AccessLangeGeneral Ophthalmology
Vaughan, Asbury, Riordan-Eva :
AccessMedicine.com
HomeAboutAccount ServicesBuy BooksSite MapHelpLogoutAccessMedicine HomeAccessMedicine Publications
Full TOC

Related Sites
Forum

Chapter 2: Ophthalmologic Examination

III. SPECIALIZED OPHTHALMOLOGIC EXAMINATIONS

This section will discuss ophthalmologic examination techniques with more specific indications that would not be performed on a routine basis. They will be grouped according to the function or anatomic area of primary interest.

DIAGNOSIS OF VISUAL ABNORMALITIES

1. PERIMETRY

Perimetry is used to examine the central and peripheral visual fields. This technique, which is performed separately for each eye, measures the combined function of the retina, the optic nerve, and the intracranial visual pathway. It is used clinically to detect or monitor field loss due to disease at any of these locations. Damage to specific parts of the neurologic visual pathway may produce characteristic patterns of change on serial field examinations.

The visual field of the eye is measured and plotted in degrees of arc. Measurement of degrees of arc remains constant regardless of the distance from the eye the field is checked. The sensitivity of vision is greatest in the center of the field (corresponding to the fovea) and least in the periphery. Perimetry relies on subjective patient responses, and the results will depend on the patient's psychomotor as well as visual status. Perimetry must always be performed and interpreted with this in mind.

The Principles of Testing

Although perimetry is subjective, the methods discussed below have been standardized to maximize reproducibility and permit subsequent comparison. Perimetry requires (1) steady fixation and attention by the patient; (2) a set distance from the eye to the screen or testing device; (3) a uniform, standard amount of background illumination and contrast; (4) test targets of standard size and brightness; and (5) a universal protocol for administration of the test by examiners.

As the patient's eye fixates on a central target, test objects are randomly presented at different locations throughout the field. If they are seen, the patient responds either verbally or with a hand-held signaling device. Varying the target's size or brightness permits quantification of visual sensitivity of different areas in the field. The smaller or dimmer the target seen, the better the sensitivity of that location.

There are two basic methods of target presentation-static and kinetic-that can be used alone or in combination during an examination. In static perimetry, different locations throughout the field are tested one at a time. A difficult test object, such as a dim light, is first presented at a particular location. If it is not seen, the size or intensity of the light is incrementally increased until it is just large enough or bright enough to be detected. This is called the "threshold" sensitivity level of that location. This sequence is repeated at a series of other locations, so that the light sensitivity of multiple points in the field can be evaluated and combined to form a profile of the visual field.

In kinetic perimetry, the sensitivity of the entire field to one single test object (of fixed size and brightness) is first tested. The object is slowly moved toward the center from a peripheral area until it is first spotted. By moving the same object inward from multiple different directions, a boundary called an "isopter" can be mapped out which is specific for that target. The isopter outlines the area within which the target can be seen and beyond which it cannot be seen. Thus, the larger the isopter, the better the visual field of that eye. The boundaries of the isopter are measured and plotted in degrees of arc. By repeating the test using objects of different size or brightness, multiple isopters can then be plotted for a given eye. The smaller or dimmer test objects will produce smaller isopters.

Methods of Perimetry

The tangent screen is the simplest apparatus for standardized perimetry. It utilizes different-sized pins on a black wand presented against a black screen and is used primarily to test the central 30 degrees of visual field. The advantages of this method are its simplicity and rapidity, the possibility of changing the subject's distance from the screen, and the option of using any assortment of fixation and test objects, including different colors.

The more sophisticated Goldmann perimeter (Figure 2-19) is a hollow white spherical bowl positioned a set distance in front of the patient. A light of variable size and intensity can be presented by the examiner (seated behind the perimeter) in either static or kinetic fashion. This method can test the full limit of peripheral vision and was for years the primary method for plotting fields in glaucoma patients.


Figure 2-19

Figure 2-19: Goldmann perimeter. (Photo by M Narahara.)

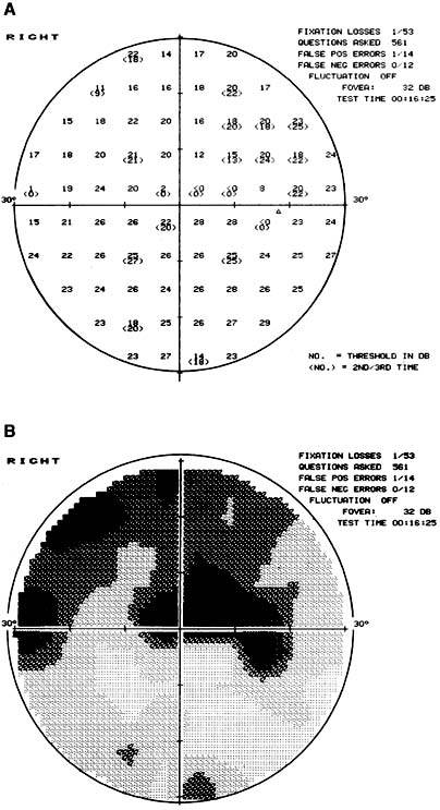
Computerized automated perimeters (Figure 2-20) now constitute the most sophisticated and sensitive equipment available for visual field testing. Using a bowl similar to the Goldmann perimeter, these instruments display test lights of varying brightness and size but use a quantitative static threshold testing format that is more precise and comprehensive than other methods. Numerical scores (Figure 2-21) corresponding to the threshold sensitivity of each test location can be stored in the computer memory and compared statistically with results from previous examinations or from other normal patients. The higher the numerical score, the better the visual sensitivity of that location in the field. Another important advantage is that the test presentation is programmed and automated, eliminating any variability on the part of the examiner.


