示异常Q波。心脏超声示左室松弛性下降,颈动脉超声示双侧颈总动脉内膜毛糙。TCD示左侧大脑中动脉-颈内动脉分叉部伴杂音,脑动脉血流速度减低,弹性下降。头颅MRI示左侧基底节区和左侧颞枕叶急性脑梗死,右侧颞顶枕叶陈旧性脑梗死(图1)。视觉诱发电位结果正常。请眼科医师会诊,考虑患者色觉障碍为脑梗死引起,属后天性,查后天色觉障碍检查表(第V组)2004版:图99读为90,图60未能读,图266读为200,图928读为911,图68读为62,准确率为30%。
Wechsler成人智力量表测试结果基本正常,Wechsler记忆能力量表测试显示患者各项指标均轻度下降。颜色认知功能量表测试结果显示患者颜色辨别能力下降。颜色命名功能量表测试结果显示患者的基本颜色命名能力正常,但不同背景颜色适应性命名能力下降。颜色记忆功能量表测试和颜色想像功能量表测试结果显示患者的一般颜色记忆能力,长期颜色记忆能力和颜色想像能力均下降,并主要集巾在波长较长的红橙黄等颜色区。予活血改善循环、营养神经、护脑、抗血小板聚集和控制血压等治疗,并给予巴曲酶一个疗程降纤治疗。患肴头晕明显减轻,肢体活动基本止常,但仍有一定程度的色觉障碍,住院8 d m院。
讨论 脑梗死累厦不同部位可导致不同的临床表现,累及枕叶主要引起视觉障碍,而枕叶不同部位的损害又可导致不同的视觉障碍。V4和V4α区为人类的色觉中枢,V4区定位在两侧大脑旧皮质舌回,此区的损害则可导致色觉障碍,完全不能辨认某颜色者为色盲,辨认能力低下者为色弱、脑梗死累及枕叶导致视力下降或视野缺损者较常见、但导致色觉障碍者罕见,国内尚未见报道,国外文献也仅有十余例。
国外文献认为脑的病变和功能减退导致色觉障碍可涉及几个不同的方面,包括颜色认知功能、颜色命名功能、颜色记忆功能和颜色想像功能。在既往研究中多认为颜色认知功能和颜色记忆功能基于一共同的神经调控机制,但近年来越来越多的报道反映颜色认知功能,颜色记忆功能和颜色想像功能在大脑中分别有各自的神经调控处理机制和特定的神经解剖定位。文献中既有颜色认知功能正常但颜色命名功能障碍的报道,也有颜色命名功能正常似颜色认知功能障碍的报道,还有颜色想像功能正常但颜色认知功能障碍的报道等:但目前关于大脑对颜色的高层处理机制及颜色认知功能、颜色命名功能、颜色记忆功能和颜色想像功能的神经解剖定位均尚不清楚。另外国外文献认为人类的色觉中枢V4和V4α区不同的细胞可以接收不同波长的颜色信息。并进行整合比较,从而做出辨认。大脑V4区和V4α区的病变可损害这些细胞的功能,从而使这些细胞选择性处理不同颜色信息的能力和维持对颜色变化适应性的能力下降。
本例患者为老年男性,根据其临床表现和辅助检查结果,患者脑梗死诊断明确,其色觉障碍为脑梗死累及枕叶所致,属后天性色弱。此患者4年前有脑梗死病史景及右侧枕叶但并无出现色觉异常,此次脑梗死累及左侧枕叶并出现明显的色觉障碍,这可能是因为患者此次脑梗死损害了色觉中枢、V4和V4α区(左侧舌回),而4年前的脑梗死V4和V4α区无累及。此患者颜色命名功能基本正常,但颜色认知功能、颜色记忆功能和颜色想像功能均存在一定缺陷,说明颜色命名功能,颜色认知功能、颜色记忆功能和颜色想像功能在大脑中分别有各自的功能支配区和神经调控机制,此患者脑梗死可能选择性累及了颜色认知功能、颜色记忆功能和颜色想像功能的解剖定位区。另外此患者在颜色记忆功能测试和颜色想像功能测试中的选择性色觉障碍和在蒯色命名功能测试中的色觉适应性降低可能是由于其脑梗死选择性损害了V4和V4α区特定细胞的功能所致。但此患者色觉功能不同程度损害的具体机制和神经解剖定位还需通过进一步的实验研究来探讨。
|