Figure 2-20

Figure 2-20: Computerized automated perimeter. (Photo Courtesy of Humphrey Instruments.)


Figure 2-21

Figure 2-21: A: Numerical printout of threshold sensitivity scores derived by using the static method of computerized perimetry. This is the 30-degree field of a patient's right eye with glaucoma. The higher the numbers, the better the visual sensitivity. The computer retests many of the points (bracketed numbers) to assess consistency of the patient's responses. B: Diagrammatic "gray scale" display of these same numerical scores. The darker the area, the poorer the visual sensitivity at that location.

2. AMSLER GRID

The Amsler grid is used to test the central 20 degrees of the visual field. The grid (Figure 2-22) is viewed by each eye separately at normal reading distance and with reading glasses on if the patient uses them. It is most commonly used to test macular function.


Figure 2-22

Figure 2-22: Amsler grid.

While fixating on the central dot, the patient checks to see that the lines are all straight, without distortion, and that no spots or portions of the grid are missing. One eye is compared with the other. A scotoma or blank area-either central or paracentral-can indicate disease of the macula or optic nerve. Wavy distortion of the lines (metamorphopsia) can indicate macular edema or submacular fluid.

The grid can be used by patients at home to test their own central vision. For example, patients with age-related macular degeneration (see Chapter 10) can use the grid to monitor for sudden metamorphopsia. This often is the earliest symptom of acute fluid accumulation beneath the macula arising from leaking subretinal neovascularization. Since these abnormal vessels may be treatable with the laser, early detection is important.

3. BRIGHTNESS ACUITY TESTING

The visual abilities of patients with media opacities may vary depending on conditions of lighting. For example, when dim illumination makes the pupil larger, one may be able to "see around" a central focal cataract, whereas bright illumination causing pupillary constriction would have the contrary effect. Bright lights may also cause disabling glare in patients with corneal edema or diffuse clouding of the crystalline lens due to light scattering.

Because the darkened examining room may not accurately elicit the patient's functional difficulties in real life, instruments have been developed to test the effect of varying levels of brightness or glare on visual acuity. Distance acuity with the Snellen chart is usually tested under standard levels of incrementally increasing illumination, and the information may be helpful in making therapeutic or surgical decisions. Asking cataract patients specific questions about how their vision is affected by various lighting conditions is even more important.

4. COLOR VISION TESTING

Normal color vision requires healthy function of the macula and optic nerve. The most common abnormality is red-green "color blindness," which is present in approximately 8% of the male population. This is due to an X-linked congenital deficiency of one specific type of retinal photoreceptor. Depressed color vision may also be a sensitive indicator of certain kinds of acquired macular or optic nerve disease. For example, in optic neuritis or optic nerve compression (eg, by a mass), abnormal color vision is often an earlier indication of disease than visual acuity, which may still be 20/20.

The most common testing technique utilizes a series of polychromatic plates, such as those of Ishihara or Hardy-Rand-Rittler (new window  Figure 2-23). The plates are made up of dots of the primary colors printed on a background mosaic of similar dots in a confusing variety of secondary colors. The primary dots are arranged in simple patterns (numbers or geometric shapes) that cannot be recognized by patients with deficient color perception.

5. CONTRAST SENSITIVITY TESTING

Contrast sensitivity is the ability of the eye to discern subtle degrees of contrast. Retinal and optic nerve disease and clouding of the ocular media (eg, cataracts) can impair this ability. Like color vision, contrast sensitivity may become depressed before Snellen visual acuity is affected in many situations.

Contrast sensitivity is best tested by using standard preprinted charts with a series of test targets (new window  Figure 2-24). Since illumination greatly affects contrast, it must be standardized and checked with a light meter. Each separate target consists of a series of dark parallel lines in one of three different orientations. They are displayed against a lighter, contrasting gray background. As the contrast between the lines and their background is progressively reduced from one target to the next, it becomes more difficult for the patient to judge the orientation of the lines. The patient can be scored according to the lowest level of contrast at which the pattern of lines can still be discerned.

6. ASSESSING POTENTIAL VISION

When opacities of the cornea or lens coexist with disease of the macula or optic nerve, the visual potential of the eye is often in doubt. The benefit of corneal transplantation or cataract extraction will depend on the severity of coexisting retinal or optic nerve impairment. Several methods are available for assessing central visual potential under these circumstances.

Even with a totally opaque cataract that completely prevents a view of the fundus, the patient should still be able to identify the direction of a light directed into the eye from different quadrants. When a red lens is held in front of the light, the patient should be able to differentiate between white and red light. The presence of a Marcus Gunn afferent pupillary defect indicates significant disease of the retina or optic nerve and thus a poor visual prognosis.

A gross test of macular function involves the patient's ability to perceive so-called entoptic phenomena. For example, as the eyeball is massaged with a rapidly moving penlight through the closed lids, the patient should be able to visualize an image of the paramacular vascular branches if the macula is healthy. These may be described as looking like "the veins of a leaf." Because this test is highly subjective and subject to interpretation, it is only helpful if the patient is able to recognize the vascular pattern in at least one eye. Absence of the pattern in the opposite eye then suggests macular impairment.

In addition to these gross methods, sophisticated quantitative instruments have been developed for more direct determination of visual potential in eyes with media opacities. These instruments project a narrow beam of light containing a pattern of images through any relatively clear portion of the media (eg, through a less dense region of a cataract) and onto the retina. The patient's vision is then graded according to the size of the smallest patterns that can be seen.

Two different types of patterns are used. Laser interferometry employs laser light to generate interference fringes or gratings, which the patient sees as a series of parallel lines. Progressively narrowing the width and spacing of the lines causes an end point to be reached where the patient can no longer discern the orientation of the lines. The narrowest image width the patient can resolve is then correlated with a Snellen acuity measurement to determine the visual potential of that eye. The potential acuity meter projects a standard Snellen acuity chart onto the retina. The patient is then graded in the usual fashion, according to the smallest line of letters read.

Although both instruments appear useful in measuring potential visual acuity, false-positive and false-negative results do occur, with a frequency dependent on the type of disease present. Thus, these methods are helpful but not completely reliable in determining the visual prognosis of eyes with cloudy media.

7. TESTS FOR FUNCTIONAL VISUAL LOSS

The measurement of vision is subjective, requiring responses on the part of the patient. The validity of the test may therefore be limited by the alertness or cooperation of the patient. "Functional" visual loss is a subjective complaint of impaired vision without any demonstrated organic or objective basis. Examples include hysterical blindness and malingering.

Recognition of functional visual loss or malingering depends on the use of testing variations in order to elicit inconsistent or contradictory responses. An example would be eliciting "tunnel" visual fields using the tangent screen.

A patient claiming "poor vision" and tested at the standard distance of 1 meter may map out a narrow central zone of intact vision beyond which even large objects-such as a hand-allegedly cannot be seen. The borders ("isopter") of this apparently small area are then marked.

The patient is then moved back to a position 2 meters from the tangent screen. From this position, the field should be twice as large as the area plotted from 1 meter away. If the patient outlines an area of the same size from both testing distances, this raises a strong suspicion of functional visual loss, but a number of conditions such as advanced glaucoma, severe retinitis pigmentosa, and cortical blindness would need to be excluded.

A variety of other different tests can be chosen to assess the validity of different degrees of visual loss that may be in question.

DIAGNOSIS OF OCULAR ABNORMALITIES

1. MICROBIOLOGY & CYTOLOGY

Like any mucous membrane, the conjunctiva can be cultured with swabs for the identification of bacterial infection. Specimens for cytologic examination are obtained by lightly scraping the palpebral conjunctiva (ie, lining the inner aspect of the lid) with a small platinum spatula following topical anesthesia. For the cytologic evaluation of conjunctivitis, Giemsa's stain is used to identify the types of inflammatory cells present, while Gram's stain may demonstrate the presence (and type) of bacteria. These applications are discussed at length in Chapter 5.

The cornea is normally sterile. The base of any suspected infectious corneal ulcer should be scraped with the platinum spatula for Gram staining and culture. This procedure is performed at the slitlamp. Because in many cases only trace quantities of bacteria are recoverable, the spatula should be used to plate the specimen directly onto the culture plate without the intervening use of transport media. Any amount of culture growth, no matter how scant, is considered significant, but many cases of infection may still be "culture-negative."

Culture of intraocular fluids is the only reliable method of diagnosing or ruling out infectious endophthalmitis. Aqueous can be tapped by inserting a short 25-gauge needle on a tuberculin syringe through the limbus parallel to the iris. Care must be taken not to traumatize the lens. The diagnostic yield is better if vitreous is cultured. Vitreous specimens can be obtained by a needle tap through the pars plana or by doing a surgical vitrectomy. In the evaluation of noninfectious intraocular inflammation, cytology specimens are occasionally obtained using similar techniques.

2. TECHNIQUES FOR CORNEAL EXAMINATION

Several additional techniques are available for more specialized evaluation of the cornea. The keratometer is a calibrated instrument that measures the radius of curvature of the cornea in two meridians 90 degrees apart. If the cornea is not perfectly spherical, the two radii will be different. This is called astigmatism and is quantified by measuring the difference between the two radii of curvature. Keratometer measurements are used in contact lens fitting and for intraocular lens power calculations prior to cataract surgery.

Many corneal diseases result in distortion of the otherwise smooth surface of the cornea, which impairs its optical quality. The photokeratoscope is an instrument that assesses the uniformity and evenness of the surface by reflecting a pattern of concentric circles onto it. This pattern, which can be visualized and photographed through the instrument, should normally appear perfectly regular and uniform. Focal corneal irregularities will instead distort the circular patterns reflected from that particular area.

Computerized corneal topography is the most advanced technique of mapping the anterior corneal surface. Whereas keratometry provides only a single corneal curvature measurement and photokeratoscopy provide only qualitative information, these computer systems combine and improve on the features of both. A real time video camera records the concentric keratoscopic rings reflected from the cornea. A personal computer digitizes these data from thousands of locations across the corneal surface and displays these measurements in a color-coded map (new window  Figure 2-25). This enables one to quantify and analyze minute changes in shape and refractive power across the entire cornea induced by disease or surgery.

The endothelium is an irreplaceable monolayer of cells lining the posterior corneal surface. These cells function as fluid pumps and are responsible for keeping the cornea thin and dehydrated, thereby maintaining its optical clarity. If these cells become impaired or depleted, corneal edema and thickening result, ultimately decreasing vision. Central corneal thickness can be accurately measured with a pachymeter, a device for quantifying and monitoring these changes. The endothelial cells themselves can be photographed with a special slitlamp camera, enabling one to study cell morphology and perform cell counts.

3. GONIOSCOPY

The anterior chamber-the space between the iris and the cornea-is filled with liquid aqueous humor. The aqueous, which is produced behind the iris by the ciliary body, exits the eye through a tiny sieve-like drainage network called the trabecular meshwork. The meshwork is arranged as a thin circumferential band of tissue just anterior to the base of the iris and within the angle formed by the iridocorneal junction (new window  Figure 11-3). This angle recess can vary in its anatomy, pigmentation, and width of opening-all of which may affect aqueous drainage and be of diagnostic relevance for glaucoma.

Gonioscopy is the method of examination of the anterior chamber angle anatomy using binocular magnification and a special goniolens. The Goldmann and Posner/Zeiss types of goniolenses (Figure 2-7) have special mirrors angled so as to provide a line of view parallel with the iris surface and directed peripherally toward the angle recess.

After topical anesthesia, the patient is seated at the slitlamp and the goniolens is placed on the eye (Figure 2-26). Magnified details of the anterior chamber angle are viewed stereoscopically. By rotating the mirror, the entire 360-degree circumference of the angle can be examined. The same lens can be used to direct laser treatment toward the angle as therapy for glaucoma.


Figure 2-26

Figure 2-26: Gonioscopy with slitlamp and Goldmann type lens. (Photo by M Narahara.)

A third type of goniolens, the Koeppe lens, requires a special illuminator and a separate handheld binocular microscope. It is used with the patient lying supine and can thus be used either in the office or in the operating room (either diagnostically or for surgery).

4. GOLDMANN THREE-MIRROR LENS

The Goldmann lens is a versatile adjunct to the slitlamp examination (Figure 2-7). Three separate mirrors, all with different angles of orientation, allow the examiner's line of sight to be directed peripherally at three different angles while using the standard slitlamp. The most anterior and acute angle of view is achieved with the goniolens, discussed above.

Through a dilated pupil, the other two mirrored lenses angle the examiner's view toward the retinal mid periphery and far periphery, respectively. As with gonioscopy, each lens can be rotated 360 degrees circumferentially and can be used to aim laser treatment. A fourth central lens (no mirror) is used to examine the posterior vitreous and the centralmost area of the retina. The stereoscopic magnification of this method provides the greatest three-dimensional detail of the macula and disk.

The patient's side of the lens has a concavity designed to fit directly over the topically anesthetized cornea. A clear, viscous solution of methylcellulose is placed in the concavity of the lens prior to insertion onto the patient's eye. This eliminates interference from optical interfaces, such as bubbles, and provides mild adhesion of the lens to the eye for stabilization.

5. FUNDUS PHOTOGRAPHY

Special retinal cameras are used to document details of the fundus for study and future comparison. Standard film is used for 35 mm color slides which can be easily stored. As with any form of ophthalmoscopy, a dilated pupil and clear ocular media provide the most optimal view. All of the fundus photographs in this textbook were taken with such a camera.

One of the most common applications is disk photography, used in the evaluation for glaucoma. Since the slow progression of glaucomatous optic nerve damage may be evident only by subtle alteration of the disk's appearance over time (see Chapter 11), precise documentation of its morphology is needed. By slightly shifting the camera angle on two consecutive shots, a "stereo" pair of slides can be produced which will provide a three-dimensional image when studied through a stereoscopic slide viewer. Stereo disk photography thus provides the most sensitive means of detecting increases in glaucomatous cupping.

6. FLUORESCEIN ANGIOGRAPHY

The capabilities of fundus photographic imaging can be tremendously enhanced by fluorescein, a dye whose molecules emit green light when stimulated by blue light. When photographed, the dye highlights vascular and anatomic details of the fundus. Fluorescein angiography has become indispensable in the diagnosis and evaluation of many retinal conditions. Because it can so precisely delineate areas of abnormality, it is an essential guide for planning laser treatment of retinal vascular disease.

Technique

The patient is seated in front of the retinal camera following pupillary dilation. After a small amount of fluorescein is injected into a vein in the arm, it circulates throughout the body before eventually being excreted by the kidneys. As the dye passes through the retinal and choroidal circulation, it can be visualized and photographed because of its properties of fluorescence. Two special filters within the camera produce this effect. A blue "excitatory" filter bombards the fluorescein molecules with blue light from the camera flash, causing them to emit a green light. The "barrier" filter allows only this emitted green light to reach the photographic film, blocking out all other wavelengths of light. A black and white photograph results in which only the fluorescein image is seen.

Because the fluorescein molecules do not diffuse out of normal retinal vessels, the latter are highlighted photographically by the dye, as seen in Figure 2-27. The diffuse, background "ground glass" appearance results from fluorescein filling of the separate underlying choroidal circulation. The choroidal and retinal circulations are anatomically separated by a thin, homogeneous monolayer of pigmented cells-the "retinal pigment epithelium." Denser pigmentation located in the macula obscures more of this background choroidal fluorescence (Figure 2-27) causing the darker central zone on the photograph. In contrast, focal atrophy of the pigment epithelium causes an abnormal increase in visibility of the background fluorescence (Figure 2-28).


Figure 2-27

Figure 2-27: Normal angiogram of the central retina. The photo has been taken after the dye (appearing white) has already sequentially filled the choroidal circulation (seen as a diffuse, mottled whitish background), the arterioles and the veins. The macula appears dark due to heavier pigmentation which obscures the underlying choroidal fluorescence that is visible everywhere else. (Photo courtesy of R Griffith and T King.)


Figure 2-28

Figure 2-28: Abnormal angiogram in which dye-stained fluid originating from the choroid has pooled beneath the macula. This is one type of abnormality associated with age-related macular degeneration (see Chapter 10). Secondary atrophy of the overlying retinal pigment epithelium in this area causes heightened, unobscured visibility of this increased fluorescence. (Photo courtesy of R Griffith and T King.)

Applications

A high-speed motorized film advance allows for rapid sequence photography of the dye's transit through the retinal and choroidal circulations over time. A fluorescein study or "angiogram" therefore consists of multiple black and white photos of the fundi taken at different times following dye injection (new window  Figure 2-29). Early phase photos document the dye's initial rapid, sequential perfusion of the choroid, the retinal arteries, and the retinal veins. Later phase photos may, for example, demonstrate the gradual, delayed leakage of dye from abnormal vessels. This extravascular dye-stained edema fluid will persist long after the intravascular fluorescein has exited the eye.

new window  Figure 2-29 illustrates several of the retinal vascular abnormalities that are well demonstrated by fluorescein angiography. The dye delineates structural vascular alterations, such as aneurysms or neovascularization. Changes in blood flow such as ischemia and vascular occlusion are seen as an interruption of the normal perfusion pattern. Abnormal vascular permeability is seen as a leaking cloud of dye-stained edema fluid increasing over time. Hemorrhage does not stain with dye but rather appears as a dark, sharply demarcated void. This is due to blockage and obscuration of the underlying background fluorescence.

7. INDOCYANINE GREEN ANGIOGRAPHY

The principal use for fluorescein angiography in age-related macular degeneration (Chapter 10) is in locating subretinal choroidal neovascularization for possible laser photocoagulation. The angiogram may show a well-demarcated neovascular membrane. Frequently, however, the area of choroidal neovascularization is poorly defined ("occult") because of surrounding or overlying blood, exudate, or serous fluid.

Indocyanine green angiography is a separate technique that is superior for imaging the choroidal circulation. Fluorescein diffuses out of the choriocapillaris, creating a diffuse background fluorescence. As opposed to fluorescein, indocyanin green is a larger molecule that binds completely to plasma proteins, causing it to remain in the choroidal vessels. Thus, larger choroidal vessels can be imaged. Unique photochemical properties allow the dye to be transmitted better through melanin (eg, in the retinal pigment epithelium), blood, exudate, and serous fluid. This technique therefore serves as an important adjunct to fluorescein angiography for imaging occult choroidal neovascularization and other choroidal vascular abnormalities.

Following dye injection, angiography is performed using special digital video cameras. The digital images can be further enhanced and analyzed by computer before being printed.

8. ELECTROPHYSIOLOGIC TESTING

Physiologically, "vision" results from a series of electrical signals initiated in the retina and ending in the occipital cortex. Electroretinography, electro- oculography, and visual evoked response testing are methods of evaluating the integrity to the neural circuitry.

Electroretinography (ERG) & Electro-oculography (EOG)

Electroretinography measures the electrical response of the retina to flashes of light, the flash electroretinogram (ERG), or to a reversing checkerboard stimulus, the pattern ERG (pattern ERG (PERG)). The recording electrode is placed on the surface of the eye and a reference electrode on the skin of the face. The amplitude of the electrical signal is less than 1 mV, and amplification of the signal and computer averaging of the response to repeated trials are thus necessary to achieve reliable results.

The flash ERG has two major components: the "a wave" and the "b wave." An early receptor potential (ERP) preceding the "a wave" and oscillatory potentials superimposd on the "b wave" may be recorded under certain circumstances. The early part of the flash ERG reflects photoreceptor function, whereas the later response particularly reflects the function of the Müller cells, which are glial cells within the retina. Varying the intensity, wavelength, and frequency of the light stimulus and recording under conditions of light or dark adaptation modulates the waveform of the flash ERG and allows examination of rod and cone photoreceptor function. The flash ERG is a diffuse response from the whole retina and is thus sensitive only to widespread, generalized diseases of the retina-eg, inherited retinal degenerations (retinitis pigmentosa), in which flash ERG abnormalities precede visual loss; congenital retinal dystrophies, in which flash ERG abnormalities may precede ophthalmoscopic abnormalities; and toxic retinopathies from drugs or chemicals (eg, iron intraocular foreign bodies). It is not sensitive to focal retinal disease even when the macula is affected, and is not sensitive to abnormalities of the retinal ganglion cell layer such as in optic nerve disease.

The PERG also has two major components: a positive wave at about 50 ms (P50) and a negative wave at about 95 ms (N95) from the time of the pattern reversal. The P50 seems to reflect macular retinal function, whereas the N95 appears to reflect ganglion cell function. Thus, the PERG is useful in distinguishing retinal and optic nerve dysfunction and in diagnosing macular disease.

Electro-oculography (EOG) measures the standing corneoretinal potential. Electrodes are placed at the medial and lateral canthi to record the changes in electrical potential while the patient performs horizontal eye movements. The amplitude of the corneoretinal potential is least in the dark and maximal in the light. The ratio of the maximum potential in the light to the minimum in the dark is known as the Arden index. Abnormalities of the EOG principally occur in diseases diffusely affecting the retinal pigment epithelium and the photoreceptors and often parallel abnormalities of the flash ERG. Certain diseases such as Best's vitelliform dystrophy produce a normal ERG but a characteristically abnormal EOG. EOG is also used to record eye movements.

Visual Evoked Response (VER)

Like electroretinography, the visual evoked response measures the electrical potential resulting from a visual stimulus. However, because it is measured by scalp electrodes placed over the occipital cortex, the entire visual pathway from retina to cortex must be intact in order to produce a normal electrical waveform reading. Like the ERG wave, the VER pattern is plotted on a scale displaying both amplitude and latency (Figure 2-30).


Figure 2-30

Figure 2-30: Top: Normal VER generated by stimulating the left eye ("OS") is contrasted with the absent response from the right eye ("OD"), which has a severe optic nerve lesion. "LH" and "RH" signify recordings from electrodes over the left and right hemispheres of the occipital lobe. Bottom: VER with right homonymous hemianopia. No response is recorded from over the left hemisphere. (Courtesy of M Feinsod.)

Interruption of neuronal conduction by a lesion will result in reduced amplitude of the VER. Reduced speed of conduction, such as with demyelination, abnormally prolongs the latency of the VER. Unilateral prechiasmatic (retinal or optic nerve) disease can be diagnosed by stimulating each eye separately and comparing the responses. Postchiasmatic disease (eg, homonymous hemianopia) can be identified by comparing the electrode responses measured separately over each hemisphere.

Proportionately, the majority of the occipital lobe area is devoted to the macula. This large cortical area representing the macula is also in close proximity to the scalp electrode, so that the clinically measured VER is primarily a response generated by the macula and optic nerve. An abnormal VER would thus indicate poor central visual acuity, making it a valuable objective test in situations where subjective testing is unreliable. Such patients might include infants, unresponsive individuals, and suspected malingerers.

9. DARK ADAPTATION

In going from conditions of bright light to darkness, a certain period of time must pass before the retina regains its maximal sensitivity to low amounts of light. This phenomenon is called dark adaptation. It can be quantified by measuring the recovery of retinal sensitivity to low light levels over time following a standard period of bright light exposure. Dark adaptation is often abnormal in retinal diseases characterized by rod photoreceptor dysfunction and impaired night vision.

DIAGNOSIS OF EXTRAOCULAR ABNORMALITIES

1. LACRIMAL SYSTEM EVALUATION

Evaluation of Tear Production

Tears and their components are produced by the lacrimal gland and accessory glands in the lid and conjunctiva (see Chapter 4). The Schirmer test is a simple method for assessing gross tear production. Schirmer strips are disposable dry strips of filter paper in standard 5 × 35 mm sizes. The tip of one end is folded at the preexisting notch so that it can drape over the lower lid margin just lateral to the cornea.

Tears in the conjunctival sac will cause progressive wetting of the paper strip. The distance between the leading edge of wetness and the initial fold can be measured after 5 minutes, using a millimeter ruler. The ranges of normal measurements vary depending on whether or not topical anesthetic is used. Without anesthesia, irritation from the Schirmer strip itself will cause reflex tearing, thereby increasing the measurement. With anesthesia, less than 5 mm of wetting after 5 minutes is considered abnormal.

Significant degrees of chronic dryness cause surface changes in the exposed areas of the cornea and conjunctiva. Fluorescein will stain punctate areas of epithelial loss on the cornea. Another dye, rose bengal, is able to stain devitalized cells of the conjunctiva and cornea before they actually degenerate and drop off.

Evaluation of Lacrimal Drainage

The anatomy of the lacrimal drainage system is discussed in Chapters 1 and 4. The pumping action of the lids draws tears nasally into the upper and lower canalicular channels through the medially located "punctal" openings in each lid margin. After collecting in the lacrimal sac, the tears then drain into the nasopharynx via the nasolacrimal duct. Symptoms of watering are frequently due to increased tear production as a reflex response to some type of ocular irritation. However, the patency and function of the lacrimal drainage system must be checked in the evaluation of otherwise unexplained tearing.

The Jones I test evaluates whether the entire drainage system as a whole is functioning. Concentrated fluorescein dye is instilled into the conjunctival sac on the side of the suspected obstruction. After 5 minutes, a cotton Calgiswab is used to attempt to recover dye from beneath the inferior nasal turbinate. Alternatively, the patient blows his nose into a tissue which is checked for the presence of dye. Recovery of any dye indicates that the drainage system is functioning.

The Jones II test is performed if no dye is recovered, indicating some abnormality of the system. Following topical anesthesia, a smooth-tipped metal probe is used to gently dilate one of the puncta (usually lower). A 3-mL syringe with sterile water or saline is prepared and attached to a special lacrimal irrigating cannula. This blunt-tipped cannula is used to gently intubate the lower canaliculus, and fluid is injected as the patient leans forward. With a patent drainage system, fluid should easily flow into the patient's nasopharynx without resistance.

If fluorescein can now be recovered from the nose following irrigation, a partial obstruction might have been present. Recovery of clear fluid without fluorescein, however, may indicate inability of the lids to initially pump dye into the lacrimal sac with an otherwise patent drainage apparatus. If no fluid can be irrigated through to the nasopharynx using the syringe, total occlusion is present. Finally, some drainage problems may be due to stenosis of the punctal lid opening, in which case the preparatory dilation may be therapeutic.

2. METHODS OF ORBITAL EVALUATION

Exophthalmometry

A method is needed to measure the anteroposterior location of the globe with respect to the bony orbital rim. The lateral orbital rim is a discrete, easily palpable landmark and is used as the reference point.

The exophthalmometer (Figure 2-31) is a hand-held instrument with two identical measuring devices (one for each eye), connected by a horizontal bar. The distance between the two devices can be varied by sliding one toward or away from the other, and each has a notch that fits over the edge of the corresponding lateral orbital rim. When properly aligned, an attached set of mirrors reflects a side image of each eye profiled alongside a measuring scale, calibrated in millimeters. The tip of the corneal image aligns with a scale reading representing its distance from the orbital rim.


Figure 2-31

Figure 2-31: Hertel exophthalmometer. (Photo by M Narahara.)

The patient is seated facing the examiner. The distance between the two measuring devices is adjusted so that each aligns with and abuts against its corresponding orbital rim. To allow reproducibility for repeat measurements in the future, the distance between the two devices is recorded from an additional scale on the horizontal bar. Using the first mirror scale, the patient's right eye position is measured as it fixates on the examiner's left eye. The patient's left eye is measured while fixating on the examiner's right eye.

The distance from the cornea to the orbital rim typically ranges from 12 to 20 mm, and the two eye measurements are normally within 2 mm of each other. A greater distance is seen in exophthalmos, which can be unilateral or bilateral. This abnormal forward protrusion of the eye can be produced by any significant increase in orbital mass, because of the fixed size of the bony orbital cavity. Causes might include orbital hemorrhage, neoplasm, inflammation, or edema.

Ultrasonography

Ultrasonography utilizes the principle of sonar to study structures that may not be directly visible. It can be used to evaluate either the globe or the orbit. High-frequency sound waves are emitted from a special transmitter toward the target tissue. As the sound waves bounce back off the various tissue components, they are collected by a receiver that amplifies and displays them on an oscilloscope screen.

A single probe that contains both the transmitter and receiver is placed against the eye and used to aim the beam of sound (Figure 2-32). Various structures in its path will reflect separate echoes (which arrive at different times) back toward the probe. Those derived from the most distal structures arrive last, having traveled the farthest.


Figure 2-32

Figure 2-32: Ultrasonography using B-scan prote. The image will appear on the oscilloscope screen. visible in the background.(Photo by M Narahara.)

There are two methods of clinical ultrasonography: A scan and B scan. In A scan ultrasonography, the sound beam is aimed in a straight line. Each returning echo is displayed as a spike whose amplitude is dependent on the density of the reflecting tissue. The spikes are arranged in temporal sequence, with the latency of each signal's arrival correlating with that structure's distance from the probe (new window  Figure 2-33). If the same probe is now swept across the eye, a continuous series of individual A scans is obtained. From spatial summation of these multiple linear scans, a two-dimensional image, or B scan, can be constructed.

Both A and B scans can be used to image and differentiate orbital disease or intraocular anatomy concealed by opaque media. In addition to defining the size and location of intraocular and orbital masses, A and B scans can provide clues to the tissue characteristics of a lesion (eg, solid, cystic, vascular, calcified).

For purposes of measurement, the A scan is the most accurate method. Sound echoes reflected from two separate locations will reach the probe at different times. This temporal separation can be used to calculate the distance between the points, based on the speed of sound in the tissue medium. The most commonly used ocular measurement is the axial length (cornea to retina). This is important in cataract surgery in order to calculate the power for an intraocular lens implant. A scans can also be used to quantify tumor size and monitor growth over time.

The application of pulsed ultrasound and spectral Doppler techniques to orbital ultrasonography provides information on the orbital vasculature. It is certainly possible to determine the direction of flow in the ophthalmic artery and the ophthalmic veins, reversal of flow in these vessels occurring in internal carotid artery occlusion and carotid-cavernous fistula, respectively. As yet, the value of measuring flow velocities in various vessels, including the posterior ciliary arteries, without being able to measure blood vessel diameter is not fully established.

3. OPHTHALMIC RADIOLOGY

Plain x-rays and CT scans (Figures 13-1 and 13-2) are useful in the evaluation of orbital and intracranial conditions. CT scan in particular has become the most widely used method for localizing and characterizing structural disease in the extraocular visual pathway. Common orbital abnormalities demonstrated by CT scan include neoplasms, inflammatory masses, fractures, and extraocular muscle enlargement associated with Graves' disease.

The intraocular applications of radiology are primarily in the detection of foreign bodies following trauma and the demonstration of intraocular calcium in tumors such as retinoblastoma. CT scan is useful for foreign body localization because of its multidimensional reformatting capabilities and its ability to image the ocular walls.

4. MAGNETIC RESONANCE IMAGING

The technique of magnetic resonance imaging (MRI) has many applications in orbital and intracranial diagnosis. Improvements such as surface receiver coils and thin section techniques have improved the anatomic resolution in the eye and orbit.

Unlike CT, the MRI technique does not expose the patient to ionizing radiation. Multidimensional views (axial, coronal, and sagittal) are possible without having to reposition the patient. Since MRI might cause movement of metal, it should not be used if a metallic foreign body is suspected.

Because it can better differentiate between tissues of different water content, MRI is superior to CT in its ability to image edema, areas of demyelination, and vascular lesions. Bone generates a weak MRI signal, allowing improved resolution of intraosseous disease and a clearer view of the intracranial posterior fossa. Examples of MRI scans are presented in Chapters 13 and 14.

5. OPHTHALMODYNAMOMETRY

Ophthalmodynamometry gives an approximate measurement of the relative pressures in the central retinal arteries and is an indirect means of assessing carotid artery flow on either side. The test consists of exerting pressure on the sclera with a spring plunger while observing with an ophthalmoscope the vessels emerging from the optic disk. Ophthalmodynamometry is useful in the neurologic evaluation of patients who complain of "blacking out" (amaurosis fugax) in one eye, spells of weakness on one side of the body, or other symptoms of transient cerebral ischemia. A difference of more than 20% in the diastolic pressures between the two eyes suggests insufficiency of the carotid arterial system on the side with the lower reading.

The test is often performed in conjunction with angiography and ultrasonography of the carotid arteries.

 
PREVIOUS | NEXT
 
 
Page: 1 | 2 | 3 | 4 | 5
 
 

10.1036/1535-8860.ch2

Copyright ©2002-2003 The McGraw-Hill Companies. All rights reserved.
Any use is subject to the Terms of Use and Notice. Additional credits and copyright information. For further information about this site contact tech_support@accessmedicine.com.
Last modified: November 08, 2002 .
McGraw-HillEducation
The McGraw-Hill Companies
Top